Медицинский Вестник Эребуни 1-4.2004 (17-20)
Апоптоз и субклеточное ремоделирование у больных сахарным диабетом
Ключевые слова: апоптоз, сахарный диабет, инсулиноподобный фактор роста.
Апоптоз, или программированная смерть клеток, описан при многих патологических состояниях, ведущих к миокардиальным дисфункциям, таким как различные формы кардиомиопатии, синдром отторжения после трансплантации сердца, а также состояние затяжной или острой ишемии типа гибернации миокарда [1]. До настоящего времени все еще спорным является вопрос о том, достаточно ли наличие гипоксии для индукции апоптоза или необходимы комбинации с другими повреждающими клетку метаболическими факторами типа ацидоза или аккумуляции клеточных или внеклеточных метаболических сигналов.
Недавно Webster et al. (2001) продемонстрировали, что в модели ацидоза, реоксигенации или реперфузии должны быть сильные стимулы для индукции апоптоза, а не только гипоксия [2]. Имеются также сомнения относительно точного определения начальных стимулов: гипоксия, ацидоз, реоксигенация или реперфузия, окислительный стресс, отсутствие инсулиноподобного фактора роста (IGF-1), химического вещества, соединительнотканый фактор роста (CTGF) и сигнальных путей (bcl-2 и p-53), ведущих к индуцированному апоптозу кардиомиоцитов. Применялось много различных медиаторов, вовлеченных в процесс апоптотической клеточной гибели. Они включают цитокины TNFα, церамид и высокие концентрации метаболического вещества глюкозы [3].
Изучение апоптоза строится на применении преимущественно молекулярно-биологических методов, направленных на выявление продуктов ДНК и РНК–важнейших регуляторов апоптоза, а также экспрессии продуктов генов этих регуляторов.
Значительная часть работ, посвященных анализу механизма гибели кардиомиоцитов и регуляции апоптоза, выполнена на экспериментальном материале.
Большинство работ демонстрируют изменение соотношения ингибиторов (белки семейства bcl, в частности, bcl-2) и активаторов (bax, p-53, fas) апоптоза при преимущественно гипоксическом повреждении миокарда.
В то же время на разном материале и в различных лабораториях получают различные, подчас взаимоисключающие данные. Так, в частности, у собак на экспериментальной модели корреляция экспрессии bcl-2 с интенсивностью апоптоза кардиомиоцитов имела вид обратной зависимости. Выявить экспрессию p-53 на этом материале не удалось (Kolcton I.T., 2001). У собак при реперфузионном повреждении миокарда показаны реципрокные взаимоотношения экспрессии bcl-2 и p-53, при этом экспрессия p-53 выявлялась и в контроле (Zhao Z.Q., 2001). Роль экспрессии p-53 в гипоксической гибели кардиомиоцитов путем апоптоза остается неясной; имеются сторонники как существования этой зависимости, так и ее отсутствия. Кроме того, часть авторов выявляет p-53 в миокарде, другие – нет, в основном в экспериментальных моделях [4].
Работ, выполненных на материале миокарда человека, немного. Биопсии по диабетической кардиомиопатии, по нашему мнению, почти нет.
На аутопсийном материале (Pino F., 2000) во всех исследованных образцах миокарда не удалось выявить экспрессию ни bcl-2, ни np-53.
В то же время I.M. Missao (1996) при исследовании миокарда умерших от инфаркта разных сроков давности не выявил экспрессии bcl-2 в контроле и при старом инфаркте, однако обнаружил отчетливую экспрессию данного маркера у 60% больных, погибших от острого инфаркта в периинфарктной зоне.
Материал и методы. Исследования иммуногистохимического характера проводились при помощи ряда методов, позволяющих выявить экспрессию продуктов в генах bcl-2 и p-53.
Исследования проводили на срезах кусочков миокарда (ушко правого предсердия), фиксированных в 70% этаноле и залитых в парафин по обычной методике. Срезы монтировали на предметные стекла, предварительно обработанные адгезивом (Histagrip, Sigma Co). Срезы депарафинировали в ксилоле и доводили до воды в спиртах нисходящих концентраций. Демаскирование антигенов проводили путем обработки срезов в микроволновой печи двукратно в течение 12 мин (2x6 мин). Эндогенную пероксидазу блокировали инкубацией в 3% растворе перекиси водорода (Н2О2) в течение 5 мин, после чего срезы ополаскивали в PBS. Для исключения неспецифического связывания антител срезы инкубировали около 10 минут в блокирующей сыворотке (NHS). Избыток сыворотки удаляли, и на предметные стекла наносили первичные антитела. Инкубацию проводили во влажной камере в течение 30 мин. Затем срезы инкубировали с биотинированными полиспецифическими вторичными антителами 10 мин и с комплексом стрептавидин-пероксидаза в течение 5 мин. Между этапами инкубации срезы ополаскивали в PBS. Использовали первичные и вторичные антитела Novocastra Laboratories Ltd: (bcl-2-клон bcl-2/100/D5, p53-клон DO-7, вторичные антитела и комплекс стрептавидин-пероксидаза – из Novostain Universal Quick Kit). В качестве хромогена использовали диаминобензидин. Ядра докрашивали гематоксилином, срезы обезвоживали, просветляли и заключали в полистирол. Реакцию оценивали по появлению коричневого осадка. В контроле исключался этап инкубации с первыми антителами.
Данные, полученные нами, различались от представленных в литературе.
Особенностью нашего исследования является слабое выявление bcl-2, в пользу чего свидетельствует также окрашивание части ядер; белок bcl-2 локализовался на внутренней митохондриальной мембране и в ядре, хотя в некоторых экспериментальных исследованиях на крысах (Xie Z., 2001) продукт реакции в ядрах был выявлен. В цитоплазме кардиомиоцитов определялась слабая реакция экспрессии bcl-2 без существенной разницы у различных пациентов.
Реакция на p-53 в ядрах кардиомиоцитов была положительная.
Некоторое удивление вызывает тот факт, что у многих больных число окрашенных ядер превышает 50% от общего числа ядер. Впрочем, будем считать это особенностью настоящей серии исследования. С целью оценки соотношения внутриклеточных регуляторов апоптоза иммуногистохимически выявлялась экспрессия продуктов гена bcl-2 и p-53.
Результаты исследования. Целью нашей работы являлось изучение соотношения внутриклеточных регуляторов апоптоза, то есть экспрессии продуктов генов bcl-2, и p-53 иммуногистохимическим методом, сопоставляя с другими клиническими исследованиями у больных СД II типа.
Больные были разделены на 2 группы: I группа состояла из 24 человек (ИБС+СД II типа), II группа – 23 (ИБС+СД II типа+АГ).
Содержание апопротеического белка bcl-2 оценивалось по степеням: сильное, умеренное и слабое окрашивание, а апопротеический белок p-53 оценивался как положительный (+) – 0–24%, (++) – 25–49%, (+++) – 50%.
Определение белка bcl-2. У 8 человек из I группы обнаружено умеренное окрашивание (33,3±3,1), у 16 – слабое (66,7±3,1).
Во II группе у 11 больных обнаружено умеренное окрашивание (47,8±3,2), у 12 – слабое (52,2±3,2) (табл. 1).
Сравнение показателей обеих групп выявило, что у больных II группы превалирует умеренное окрашивание (47,8±3,2 против 33,3±3,1), а в I группе выявлено большое количество больных со слабым окрашиванием (66,7±3,1 против 52,2±3,2).
Таблица 1. Иммуногистохимическое исследование bcl-2, экспрессия bcl-2 (на 100)
|
Группа
|
Общее кол-во больных |
Слабое окрашивание |
P±m |
Умеренное окрашивание |
P±m |
P |
|
I |
24 |
8 |
33,3±3,1 |
16 |
66,7±3,1 |
<0,001 |
|
II |
23 |
11 |
47,8±3,2 |
12 |
52,2±3,2 |
<0,001 |
|
Всего |
47 |
19 |
40,4±5,0 |
8 |
59,6±5,0 |
|
У трех человек из I группы обнаружено у 3 – (+), составляющее 12,5±2,6; у 5 – (++); у 16 – (+++)(66,7±3,1).
Во II группе обнаружена следующая закономерность: только у 1 больного (+) – (4,4±2,1); у 2 – (++) (8,7±2,4); у 20 (+++) (86,9±2,6) (табл. 2).
Таблица 2. Иммуногистохимическое исследование белка p-53, экспрессия p-53 (на 100)
|
Группа |
Абс. |
0–24% |
24–49% |
50% |
P |
|||
|
абс. |
P±m |
абс. |
P±m |
абс. |
P±m |
|||
|
I |
24 |
3 |
12,5±2,6 |
5 |
20,8±2,8 |
16 |
66,7±3,1 |
<0,001 |
|
II |
23 |
1 |
4,4±2,1 |
2 |
8,7±2,4 |
20 |
86,9±2,6 |
<0,001 |
|
Всего |
47 |
4 |
8,5±2,0 |
7 |
14,9±2,3 |
30 |
76,6±2,5 |
<0,001 |
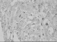
Полученные нами данные отличаются от таковых в литературе. Хотя обнаруженное нами окрашивание части ядер белка bcl-2, локализующегося на внутренней митохондриальной мембране, отмечено и в некоторых эксперимантальных исследованиях (на крысах) (Xie. 2001), продукт реакции в ядрах был выявлен. В цитоплазме кардиомиоцитов определялась слабая и умеренная реакция. В общем можно заключить, что имеет место очень слабая экспрессия bcl-2 в кардиомиоцитах, без существенных различий между обеими группами.
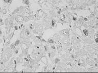
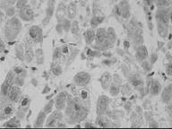
Реакция на p-53 отмечена в ядрах кардиомиоцитов, имеется небольшое фоновое окрашивание цитоплазмы, во всяком случае на рис. 1–4 хорошо видно, что интенсивность экспрессии в ядрах различна; имеются больные, у которых количество ядер с (+)-реакцией попадает в различные ранги.
Некоторое удивление вызывает тот факт, что у многих больных число окрашенных ядер превышает 50% от общего числа. Впрочем будем считать это отличительной особенностью настоящей серии исследований.
Обсуждение. Данные, полученные нами, сопоставлять с литературными довольно трудно, в пользу этого говорит также окрашивание части ядер белка bcl-2, который локализуется на внутренней митохондриальной мембране, хотя можно сказать, что это обнаружилось в некоторых экспериментальных исследованиях (на крысах, Xie, 2001). В цитоплазме кардиомиоцитов определялась слабая умеренная реакция. В общем можно полагать, что имеет место очень слабая экспрессия кардиомиоцитов без существенной разницы в II группе пациентов. Таким образом, можно сказать, что на данном материале получена закономерная зависимость между экспрессией bcl-2 и p-53, что при малом количестве p-53 положительных клеток можно было видеть большое количество bcl-2 и наоборот.
Таким образом, апоптоз в кардиомиоцитах у изученных пациентов происходит довольно интенсивно (высокая экспрессия p-53), при этом торможение гибели кардиомиоцитов осуществляется механизмами гипоэкспрессии bcl-2.
Концепция, согласно которой белки семейства bcl могут быть частью апоптотического сигнального каскада, выявляет антиапоптотическое воздействие [3]. Эти белки могут образовать гомо- и гетеродимеры, которые модулируют индукцию апоптоза.
Соотношение антиапоптотического белка bcl-2 и апоптотического белка p-53, по всей вероятности, является решающим в клеточной выживаемости [5]. Активность белка bcl-2 регулируется также на субклеточном уровне (цитозоль или митохондрии), что и обнаружено в наших исследованиях.
Подтвержденное в наших исследованиях уменьшение bcl-2, ведущее к повышению p-53 гомодимеров, приводит к транслокации p-53, к митохондриальной мембране и последующей митохондриальной дисфункции с потерей мембранного потенциала и высвобождением цитохрома-С в цитозоль. Цитохром-С в дальнейшем формирует комплекс с апоптоз-активирующим фактором, активирующим каспазу-9, который включает протеолитический каскад, ведущий к апоптотической клеточной гибели [1–5].

Рис.1. Положительная реакция на p–53 в немногочисленных ядрах кардиомиоцитов

Рис.2. Положительная реакция на p–53 в большей части ядер кардиомиоцитов (I группа)

Рис. 3. Положительная реакция на p–53 в большей части ядер кардиомиоцитов (II группа)

Рис. 4. В цитоплазме кардиомиоцитов слабая реакция на bcl-2
Литература
- Monkemann H., De Vriese A.S., Blom H.J., et al. Early molecular events in the development of the diabetic cardiomyopathy, Amino Acids, 2002; 23(1-3): 331-336.
- Schannwel C.M., Schneppenheim M., Perings S., et al. Left ventricular distolic dysfunction as an early manifestation of diabetic cardiomyopathy, Cardiology, 2002, 98 (1-2): 33-39.
- Codinach Huix P., Freixa Pamias R. Diabetic cardiomyopathy: concept, heart function, and pathogenesis [Spa], An. Med. Interna, 2002; 19(6): 313-320.
- Cai L., Li W., Wang G., Guo L., Jiang L., Kang Y. J. Hyperglycemia-inducted apoptosis in mouse myocardium: mitochondrial cytochrome C- mediated caspase-3 activation pathway, Diabetes, 2002, 51(6): 1938-1948.
- Rozanski G.J., Xu Z. Metabolic mechanism of remodeling of cardiac K + cannals Clin. Exp. Pharmacol. Physiol., 2002; 29(1-2): 132-137.
23.03.2004 Читайте также
Ключевые слова: молочная железа, мастопатия, факторы риска, группы риска
В последнее время повысился интерес к изучению различных аспектов физиологии и патологии молочных желез (МЖ), обусловленный увеличением частоты развития доброкачественных и злокачественных заболеваний МЖ у женщин [5]. Установлено, что злокачественные новообразования МЖ возникают в 3–5 раз чаще на фоне доброкачественных заболеваний МЖ (ДЗМЖ) и в 30% случаев при узловых формах мастопатии с явлениями пролиферации [2]. Правомерность этого взгляда подтверждает тот факт, что в препаратах, удаленных по поводу рака...
25.05.2004 Ключевые слова: дисциркуляторная энцефалопатия, офтальмоскопия, ретинопатия, нейроретинопатия
Необходимость нейроофтальмологического исследования глазного дна у больных с сосудистой патологией головного мозга – давно известный факт. Функциональное состояние сосудов ретины наиболее адекватно отражает физиологические возможности организма для кровоснабжение любого органа и в первую очередь головного мозга...
21.05.2004 Ключевые слова: поврежденный ТБС, искусственный сустав
Операция эндопротезирования ТБС – это замена Вашего анатомически неполноценнoго и функциально несостоятельного, не подлежащего консервативному лечению и восстановлению тазобедренного сустава на искусственный сустав. Изношенный или поврежденный тазобедренный сустав причиняет сильные боли...
19.05.2004 Ключевые слова: гастроэнтерологические болезни, психосоматические заболевания, стресс, фиксированная установка, функциональная асимметрия.
При некоторых заболеваниях желудочно-кишечного тракта явно прослеживается связь между манифестацией патологического процесса и нарушениями в психоэмоциональной сфере, что указывает на психологическую дезадаптацию [10,12]. Связи между поражением любого органа пищеварительной системы и различными психоэмоциональными факторами исследованы многосторонне [7–9]...
Ключевые слова: остропрогрессирующий туберкулез легких, казеозная пневмония, лекарственная устойчивость микобактерий туберкулеза.
В последние годы отмечается ухудшение эпидемиологической ситуации по туберкулезу. Идет рост показателей заболеваемости и смертности от этой инфекции [9]. На этом фоне отмечается ухудшение клинической структуры вновь выявленных больных туберкулезом органов дыхания. В частности, имеет место учащение случаев остропрогрессирующих форм этого заболевания [6]...
13.05.2004 Ключевые слова: туберкулез, смертность, причины, группы риска
Введение. В последнее десятилетие в мире наблюдается рост заболеваемости туберкулезом и смертности от него. По данным ВОЗ, ежегодно выявляется около 8 млн больных туберкулезом, умирает от него 5 млн человек, треть населения инфицирована туберкулезом. При этом он поражает мужчин и женщин в наиболее продуктивном возрасте и является ведущей причиной смерти среди инфекционных больных...
11.05.2004 Ключевые слова: гастроэнтерологические болезни, психоэмоциональный фон, психотравма, стресс.
Патогенез развития болезней желудочно-кишечного тракта довольно разнообразен; при первичном проявлении различных патологий пищеварительной системы прослеживается связь с психологическими факторами [3,12–14]. Ослабление защитных механизмов, также как усиление агрессивных факторов, в значительной степени сопровождается длительным и часто повторяющимся психоэмоциональным перенапряжением [1,4,7,9]...
Ключевые слова: первичное эндопротезирование, ревизионная артропластика, ацетабулярный кубок.
Проблема костной пластики при ревизионных операциях эндопротезированного тазобедренного сустава приобретает более серьезный и сложный характер в силу двух основных причин...
11.05.2004 Ключевые слова: ультразвуковое исследование, имплантат, эндовидеохирургическая герниопластика.
По данным P.M.Sayad и соавт. [16], при интраоперационной ревизии брюшной полости (диагностической лапароскопии) выявляется до 11,2% предварительно не диагностированных паховых грыж. R.H.Koehler [9] считает, что точность диагностики двусторонних паховых грыж составляет 80% и предлагает использовать новейшие методы в диагностике данной патологии. A.Moreno-Egea и соавт...
11.05.2004 Ключевые слова: гормональные факторы, иммунные факторы, гиперпролактинемия.
Нормогонадотропная овариальная недостаточность гетерогенна по этиологии и патогенезу и может быть проявлением различных заболеваний, которые в 61,5% случаев в той или иной степени связаны с центральными нарушениями регуляции яичников [31,59]. Овариальные факторы обуславливают нормогонадотропную недостаточность в 34,9% случаев...
11.05.2004 Ключевые слова: эхинококкоз печени, эхинококковая киста, нагноение, диагностика, хирургическое лечение.
Гидатидозный эхинококкоз – одно из наиболее тяжелых паразитарных заболеваний человека с преимущественным поражением печени – остается серьезной медицинской проблемой в связи с ростом числа больных в эндемичных районах [1]. Он включен Всемирной организацией здравоохранения и Международным эпидонтическим бюро в список болезней, требующих радикального искоренения. С эхинококкозом борются хирурги, ветеринары, санитарные врачи, им болеют люди наиболее трудоспособного возраста...
Ключевые слова: озон, озонотерапия, диабетическая ангиопатия, гангрена стопы, ампутация.
Введение. По озонотерапии имеются разноречивые, разрозненные публикации. 1840г. можно рассматривать как год открытия озона. Затем на десятилетия многое было забыто, и только во время первой мировой войны некоторые раны и фистулы начали обрабатывать при помощи озоновой смеси (A.Wolff, 1915)...
20.04.2004 Ключевые слова: гепатит В, гепатит С, семейный очаг, естественные пути передачи.
Вирусные гепатиты, являясь группой различных по этиологии, эпидемиологии и клинике заболеваний, продолжают занимать одно из ведущих мест среди медицинских проблем современности. Этиологическая структура острых и хронических форм этих инфекций представлена 8 вирусами гепатитов: A, B, C, D, E, G, TT, SEN...
19.04.2004 Ключевые слова: гемангиоперицитома, опухоли мочевого пузыря, радикальное лечение.
Гемангиоперицитома является редкой, солитарной и солидной опухолью, берущей начало из перицитов, сократительных перикапиллярных клеток, впервые идентифицированных и описанных Zimmermann в 1923 году. Хотя данная опухоль макроскопически является доброкачественной, она имеет способность к местному вторжению и отдаленному распространению...
Ключевые слова: рак желудка, комбинированные операции, расширенная лимфодиссекция.
Лечение распространенного рака желудка остается сложнейшей задачей клинической онкологии [1]. Большой опухолевый процесс с/без прорастания в окружающие органы и ткани, поражающий регионарный лимфатический аппарат, нередко становится непреодолимым препятствием для проведения хирургического лечения, что снижает эффективность последующей химио- или лучевой терапии, ухудшая отдаленные и функциональные результаты [6]...
16.04.2004
САМЫЕ ЧИТАЕМЫЕ СТАТЬИ
-
Нормы роста и веса детей – данные ВОЗ
-
Зеленые выделения из влагалища: причины и лечение
- Анатомо-физиологические особенности дыхательной системы у детей
-
Насморк с кровью: причины симптома и способы лечения
- Анатомо-физиологические особенности сердечно-сосудистой системы у детей
- Анатомо-физиологические особенности пищеварительной системы у детей
- Анатомо-физиологические особенности мочевыделительной системы у детей
- Сравнительная характеристика параметров функции внешнего дыхания (обзор литературы)
- Современные представления о норме и патологических отклонениях размеров восходящей аорты при приобретенных пороках сердца
- Анатомо-физиологические особенности детей
- Анатомо-физиологические особенности костно-мышечной системы у детей
- Паллиативная химиотерапия рака: основные понятия и особенности (oбзор литературы)
-
Что можно и что нельзя делать после удаления аппендицита
-
Увеличенные яичники: симптомы, причины и лечение
-
Новейшие достижения онкологии в МЦ «Наири»: интервью с Артемом Степаняном. nairimed.com
-
О чем говорит головная боль за ухом? Причины, симптомы и лечение
-
Как снизить риск инсульта. erebunimed.com
-
Характер мужчины проявляется в выборе позы для секса
-
Армянская ассоциация медицинского туризма (ААМТ)
-
Желтые выделения из влагалища: причины и лечение
-
Рвота у ребенка без температуры: возможные причины
- Применение летрозола для стимуляции овуляции
- Врожденные аномалии и пороки развития
-
КАТИОНОРМ – представитель нового поколения искусственных слез для симптоматической терапии синдрома “сухого глаза”
-
Арам Бадалян: Родинку трогать нельзя?
- Применение противоспаечных средств в профилактике спаечной болезни живота (oбзор литературы)
-
Как избавиться от лямблий — 25 эффективных рецептов народной медицины
-
Вздутие живота при месячных: 7 способов справиться с неприятным ощущением
-
Компресс при ангине: будет ли полезным прогревание горла?
-
Онкология является самой быстроразвивающейся отраслью медицины: интервью с Левоном Бадаляном
-
Лечение марганцовкой
- Некоторые новые подходы к системной терапии метипредом больных ревматоидным артритом
- Медицинские информационные системы.Информационная система для интегрального фармацевтического и здравоохранного мониторинга
-
Фармацевтическая опека
- Подходы к оперативному лечению костно-хрящевых экзостозов
- Повреждения при родах
- Инциденталома надпочечников
-
Курение марихуаны влияет на потенцию
-
Почему противозачаточные увеличивают грудь?
- Применение индинола и эпигаллата при аденомиозе













Научная медицина
Болезни
Традиционная медицина
Здоровый образ жизни
Косметология
Медицинское право
Алгоритмы, тесты
Цифры, факты, случаи
Историческая хроника
Афоризмы
Карьерная лестница
Дети
Женщина
Мужчина
Рейтинговая система