Медицинский Вестник Эребуни 1.2007 (29)
Иммуногистохимические особенности гамма-аминомасляной кислоты и пролином богатых полипептидов-1 в слизистой матки при хроническом эндометрите
Ключевые слова: женский половой тракт, хронический эндометрит, гамма-аминомасляная кислота и пролином богатые полипептиды-1
Несмотря на многочисленные литературные данные об анатомо-физиологических особен¬ностях, морфологических и иммунологи¬чес¬ких изменениях эндометрия при хроническом эндометрите (ХЭ), патогенез заболевания, ме¬ха¬низмы хронизации воспалительного про¬цесса до сих пор остаются мало выясненными [1-5].
Важными являются иммуноморфологичес¬кие и гистохимические сдвиги, характер вос¬па¬ли¬тель¬ных инфильтратов, состоящих пре¬иму¬ществен¬но из лимфоцитов и макрофагов. Последние нередко приобретают вид лим¬фоидных фолликулов, расположенных как в функциональном, так и базальном слоях эндометрия. Хроническое воспаление сопро¬во欬дается скоплением плазматических кле¬ток, очаговым фиброзом стромы, склерозом стенок спиральных сосудов и ангиоматозом. При активации процесса появляются нейтро¬филы. В процессе развития ХЭ участвуют множественные клеточные и гуморальные факторы, биологически активные вещества – цитокины с широким спектром действия, которые генерируются лимфоидными клет¬ка¬ми в процессе взаимодействия с различными антигенами. К ним относятся также нейроме¬ди¬а¬торы - гамма-аминомасляная кислота (ГАМК) и гипоталамический нейропептид, прежде всего пролином богатый полипептид-1 (ПБП-1).
Будучи одним из главных нейроме¬д謬аторов, ГАМК в относительно высокой кон¬цен¬трации обнаружен в головном мозге. Ус¬танов¬лено ее присутствие также в других органах и тканях [9,13,19-21]. Описано нали¬чие функциональных ГАМК рецепторов на по¬верх¬ности Т лимфоцитов [22]. ГАМК актив¬ность зарегистрирована в легких, артериях [12]. Действуя на иммунную систему, про¬являя нейроиммуномодулирующую актив¬ность, ГАМК-ергическая система стимулирует пролиферацию Т клеток, увеличивая коли¬чест¬во лимфоцитов в периферической крови [8] и Т хелперов в костном мозге [11]. Дейст¬вуя на иммунную систему и подавляя реакцию гиперчувствительности замедленного типа [22], ГАМК оказывает влияние на аутоиммун¬ные процессы, проявляет антивоспалительные свойства.
Что касается ПБП-1, выделенный впервые А.А.Галояном из гипоталамуса животных, как нейромедиатор, оказывает регулирующее вли¬я¬ние на иммунную систему [6,7,15-17], сти¬мули¬рует функцию макрофагов, обладает вы¬ра¬жен¬ными антибактериальными свойствами [6,7]. ПБП-1 регулирует также дифференци¬ровку лимфоцитов и миелогенез [16-18], сти¬мули¬рует синтез различных цитокинов. Им¬муно¬гистохимическими методами он был обна¬ру¬жен как в тимусе и лимфатических узлах, преимущественно в тучных клетках, так и на мембранах лимфоцитов, что позволило установить роль ПБП-1 в регуляции функции лимфоцитов в гуморальных и клеточно-опо¬сред¬ован¬ных иммунных реакциях [17]. Одна¬ко, значение ГАМК и ПБП-1 в механиз¬мах раз¬ви¬тия хронического воспаления и особен¬но при ХЭ, не выяснено.
Целью работы является иммуногисто¬хими¬чес¬кое определение наличия и локализации ГАМК и ПБП-1 в структурах эндометриума при ХЭ в сочетании с местными морфоло¬ги¬чес¬кими изменениями для выяснения их роли в механизмах равития и поддержания хрони¬чес¬кого воспаления.
Материал и методы исследования. Ис¬сле¬до¬вались поступившие на кафедру патологи¬чес¬кой анатомии ЕрГМУ соскобы и аспираты из полости матки, а также операционный мате¬ри¬ал – удаленные матки 150 больных женщин раз¬ных возрастных периодов, страдающих ХЭ.
Для морфологического, гистобак¬териоско¬п謬чес¬кого и иммуногистохимического иссле¬до¬вания материал фиксировался в 10% забу¬ферен¬ном формалине, заливался в парафин. Пара¬финовые срезы, толщиной 5 мкм, окра¬ши¬вались гематоксилином и эозином, по ван Гизону, пикро-Маллори II, метиловым зеленым, пиронином G по Браше, алциановым синим и ШИК-реакцией.
Иммуногистохимическое исследование про¬во¬дилось на парафиновых и криостатных срезах слизистой матки 20 больных. Ставилась непрямая реакция иммунофлуоресценции с использованием кроличьих анти-ГАМК моно¬кло¬наль¬ных иммуноглобулинов (Dia Sorin, USA) и меченой FITC иммунной сыворотки (Sigma, Clon RG-F16, USA). Срезы изучались под люминесцентным микроскопом Люмам Р3 при объективах 10 и 40, гомаль 3. Параллельно ста¬ви¬лась также непрямая реакция иммуно¬флуо¬ресценции с кроличьей поликлональной анти-ПБП-1 сывороткой и меченой ослиной антисывороткой против глобулинов кролика. Интенсивность люминесценции ГАМК и ПБП-1 в срезах оценивалась условно: максимальная (++++), средняя (++), слабая (+) и отрица¬тель¬ная (-).
Контролем служили соскобы из полости матки больных без признаков эндометрита.
Результаты исследования и обсуждение. Исследования показали, что в разных возраст¬ных группах морфологические изменения хрни¬чес¬кого воспаления в слизистой матки характеризуются стереотипностью. Опре¬делен¬¬ные различия в составе воспалительных ин¬филь¬тратов в тканях эндометрия наблю¬дались при его гипоплазии в постменопаузе, то есть на фоне нефункционирующего или атро¬фи¬чного эндометрия, которые являются характерными признаками недостаточности эстро¬генов и гестагенов. У пациенток пу¬бер¬тат¬¬ного возрас¬та, в отличие от больных осталь¬ных возраст¬ных периодов, признаки метапла¬зии железис¬то¬го эпителия не были обнару¬же¬ны.
Постоянной находкой при исследовании соскобов (аспиратов) эндометрия с установ¬лен¬ным ХЭ, явились безжелезистые папил¬лярные выросты стромы эндометрия, ин¬тен¬сив¬но инфильтрированные лимфоцитами и плазматическими клетками, с той или иной степенью примеси нейтрофильных гранулоци¬тов. Популяция лимфоцитов представлялась глав¬ным образом В-лимфоцитами, чем и объясня¬ется столь высокое содержание плаз¬мати¬ческих клеток в составе воспалительных инфильтратов.
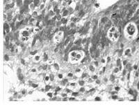
В участках с эндометриальным типом эпителия наблюдались признаки муци¬ноз¬ной метаплазии. Последняя, в основном, отно¬силась к эндоцервикальному типу, зна¬чи¬тель¬но реже к кишечному, иногда имелось их сочетание. Подобные структуры выявлялись у пациенток репродуктивного и премено¬пау¬заль¬ного возраста. В виде исключения папил¬лярные выросты стромы замечались в ранней пос¬¬тмено¬паузе, преимущественно в течение первых 2 лет после наступления менопаузы. У пациенток через несколько лет после нас¬тупления менопаузы, при гистологическом ис¬следо¬вании соскобов эндометрия были обна¬ру¬жены секреторные превращения эндо¬мет¬рия на фоне грубого распространенного фиб¬роза стромы базального слоя с диффузной крупно- и мелкоочаговой мононуклеарной ин¬филь¬трацией. Цитоплазма поверхностного эп謬телия эндометриального типа содержала мало гликогена, параллельно проявляя слабую пи¬ронино¬филию. Что касается воспалитель¬ных инфильтратов, то они постоянно наблюда¬лись в виде линейных скоплений мононуклеа¬ров и нейтрофилов под поверхностным эпите¬ли¬ем, периваскулярно и в железистых струк¬ту¬рах (рис. 1).
Рис. 1. Очаговое скопление нейтрофилов в железах эндометрия. Гем. эозин, х400

Инфильтраты были диффузными, мелко- или крупноочаговыми. Наблюдалось также формирование фолликулоподобных структур, расположенных как в функциональном, так и в базальном слоях эндометрия.
При гистобактериоскопическом исследо¬ва¬нии биопсий эндометрия нами была обнару¬же¬на разнообразная смешанная микрофлора. Часто выявлялись грампозитивные кокки, имеющие внутри- и экстрацеллюлярное рас¬по¬ло¬жение. Кроме того, частой находкой были грампозитивные палочки, расположенные на поверхности железистого эпителия и в строме эндометрия. Обнаруживались также мелкие грамнегативные кокки и палочки, располо¬жен¬ные как интрацеллюлярно, преиму¬щест¬вен¬но в поверхностном и железистом эпи¬те¬лии, так и экстрацеллюлярно - в строме эндо¬мет¬рия.
В единичных случаях была обнару¬же¬на грибковая микрофлора − актиномицеты с перифокальным некрозом и лизисом стромы и практически полным отсутствием клеточной реакции на грибок и кандиды. Бывают ситуации, когда человек вынужден после школы устроиться на работу, так и не получив образования. Обратившись к нам, мы поможем осуществить мечту. Также наша помощь нужна в случае утеря оригинала или сильного его повреждения. У нас можно купить диплом медицинского колледжа и любого другого учебного заведения. Мы изготавливаем дубликаты отменного качества. Чтобы добиться безупречного результата в производстве мастера используют свой профессионализм, ультрасовременное оборудование, богатые знания и лучшие материалы. У пациенток репродуктивного и пременопаузального воз¬рас¬та в соскобе эндометрия были обнаружены петрифицированные круглые гельминты.
В реакции иммунофлуоресценции в срезах эндометрия наблюдалось очаговое и диф¬фузное свечение (++++ и +++) макрофагов и лимфо¬ци¬тов, инфильтрирующих строму эндо¬мет¬рия. ГАМК+ реакцию проявляли также отдельные межэпителиальные лимфоциты же¬лез. Особенно заметно скопление ГАМК+ ли쬬фо¬ци¬тов с интенсивным диффузным свечением в периваскулярных инфильтратах. Сле¬дует выделить высокую иммуно¬реак¬тив¬ность эндотелиальных клеток мелких венул (рис. 2), отдельных артериол и лимфатических сосудов (рис. 3).
Рис. 2. ГАМК в эндотелиоцитах в венуле с высоким эндотелием. Непрямая реакция иммунофлуоресценции с анти-ГАМК моноклональными иммуноглобулинами (Dia Sorin, USA). Об. х40, гомаль х3

Рис. 3. ГАМК в стенке сосудов эндометрия больного хроническим эндометритом. Непрямая реакция иммунофлуоресценции с анти-ГАМК моноклональными иммуноглобулинами (Dia Sorin, USA). Об. х10, гомаль х3

Максимально интенсивную люминесценцию (++++) проявляли эндотелиоциты венул с высоким эндотелием, преимущественно в эн¬до¬метрии с признаками активации вос¬пали¬тель¬ного процесса. Эндотелий здесь вы¬делялся диффузным, гомогенным ярким све¬че¬нием. При этом клетки часто проли¬ферировали, суживая просвет сосуда, имели набухшую, сочную цитоплазму и крупное ядро. По сравнению с контролем, интенсив¬ность люминесценции посткапиллярных венул при активном воспалительном процессе была больше выражена. В эндометрии, где воспа¬ле¬ние не отличалось активностью и на фоне склероза и ангиоматоза ткани, ГАМК+ поло¬жительные сосуды обнаруживались реже. При этом уменьшение числа иммунореактивных венул среди большого количества расширен¬ных сосудов с уплощенными эндотелиоцитами в очаге воспаления следует считать показа¬телем их функциональной неполноценности [10].
Параллельное определение ПБП-1 в срезах из эндометрия показало, что по сравнению с контролем, при хроническом воспалении, структуры со специфическим свечением обна¬ру¬живались меньше. Интенсивную (++++) лю¬минесценцию удалось обнаружить со стороны клеток отдельных воспалительных инфиль¬тратов. С анти - ПБП-1 сывороткой реагиро¬ва¬ли в основном отдельные лимфоциты и базо¬фи¬лы, диффузно и очагово инфильтрирующие строму эндометрия. В макрофагах ПБП-1 не обнаруживался. При этом встречались дег¬ранули¬ру¬ющие тучные клетки с интенсивным свечением зерен. В нескольких случаях, где клеточные инфильтраты образовали лим¬фоидные фолликулы, наблюдались гнездные скопления ПБП-1 + клеток (рис. 4).
Рис. 4. ПБП-1 в клетках воспалительного инфильтрата в слизистой матки больной ХЭ. Непрямая реакция иммунофлуоресценции с кроличьей поликлональной анти-ПБП-1 сывороткой. Об. х10, гомаль х3

Что касается микроциркуляторного русла, то здесь свечение интенсивностью +++ и ++ имело место лишь со стороны отдельных эндо¬тели¬альных клеток. При этом встречались мно¬жественные тучные клетки, интенсивно реа¬гирующие с анти-ПБП-сывороткой. В учас¬т¬ках с дегрануляцией тучных клеток, люминесцирующие зерна определялись как в межклеточном веществе соединительной тка¬ни, так и на поверхности отдельных лим¬фо¬идных клеток и в стенках мелких сосу¬дов. Эти данные указывают на биологическую значи¬мость ПБП-1 в местных воспалительных и им¬мунных реакциях и обоснованность мне¬ния о его свойствах подавлять инфекционный про¬цесс [14], где протективный эффект имеет дозовую зависимость, опосредованную мак¬рофаг-ассоциированными механизмами [2].
Можно также прийти к заключению, что в механизмах местных иммунных и обменных процессов, наряду с другими регулирующими гуморальными факторами, существенную роль играет ПБП-1. Поэтому вполне обоснованным можно считать значение дефицита ПБП-1 в патогенезе хронического воспаления, который развивается в слизистой матки вследствие истощения тканевых базофилов ПБП-1 при их интенсивной дегрануляции. В условиях персис¬ти¬рующего хронического воспаления дефицит ПБП-1 в клеточных структурах эндо¬мет¬рия является важным патогенетическим фактором развития патологического процесса.
Таким образом, при ХЭ важным фактором, вызывающим нарушение местных иммунных реакций в очагах воспаления эндометрия, яв¬ля¬ется угнетение активности, полное рас¬хо¬дование и истощение тканей ГАМК и ПБП эндометрия, что не исключает возможность их значения в механизмах хронизации патологи¬чес¬¬кого процесса. Наступающий дисбаланс между содержанием нейроактивных веществ (ГАМК и ПБП-1) и иммунных клеток в струк¬ту¬рах эндометрия сопровождается наруше¬ни¬ем их взаимодействия и, соответственно, к сры¬ву защитных и адаптационных воз¬мож¬ностей организма. Поэтому ГАМК и ПБП-1, облада¬ю¬щие широким спектром биологи¬чес¬кой активности, следует рассматривать как участ¬ников местных нейроиммунных взаимо¬дейст¬вий в эндометрии при ХЭ, играющих существенную роль в разви¬тии и поддержании хронического воспаления.
Полученные данные могут быть основой для разработки и внедрения в практическую ме¬ди¬цину эффективных методов лекарствен¬ного воздействия на хронический воспали¬тель¬ный процесс при ХЭ путем фармако¬логи¬ческой коррекции обмена ГАМК и ПБП-1.
Литература
- Антипов М.С. Гинекология, 2003, 5,5, с. 194-195.
- Априкян В.С., Галоян А.А., Иммуно¬протек¬тив¬ные свойства нового гипоталамического поли¬пептида при бактериальных патологиях. Мед. наука Армении. 1999, 4, с. 29-36.
- Игнатьева Г.А. Иммунная система и патоло¬гия. Пат. физ. и экспер. терапия, 1997,4, с. 26-37.
- Казачкова Э.А. Патогенез, клинико-морфо¬ло¬ги¬ческая характеристика и лечение воспали¬тель¬ных заболеваний матки и ее придатков. Автореф. дисс. докт. мед. наук. Челябинск, 2000.
- Канаян С.А. Клинико-морфологические ас¬пек¬ты хронического эндометрита. Авто¬рефе¬рат дисс. канд. мед. наук., Ереван, 2000.
- Aprikyan V.S., Galoyan A.A. Ne¬urokhimia (RAS and NAS RA), 2000, 17,1. р.60-63.
- Aprikian V.S., Chailyan S.G., Galoyan A.A. Antibacterial activity of novel hypothalamic polipeptids. In. international congress of ISN, Buenos- Aires, Argentina, 2001, B-P7-28.
- Bandyopadyay B.C., Poddar М.К. Hypocampic GABA-ergic activity and T-cell proliferation in aged mammal; effect of dietary protein, Neurochem Int., 1998, 32, p. 191-6.
- Cavalotti D., Artico M., D`Andrea V., Cavalotti C. GABA-transaminase activity in the human thymus after administration of interferons, Hum. Immunol., 2000, 61, p. 697-704.
- Czarski J., Pilch J., Krzystof J. Morphometric examination of postcapillary vessels of palatine tonsils in patients with rheumatic arthritis and carditis with concominat chronic tonsillitis, Med. Sci. Monit., 1997,3,6, p. 773-780.
- Devoino L.V., Idola G.V., beletskaia I.O. The role of the hypophysis in the immunomo¬dula¬tory I nfluence of the GABA – ergic system. Fiziol. Zh. SSSR in I.M.Sechenova, 1990, 76, p. 808-12.
- Erdo S.L., Amenta F. Specific vascular loca¬liza¬tion of GABA-transaminase in the Guinea pig lung, Neurosci. Lett. 1986, 68, p. 202-6.
- Erofeev N.P., Kovalev G.V., Ivanova N.A., Orlov R.S., Shebeko L.V. Effect of gamma-aminobutiric acid and its analogs on the smooth muscle of veins, Bull. Eksp. Biol. Med., 1980,89, 648-50.
- Galoyan A.A. Biochemistry of Novel Cardioactive Hormones and Immunomodulators of the Functional System neurosecretory Hypothalamus-Endocrine Heart. Nauka Publi¬shers, Moscow, 2001, p.308.
- Galoyan A.A. Neurochemistry of brain neuro¬en¬doc¬rine immune system; signal molecules, Ne¬uro¬chemical research, 2000, 25, 9/10, p. 1343-1355.
- Galoyan A.A. Biochemical and molecular biological aspects of the brain immune system. M., Nauka publishers, 2001.
- Galoyan A.A., Aprikian V.S. Hypothalamic proline-rich peptide is a regulator of mielo¬poesis, J. Neurochemistry, 2003, 85, Suppl. 1. p. 20, N AP07-02.
- Galoyan A., Bedyan V., Melikyan N., Varta¬zaryan N. Immunochemical study of the locali¬za¬tion of hypothalamic cytokine – Prolin Rich Polypeptide in lymphatic node, thymus and heart, Нейрохимия, 2001,18, 2, с.147-152.
- Geigerseder C., Doepner R., Thalhammer A., frungieri M.B., Gamer-Dimelon K., Calandra R.S., Kohn F.M., Maverhofer A. Evidence for a GABAergic system I rodent and human testis; local GABA production ana GABA receptors, Neuroendocrinology, 2003, 77, p. 314-28.
- Gilon P., Bertand G., Loubatieres-Mariani M.M., Remaele G., Henquin J.C. The influence of GABA on hormone release by the mouse and rat endocrine pancreas, Endocrinology, 1991, 129(5), p. 2521-9.
- Ong J., Kerr D.L. GABA –receptors in peri¬phe¬ral tissues, Life Sci., 1990, 46, p. 489-501.
- ian J., Chau C., Hales T.G., Kaufman D.L. GABA receptors mediate inhibition of T cell responses, J. Neuroimmunol., 1999, 1, p. 21-8.
18.02.2007 Читайте также
Ключевые слова: саркома мягких тканей, реконструктивная хирургия, комплексное лечение, рецидив, сохранные операции
Саркомы мягких тканей (СМТ) являются опухолями, поражающими преимущественно конечности. Несмотря на достижения современной онкологии и развитие всех методов противоопухолевого воздействия, лечение СМТ представляет собой одну из наиболее сложных проблем современной онкологии. Причиной этому является склонность данной группы опухолей к метастазированию, местному рецидивированию и кажущаяся простота лечения данного вида опухолей...
24.02.2007
Ключевые слова: артериальная гипертония, эпросартан, ремоделирование сосудов, дуплекс- исследование сосудов
Введение. Несмотря на значительный прогресс, достигнутый в лечении артериальной гипертонии (АГ), ряд проблем, связанных с осложнениями и терапией этого заболевания, остаются нерешенными. Одним из основных проблем АГ является поражение ряда органов и систем, что определяется уровнем повышения артериального давления (АД), избирательностью фармакотерапии, вариабельностью АД [2,3]...
24.02.2007 Ключевые слова: политравма, иммунореактивность, цитокиновый статус
ольные с множественными и сочетанными травмами представляют крайне тяжелый контингент с летальностью 40-50%. Поэтому любые диагностические критерии играют важное значение для выявления нарушений витальных функций организма в максимально короткие сроки, особенно в отделениях интенсивной терапии (ОИТ). Одним из таких критериев, к сожалению мало применяемых на практике, является иммунореактивность организма...
23.02.2007 Ключевые слова: лапароскопическая нефрэктомия, крипторхизм Лечение абдоминального крипторхизма продолжает оставаться серьезной проблемой в детской урологии. Различные аспекты проблемы адекватного лечения больных с синдромом непальпируемых яичек широко обсуждаются в детской урологической литературе. При этом методы малоинвазивной лапароскопической хирургии занимают все более заметное место в общепринятом комплексе диагностических и лечебных мероприятий [1,2]...
22.02.2007 Ключевые слова: эхинококкоз, сколецидное действие, химические вещества, ультразвук За последнее десятилетие, по данным многих авторов, в странах ближнего и дальнего зарубежья отмечается значительный рост заболеваемости эхинококкозом, в связи с чем проблема лечения гидатидного эхинококкоза остается актуальной.
Эхинококкоз (Echinococcosis) – хроническое паразитарное заболевание, характеризующееся развитием в печени, легких и реже в других органах солитарных или множественных кистозных образований...
21.02.2007 Ключевые слова: ишемия миокарда, защита миокарда, аортокоронарное шунтирование, прекондиционирование Введение. Защита миокарда от ишемии и реперфузии является одной из главных задач при глобальной миокардиальной ишемии во время операций аортокоронарного шунтирования (АКШ). Неадекватная защита миокарда приводит к возникновению таких послеоперационных осложнений, как низкий сердечный выброс, периоперативный инфаркт миокарда, острая сердечная недостаточность, требующих пролонгированной интенсивной терапии...
20.02.2007 Ключевые слова: острое толстокишечное кровотечение, неспецифический язвенный колит
Острые кровотечения из толстой кишки продолжают оставаться одной из наиболее актуальных проблем неотложной абдоминальной хирургии [1,6,13]. Это связано как с ростом удельного веса острых толстокишечных кровотечений (ОТК) среди желудочно-кишечных кровотечений (ЖКК) вообще, так и неудовлетворенностью результатами лечения и высокими показателями летальности (15-18%) у данного тяжелого контингента больных [10,11]...
19.02.2007 Ключевые слова: острый коронарный синдром, атеросклеротические бляшки
Морфологической основой острого коронарного синдрома являются так называемые нестабильные атеросклеротические бляшки коронарных артерий, склонные к изъязвлению и разрыву с последующим тромбозом [1]. Механизмы развития нестабильности атеросклеротических бляшек и разрыва их разнообразны и недостаточно изучены. Предполагается, что риск разрыва бляшки связан с ее структурой...
18.02.2007 Ключевые слова: брюшина, полость брюшины, забрюшинное пространство, брюшная стенка, классификация, перечень, кодировка
Брюшина, полость брюшины, забрюшинное пространство и брюшная стенка имеют эмбриогенетическое, анатомо-топографическое и функциональное сродство, являясь биологическим резервуаром для органов живота и таза, выполняя каркасные и защитные функции. Между тем номенклатура заболеваний и причин смерти ВОЗ 10-го пересмотра не выделяет поражения этих анатомических формирований как заболевание или как группу заболеваний [1]...
18.02.2007
Ключевые слова: контакты, заболеваемость, социальный статус, сопутствующие заболевания, лекарственная устойчивость
Проблема роли отягощающих факторов в патогенезе туберкулеза во все времена была актуальной. Изменялся лишь приоритет тех или иных факторов. Если в период благоприятного патоморфоза туберкулеза в связи с уменьшением массивности инфекции большую роль играла эндогенная реактивация туберкулеза у инфицированных и рентгенположительных лиц, в настоящее время основная роль принадлежит массивности и вирулентности инфекции, особенно в очагах туберкулеза...
17.02.2007 Ключевые слова: телемедицина, трансфер, радиологические изображения, JPEG, Wavelet
Развитие медицинской науки и практического здравоохранения, как и любой другой области человеческих знаний идет неравномерно в различных регионах планеты и даже в пределах одной страны. Особенно ярко необходимость оказания квалифицированной и специализированной врачебной помощи, привнесенной извне, проявляется при больших стихийных бедствиях и техногенных катастрофах, примерами которых являются землетрясение в Армении и авария на Чернобыльской АЭС...
17.02.2007 Ключевые слова: аллергия, гиперреактивность бронхов, обратимая обструкция, мобилизация первичного звена, выявление БА на ранних стадиях, пикфлоуметрия В 80-е годы прошлого столетия бронхиальная астма (БА) рассматривалась как самостоятельное заболевание, в основе которого лежит гиперреактивность бронхов, а основным или единственным клиническим выражением которого является приступ экспираторного удушья [2]. Аллергия стала рассматриваться как одна из форм воспаления, лежащего в основе обострения БА [1]...
16.02.2007
Ключевые слова: кишечник, ишемия, реперфузия
Острые нарушения мезентерального кровообращения представляют собой одно из тяжелейших и вместе с тем недостаточно изученных заболеваний, с которыми часто приходится сталкиваться в клинической практике. Несмотря на достигнутые успехи в изучении патогенеза, диагностики и лечения острой ишемии кишечника, смертность не снижается и составляет 60-83% [3,18,24]. Проблема инфаркта кишечника выдвигает ряд еще неразрешенных вопросов...
15.02.2007 Ключевые слова: мозговой натрийуретический пептид, хроническая сердечная недостаточность, ремоделирование миокарда
Исследование натрийуретических пептидов берет начало с 1956г., когда при помощи электронной микроскопии в клетках предсердий впервые были обнаружены гранулы, аналогичные гранулам эндокринных желез [1]. В 1981г. был открыт предсердный натрийуретический пептид (ПНП). Тогда же канадские исследователи A. de Bold et al. [2] впервые опубликовали данные о выраженном диуретическом эффекте при внутривенном введении экстракта из ткани предсердий крыс...
15.02.2007
Warning: mysqli::query(): (HY000/1): Can't create/write to file '/var/tmp/MYwSANWN' (Errcode: 28 - No space left on device) in /sites/med-practic.com/classes/DatabaseManager_2.1.php on line 1381
Fatal error: Uncaught Error: Call to a member function fetch_assoc() on bool in /sites/med-practic.com/classes/DatabaseManager_2.1.php:1384 Stack trace: #0 /sites/med-practic.com/classes/article_class.php(102): TableManager->querySelectClassic('SELECT a.id, a....', Array) #1 /sites/med-practic.com/includes/include_footer_amen_kard_hod.php(5): Article->SelectAmenakardacvatsArticles(2) #2 /sites/med-practic.com/includes/include_bottom.php(9): require_once('/sites/med-prac...') #3 /sites/med-practic.com/bottom.php(7): require_once('/sites/med-prac...') #4 /sites/med-practic.com/article_more.php(151): require_once('/sites/med-prac...') #5 {main} thrown in /sites/med-practic.com/classes/DatabaseManager_2.1.php on line 1384















Научная медицина
Болезни
Традиционная медицина
Здоровый образ жизни
Косметология
Медицинское право
Алгоритмы, тесты
Цифры, факты, случаи
Историческая хроника
Афоризмы
Карьерная лестница
Дети
Женщина
Мужчина
Рейтинговая система