НОВОСТИ. Новые методы лечения
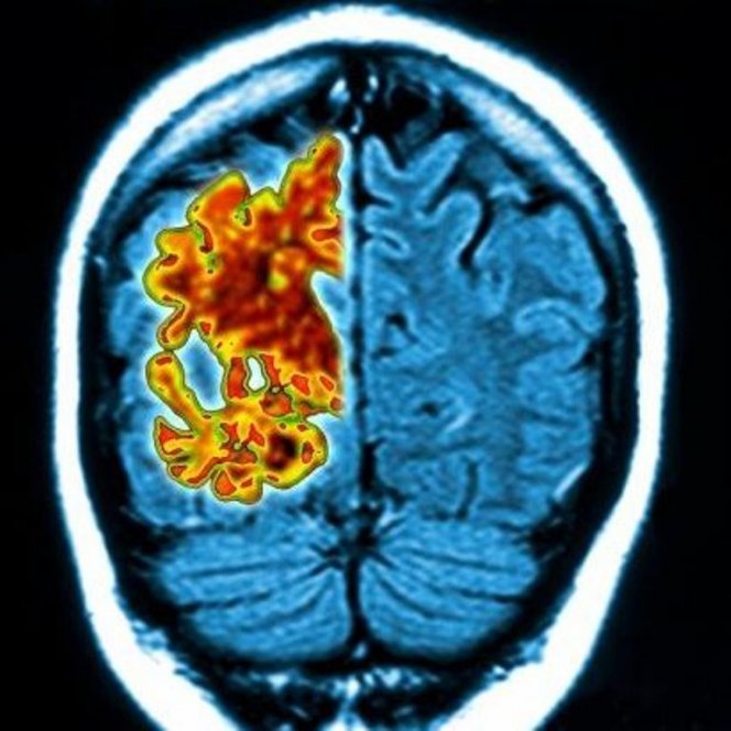
Инъекции генов помогут остановить болезнь Альцгеймера
Развитие болезни Альцгеймера можно остановить с помощью инъекций в центры памяти мозга. Они активизируют генетические процессы, очищающие мозг от деструктивных бета-амилоидных бляшек, как полагают ученые из Имперского колледжа Лондона.
Четыре года тому назад ученые обнаружили, что белок под названием PGC1 -alpha является жизненно важным в деле предотвращения скоплений бета-амилоидных бляшек в мозге. У людей с болезнью Альцгеймера он не производится в достаточных количествах. Исследователи доказали возможность проведения инъекций, вызывающих образование данного белка, прямо в мозг.
Проходящие через генетическую терапию мыши с ранней стадией болезни Альцгеймера не столкнулись с характерными бляшками и продемонстрировали одинаково хорошие показатели в тестах на память, как и здоровые мыши всего после 4 месяцев лечения. Авторы исследования полагают, что полученные ими результаты в один прекрасный день могут обеспечить новую методику предотвращения заболевания или его приостановки на ранней стадии. И хотя эти достижения еще предварительные, уже можно предположить, что генетическая терапия обладает потенциальной терапевтической силой для пациентов с болезнью Альцгеймера.
Число жертв деменция или старческого слабоумия в России превышает один миллион человек. Среди его симптомов потеря памяти, спутанность сознания, изменения в настроении и характере. Болезнь неизлечима, хотя существуют лекарства, способные уменьшить ее симптомы. Исследователи использовали разновидность модифицированного вируса для доставки в клетки мозга.
Безвредный вирус подвергся редактированию для того, чтобы в него включили ген, который инфицировал клетки мозга и переписал их генетический код для производства большего количества белка, сражающегося с бляшками. Инъекции проводились в области гиппокампа и коры мозга, отвечающие за процессы формирования памяти и ориентации - именно эти зоны первыми страдают при болезни Альцгеймера.
19.10.2016 Читайте также
Yeztugo, для доконтактной профилактики ВИЧ с полугодичным интервалом между инъекциями, препятствует размножению вируса, блокируя образование его защитной оболочки...
24.06.2025
Исследователи из Университета Маккуори обнаружили природный белок, содержащийся в клетках человека, который играет важную роль в восстановлении поврежденной ДНК — молекулы...
19.06.2025
САМЫЕ ЧИТАЕМЫЕ СТАТЬИ
-
Нормы роста и веса детей – данные ВОЗ
-
Зеленые выделения из влагалища: причины и лечение
- Анатомо-физиологические особенности дыхательной системы у детей
-
Насморк с кровью: причины симптома и способы лечения
- Анатомо-физиологические особенности сердечно-сосудистой системы у детей
- Анатомо-физиологические особенности пищеварительной системы у детей
- Анатомо-физиологические особенности мочевыделительной системы у детей
- Сравнительная характеристика параметров функции внешнего дыхания (обзор литературы)
- Современные представления о норме и патологических отклонениях размеров восходящей аорты при приобретенных пороках сердца
- Анатомо-физиологические особенности детей
- Анатомо-физиологические особенности костно-мышечной системы у детей
- Паллиативная химиотерапия рака: основные понятия и особенности (oбзор литературы)
-
Что можно и что нельзя делать после удаления аппендицита
-
Увеличенные яичники: симптомы, причины и лечение
-
Новейшие достижения онкологии в МЦ «Наири»: интервью с Артемом Степаняном. nairimed.com
-
О чем говорит головная боль за ухом? Причины, симптомы и лечение
-
Как снизить риск инсульта. erebunimed.com
-
Характер мужчины проявляется в выборе позы для секса
-
Армянская ассоциация медицинского туризма (ААМТ)
-
Желтые выделения из влагалища: причины и лечение
-
Рвота у ребенка без температуры: возможные причины
- Применение летрозола для стимуляции овуляции
- Врожденные аномалии и пороки развития
-
КАТИОНОРМ – представитель нового поколения искусственных слез для симптоматической терапии синдрома “сухого глаза”
-
Арам Бадалян: Родинку трогать нельзя?
- Применение противоспаечных средств в профилактике спаечной болезни живота (oбзор литературы)
-
Как избавиться от лямблий — 25 эффективных рецептов народной медицины
-
Вздутие живота при месячных: 7 способов справиться с неприятным ощущением
-
Компресс при ангине: будет ли полезным прогревание горла?
-
Онкология является самой быстроразвивающейся отраслью медицины: интервью с Левоном Бадаляном
-
Лечение марганцовкой
- Некоторые новые подходы к системной терапии метипредом больных ревматоидным артритом
- Медицинские информационные системы.Информационная система для интегрального фармацевтического и здравоохранного мониторинга
-
Фармацевтическая опека
- Подходы к оперативному лечению костно-хрящевых экзостозов
- Повреждения при родах
- Инциденталома надпочечников
-
Курение марихуаны влияет на потенцию
-
Почему противозачаточные увеличивают грудь?
- Применение индинола и эпигаллата при аденомиозе













Научная медицина
Болезни
Традиционная медицина
Здоровый образ жизни
Косметология
Медицинское право
Алгоритмы, тесты
Цифры, факты, случаи
Историческая хроника
Афоризмы
Карьерная лестница
Дети
Женщина
Мужчина
Рейтинговая система