НОВОСТИ. Сердечно-сосудистая система
Антикварные часы подсказали, как получить кардиостимулятор без батареи
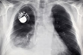
Швейцарские ученые произвели настоящий фурор на прошедшем в выходные ежегодном совещании Европейского общества кардиологов в Барселоне. Дело в том, что они представили новый кардиостимулятор, работающий без батареек. Суть в использовании принципа автоподзавода, как в наручных часах, пишет "NewsRU Israel".
Современные кардиостимуляторы эффективно регулируют ритм сердцебиения, но с ними есть проблемы. Основная - необходимость подзарядки. А чтобы поменять в устройстве батарею, необходимо провести полноценную операцию. Отказаться от батареек удалось инженеру Адриану Зурбахену из Бернского университета.
За основу он взял часовой механизм с автоматическим заводом, разработанный для карманных часов швейцарской марки Abraham-Louis Perrelet в 1777 году. Подобно тому, как наручные часы заряжаются при перемещении по запястью благодаря заводу пружины, механизм в кардиостимуляторе генерирует электрический ток, используя движения сердечной мышцы.
Но тогда стимулятор нужно имплантировать прямо в сердце. Подход уже опробовали на свиньях. Стимулятор давал устойчивый ритм сердцебиения в 130 ударов в минуту. Когда кардиостимулятор испытают на людях, пока не сообщается.
02.09.2014 Читайте также
Некоторые кишечные бактерии связаны с повышенным риском атеросклероза, сообщила кандидат биологических наук, руководитель отдела микробиологии сервиса «Новабиом» Софья Цветикова...
23.06.2025
Если в организме повышен уровень гомоцистеина, то это может спровоцировать опасные последствия для здоровья. Держать его под контролем помогают определенные витамины, объясняет эндокринолог Виктория Иванова...
04.06.2025
Опубликованы результаты исследования объединенных данных двух регистров (всего пациенток - 239907), посвященных оценке связи гистерэктомии, возраста проведения данного...
28.05.2025
Имеются данные о том, что снижение активности оси гормон роста/инсулиноподобный фактора роста -1 является распространенным явлением при сердечной недостаточности...
15.04.2025
Первый жест пациента, которым он показывает на очаг боли, особенно важен для врачей. Есть знак, который может испугать опытного специалиста, или наоборот...
14.04.2025
Крупнейшее европейское исследование выявило тревожную связь между фибрилляцией предсердий (ФП) и риском развития деменции...
11.04.2025
Это может быть как безобидной реакцией на стресс, так и признаком серьезных нарушений. Резкое пробуждение среди ночи с ощущением, что сердце «выскакивает» из груди...
10.04.2025
Американские ученые из Северо-Западного университета разработали временный кардиостимулятор, который меньше рисового зерна и не требует хирургического удаления...
08.04.2025
Ученые Гарвардского университета обнаружили, что повышенное артериальное давление, измеренное в положении лежа, существенно увеличивает вероятность...
17.03.2025
САМЫЕ ЧИТАЕМЫЕ СТАТЬИ
-
Нормы роста и веса детей – данные ВОЗ
-
Зеленые выделения из влагалища: причины и лечение
- Анатомо-физиологические особенности дыхательной системы у детей
-
Насморк с кровью: причины симптома и способы лечения
- Анатомо-физиологические особенности сердечно-сосудистой системы у детей
- Анатомо-физиологические особенности пищеварительной системы у детей
- Анатомо-физиологические особенности мочевыделительной системы у детей
- Сравнительная характеристика параметров функции внешнего дыхания (обзор литературы)
- Современные представления о норме и патологических отклонениях размеров восходящей аорты при приобретенных пороках сердца
- Анатомо-физиологические особенности детей
- Анатомо-физиологические особенности костно-мышечной системы у детей
- Паллиативная химиотерапия рака: основные понятия и особенности (oбзор литературы)
-
Что можно и что нельзя делать после удаления аппендицита
-
Увеличенные яичники: симптомы, причины и лечение
-
Новейшие достижения онкологии в МЦ «Наири»: интервью с Артемом Степаняном. nairimed.com
-
Как снизить риск инсульта. erebunimed.com
-
О чем говорит головная боль за ухом? Причины, симптомы и лечение
-
Характер мужчины проявляется в выборе позы для секса
-
Армянская ассоциация медицинского туризма (ААМТ)
-
Желтые выделения из влагалища: причины и лечение
-
Рвота у ребенка без температуры: возможные причины
- Применение летрозола для стимуляции овуляции
- Врожденные аномалии и пороки развития
-
КАТИОНОРМ – представитель нового поколения искусственных слез для симптоматической терапии синдрома “сухого глаза”
-
Арам Бадалян: Родинку трогать нельзя?
- Применение противоспаечных средств в профилактике спаечной болезни живота (oбзор литературы)
-
Как избавиться от лямблий — 25 эффективных рецептов народной медицины
-
Вздутие живота при месячных: 7 способов справиться с неприятным ощущением
-
Компресс при ангине: будет ли полезным прогревание горла?
-
Онкология является самой быстроразвивающейся отраслью медицины: интервью с Левоном Бадаляном
-
Лечение марганцовкой
- Некоторые новые подходы к системной терапии метипредом больных ревматоидным артритом
- Медицинские информационные системы.Информационная система для интегрального фармацевтического и здравоохранного мониторинга
-
Фармацевтическая опека
- Подходы к оперативному лечению костно-хрящевых экзостозов
- Повреждения при родах
- Инциденталома надпочечников
-
Курение марихуаны влияет на потенцию
-
Почему противозачаточные увеличивают грудь?
- Применение индинола и эпигаллата при аденомиозе













Научная медицина
Болезни
Традиционная медицина
Здоровый образ жизни
Косметология
Медицинское право
Алгоритмы, тесты
Цифры, факты, случаи
Историческая хроника
Афоризмы
Карьерная лестница
Дети
Женщина
Мужчина
Рейтинговая система