НОВОСТИ. Травматология и ортопедия
Согласно новому исследованию Университета Западной Виргинии, добавки с глюкозамином могут снижать общую смертность примерно так же, как и регулярные физические упражнения, пишет Science Daily...
04.12.2020
Травматологи используют уникальный имплант, изготовляемый на 3D-принтере. Он может применяться для лечения сложных переломов ног, которые до последнего времени иногда требовали ампутаций...
02.12.2020
Британские эксперты из Оксфордского университета провели сравнительный анализ, который позволил установить, как рацион человека влияет на риск переломов. Исследованию подвергли людей, придерживавшихся разной диеты, передает ТАСС...
24.11.2020
Университет ИТМО и Торонтский университет, передает ТАСС, разработали гидрогель, который борется с устойчивыми к антибиотикам бактериями и способствует заживлению ран. Было предложено использовать биоматериалы для получения ранозаживляющих повязок...
23.11.2020
Как передает The Hindustan Times, внимание ученых Имперского колледжа Лондона привлекло лекарство, используемое для лечения ревматоидного артрита. Оно, по их мнению, может снизить риск смерти у пожилых пациентов...
18.11.2020
Используя магнитное поле и гидрогели, группа исследователей из Медицинской школы Перельмана при Университете Пенсильвании продемонстрировала новый способ восстановления сложных тканей тела...
28.10.2020
Самарский университет, Самарский медицинский университет и международная межвузовская лаборатория "Тканевая инженерия" (НИЛ ТИ), передает РИА "Новости", представили новый материал, способный повысить эффективность лечения...
26.10.2020
"Умная" повязка на рану, разработанная австралийскими исследователями, может выявить прогрессирование инфекции, и это, не причиняя боли пациентам с ожогами, кожными трансплантатами и хроническими ранами...
22.10.2020
Исследователи из Медицинской школы Стэнфордского университета открыли способ регенерации хрящевой подушки суставов. Для этого сначала нужно нанести небольшое повреждение суставной ткани, а затем использовать...
01.09.2020
Проникновение микробов в рану может вызвать обширную инфекцию, при неправильном лечении которой возможен сепсис. Проблема устойчивости к антибиотикам становится все более и более распространенной...
26.08.2020
Новая молекула, разработанная в лаборатории, обладает потенциальным терапевтическим действием для лечения артрита. Ее испытали на мышиной модели. В результате было установлено, что молекула подавляет воспалительный процесс...
24.08.2020
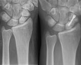
Новое исследование, представленное в журнале The Lancet, показало, что использование гипса так же эффективно при лечении переломов ладьевидной кости запястья, как и хирургическое вмешательство...
11.08.2020
Сотрудники Университета Макмастера, сообщает Medical Express, решили разобраться, почему у некоторых представителей силовых видов спорта мышцы растут быстрее, чем у других...
06.08.2020
Американские ученые представили инъекционный свертывающий кровь агент, который сокращает объем потери крови на 97%, показали эксперименты с мышами. Как отмечает Medical Express, лиофилизированный агент...
04.08.2020
Medtronic приобретает разработчика имплантов для позвоночника на основе искусственного интеллекта
Компания Medtronic и Medicrea, разработчик решений для хирургии позвоночника на основе...
29.07.2020
Ученые из Университета Южной Австралии представили первый в мире перевязочный материал, покрытый антиоксидантом, обработанным в ходе плазменной полимеризации. Он призван бороться с инфекцией и воспалением...
14.07.2020
Ученые из Университета Стаффордшира создали уникальные стельки для людей с диабетом. По их словам, новые стельки, напечатанные на трехмерном принтере, могут значительно улучшить состояние ног у диабетиков...
30.06.2020
Артрозы, и в общем, и, в частности, заболевания тазобедренных и коленных суставов (коксартроз, гонатроз), распространены в Армении и встречаются приблизительно с одинаковой частотой...
24.06.2020
Научно-исследовательский институт травматологии и ортопедии (НИИТО) им. Я. Л. Цивьяна, Научно-исследовательский институт экспериментальной и клинической медицины (НИИЭКМ) и Федеральный исследовательский центр...
24.06.2020
САМЫЕ ЧИТАЕМЫЕ СТАТЬИ
-
Нормы роста и веса детей – данные ВОЗ
-
Зеленые выделения из влагалища: причины и лечение
- Анатомо-физиологические особенности дыхательной системы у детей
-
Насморк с кровью: причины симптома и способы лечения
- Анатомо-физиологические особенности сердечно-сосудистой системы у детей
- Анатомо-физиологические особенности пищеварительной системы у детей
- Анатомо-физиологические особенности мочевыделительной системы у детей
- Сравнительная характеристика параметров функции внешнего дыхания (обзор литературы)
- Современные представления о норме и патологических отклонениях размеров восходящей аорты при приобретенных пороках сердца
- Анатомо-физиологические особенности детей
- Анатомо-физиологические особенности костно-мышечной системы у детей
- Паллиативная химиотерапия рака: основные понятия и особенности (oбзор литературы)
-
Что можно и что нельзя делать после удаления аппендицита
-
Увеличенные яичники: симптомы, причины и лечение
-
Новейшие достижения онкологии в МЦ «Наири»: интервью с Артемом Степаняном. nairimed.com
-
О чем говорит головная боль за ухом? Причины, симптомы и лечение
-
Как снизить риск инсульта. erebunimed.com
-
Характер мужчины проявляется в выборе позы для секса
-
Армянская ассоциация медицинского туризма (ААМТ)
-
Желтые выделения из влагалища: причины и лечение
-
Рвота у ребенка без температуры: возможные причины
- Применение летрозола для стимуляции овуляции
- Врожденные аномалии и пороки развития
-
КАТИОНОРМ – представитель нового поколения искусственных слез для симптоматической терапии синдрома “сухого глаза”
-
Арам Бадалян: Родинку трогать нельзя?
- Применение противоспаечных средств в профилактике спаечной болезни живота (oбзор литературы)
-
Как избавиться от лямблий — 25 эффективных рецептов народной медицины
-
Вздутие живота при месячных: 7 способов справиться с неприятным ощущением
-
Компресс при ангине: будет ли полезным прогревание горла?
-
Онкология является самой быстроразвивающейся отраслью медицины: интервью с Левоном Бадаляном
-
Лечение марганцовкой
- Некоторые новые подходы к системной терапии метипредом больных ревматоидным артритом
- Медицинские информационные системы.Информационная система для интегрального фармацевтического и здравоохранного мониторинга
-
Фармацевтическая опека
- Подходы к оперативному лечению костно-хрящевых экзостозов
- Повреждения при родах
- Инциденталома надпочечников
-
Курение марихуаны влияет на потенцию
-
Почему противозачаточные увеличивают грудь?
- Применение индинола и эпигаллата при аденомиозе













Научная медицина
Болезни
Традиционная медицина
Здоровый образ жизни
Косметология
Медицинское право
Алгоритмы, тесты
Цифры, факты, случаи
Историческая хроника
Афоризмы
Карьерная лестница
Дети
Женщина
Мужчина
Рейтинговая система