НОВОСТИ. Стоматология
Молодые ученые из СПбГУ предложили печатать дешевые зубные протезы на 3D-принтере
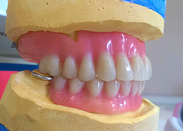
Услуги стоматолога на сегодняшний день оцениваются недешево, но люди, стремясь обрести красивую и здоровую улыбку, готовы выложить за это даже крупную сумму. СПбГУ предлагают создавать качественные зубные протезы и коронки бюджетного варианта с использованием 3D-принтера.
На сегодняшний день стоматологические клиники России отпугивают многих людей, столкнувшихся со связанной с зубами проблемой, невероятно высокими ценами. Керамическую коронку специалисты предлагают установить за 20000 рублей, а использование виниров обойдется «беззубому» клиенту около 30000 рублей. Петербургские студенты утверждают, что стоимость красивой улыбки можно значительно снизить, если применить для изготовления зубных «деталей» новый метод.
Учащиеся СПбГУ предлагают изготавливать коронки из «жидкой» керамики или фотополимерной смолы, что значительно удешевит их производство, а значит и услуги дантиста. На сегодняшний день молодые российские ученые в рамках проекта «Start-up СПбГУ-2018» занимаются разработкой данного уникального материала, который подойдет для напечатания виниров на стереолитографическом 3D-принтере, и тестируют его на биосовместимость.
Подходящее устройство уже существует, а также обдуман способ изготовления дешевых зубных коронок. В принтере «жидкая» керамика облучается лазером и застывает. Заготовку для будущего протеза после затвердения следует предать обработке в высокотемпературной печи, где фотополимерная смола превратится в сверхпрочный керамический материал. Размеры изделия задаются в трехмерной цифровой модели, а его форма формируется путем наложения слоев друг на друга.
Перед изготовлением коронки или зубного протеза стоматолог должен отсканировать ротовую полость пациента и обработать данные с помощью специальной компьютерной программы. Затем, основываясь на полученных сведениях, 3D-принтер всего за 40 минут изготовит необходимое изделие из гипоаллергенного материала. Новые коронки и виниры по качеству, уверены авторы проекта, не уступят нынешним зубным протезам, однако их стоимость будет почти в три раза ниже.
17.05.2018 Читайте также
Идея выращивания зубов в лаборатории может напоминать сюжет из фантастического фильма, но на самом деле она имеет важное практическое применение — замену...
17.05.2025
Имеется связь между присутствием патогенных бактерий в полости рта и ухудшением когнитивных функций. Определенные виды бактерий могут как улучшать...
06.02.2025
Если стоматолог рекомендует вам удалить зубы мудрости, но вы не уверены в целесообразности этой процедуры, новое исследование, возможно, развеет сомнения: оказывается...
02.05.2024
В Испании нашли скрытую пользу листового салата и свеклы для зубов и десен
Чистить зубы и поддерживать здоровье полости рта может быть приятнее...
13.02.2024
Инфекционист Тимаков: вакцинная профилактика кариеса детей сохранит их здоровье
В Белоруссии взялись за создание вакцины против кариеса...
12.02.2024
Ученые разработали изделие, которое служит средством гигиены и при этом содержит микрокапсулы с лекарственными препаратами...
15.11.2023
Ученые МФТИ в сотрудничестве с коллегами из РУДН (Институт цифровой стоматологии) разработали новый способ измерения толщины зубной эмали на палеонтологическом материале на основе предложенных...
28.08.2023
Все больше данных указывает на связь между железодефицитной анемией и тяжелым кариесом. Неизвестно, является ли связь коррелятивной или причинной, хотя оба состояния связаны с плохим питанием и чаще встречаются у людей...
27.10.2021
Результаты исследования Медицинского колледжа Университета Кентукки могут привести к новому способу борьбы с бактериями, вызывающими кариес. Ученые выявили потенциальную терапевтическую мишень...
10.08.2021
Исследование показало, что ранняя потеря зубов - фактор риска серьёзных когнитивных нарушений. А наиболее опасной их разновидностью является старческое слабоумие...
15.07.2021
Ученые из Университета Пенсильвании пришли к выводу о том, что удаление зуба мудрости улучшает вкусовые ощущения человека. В среднем, этот показатель вырастает на 10%...
30.06.2021
Директор Института стоматологии имени Боровского Первого московского государственного медицинского университета (МГМУ) имени Сеченова Ирина Макеева предупреждает, что на фоне развития различных заболеваний...
26.05.2021
Исследователи из Университета Нью-Йорка установили связь между заболеваниями дёсен и болезнью Альцгеймера. Это неплохая мотивация более тщательно очистить зубы и пользоваться зубной нитью...
15.04.2021
Университет Нью-Йорка доказал: люди, пренебрегающие гигиеной полости рта, в большей степени рискуют пострадать от слабоумия, включая болезнь Альцгеймера. Как передает "Lenta.RU", патогенная микрофлора десен...
15.04.2021
САМЫЕ ЧИТАЕМЫЕ СТАТЬИ
-
Нормы роста и веса детей – данные ВОЗ
-
Зеленые выделения из влагалища: причины и лечение
- Анатомо-физиологические особенности дыхательной системы у детей
-
Насморк с кровью: причины симптома и способы лечения
- Анатомо-физиологические особенности сердечно-сосудистой системы у детей
- Анатомо-физиологические особенности пищеварительной системы у детей
- Анатомо-физиологические особенности мочевыделительной системы у детей
- Сравнительная характеристика параметров функции внешнего дыхания (обзор литературы)
- Современные представления о норме и патологических отклонениях размеров восходящей аорты при приобретенных пороках сердца
- Анатомо-физиологические особенности детей
- Анатомо-физиологические особенности костно-мышечной системы у детей
- Паллиативная химиотерапия рака: основные понятия и особенности (oбзор литературы)
-
Что можно и что нельзя делать после удаления аппендицита
-
Увеличенные яичники: симптомы, причины и лечение
-
Новейшие достижения онкологии в МЦ «Наири»: интервью с Артемом Степаняном. nairimed.com
-
О чем говорит головная боль за ухом? Причины, симптомы и лечение
-
Как снизить риск инсульта. erebunimed.com
-
Характер мужчины проявляется в выборе позы для секса
-
Армянская ассоциация медицинского туризма (ААМТ)
-
Желтые выделения из влагалища: причины и лечение
-
Рвота у ребенка без температуры: возможные причины
- Применение летрозола для стимуляции овуляции
- Врожденные аномалии и пороки развития
-
КАТИОНОРМ – представитель нового поколения искусственных слез для симптоматической терапии синдрома “сухого глаза”
-
Арам Бадалян: Родинку трогать нельзя?
- Применение противоспаечных средств в профилактике спаечной болезни живота (oбзор литературы)
-
Как избавиться от лямблий — 25 эффективных рецептов народной медицины
-
Вздутие живота при месячных: 7 способов справиться с неприятным ощущением
-
Компресс при ангине: будет ли полезным прогревание горла?
-
Онкология является самой быстроразвивающейся отраслью медицины: интервью с Левоном Бадаляном
-
Лечение марганцовкой
- Некоторые новые подходы к системной терапии метипредом больных ревматоидным артритом
- Медицинские информационные системы.Информационная система для интегрального фармацевтического и здравоохранного мониторинга
-
Фармацевтическая опека
- Подходы к оперативному лечению костно-хрящевых экзостозов
- Повреждения при родах
- Инциденталома надпочечников
-
Курение марихуаны влияет на потенцию
-
Почему противозачаточные увеличивают грудь?
- Применение индинола и эпигаллата при аденомиозе













Научная медицина
Болезни
Традиционная медицина
Здоровый образ жизни
Косметология
Медицинское право
Алгоритмы, тесты
Цифры, факты, случаи
Историческая хроника
Афоризмы
Карьерная лестница
Дети
Женщина
Мужчина
Рейтинговая система