НОВОСТИ. Психические и поведенческие расстройства
Ученые из Квинслендского университета не обнаружили доказательств роста распространенности расстройств аутистического спектра за последние 20 лет. Результаты проведенного исследования опубликованы в журнале Psychological Medicine...
15.08.2014
Организация Psychiatric Genomics Consortium – Schizophrenia совместно с учеными из Института психиатрии имени Макса Планка в Мюнхене обнаружили более 100 генетических локусов, связанных с шизофренией...
31.07.2014
Ученые из Университета Кардиффа выделили более 100 специфических генов, непосредственно связанных с началом тяжелейшей психической болезни. Это может трансформировать...
23.07.2014
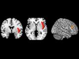
Исследователи из университетов Манчестера и Ливерпуля выяснили, что те области мозга, которые отвечают за удовольствие, чрезвычайно активны у людей с биполярным расстройством...
11.07.2014
От шизофрении страдает до 1,1% всего населения земного шара, и до 1,5 млн россиян. Несмотря на такое широкое распространение это психической болезни...
16.05.2014
При формировании мозга в пренатальном периоде в коре происходит образование шести слоев нервных клеток. В каждом слое образуются клетки особого типа, связанные между собой сетью уникальных контактов...
25.03.2014
Ученым давно известно, что у людей, страдающих некоторыми заболеваниями, чаще диагностируется шизофрения, чем это характерно для населения в среднем...
04.03.2014
Исследователи Университета Ноттингема нашли истинную причину возникновения психоза и галлюцинаций у больных шизофренией...
23.08.2013
Ученые считают, что нарушения в движении глаз свидетельствуют о проблемах психики. На основе этого утверждения они разработали методику диагностики шизофрении, которая может похвастаться...
16.07.2013
Ученые пришли к выводу, что развитие аутизма связано напрямую с загрязненными соединениями, которые существуют в воздухе...
24.06.2013
Воспалительные процессы в организме беременных женщин на ранних сроках повышают риск развития аутизма у детей. Показателем системного воспаления выступает уровень С-реактивного белка...
08.02.2013
Результаты исследования, проведенного специалистами, работавшими под эгидой американского Национального института психического здоровья (National Institute of Mental Health, NIMH), поставили под сомнение пожизненность диагноза "аутизм", научно...
17.01.2013
САМЫЕ ЧИТАЕМЫЕ СТАТЬИ
-
Нормы роста и веса детей – данные ВОЗ
-
Зеленые выделения из влагалища: причины и лечение
- Анатомо-физиологические особенности дыхательной системы у детей
-
Насморк с кровью: причины симптома и способы лечения
- Анатомо-физиологические особенности сердечно-сосудистой системы у детей
- Анатомо-физиологические особенности пищеварительной системы у детей
- Анатомо-физиологические особенности мочевыделительной системы у детей
- Сравнительная характеристика параметров функции внешнего дыхания (обзор литературы)
- Современные представления о норме и патологических отклонениях размеров восходящей аорты при приобретенных пороках сердца
- Анатомо-физиологические особенности детей
- Анатомо-физиологические особенности костно-мышечной системы у детей
- Паллиативная химиотерапия рака: основные понятия и особенности (oбзор литературы)
-
Что можно и что нельзя делать после удаления аппендицита
-
Увеличенные яичники: симптомы, причины и лечение
-
Новейшие достижения онкологии в МЦ «Наири»: интервью с Артемом Степаняном. nairimed.com
-
О чем говорит головная боль за ухом? Причины, симптомы и лечение
-
Как снизить риск инсульта. erebunimed.com
-
Характер мужчины проявляется в выборе позы для секса
-
Армянская ассоциация медицинского туризма (ААМТ)
-
Желтые выделения из влагалища: причины и лечение
-
Рвота у ребенка без температуры: возможные причины
- Применение летрозола для стимуляции овуляции
- Врожденные аномалии и пороки развития
-
КАТИОНОРМ – представитель нового поколения искусственных слез для симптоматической терапии синдрома “сухого глаза”
-
Арам Бадалян: Родинку трогать нельзя?
- Применение противоспаечных средств в профилактике спаечной болезни живота (oбзор литературы)
-
Как избавиться от лямблий — 25 эффективных рецептов народной медицины
-
Вздутие живота при месячных: 7 способов справиться с неприятным ощущением
-
Компресс при ангине: будет ли полезным прогревание горла?
-
Онкология является самой быстроразвивающейся отраслью медицины: интервью с Левоном Бадаляном
-
Лечение марганцовкой
- Некоторые новые подходы к системной терапии метипредом больных ревматоидным артритом
- Медицинские информационные системы.Информационная система для интегрального фармацевтического и здравоохранного мониторинга
-
Фармацевтическая опека
- Подходы к оперативному лечению костно-хрящевых экзостозов
- Повреждения при родах
- Инциденталома надпочечников
-
Курение марихуаны влияет на потенцию
-
Почему противозачаточные увеличивают грудь?
- Применение индинола и эпигаллата при аденомиозе













Научная медицина
Болезни
Традиционная медицина
Здоровый образ жизни
Косметология
Медицинское право
Алгоритмы, тесты
Цифры, факты, случаи
Историческая хроника
Афоризмы
Карьерная лестница
Дети
Женщина
Мужчина
Рейтинговая система