НОВОСТИ. Психические и поведенческие расстройства
Сканирование мозга показало, почему у шизофреников возникают галлюцинации
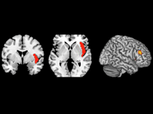
Исследователи Университета Ноттингема нашли истинную причину возникновения психоза и галлюцинаций у больных шизофренией .
Оказалось, все дело в нарушении механизма связи двух областей мозга - боковой фронтальной коры и островка головного мозга, передает Wellcome Trust.
В основе связи стоит "переключатель". Он меняет по мере необходимости два режима - режим считывания информации о внутреннем состоянии (условно, когда человек витает в облаках) и режим считывания информации о внешнем мире. Если "переключатель" работает неправильно, воображаемые предметы могут казаться человеку реальными, относящимися к внешнему миру. По этой же причине у лиц с симптомами психоза отмечается притупление эмоций. То есть они не в состоянии наслаждаться явлениями внешнего мира.
Это открытие было сделано после того, как ученые просканировали мозг 35 здоровых добровольцев и 38 шизофреников. Именно вторая группа не могла переключаться между двумя областями мозга. То есть у шизофреников не происходила требуемая активация фронтальной коры и возвращение в реальность. Островок должен стимулировать кору, а кора, в свою очередь, должна снижать активность островка. Но у шизофреников система не работала.
23.08.2013 Читайте также
Согласно результатам исследования, опубликованного в журнале American Journal of Psychiatry, психотерапия приобретает все большую роль в лечении психических заболеваний...
14.05.2025
Число диагностированных случаев аутизма резко возросло: из редкого заболевания аутизм превратился в обычную реальность для 1 из 36 детей...
24.03.2025
Центр по контролю и профилактике заболеваний США (CDC) планирует провести масштабное исследование по изучению возможной связи между вакцинацией и аутизмом...
11.03.2025
Люди, страдающие деменцией, не просто теряют память — они часто страдают от депрессии. По оценкам специалистов, этот побочный эффект наблюдается у...
03.03.2025
Минздрав одобрил клинические рекомендации по алкогольному абстинентному состоянию. Их нужно применять с 1 января 2025 года...
07.06.2024
Около 300 миллионов человек в мире страдают депрессией. Дифференциальная диагностика этого заболевания – достаточно сложная задача, поскольку разным типам депрессии нередко свойственны схожие симптомы...
14.02.2023
Учёные из Университета Маршалла установили, что уровень кортизола в слюне - это показатель успеха избавления от зависимостей. В частности, по нему можно судить о том, насколько эффективно человек сражается...
23.09.2022
Американские ученые исследовали ДНК свыше 150 000 человек, 20 000 из которых страдали расстройствами аутистического спектра. Определены биологические изменения в мозге, которые способствуют развитию аутизма...
24.08.2022
Исследование показало, что способность узнать собственный голос позволяет человеку чувствовать себя более уверенным в себе. К такому выводу пришли учёные из Университета Токио...
11.07.2022
Ученым впервые удалось выявитиь десять генов наличие в которых крайне редких мутаций существенно повышает риск развития шизофрении у пациента, пишет MedicalXpress...
08.04.2022
САМЫЕ ЧИТАЕМЫЕ СТАТЬИ
-
Нормы роста и веса детей – данные ВОЗ
-
Зеленые выделения из влагалища: причины и лечение
- Анатомо-физиологические особенности дыхательной системы у детей
-
Насморк с кровью: причины симптома и способы лечения
- Анатомо-физиологические особенности сердечно-сосудистой системы у детей
- Анатомо-физиологические особенности пищеварительной системы у детей
- Анатомо-физиологические особенности мочевыделительной системы у детей
- Сравнительная характеристика параметров функции внешнего дыхания (обзор литературы)
- Современные представления о норме и патологических отклонениях размеров восходящей аорты при приобретенных пороках сердца
- Анатомо-физиологические особенности детей
- Анатомо-физиологические особенности костно-мышечной системы у детей
- Паллиативная химиотерапия рака: основные понятия и особенности (oбзор литературы)
-
Что можно и что нельзя делать после удаления аппендицита
-
Увеличенные яичники: симптомы, причины и лечение
-
Новейшие достижения онкологии в МЦ «Наири»: интервью с Артемом Степаняном. nairimed.com
-
О чем говорит головная боль за ухом? Причины, симптомы и лечение
-
Как снизить риск инсульта. erebunimed.com
-
Характер мужчины проявляется в выборе позы для секса
-
Армянская ассоциация медицинского туризма (ААМТ)
-
Желтые выделения из влагалища: причины и лечение
-
Рвота у ребенка без температуры: возможные причины
- Применение летрозола для стимуляции овуляции
- Врожденные аномалии и пороки развития
-
КАТИОНОРМ – представитель нового поколения искусственных слез для симптоматической терапии синдрома “сухого глаза”
-
Арам Бадалян: Родинку трогать нельзя?
- Применение противоспаечных средств в профилактике спаечной болезни живота (oбзор литературы)
-
Как избавиться от лямблий — 25 эффективных рецептов народной медицины
-
Вздутие живота при месячных: 7 способов справиться с неприятным ощущением
-
Компресс при ангине: будет ли полезным прогревание горла?
-
Онкология является самой быстроразвивающейся отраслью медицины: интервью с Левоном Бадаляном
-
Лечение марганцовкой
- Некоторые новые подходы к системной терапии метипредом больных ревматоидным артритом
- Медицинские информационные системы.Информационная система для интегрального фармацевтического и здравоохранного мониторинга
-
Фармацевтическая опека
- Подходы к оперативному лечению костно-хрящевых экзостозов
- Повреждения при родах
- Инциденталома надпочечников
-
Курение марихуаны влияет на потенцию
-
Почему противозачаточные увеличивают грудь?
- Применение индинола и эпигаллата при аденомиозе













Научная медицина
Болезни
Традиционная медицина
Здоровый образ жизни
Косметология
Медицинское право
Алгоритмы, тесты
Цифры, факты, случаи
Историческая хроника
Афоризмы
Карьерная лестница
Дети
Женщина
Мужчина
Рейтинговая система