НОВОСТИ. Нервная система
Новое исследование Университета штата Орегон показывает, что нарушение циркадных ритмов может ускорить нейродегенерацию, потерю двигательной функции и вызвать раннюю смерть...
12.01.2012
Новое исследование предполагает, что люди с тонким слоем коры головного мозга более склонны к развитию симптомов болезни Альцгеймера...
29.12.2011
В новом номере журнала Генная Терапия (Gene Therapy (2011) 18, 1063–1069) были опубликованы интересные результаты применения генной терапии в лечении параличей. Учеными описана методика использования гена фактора роста клеток...
21.12.2011
Федеральный центр нейрохирургии г. Тюмень, известный своими программами лечения спинальных заболеваний, сегодня объявил о переходе на новый этап в передовом лечении пациентов благодаря системе O-arm® Multidimensional Imaging System...
19.12.2011
Исследователи из норвежского университета естественных наук разработали новый метод детального анализа электрической активности в головном мозге. Он поможет лучше интерпретировать сигналы клеток головного мозга, а также...
16.12.2011
Вакцина, которая замедляет развитие болезни Альцгеймера и других видов деменции, была разработана исследователями из Университета Сиднея...
09.12.2011
Известная и довольно изученная область — гипоталамус — может управлять смехом, считают ученые.
Исследователи из Стэнфордского университета и неврологического института Барроу исследовали 100 людей с редким расстройством...
06.12.2011
Некоторые визуальные образов и мигающие изображения могут спровоцировать приступы эпилепсии у чувствительных людей, особенно среди детей и подростков. Эксперты высказали предположение, что 3D-телевизоры повышают этот риск...
06.12.2011
Команда неврологов и анестезиологов, изучая пути регуляции сердца мозгом, смогла объяснить повышенный риск смерти от сердечной недостаточности. Открытие может привести к развитию целенаправленной терапии, снизить риск...
30.11.2011
Исследователи из Бостонского университета определили внутриклеточный фермент, который регулирует сигналы цикла бодрствование-сон и может помочь привести к разработке более эффективных лекарств против бессонницы...
25.11.2011
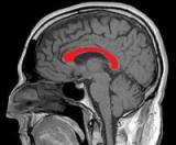
Мозолистое тело мозга — это толстые группы нервных волокон, соединяющие две половинки мозга друг с другом и обеспечивающие возможность быстрого обмена информацией между левым и правым полушариями. Они играют важную...
23.11.2011
Ученые Нью-Йоркского университета в Лангоне, показали, что обоняние, утраченное в процессе старения или болезни, можно восстановить...
22.11.2011
Парализованный пациент когда-нибудь сможет «думать» и двигать конечностями, используя технологию, применяющую электрическую активности мозга, считают ученые Мичиганского университета на кафедре кинезиологии...
22.11.2011
САМЫЕ ЧИТАЕМЫЕ СТАТЬИ
-
Нормы роста и веса детей – данные ВОЗ
-
Зеленые выделения из влагалища: причины и лечение
- Анатомо-физиологические особенности дыхательной системы у детей
-
Насморк с кровью: причины симптома и способы лечения
- Анатомо-физиологические особенности сердечно-сосудистой системы у детей
- Анатомо-физиологические особенности пищеварительной системы у детей
- Анатомо-физиологические особенности мочевыделительной системы у детей
- Сравнительная характеристика параметров функции внешнего дыхания (обзор литературы)
- Современные представления о норме и патологических отклонениях размеров восходящей аорты при приобретенных пороках сердца
- Анатомо-физиологические особенности детей
- Анатомо-физиологические особенности костно-мышечной системы у детей
- Паллиативная химиотерапия рака: основные понятия и особенности (oбзор литературы)
-
Что можно и что нельзя делать после удаления аппендицита
-
Увеличенные яичники: симптомы, причины и лечение
-
Новейшие достижения онкологии в МЦ «Наири»: интервью с Артемом Степаняном. nairimed.com
-
Как снизить риск инсульта. erebunimed.com
-
О чем говорит головная боль за ухом? Причины, симптомы и лечение
-
Характер мужчины проявляется в выборе позы для секса
-
Армянская ассоциация медицинского туризма (ААМТ)
-
Желтые выделения из влагалища: причины и лечение
-
Рвота у ребенка без температуры: возможные причины
- Применение летрозола для стимуляции овуляции
- Врожденные аномалии и пороки развития
-
КАТИОНОРМ – представитель нового поколения искусственных слез для симптоматической терапии синдрома “сухого глаза”
-
Арам Бадалян: Родинку трогать нельзя?
- Применение противоспаечных средств в профилактике спаечной болезни живота (oбзор литературы)
-
Как избавиться от лямблий — 25 эффективных рецептов народной медицины
-
Вздутие живота при месячных: 7 способов справиться с неприятным ощущением
-
Компресс при ангине: будет ли полезным прогревание горла?
-
Онкология является самой быстроразвивающейся отраслью медицины: интервью с Левоном Бадаляном
-
Лечение марганцовкой
- Некоторые новые подходы к системной терапии метипредом больных ревматоидным артритом
-
Фармацевтическая опека
- Медицинские информационные системы.Информационная система для интегрального фармацевтического и здравоохранного мониторинга
- Подходы к оперативному лечению костно-хрящевых экзостозов
- Повреждения при родах
- Инциденталома надпочечников
-
Курение марихуаны влияет на потенцию
-
Почему противозачаточные увеличивают грудь?
- Применение индинола и эпигаллата при аденомиозе













Научная медицина
Болезни
Традиционная медицина
Здоровый образ жизни
Косметология
Медицинское право
Алгоритмы, тесты
Цифры, факты, случаи
Историческая хроника
Афоризмы
Карьерная лестница
Дети
Женщина
Мужчина
Рейтинговая система