НОВОСТИ. Нервная система
Закончено МРТ-сканирование мозга продолжительностью в 4 дня
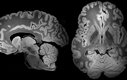
Благодаря этому ученые получили в свое распоряжение наиболее детальное изображение человеческого мозга в истории. Оно может стать очень ценным инструментом при изучении коматозных состояний и депрессий среди прочего.
Продолжавшееся рекордные 4 дня МРТ-сканирование позволило ученым обрести детальные снимки мозга. На деле, это наиболее подробные МРТ-сканы мозга из всех, когда-либо полученных наукой. Они уже позволили выявить крошечные изменения в этом органе, которые могут стать очень ценными на пути более глубокого понимания таких состояний, как депрессия и кома. Естественно, что учёные проводили МРТ-сканирование мозга умершего человека, поскольку живой пациент не смог бы вынести 4 дня в МРТ сканере,да ещё из при условии абсолютной неподвижности. Кроме того, в организме живого человека осуществляется кровоток, который снижает точность данного сканирования.
Сообщается, что исследователи применили МРТ-сканер, который значительно превосходит по мощности использующееся в больницах оборудование. В результате, получены снимки мозга, на которых можно разглядеть участки площадью менее 0,1 мм. Ученые подчеркивают, что ранее не видели ничего подобного и с нетерпением готовятся применить полученные сканы для изучения здоровья мозга.
Общая продолжительность сканирования, проводившегося в Центральном госпитале Массачусетса в Бостоне, составила свыше 100 часов. Отметим, что обычное МРТ-сканирование живых пациентов продолжается от 15 до 90 минут. Исследователи надеются глубже разобраться с анатомией человеческого мозга, его здоровьем и болезнями. Сам мозг, который так долго сканировали, принадлежал умершей три года тому назад от пневмонии 58-летней женщине, он не имел никаких неврологических повреждений.
15.07.2019 Читайте также
Новое исследование показало, что кофеин не просто мешает заснуть, но и изменяет активность мозга во время сна, приближая его к состоянию, которое может нарушить восстановительные процессы...
24.06.2025
Чем выше интеллект человека, тем лучше его мозг синхронизируется с собственным скрытым ритмом. К такому выводу пришли ученые в новом исследовании...
24.06.2025
Большинство методов лечения болезни Паркинсона (БП) только замедляют прогрессирование заболевания. Поэтому для оптимизации лечения этого неврологического заболевания, которое со временем...
23.06.2025
Датские исследователи из Орхусского университета обнаружили, что белок, вырабатываемый бактерией Helicobacter pylori — возбудителем язвы желудка, — способен замедлять развитие деменции...
23.06.2025
Исследователи разработали временную электронную татуировку, которая расшифровывает мозговые волны для измерения умственного напряжения и предотвращения «выгорания»...
17.06.2025
Нейробиологи выявили две области мозга, играющие ключевую роль в различении воображаемого и реального. В ходе визуализационных экспериментов, веретенообразная извилина — ключевая...
17.06.2025
Новое исследование показало: тишина — это не просто отсутствие звука, а активная сила, способная трансформировать мозг и улучшить общее состояние здоровья...
03.06.2025
Нейробиологи обнаружили вторую систему обучения в мозге, которая может объяснить устойчивость привычек, даже самых сильных. Если классическая система основана на предсказании вознаграждения...
21.05.2025
В новом прорыве для технологии нейроинтерфейсов Брэд Смит, первый невербальный пациент с имплантом Neuralink, продемонстрировал, как он редактирует и озвучивает видео...
17.05.2025
Предотвратить образование бляшек в головном мозге, которые вызывают болезнь Альцгеймера, можно воздействием на белки — регуляторы воспалительных процессов, считают специалисты...
14.05.2025
В журнале Nature опубликованы результаты клинических исследований по лечению болезни Паркинсона новым методом, заключающимся в замене утраченных дофаминовых нейронов новыми...
25.04.2025
Опухоли головного мозга могут быть как доброкачественными, так и злокачественными. Однако даже доброкачественные образования могут быть опасны, так как сдавливают...
16.04.2025
САМЫЕ ЧИТАЕМЫЕ СТАТЬИ
-
Нормы роста и веса детей – данные ВОЗ
-
Зеленые выделения из влагалища: причины и лечение
- Анатомо-физиологические особенности дыхательной системы у детей
-
Насморк с кровью: причины симптома и способы лечения
- Анатомо-физиологические особенности сердечно-сосудистой системы у детей
- Анатомо-физиологические особенности пищеварительной системы у детей
- Анатомо-физиологические особенности мочевыделительной системы у детей
- Сравнительная характеристика параметров функции внешнего дыхания (обзор литературы)
- Современные представления о норме и патологических отклонениях размеров восходящей аорты при приобретенных пороках сердца
- Анатомо-физиологические особенности детей
- Анатомо-физиологические особенности костно-мышечной системы у детей
- Паллиативная химиотерапия рака: основные понятия и особенности (oбзор литературы)
-
Что можно и что нельзя делать после удаления аппендицита
-
Увеличенные яичники: симптомы, причины и лечение
-
Новейшие достижения онкологии в МЦ «Наири»: интервью с Артемом Степаняном. nairimed.com
-
Как снизить риск инсульта. erebunimed.com
-
О чем говорит головная боль за ухом? Причины, симптомы и лечение
-
Характер мужчины проявляется в выборе позы для секса
-
Армянская ассоциация медицинского туризма (ААМТ)
-
Желтые выделения из влагалища: причины и лечение
-
Рвота у ребенка без температуры: возможные причины
- Применение летрозола для стимуляции овуляции
- Врожденные аномалии и пороки развития
-
КАТИОНОРМ – представитель нового поколения искусственных слез для симптоматической терапии синдрома “сухого глаза”
-
Арам Бадалян: Родинку трогать нельзя?
- Применение противоспаечных средств в профилактике спаечной болезни живота (oбзор литературы)
-
Как избавиться от лямблий — 25 эффективных рецептов народной медицины
-
Вздутие живота при месячных: 7 способов справиться с неприятным ощущением
-
Компресс при ангине: будет ли полезным прогревание горла?
-
Онкология является самой быстроразвивающейся отраслью медицины: интервью с Левоном Бадаляном
-
Лечение марганцовкой
- Некоторые новые подходы к системной терапии метипредом больных ревматоидным артритом
- Медицинские информационные системы.Информационная система для интегрального фармацевтического и здравоохранного мониторинга
-
Фармацевтическая опека
- Подходы к оперативному лечению костно-хрящевых экзостозов
- Повреждения при родах
- Инциденталома надпочечников
-
Курение марихуаны влияет на потенцию
-
Почему противозачаточные увеличивают грудь?
- Применение индинола и эпигаллата при аденомиозе













Научная медицина
Болезни
Традиционная медицина
Здоровый образ жизни
Косметология
Медицинское право
Алгоритмы, тесты
Цифры, факты, случаи
Историческая хроника
Афоризмы
Карьерная лестница
Дети
Женщина
Мужчина
Рейтинговая система