НОВОСТИ. Нервная система
Реставрация связи между полушариями помогает восстановиться после инсульта
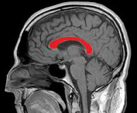
Мозолистое тело мозга — это толстые группы нервных волокон, соединяющие две половинки мозга друг с другом и обеспечивающие возможность быстрого обмена информацией между левым и правым полушариями. Они играют важную роль в восстановлении двигательных навыков после инсульта.
Исследование показало, что у пациентов, перенесших инсульт с особо тяжелыми нарушениями подвижности рук, канал связи между двумя полушариями мозга сильно поврежден.
Для того чтобы связать функцию мозга и анатомические структуры друг с другом в этом исследовании ученые из Института Макса Планка комбинировали два методов визуализации. Они попросили пациентов, перенесших инсульт, нажать рукой кнопку, и записали сигналы деятельности мозга с помощью функциональной магнитно-резонансной томографии. Затем они стали сравнивать информацию с записями мозга здоровых людей.
Пациенты после инсульта нажимали на кнопку медленнее, но проявляли повышенную мозговую активность обоих полушарий. «Повышенная активность в здоровом полушарии мозга, в частности, указывает на нарушение обработки моторных функций между двумя полушариями головного мозга», — объясняет Кристиан Грифкис, глава научного исследования.
Для того чтобы продемонстрировать структурные связи между областями мозга, ученые применили диффузную магнитно-резонансную томографию, которая может быть использована для отслеживания активности нервных волокон. ДМРТ основана на том принципе, что клеточные элементы, такие как мембраны, препятствуют распространению молекул воды, предотвращая их от случайно дифференциации. Следовательно, параллельно нервные волокна можно визуализировать довольно четко. У пациентов после инсульта был занижен уровень диффузии в области мозолистого тела. То есть, инсульт повредил эти связи.
Инсульт не только повреждает клетки в очаге ишемии, но и влияет на отдаленные структурные связи, мешая пациентам восстанавливать моторные функции. Сейчас ученые изучают возможность восстановления связей между полушариями мозга за счет ранней стимуляции.
23.11.2011 Читайте также
Новое исследование показало, что кофеин не просто мешает заснуть, но и изменяет активность мозга во время сна, приближая его к состоянию, которое может нарушить восстановительные процессы...
24.06.2025
Чем выше интеллект человека, тем лучше его мозг синхронизируется с собственным скрытым ритмом. К такому выводу пришли ученые в новом исследовании...
24.06.2025
Большинство методов лечения болезни Паркинсона (БП) только замедляют прогрессирование заболевания. Поэтому для оптимизации лечения этого неврологического заболевания, которое со временем...
23.06.2025
Датские исследователи из Орхусского университета обнаружили, что белок, вырабатываемый бактерией Helicobacter pylori — возбудителем язвы желудка, — способен замедлять развитие деменции...
23.06.2025
Исследователи разработали временную электронную татуировку, которая расшифровывает мозговые волны для измерения умственного напряжения и предотвращения «выгорания»...
17.06.2025
Нейробиологи выявили две области мозга, играющие ключевую роль в различении воображаемого и реального. В ходе визуализационных экспериментов, веретенообразная извилина — ключевая...
17.06.2025
Новое исследование показало: тишина — это не просто отсутствие звука, а активная сила, способная трансформировать мозг и улучшить общее состояние здоровья...
03.06.2025
Нейробиологи обнаружили вторую систему обучения в мозге, которая может объяснить устойчивость привычек, даже самых сильных. Если классическая система основана на предсказании вознаграждения...
21.05.2025
В новом прорыве для технологии нейроинтерфейсов Брэд Смит, первый невербальный пациент с имплантом Neuralink, продемонстрировал, как он редактирует и озвучивает видео...
17.05.2025
Предотвратить образование бляшек в головном мозге, которые вызывают болезнь Альцгеймера, можно воздействием на белки — регуляторы воспалительных процессов, считают специалисты...
14.05.2025
В журнале Nature опубликованы результаты клинических исследований по лечению болезни Паркинсона новым методом, заключающимся в замене утраченных дофаминовых нейронов новыми...
25.04.2025
Опухоли головного мозга могут быть как доброкачественными, так и злокачественными. Однако даже доброкачественные образования могут быть опасны, так как сдавливают...
16.04.2025
САМЫЕ ЧИТАЕМЫЕ СТАТЬИ
-
Нормы роста и веса детей – данные ВОЗ
-
Зеленые выделения из влагалища: причины и лечение
- Анатомо-физиологические особенности дыхательной системы у детей
-
Насморк с кровью: причины симптома и способы лечения
- Анатомо-физиологические особенности сердечно-сосудистой системы у детей
- Анатомо-физиологические особенности пищеварительной системы у детей
- Анатомо-физиологические особенности мочевыделительной системы у детей
- Сравнительная характеристика параметров функции внешнего дыхания (обзор литературы)
- Современные представления о норме и патологических отклонениях размеров восходящей аорты при приобретенных пороках сердца
- Анатомо-физиологические особенности детей
- Анатомо-физиологические особенности костно-мышечной системы у детей
- Паллиативная химиотерапия рака: основные понятия и особенности (oбзор литературы)
-
Что можно и что нельзя делать после удаления аппендицита
-
Увеличенные яичники: симптомы, причины и лечение
-
Новейшие достижения онкологии в МЦ «Наири»: интервью с Артемом Степаняном. nairimed.com
-
Как снизить риск инсульта. erebunimed.com
-
О чем говорит головная боль за ухом? Причины, симптомы и лечение
-
Характер мужчины проявляется в выборе позы для секса
-
Армянская ассоциация медицинского туризма (ААМТ)
-
Желтые выделения из влагалища: причины и лечение
-
Рвота у ребенка без температуры: возможные причины
- Применение летрозола для стимуляции овуляции
- Врожденные аномалии и пороки развития
-
КАТИОНОРМ – представитель нового поколения искусственных слез для симптоматической терапии синдрома “сухого глаза”
-
Арам Бадалян: Родинку трогать нельзя?
- Применение противоспаечных средств в профилактике спаечной болезни живота (oбзор литературы)
-
Как избавиться от лямблий — 25 эффективных рецептов народной медицины
-
Вздутие живота при месячных: 7 способов справиться с неприятным ощущением
-
Компресс при ангине: будет ли полезным прогревание горла?
-
Онкология является самой быстроразвивающейся отраслью медицины: интервью с Левоном Бадаляном
-
Лечение марганцовкой
- Некоторые новые подходы к системной терапии метипредом больных ревматоидным артритом
-
Фармацевтическая опека
- Медицинские информационные системы.Информационная система для интегрального фармацевтического и здравоохранного мониторинга
- Подходы к оперативному лечению костно-хрящевых экзостозов
- Повреждения при родах
- Инциденталома надпочечников
-
Курение марихуаны влияет на потенцию
-
Почему противозачаточные увеличивают грудь?
- Применение индинола и эпигаллата при аденомиозе













Научная медицина
Болезни
Традиционная медицина
Здоровый образ жизни
Косметология
Медицинское право
Алгоритмы, тесты
Цифры, факты, случаи
Историческая хроника
Афоризмы
Карьерная лестница
Дети
Женщина
Мужчина
Рейтинговая система