НОВОСТИ. Эндокринная система
«Живые» фабрики лекарств произведут инсулин внутри тела человека
При диабете первого типа больному необходимы постоянные инъекции инсулина. Одно из возможных решений, которое используется с 1999 года и позволяет избавиться от постоянных уколов: пересадка островковых клеток поджелудочной железы от донора.
Однако, когда в организм пациента попадают клетки, производящие столь необходимый диабетику гормон, его иммунная система начинает атаковать чужаков.
Соответственно, трансплантированные клетки нуждаются в защите от внешних воздействий. Учёные из Массачусестского технологического института предлагают использовать для этих целей гибкие "фабрики", которые разместят прямо внутри тела человека.
Они позволят расположенным внутри клеткам не только нормально перенеси трансплантацию и выжить, но и защитят их в ходе дальнейшего функционирования.

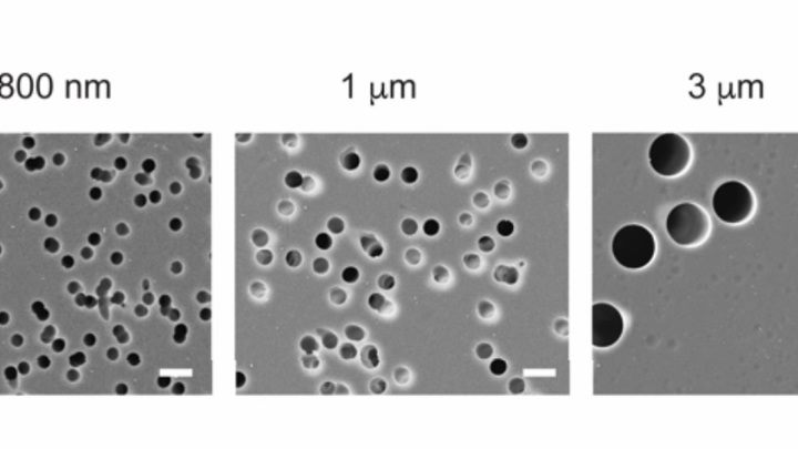
Инженеры MIT создали для клеток защитную оболочку из эластомера. Пористая мембрана устройства пропускает все необходимые питательные вещества и кислород, а также выпускает инсулин. В то же время размер пор (от 800 нанометров до одного микрометра) не даёт клеткам иммунной системы атаковать, сидящих внутри "нарушителей".
Таким образом, инсулин будет производиться на "фабриках" прямо внутри организма пациента, не будет необходимости делать уколы, а проблема отторжения отпадёт.
Учёные протестировали систему на мышах с диабетом. Опыты показали, что на протяжении 10 недель внедрённые в тела животных имплантаты исправно работали, поддерживая необходимый уровень глюкозы в крови.
В ходе другого эксперимента исследователи попытались вылечить с помощью новой технологии анемию. Для этого они использовали эмбриональные клетки почек человека, которые были модифицированы таким образом, чтобы производить эритропоэтин (EPO) - гормон, стимулирующий появление красных кровяных клеток (эритроцитов). Клетки, спрятанные в "фабрики", выжили в организме мышей на протяжении 19 недель. Это отразилось и на количестве эритроцитов в крови грызунов с анемией.

Также исследователи выяснили, что клетки внутри таких гибких "фабрик" можно простимулировать определёнными лекарственными препаратами на производство нужных белков. Так, в одном из опытов "спрятанные" в организме мыши клетки производили эритропоэтин только тогда, когда грызун получал антибиотик доксициклин.
Это означает, что новый подход позволит производить нужный гормон или белок внутри организма "по требованию" (только при определённых условиях).
Исследователи MIT называют своё детище "живыми" фабриками по производству лекарств. И хотя пока они изучают возможность лечения с помощью новой технологии только диабета, вполне возможно, что в будущем её можно будет использовать для спасения людей от самых разных хронических заболеваний.
"Идея состоит в том, чтобы создать живую фабрику по производству [нужных] лекарств, которую можно будет имплантировать пациенту, и она будет выделять лекарства по мере надобности", - рассказывает один из авторов разработки Дэниэл Андерсон (Daniel Anderson).
02.04.2020 Читайте также
Известный израильский диетолог доктор Майя Розман опубликовала материал о новом заменителе сахара. Аллюлоза (D-Allulose) - это относительно новый подсластитель в мире питания...
21.04.2025
Диабет, связанный с недостаточным питанием, — как правило, поражающий худых, недоедающих подростков и молодых взрослых людей в странах с низким...
14.04.2025
Автоматизированная система доставки инсулина (также называемая искусственной поджелудочной железой) представляет собой устройство, которое состоит из инсулиновой помпы...
18.09.2024
Группа компаний ITPS завершила работы в рамках гранта Фонда содействия инновациям по созданию системы оценки развития кардиометаболического риска...
28.06.2024
Иммунолог Крючков: лечение диабета пересадкой клеток будет доступно через 10 лет
Исследователи из Китая сообщили о том, что им впервые удалось полностью вылечить...
10.06.2024
Импортозамещающий напиток, понижающий уровень сахара в крови у диабетиков, разработали ученые ЮУрГУ. Они смоделировали собственную рецептуру напитка на основе белкового...
07.06.2024
Управление по контролю за качеством пищевых продуктов и медикаментов (FDA) США впервые одобрило продажу системы длительного мониторинга уровня глюкозы...
27.05.2024
Результаты исследования наглядно показывают, что небольшое снижение веса поможет выйти в ремиссию диабетикам даже с индексом массы тела в пределах нормы...
29.01.2024
Доцент кафедры индустрии питания, гостиничного бизнеса и сервиса Университета РОСБИОТЕХ Дмитрий Быстров назвал топинамбур полезным продуктом при сахарном диабете...
13.11.2023
Результаты пятилетнего исследования, нацеленного на поиск путей эффективного снижения глюкозы в крови больных с сахарным диабетом (СД) второго типа, опубликовали ученые Томского государственного...
27.10.2023
САМЫЕ ЧИТАЕМЫЕ СТАТЬИ
-
Нормы роста и веса детей – данные ВОЗ
-
Зеленые выделения из влагалища: причины и лечение
- Анатомо-физиологические особенности дыхательной системы у детей
-
Насморк с кровью: причины симптома и способы лечения
- Анатомо-физиологические особенности сердечно-сосудистой системы у детей
- Анатомо-физиологические особенности пищеварительной системы у детей
- Анатомо-физиологические особенности мочевыделительной системы у детей
- Сравнительная характеристика параметров функции внешнего дыхания (обзор литературы)
- Современные представления о норме и патологических отклонениях размеров восходящей аорты при приобретенных пороках сердца
- Анатомо-физиологические особенности детей
- Анатомо-физиологические особенности костно-мышечной системы у детей
- Паллиативная химиотерапия рака: основные понятия и особенности (oбзор литературы)
-
Что можно и что нельзя делать после удаления аппендицита
-
Увеличенные яичники: симптомы, причины и лечение
-
Новейшие достижения онкологии в МЦ «Наири»: интервью с Артемом Степаняном. nairimed.com
-
О чем говорит головная боль за ухом? Причины, симптомы и лечение
-
Как снизить риск инсульта. erebunimed.com
-
Характер мужчины проявляется в выборе позы для секса
-
Армянская ассоциация медицинского туризма (ААМТ)
-
Желтые выделения из влагалища: причины и лечение
-
Рвота у ребенка без температуры: возможные причины
- Применение летрозола для стимуляции овуляции
- Врожденные аномалии и пороки развития
-
КАТИОНОРМ – представитель нового поколения искусственных слез для симптоматической терапии синдрома “сухого глаза”
-
Арам Бадалян: Родинку трогать нельзя?
- Применение противоспаечных средств в профилактике спаечной болезни живота (oбзор литературы)
-
Как избавиться от лямблий — 25 эффективных рецептов народной медицины
-
Вздутие живота при месячных: 7 способов справиться с неприятным ощущением
-
Компресс при ангине: будет ли полезным прогревание горла?
-
Онкология является самой быстроразвивающейся отраслью медицины: интервью с Левоном Бадаляном
-
Лечение марганцовкой
- Некоторые новые подходы к системной терапии метипредом больных ревматоидным артритом
- Медицинские информационные системы.Информационная система для интегрального фармацевтического и здравоохранного мониторинга
-
Фармацевтическая опека
- Подходы к оперативному лечению костно-хрящевых экзостозов
- Повреждения при родах
- Инциденталома надпочечников
-
Курение марихуаны влияет на потенцию
-
Почему противозачаточные увеличивают грудь?
- Применение индинола и эпигаллата при аденомиозе













Научная медицина
Болезни
Традиционная медицина
Здоровый образ жизни
Косметология
Медицинское право
Алгоритмы, тесты
Цифры, факты, случаи
Историческая хроника
Афоризмы
Карьерная лестница
Дети
Женщина
Мужчина
Рейтинговая система