НОВОСТИ. Детские болезни
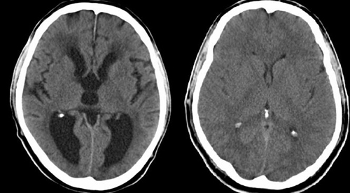
Открыт механизм развития врожденной гидроцефалии у младенцев
Нарушение оттока жидкости из мозговой ткани связано с дефектом эпендимы. При гидроцефалии, встречающейся у одного из 2000 новорожденных, мозговая жидкость задерживается в камерах головного мозга. Это приводит к увеличению размеров головы и повреждению мозговых тканей. В 2013 г. ученые из Немецкого центра изучения рака в Хайдельберге открыли ген под названием Mpdz, вызывавший у мышей гидроцефалию. Затем исследователям из Саудовской Аравии удалось найти человеческий аналог этого гена. Теперь в Германии выяснили механизм, который вызывает развитие болезни.
Ученые из Хайдельберга, наблюдая за лабораторными животными, обнаружили, что с геном Mpdz связано нарушение проницаемости эпендимы - мембраны, отделяющей мозговую ткань от ликвора. Дефект вызывает нарушение оттока жидкости из мозговой ткани и развитие гидроцефалии. Подробно об исследовании сообщает журнал EMBO Molecular Medicine.
17.05.2017 Читайте также
Специальный костюм для детей с детским церебральным параличом (ДЦП) получил в России официальный промышленный патент. Как сообщил РИА Новости разработчик...
14.02.2024
Команда исследователей НМИЦ детской травматологии и ортопедии имени Г.И. Турнера совместно с биологами НИУ ВШЭ провела изучение когнитивных функций у детей...
30.01.2024
Анна КУКАРЦЕВА
Новый метод позволяет избежать повреждений легких, печени, почек и при этом сохранить...
13.11.2023
Уральский оптико-механический завод им. Э. С. Яламова (УОМЗ) холдинга «Швабе» Госкорпорации Ростех продемонстрировал результаты проекта по модернизации оборудования для...
15.09.2023
У лиц, перенесших в детстве онкологические заболевания, значимо повышена вероятность большого хирургического вмешательства в течение дальнейшей жизни. Чаще всего операции проводились тем...
24.05.2023
Результаты нового опроса, проведенного в США, свидетельствуют о том, что в каждой третьей семье ребенку родители дают детям жаропонижающие без необходимости. В некоторых случаях температуру тела измеряют...
22.02.2023
Выздоравливающие после сепсиса дети подвержены риску серьёзных долгосрочных последствий для здоровья. К такому выводу пришли учёные из Университета Мичигана...
18.10.2022
Различные патологии сердца у детей можно выявлять с помощью обычного стетоскопа с точностью до 95% К такому выводу пришли исследователи из Индии...
30.09.2022
Новое исследование задалось вопросом о том, способен ли входящий в состав некоторых детских вакцин алюминий стать причиной детской астмы. Но даже если эту связь и обнаружит, данный компонент из вакцин не удалят...
29.09.2022
Дети обладают более мощным иммунным ответом на основе антител к COVID-19, чем взрослые. Об этом сообщают исследователи из итальянского Университета Падуи...
15.07.2022
Исследователи из Университета Квинсленда изучили новые способы лечения сепсиса у детей с использования м витамина C и стероидов наряду с антибиотиками. Полученные результаты говорят о высокой эффективности подобного подхода...
16.06.2022
САМЫЕ ЧИТАЕМЫЕ СТАТЬИ
-
Нормы роста и веса детей – данные ВОЗ
-
Зеленые выделения из влагалища: причины и лечение
- Анатомо-физиологические особенности дыхательной системы у детей
-
Насморк с кровью: причины симптома и способы лечения
- Анатомо-физиологические особенности сердечно-сосудистой системы у детей
- Анатомо-физиологические особенности пищеварительной системы у детей
- Анатомо-физиологические особенности мочевыделительной системы у детей
- Сравнительная характеристика параметров функции внешнего дыхания (обзор литературы)
- Современные представления о норме и патологических отклонениях размеров восходящей аорты при приобретенных пороках сердца
- Анатомо-физиологические особенности детей
- Анатомо-физиологические особенности костно-мышечной системы у детей
- Паллиативная химиотерапия рака: основные понятия и особенности (oбзор литературы)
-
Что можно и что нельзя делать после удаления аппендицита
-
Увеличенные яичники: симптомы, причины и лечение
-
Новейшие достижения онкологии в МЦ «Наири»: интервью с Артемом Степаняном. nairimed.com
-
О чем говорит головная боль за ухом? Причины, симптомы и лечение
-
Как снизить риск инсульта. erebunimed.com
-
Характер мужчины проявляется в выборе позы для секса
-
Армянская ассоциация медицинского туризма (ААМТ)
-
Желтые выделения из влагалища: причины и лечение
-
Рвота у ребенка без температуры: возможные причины
- Применение летрозола для стимуляции овуляции
- Врожденные аномалии и пороки развития
-
КАТИОНОРМ – представитель нового поколения искусственных слез для симптоматической терапии синдрома “сухого глаза”
-
Арам Бадалян: Родинку трогать нельзя?
- Применение противоспаечных средств в профилактике спаечной болезни живота (oбзор литературы)
-
Как избавиться от лямблий — 25 эффективных рецептов народной медицины
-
Вздутие живота при месячных: 7 способов справиться с неприятным ощущением
-
Компресс при ангине: будет ли полезным прогревание горла?
-
Онкология является самой быстроразвивающейся отраслью медицины: интервью с Левоном Бадаляном
-
Лечение марганцовкой
- Некоторые новые подходы к системной терапии метипредом больных ревматоидным артритом
- Медицинские информационные системы.Информационная система для интегрального фармацевтического и здравоохранного мониторинга
-
Фармацевтическая опека
- Подходы к оперативному лечению костно-хрящевых экзостозов
- Повреждения при родах
- Инциденталома надпочечников
-
Курение марихуаны влияет на потенцию
-
Почему противозачаточные увеличивают грудь?
- Применение индинола и эпигаллата при аденомиозе













Научная медицина
Болезни
Традиционная медицина
Здоровый образ жизни
Косметология
Медицинское право
Алгоритмы, тесты
Цифры, факты, случаи
Историческая хроника
Афоризмы
Карьерная лестница
Дети
Женщина
Мужчина
Рейтинговая система
