Стоматология
Консультация врача-стоматолога в нашей клинике разделяется на малую и большую. Малая консультация ограничивается одним визитом. В течение 1-2 часов...
31.05.2014
Уже в Армении в стоматологической клинике АРЕГАК деиствует Waterlase iPlus новейший лазер.
Еще не так давно невозможно было представить себе кабинет стоматолога без обычного гула бормашины...
09.04.2014
Waterlase iPlus новейший лазер для работы на твердых и автономной работы на мягких тканях (США).
Лазер Waterlase iPlus – представитель пятого поколения технологий в области лазерной стоматологии.
Используя технологические новшества iPlus, теперь вы можете ещё быстрее и эффективнее достигать необходимых результатов в гораздо более комфортных условиях для пациента...
02.04.2014
Быть может, кто-то, отправляясь к стоматологу, уже видел очки с увеличительными линзами и подсветкой? Это оптический прибор — бинокуляр. Благодаря уникальному аппарату можно добиться точного препарирования...
04.03.2014
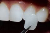
Виниры - это фарфоровые или композитные пластинки, замещающие вестибулярный (внешний) слой зубов. Они позволяют корректировать нарушения формы и цвета зуба. В результате восстановленный зуб обретает...
03.03.2014
Если Вы стоматолог широкого профиля, челюстно-лицевой хирург, ортопед или зубной техник и хотите освещать вопросы:...
22.02.2014
Для современного общества белые зубы — едва ли не главный критерий, определяющий привлекательность улыбки, поэтому процедура профессионального отбеливания зубов становится всё более...
11.02.2014
Система OrthoSnap – это новая американская технология исправления прикуса при помощи прозрачных, пластиковых капп (элайнеров). Элайнеры OrthoSnap являются съемной аппаратурой, которая...
11.02.2014
Методом протезирования на имплантах, можно полностью восстановить функцию и эстетику утраченного или подлежащего на удаление зуба. Протезирование на имплантах являеться альтернативой...
29.01.2014
В стоматологической ортопедии металлокерамику начали применять с 1850-ых годов. И по мере развития науки, методика лечения постоянно совершенствовалась...
29.01.2014
Лазерная стоматология — современный и высокоэффективныйметод лечения многих стоматологических заболеваний.
В нашей клинике используется диодный лазер - BIOLASE EPIC 10. Лечение с помощью этого лазера...
18.11.2013
Микроскоп – это техника, используемая стоматологами всего мира уже долгие годы. Только он позволяет внимательно рассмотреть все зубы и десны, определить наличие кариозных полостей, трещин...
18.11.2013
Компьютерная томография челюсти имеет неоспоримые преимущества в сравнении с другими методами рентгенодиагностики, так как при обычном рентгене зубов мы можем получить только плоскостное изображение...
18.11.2013
Заболевания ротовой полости – довольно распространенная в наше время проблема. Кариес и его осложнения (пульпит, периодонтит, гранулема), стоматит (воспаление слизистой оболочки...
18.07.2013
Как Вы знаете, существует великое множество диет. И японская, и кремлевская, и по группе крови... Но существует ещё одна очень важная диета – диета для зубов. Оказывается и зубам не обойтись без диеты. Она необходима, прежде всего...
18.12.2012
Профилактика кариеса является одним из основных методов, позволяющим снизить уровень распространенности этого заболевания. В России кариесом зубов страдает 98-100% населения во всех возрастных группах. При этом эпидемиологические исследования показывают...
31.10.2012
Бессонная ночь, распухшая щека, боль, доводящая до отчаяния… Немного найдется в мире счастливчиков, не ставших хотя бы раз в жизни жертвой жестокого «мучителя» - зубной боли. Даже самый тщательный уход за полостью рта не может полностью застраховать от внезапной напасти.
Она всегда настигает некстати, бесцеремонно вторгаясь в нашу жизнь, нарушая планы, лишая сна и аппетита. Зубная боль ставит под угрозу выполнение рабочих обязанностей, отравляет досуг, делает человека плаксивым и раздражительным...
08.04.2008
Стоматит - воспаление слизистой оболочки полости рта. Причины его возникновения различны и связаны с воздействием кокого-либо раздражающего фактора на слизистую оболочку: лучевое и химическое повреждение, травма, ожог и т.д., в результате чего появляются покраснение, эрозии, язвы. Но наиболее чаще стоматит развивается на фоне соматической патологии: при инфекционных болезнях (корь, ветрянка, сифилис, туберкулез и др.), заболеваниях пищеварительной, эндокринной и сердечно-сосудистой систем, у больных гематологического профилья, при алергии, гипоавитаминозах и различных нарушениях в работе иммунной системы...
17.04.2007
| Предыдущий |
1
2
3
4
|
САМЫЕ ЧИТАЕМЫЕ СТАТЬИ
-
Нормы роста и веса детей – данные ВОЗ
-
Зеленые выделения из влагалища: причины и лечение
- Анатомо-физиологические особенности дыхательной системы у детей
-
Насморк с кровью: причины симптома и способы лечения
- Анатомо-физиологические особенности сердечно-сосудистой системы у детей
- Анатомо-физиологические особенности пищеварительной системы у детей
- Анатомо-физиологические особенности мочевыделительной системы у детей
- Сравнительная характеристика параметров функции внешнего дыхания (обзор литературы)
- Современные представления о норме и патологических отклонениях размеров восходящей аорты при приобретенных пороках сердца
- Анатомо-физиологические особенности детей
- Анатомо-физиологические особенности костно-мышечной системы у детей
- Паллиативная химиотерапия рака: основные понятия и особенности (oбзор литературы)
-
Что можно и что нельзя делать после удаления аппендицита
-
Увеличенные яичники: симптомы, причины и лечение
-
Новейшие достижения онкологии в МЦ «Наири»: интервью с Артемом Степаняном. nairimed.com
-
О чем говорит головная боль за ухом? Причины, симптомы и лечение
-
Как снизить риск инсульта. erebunimed.com
-
Характер мужчины проявляется в выборе позы для секса
-
Армянская ассоциация медицинского туризма (ААМТ)
-
Желтые выделения из влагалища: причины и лечение
-
Рвота у ребенка без температуры: возможные причины
- Применение летрозола для стимуляции овуляции
- Врожденные аномалии и пороки развития
-
КАТИОНОРМ – представитель нового поколения искусственных слез для симптоматической терапии синдрома “сухого глаза”
-
Арам Бадалян: Родинку трогать нельзя?
- Применение противоспаечных средств в профилактике спаечной болезни живота (oбзор литературы)
-
Как избавиться от лямблий — 25 эффективных рецептов народной медицины
-
Вздутие живота при месячных: 7 способов справиться с неприятным ощущением
-
Компресс при ангине: будет ли полезным прогревание горла?
-
Онкология является самой быстроразвивающейся отраслью медицины: интервью с Левоном Бадаляном
-
Лечение марганцовкой
- Некоторые новые подходы к системной терапии метипредом больных ревматоидным артритом
- Медицинские информационные системы.Информационная система для интегрального фармацевтического и здравоохранного мониторинга
-
Фармацевтическая опека
- Подходы к оперативному лечению костно-хрящевых экзостозов
- Повреждения при родах
- Инциденталома надпочечников
-
Курение марихуаны влияет на потенцию
-
Почему противозачаточные увеличивают грудь?
- Применение индинола и эпигаллата при аденомиозе













Научная медицина
Болезни
Традиционная медицина
Здоровый образ жизни
Косметология
Медицинское право
Алгоритмы, тесты
Цифры, факты, случаи
Историческая хроника
Афоризмы
Карьерная лестница
Дети
Женщина
Мужчина
Рейтинговая система