Детские болезни
Анализ некоторых эпидемиологических данных гидроцефалии у детей в Армении
Ключевые слова: гидроцефалия, компьютерная томография (КТ), нейросонография, магнитно-резонансная томография (МРТ), обращаемость, ликворосодержащие полости, формы гидроцефалии
На протяжении многих десятилетий проблема диагностики и лечения гидроцефалии привлекала к себе пристальное внимание неврологов, нейрохирургов, педиатров. Впервые гидроцефалию описал Гиппократ, но диагностика и лечение гидроцефалии были затруднены до тех пор, пока не были разработаны методики визуализации ликворного пространства и ее шунтирования. Лечение гидроцефалии остается одним из трудных и нерешенных задач педиатрии и нейрохирургии, имеет важное медицинское и социальное значение.
По данным Хачатряна В.А. с соавт. [3], гидроцефалия встречается у 1-4 на 1000 живых новорожденных. У детей старше 3 лет частота диагностированной гидроцефалии увеличивается до 1%. Гидроцефалия, как отдельный синдром, составляет до 30% пороков развития головного мозга. Гидроцефалия является одной из наиболее частых причин инвалидности. Проблема гидроцефалии не изучена в Армении, нет достоверных статистических данных относительно ее распространения.
Целью данного исследования было изучение некоторых социально-гигиенических и медико-географических аспектов гидроцефалии в Республике Армения, исследование возможностей компьютерной томографии (КТ) для диагностики форм и выраженности гидроцефалии, характера деформации ликворосодержащих полостей, степени декомпенсации ликворообращения, причин расстройства циркуляции СМЖ .
Материал и методы.
Нами применялись социально-гигиенический, статистический, клини-ческий, инструментальные методы, которые обеспечивали получение объективных и достоверных данных.
Мы провели комплексное изучение гидроцефалии у детей, ее динамику, структуру с учетом возрастных групп, различий полов и отдельных медико-географических зон РА, а также провели количественный и качественный анализ томограмм больных гидроцефалией.
Для визуализации структур мозга больным в возрасте до 1 года, а также больным старше 1 года при наличии костных дефектов черепа первоначально проводилась нейросонография, более детальная диагностика основывалась на данных КТ. При наличии новообразований головного мозга, а также для определения причин окклюзии водопровода, третьего и четвертого желудочков мозга больным проводилась магнитно-резонансная томография (МРТ). В целом КТ исследование было проведено 132 больным как в отдельности, так и в сочетании с нейросонографическим исследованием. Распределение больных по методам исследования показано на диаграмме 1.
Диаграмма 1

КТ была проведена у 50 больных, нейросонография в отдельности у 50 больных, комплексное КТ и нейросонографическое исследования у 69 больных, МРТ– у 8, сочетание КТ и МРТ – у 9, нейросонография и МРТ – у 6, КТ, МРТ и нейросонография – 4, и одному больному была проведена диафоноскопия.
Результаты и обсуждение.
Нами были изучены истории болезни 206 больных, страдающих гидроцефалией за 1993-2010гг., обследованных в медицинском центре Сурб Аствацамайр. Данные об обращаемости по поводу гидроцефалии в зависимости от возраста представлены в табл. 1.
Таблица 1 Обращаемость по поводу гидроцефалии в разных возрастных группах
Показатели Возрастные группы, лет Всего 0-1 1-3 3-6 6-9 > 9 n 70 64 21 26 25 206 P±m 34,0±3,30 31,1±3,22 10,2±2,11* 12,6±2,31* 12,1±2,28* t 0,6 6,1 5,3 5,4
* различие с возрастом 0-1 год достоверно
Изучение структуры обращаемости (диагр. 2) по поводу гидроцефалии у детей разных возрастов показывает, что гидроцефалия наиболее часто встречается среди детей в возрасте 0-1 год, а второе и третье места соответственно занимают возрастные группы 1-3 года и более 10 лет.


Изучение структуры обращаемости по поводу гидроцефалии у детей разных полов (табл. 2) показывает, что гидроцефалия у мальчиков встречается достоверно чаще, чем у девочек.
Таблица 2 Структура обращаемости по поводу гидроцефалии у детей разных полов
Показатели Пол ребенка Всего мальчики девочки n 116 90 206 P±m 56,3,0±3,46 43,7±46*
* отличие с мужским полом статистически достоверно
Нами были также изучены некоторые аспекты распределения случаев гидроцефалии по отдельным медико-географическим зонам Республики Армения (табл. 3).
Таблица 3 Распределение случаев гидроцефалии по отдельным медико-географическим районам
РА (на 100 человек)
Показатели Отдельные медико-географические зоны РА Всего Центральный Севанский Сюниксêий Северо-Восточный Ширакский n 143 8 18 28 9 206 P±m 69,4±3,21 3,9±1,35 8,7±1,97 13,6±2,39 4,4±1,42
Анализ показывает, что гидроцефалия чаще диагностируется у детей в Центральной географической зоне.
Вопросы этиопатогенеза гидроцефалии сложны и недостаточно изучены. Между тем только изучение патогенеза открывает пути для разработки эффективных методов диагностики и лечения гидроцефалии. Распределение больных по этиопатогенезу показывает, что наибольшие группы составляют больные с врожденной гидроцефалией и вторичной гидроцефалией, развивающейся на фоне пороков развития ЦНС (диагр. 3).
Диаграмма 3 Распределение больных гидроцефалией в зависимости от причины развития

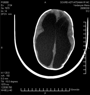
В настоящее время КТ занимает доминирующее положение среди методов диагностики гидроцефалии. КТ (рис. 1) помогает визуализировать мозговое вещество, ликворосодержащие полости, определить форму и выраженность гидроцефалии, характер деформации ликворосодержащих структур, степень декомпенсации ликворообращения и причины расстройства циркуляции СМЖ, позволяет контролировать результаты лечения.

Рис. 1. Томограмма больного с врожденной гидроцефалией
По данным КТ были выявлены следующие формы гидроцефалии: внутренняя – у 152 больных, наружная – у 8, смешанная – у 46, асимметричная и локальная – у 10 больных, определены формы внутренней гидроцефалии: тетравентрикулярная, тривентрикулярная, би-вентрикулярная, моновентрикулярная.
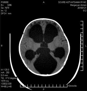
Были определены окклюзионные (у 92 больных) и сообщающиеся (у 114) формы гидро-цефалии посредством внутрижелудочкового контрастирования (рис. 2).

Рис. 2. Томограмма больного с окклюзионной тривентрикулярной гидроцефалией
Качественная оценка структур мозга оценивалась по следующим параметрам: наличию атрофии мозговой ткани, отека мозга, перивентрикулярного отека, уменьшению мозговой ткани, деформации и дислокации мозга, сужению субарахноидальных пространств и цистерн основания. Определялся градиент плотности мозговой ткани в зависимости от расстояния ликворных полостей, что дало возможность выявить участки пониженной плотности вокруг желудочков мозга (перивентрикулярный отек или свечение рис. 3).

Рис. 3. Томограмма больного с тетравентрикулярной гидроцефалией
Были оценены состояние борозд и извилин мозга, положение серповидного отростка и намета мозжечка, наличие асимметрии сильвиевых борозд, выявлены кистозные изменения субарахноидальных пространств у 23 больных, микрогирия, сужение субарахноидальных и субдуральных пространств.
Было определено наличие гипертензионной гидроцефалии у 160 больных. КТ-признаки гипертензионной гидроцефалии проявлялись в виде расширения ликворосодержащих полостей, уменьшением размеров мозговой ткани, деформацией и дислокацией мозга, наличием перивентрикулярного свечения, ограничением интракраниальных резервных пространств, сужением субарахноидальных пространств, сужением (сдавлением) цистерн основания мозга. Однако в наших исследованиях у 2 больных с наличием клинической картины внутричерепной гипертензии и отсутствием КТ-признаков гипертензионной гидроцефалии имелась стойкая внутричерепная гипертензия. Данные были подтверждены другими методами исследования. Была проведена также количественная оценка выраженности гидроцефалии посредством измерения краниовентрикулярных коэффициентов и краниовентрикулярных индексов. Динамика рентген-морфологических проявлений заболевания после операции характеризовалась регрессом признаков, обусловленных гипертензионно-дислокационным синдромом и расстройст-вами ликворообращения, в частности, после операции исчезал перивентрикулярный отек, уменьшалась выраженность деформации мозга, отмечалось уменьшение размеров лик-воросодержащих полостей и увеличение толщины мозгового плаща. Как следствие, после опера-ции констатировалось расширение субарахноидальных щелей.
Выводы:
- Наши исследования показали, что наибольшее количество больных гидроцефалией было диагностировано в возрастной группе до 1 года.
- Среди мальчиков гидроцефалия встречается достоверно чаще, чем у девочек.
- Гидроцефалия чаще встречается в центральной медико-географической зоне.
- КТ, как доминирующий метод диагностики, позволяет определить форму, выраженность гидроцефалии, характер деформации ликворосодержащих полостей степень декомпенсации ликворообращения, причины расстройств циркуляции СМЖ, а после лечения в динамике определить состояние структур мозга для определения дальнейшей тактики лечения больных.
Литература
- Хачатрян В.А., Сафин Ш.М., Берснев В.П., Ашкулаков С.К., Нартайлаков М.А., Чмутин Г.Е. Повторные ликворошунтирующие операции:, Изд. РНХИ им.проф. А.Л. Паленова, М., 1999.
- Орлов Ю.А. Гидроцефалия, 1995.
- Хачатрян В.А., Берснев В.П., Сафин Ш.М., Орлов Ю.А. и соавт., Гидроцефалия,1998.
- Володин Н.Н., Корнюшин М.А., Медведев М.И., Горбунов А.В., 2000 Последствия перинаталь-ных гипоксических поражений головного мозга у доношенных оворожденных: диагностика и принципы восстановительного лечения.
- Кузенкова Л.М., Семенова Н.Ю., 2007 Нейрофизиологическая диагностика симптоматичеслой эпилепсии у детей с гидроцефалией.
- Linninger A.A., Xenos M., Zhu D.C., Somayaji M.R., Kondapalli S., Penn R.D. Cerebrospinal fluid flow in the normal and hydrocephalic human brain. IEEE Trans. Biomed. Eng., 2007, Feb;54(2):291-302.
- Holodny A.I., Waxman R., George A.E., Rusinek H., Kalnin A.J., de Leon M. MR differential diagnosis of normal-pressure hydrocephalus and Alzheimer disease: significance of perihippocampal fissures. Am. J. Neuroradiol., 1998 May;19(5):813-9.
11.10.2011 Читайте также
В остром периоде вирусных диарей у 80% детей выявляется дефицит интерферонов, что указывает на недостаточность противовирусного иммунитета. Вследствие этого в исходе заболевания возможны...
23.05.2016 В условиях надвигающегося пика аллергического сезона необходимо остановиться на наиболее распространенной и актуальной в этот период патологии – аллергическом рините (АР). АР – заболевание, возникающее...
11.05.2015 Острые респираторные вирусные инфекции (ОРВИ) являются наиболее массовыми заболеваниями, на их долю приходится до 90% всей инфекционной патологии. Наибольшую эпидемическую значимость представляют вирусы...
В статье рассмотрены причины возникновения кашля у детей, обоснованы подходы к фитотерапии кашлевого синдрома...
19.02.2015
До сих пор остается много открытых вопросов по поводу атопической экземы.
Интервью с проф., доктором медицинских наук Йоханнесом Рингом (Johannes Ring), директором отделения дерматологии и аллергологии Бидерштайна Мюнхенского Университета...
10.04.2013 Достижение функционального и косметического эффектов – два краеугольных камня, на которых строится реконструктивная хирургия врожденных пороков черепа и лица. Но если функциональный эффект во многом зависит от совершенства хирургической техники, то косметический результат – заложник биологических особенностей организма пациента...
12.03.2013 В обзоре литературы представлены современные данные о результатах использования пимекролимуса (1 /о крем) — топического ингибитора кальциневрина. Показаны его высокие эффективность и безопасность при атопическом дерматите...
29.01.2013 Введение
Исходя из современных представлений о патогенезе миастении можно сказать, что это тяжелое нейромышечное заболевание, характеризующееся патологическим истощением произвольной мускулатуры [2]...
17.01.2013 Ключевые слова: летальность, дети, соматическая патология
Данные литературы относительно летальности среди детей по причине соматической патологии с разных медико-географических районов изобилуют сведениями, подтверждающими их определенное значение [2,4,5,7-11]...
Ключевые слова: летальность, дети
В литературе данные о заболеваемости и летальности среди детей в том числе и в РА [1] по причине соматической патологии весьма разнообразные, что, по-видимому, связано с разным уровнем развития здравоохранения...
18.09.2012 Ключевые слова: врожденный пилоростеноз, рвота
Врожденный пилоростеноз – генетически обусловленное заболевание, причиной которого является перерождение мышечного слоя пилорического отдела, его утолщение, что связано с нарушением иннервации...
В современном обществе проблема детского и подросткового трав-матизма имеет важное научно-практическое значение, требующее особого внимания соответствующих государственных структур и специалистов [1,2, 3,6]...
Kлючевые слова: мезиальная окклюзия, височно-нижнечелюстнoй сустав
Изучением морфологического состояния зубо-челюстной системы у пациентов с мезиальной окклюзией в различные возрастные периоды занимались многие авторы [1-14]...
Ключевые слова: ахиллопластика, конская стопа, косолапость, контрактура, детский цере-бральный паралич
Перерезка ахиллова сухожилия ахиллопластика является одной из основных компонентов операции коррекции косолапости и конской стопы у детей. Несмотря на то...
САМЫЕ ЧИТАЕМЫЕ СТАТЬИ
-
Нормы роста и веса детей – данные ВОЗ
-
Зеленые выделения из влагалища: причины и лечение
- Анатомо-физиологические особенности дыхательной системы у детей
-
Насморк с кровью: причины симптома и способы лечения
- Анатомо-физиологические особенности сердечно-сосудистой системы у детей
- Анатомо-физиологические особенности пищеварительной системы у детей
- Анатомо-физиологические особенности мочевыделительной системы у детей
- Сравнительная характеристика параметров функции внешнего дыхания (обзор литературы)
- Современные представления о норме и патологических отклонениях размеров восходящей аорты при приобретенных пороках сердца
- Анатомо-физиологические особенности детей
- Анатомо-физиологические особенности костно-мышечной системы у детей
- Паллиативная химиотерапия рака: основные понятия и особенности (oбзор литературы)
-
Что можно и что нельзя делать после удаления аппендицита
-
Увеличенные яичники: симптомы, причины и лечение
-
Новейшие достижения онкологии в МЦ «Наири»: интервью с Артемом Степаняном. nairimed.com
-
О чем говорит головная боль за ухом? Причины, симптомы и лечение
-
Как снизить риск инсульта. erebunimed.com
-
Характер мужчины проявляется в выборе позы для секса
-
Армянская ассоциация медицинского туризма (ААМТ)
-
Желтые выделения из влагалища: причины и лечение
-
Рвота у ребенка без температуры: возможные причины
- Применение летрозола для стимуляции овуляции
- Врожденные аномалии и пороки развития
-
КАТИОНОРМ – представитель нового поколения искусственных слез для симптоматической терапии синдрома “сухого глаза”
-
Арам Бадалян: Родинку трогать нельзя?
- Применение противоспаечных средств в профилактике спаечной болезни живота (oбзор литературы)
-
Как избавиться от лямблий — 25 эффективных рецептов народной медицины
-
Вздутие живота при месячных: 7 способов справиться с неприятным ощущением
-
Компресс при ангине: будет ли полезным прогревание горла?
-
Онкология является самой быстроразвивающейся отраслью медицины: интервью с Левоном Бадаляном
-
Лечение марганцовкой
- Некоторые новые подходы к системной терапии метипредом больных ревматоидным артритом
- Медицинские информационные системы.Информационная система для интегрального фармацевтического и здравоохранного мониторинга
-
Фармацевтическая опека
- Подходы к оперативному лечению костно-хрящевых экзостозов
- Повреждения при родах
- Инциденталома надпочечников
-
Курение марихуаны влияет на потенцию
-
Почему противозачаточные увеличивают грудь?
- Применение индинола и эпигаллата при аденомиозе













Научная медицина
Болезни
Традиционная медицина
Здоровый образ жизни
Косметология
Медицинское право
Алгоритмы, тесты
Цифры, факты, случаи
Историческая хроника
Афоризмы
Карьерная лестница
Дети
Женщина
Мужчина
Рейтинговая система