Травматология и ортопедия
Тотальное эндопротезирование у больной с дисплазией левого тазобедренного сустава и высоким врожденным вывихом с укорачивающей резекцией бедренной кости
Ключевые слова: дисплазия ТБС, врожденный вывих
Больные с врожденным высоким вывихом тазобедренного сустава (ТБС) являются наиболее сложным контингентом для тотального эндопротезирования сустава.
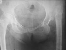
С целью уменьшения мышечной спастики и высоты вывиха бедра в дооперационном периоде накладывается скелетное вытяжение. Оперативное вмешательство производится под комбинированным обезболиванием в положении больной на боку. Разрез для заднебокового доступа к ТБС. Послойно с сопутствующим гемостазом производится доступ и вывих в суставе. Шейка и головка бедренной кости бывают сильно деформированы. Производится остеотомия шейки бедра. Ложе головки бедра заполнено остатками капсулы и фиброзной тканью. После удаления последних обрабатывается вертлужная впадина на положенном месте. При необходимости производится костная пластика или армирование крыши винтами. Установка ацетабулярного компонента производится цементным способом (рис. 1, 2).
Рис. 1
Рис. 2
Обработка канала бедра – в положении вывиха. Затем, установка бедренного компонента.
Производится попытка вправления и низведения проксимального конца бедра. При невозможности вправления вывиха наружным доступом в области н/3 бедра производится резекция участка бедренной кости, после чего вправление вывиха и металлоостеосинтез бедренной кости пластиной. С целью правильной установки оперированной конечности в послеоперационном периоде накладывается деротационная гипсовая лонгета по Кепферу. Трехнедельный постельный режим в ходе которого проводится реабилитация аппаратом ППД (рис. 3,4).

Рис. 3 Рис. 4
Нами произведены 4 операции тотального эндопротезирования ТБС при высоких врожденных вывихах бедра с резекций дистального отдела (от 3 до 5 см) бедренной кости.
Мы считаем, что резекция и укорочение бедренной кости позволяют внедрять ацетабулярный кубок в естественную вертлужную впадину, а не в ложе неоартроза. Этим обусловлено дальнейшее значительное увеличение сроков службы эндопротеза и, следовательно, результаты лечения этого сложнейшего контингента больных.
Литература
- Pedersen A.B., Johnsen S.P., Overgaard S., Soballe K., Sorensen H.T., Lucht U. Total hip arthroplasty in Denmark: incidence of primary operations and revisions during 1996-2002 and estimated future demands, Acta Orthop., 2005 Apr;76(2):182-9.
- Murray J.R., Cooke N.J., Rawlings D., Holland J.P., McCaskie A.W. A reliable DEXA measurement technique for metal-on-metal hip resurfacing., Acta Orthop., 2005 Apr;76(2):177-81.
- Trebse R., Milosev I., Kovac S., Mikek M., Pisot V. Poor results from the isoelastic total hip replacement: 14-17-year follow-up of 149 cementless prostheses, Acta Orthop., 2005 Apr;76(2):169-76.
- Curtin P., Harty J., Sheehan E., Nicholson P., Rice J., McElwain J. Primary total hip replacement--a survey of current practice and identifying changing trends, Ir. Med. J., 2005 Jun;98(6):166, 168.
- Della Valle C.J., Shuaipaj T., Berger R.A., Rosenberg A.G., Shott S., Jacobs J.J., Galante J.O. Revision of the acetabular component without cement after total hip arthroplasty. A concise follow-up, at fifteen to nineteen years, of a previous report, J. Bone Joint Surg. Am., 2005 Aug;87(8):1795-800.
- Klein G.R., Parvizi J., Rapuri V., Wolf C.F., Hozack W.J., Sharkey P.F., Purtill J.J. Proximal femoral replacement for the treatment of periprosthetic fractures, J. Bone Joint Surg. Am., 2005 Aug; 87(8):1777-81.
- Kim Y.H. Comparison of polyethylene wear associated with cobalt-chromium and zirconia heads after total hip replacement. A prospective, randomized study, J. Bone Joint Surg. Am., 2005 Aug; 87(8):1769-76.
- Schreurs B.W., Zengerink M., Welten M.L., van Kampen A., Slooff T.J. Bone impaction grafting and a cemented cup after acetabular fracture at 3-18 years, Clin. Orthop. Relat. Res., 2005 Aug;(437):145-51.
15.03.2006 |
Экстракорпоральная Ударно-Волновая Терапия |
![]() |
||
|
|
Читайте также
ВВЕДЕНИЕ
Многолетний опыт изучения проблемы хронического остеомиелита, как одной из длительнотекущих тяжелых инфекций, свидетельствует о ведущей роли реакций свободнорадикального и перекисного окисления липидов и белков...
12.04.2013 Обоснование: У азиатов, перенесших срединную стернотомию, часто образуются гипертрофические рубцы. Данные об эффективности профилактического применения силиконового геля могут повлиять на решение хирургов и пациентов о его использовании в послеоперационном периоде...
20.03.2013 Сбор данных
Систематический поиск исследований производился в базах данных MEDLINE и EMBASE (за период с 1996 по 2001 г.) с использованием ключевых слов «лечение руб цов», «хирургическое вмешательство», «покрытие си ликоновым гелем»...
05.03.2013 С тех пор, как силиконовые покрытия были впервые использованы для лечения гипертрофических и келоидных рубцов, они подтвердили свою эффективность и безопасность1,2. В зависимости от дизайна проводимого исследования, нанесение...
22.01.2013 Ключевые слова: дисплазия тазобедренного сустава, остеотомия бедра
Введение. Как известно, при четкой организации раннего выявления врожденного вывиха бедра (ВВБ) и начала его лечения в родильном доме почти полностью отпадает необходимость хирургического лечения...
28.12.2012 Ключевые слова: врожденный вывих бедра, лечение, стремена Павлика
Введение. Врожденный вывих бедра (ВВБ) относится к наиболее распространенной и тяжелой патологии опорно-двигательной системы у детей, лечение которой представляет сложную задачу современной ортопедии...
27.12.2012 Ключевые слова: диспластический коксартроз, метод лечения
Диспластический коксартроз, как следствие врожденного вывиха или подвывиха бедра, занимает одно из ведущих мест и составляет около 77% [3] от общей патологии тазобедренного сустава...
21.09.2012 Ключевые слова: мыщелки, остеосинтез, диастаз, бедренная и большеберцовая кость, компрес-сионно-дистракционные аппараты...
12.06.2012 В современном обществе проблема детского и подросткового трав-матизма имеет важное научно-практическое значение, требующее особого внимания соответствующих государственных структур и специалистов [1,2, 3,6]...
Ключевые слова: травматизм, лапароскопия
Травматизм в современном мире приобрел гигантские масштабы и имеет тенденцию к постоянному увеличению [1-3]. По данным исследований ВОЗ, проводимых совместно с Гарвардским центром перспективных исследований...
26.04.2011 Ключевые слова: ахиллопластика, конская стопа, косолапость, контрактура, детский цере-бральный паралич
Перерезка ахиллова сухожилия ахиллопластика является одной из основных компонентов операции коррекции косолапости и конской стопы у детей. Несмотря на то...
Проблема остеоартроза (ОА) коленных суставов (КС) является предметом пристального внимания специалистов различных областей медицины. Полиэтиологичность, многообразие клинических форм, вариантов развития, прогрессирующее течение...
Проблема ревизионной артропластики с заменой одного из компонентов на фоне бурного развития эндопротезирования крупных суставов чрезвычайно актуальна в настоящее время. Работа с рубцовыми, воспаленными, а иногда – инфицированными...
Переломы шейки бедренной кости остаются актуальной проблемой травматологии, что обусловлено увеличением удельного веса данного типа переломов в гериатрической популяции, трудностями в выборе рационального метода лечения...
Проблема эндопротезирования тазобедренного сустава (ТБС) занимает весомое место в ортопедических реконструктивных операциях. Особенно остро стоит вопрос о надежном креплении импланта (в частности, - его вертлужного...
26.10.2010
САМЫЕ ЧИТАЕМЫЕ СТАТЬИ
-
Нормы роста и веса детей – данные ВОЗ
-
Зеленые выделения из влагалища: причины и лечение
- Анатомо-физиологические особенности дыхательной системы у детей
-
Насморк с кровью: причины симптома и способы лечения
- Анатомо-физиологические особенности сердечно-сосудистой системы у детей
- Анатомо-физиологические особенности пищеварительной системы у детей
- Анатомо-физиологические особенности мочевыделительной системы у детей
- Сравнительная характеристика параметров функции внешнего дыхания (обзор литературы)
- Современные представления о норме и патологических отклонениях размеров восходящей аорты при приобретенных пороках сердца
- Анатомо-физиологические особенности детей
- Анатомо-физиологические особенности костно-мышечной системы у детей
- Паллиативная химиотерапия рака: основные понятия и особенности (oбзор литературы)
-
Что можно и что нельзя делать после удаления аппендицита
-
Увеличенные яичники: симптомы, причины и лечение
-
Новейшие достижения онкологии в МЦ «Наири»: интервью с Артемом Степаняном. nairimed.com
-
О чем говорит головная боль за ухом? Причины, симптомы и лечение
-
Как снизить риск инсульта. erebunimed.com
-
Характер мужчины проявляется в выборе позы для секса
-
Армянская ассоциация медицинского туризма (ААМТ)
-
Желтые выделения из влагалища: причины и лечение
-
Рвота у ребенка без температуры: возможные причины
- Применение летрозола для стимуляции овуляции
- Врожденные аномалии и пороки развития
-
КАТИОНОРМ – представитель нового поколения искусственных слез для симптоматической терапии синдрома “сухого глаза”
-
Арам Бадалян: Родинку трогать нельзя?
- Применение противоспаечных средств в профилактике спаечной болезни живота (oбзор литературы)
-
Как избавиться от лямблий — 25 эффективных рецептов народной медицины
-
Вздутие живота при месячных: 7 способов справиться с неприятным ощущением
-
Компресс при ангине: будет ли полезным прогревание горла?
-
Онкология является самой быстроразвивающейся отраслью медицины: интервью с Левоном Бадаляном
-
Лечение марганцовкой
- Некоторые новые подходы к системной терапии метипредом больных ревматоидным артритом
- Медицинские информационные системы.Информационная система для интегрального фармацевтического и здравоохранного мониторинга
-
Фармацевтическая опека
- Подходы к оперативному лечению костно-хрящевых экзостозов
- Повреждения при родах
- Инциденталома надпочечников
-
Курение марихуаны влияет на потенцию
-
Почему противозачаточные увеличивают грудь?
- Применение индинола и эпигаллата при аденомиозе













Научная медицина
Болезни
Традиционная медицина
Здоровый образ жизни
Косметология
Медицинское право
Алгоритмы, тесты
Цифры, факты, случаи
Историческая хроника
Афоризмы
Карьерная лестница
Дети
Женщина
Мужчина
Рейтинговая система

