Травматология и ортопедия
Костнопластические материалы, выполненные по технологии цито в травматологии и ортопедии
Современные реконструктивно-восстановительные операции в травматологии и орто-педии трудно вообразить без костнопластических материалов, представляющих собой биологические имплантаты с определенными свойствами и характеристиками. Их значительное количество составляют материалы на основе и изготовленные из донорских костных тканей. Способы, а если точнее – технологии изготовления биологических костнопластических материалов определяют их основные свойства (остеокондукцию и остеоиндукцию), важные и необходимые для имплантации в область костного дефекта.
Мировой опыт реконструктивной хирургии постоянно доказывает, что биологические материалы являются одним из наиболее решающих факторов достижения положительного результата восстановительного хирургического лечения костной патологии. Для всех критически думающих врачей – травматологов-ортопедов давно ясно и понятно, что биоимплантаты, а также ряд синтезированных и биокомпозиционных материалов реально являются альтернативным вариантом использования аутотканей для замещения тканевых дефектов, в число которых входят и дефекты костной ткани.
Известно, что по мере накопления опыта, связанного с биоимплантологией, процесс соз-дания новых костнопластических материалов становится все более трудоемким и высокотехнологичным, при этом сопровождающимся обязательным соблюдением клини-ческой безопасности и наличием доказуемой эффективности «конечного продукта» [7]. В последние два десятилетия в России интерес к биологическим материалам, способным восстанавливать целостность костной ткани человека значительно вырос. Стало очевидно, что одним из наиболее эффективных костнопластических материалов для этой цели остаются имплантанты на основе тканей аллогенного происхождения. В 1998 году в Центральном институте травматологии и ортопедии им. Н.Н. Приорова (ЦИТО) была разработана новая для России технология изготовления деминерализованных костных имплантантов (ДКИ), способных успешно инкорпорироваться и активно влиять на процессы регенерации костной ткани в области своей имплантации [10]. Полная технология ЦИТО изготовления кост-нопластических материалов, в число которых вошли процессы получения ДКИ, в большой мере включила в себя ряд оптимальных и общепринятых процедур создания эффективных костнопластических материалов из донорских тканей. Так, методика получения ДКИ включила в себя предварительный этап обработки нативной кости, направленный на удаление мягких тканей, элементов крови и миелоидного компонента. Дальнейшая деминерализация заготовок осуществляется слабыми растворами соляной кислоты в течение времени, необходимого для получения планируемой степени деминерализации аллоимплантантов. После нейтрализации остатков соляной кислоты в заготовках и их замораживания материал сублимируют. После лиофилизации и упаковки в пластиковых пакетах аллоимплантанты стерилизуют радиационным способом потоком быстрых электронов дозой поглощения 20-25 кГр. Костнопластические материалы, выполненные по технологии ЦИТО, были зарегистрированы под названием «Перфоост» [4, 5].
Разная степень деминерализации и геометрия ДКИ «Перфоост» (пластины, стружка, чипсы и т.д.) позволила использовать их как для заполнения любых по объему костных дефектов, так и для ускорения процессов регенерации костной ткани, в частности, в области ложных суставов. В процессе предварительных экспериментальных исследований была установлена зависимость остеоиндуктивных свойств ДКИ от степени деминерализации. Оказалось, что чем выше степень деминерализации костных имплантантов, тем активнее проявляются их остеоиндуктивные потенции. Одновременно по мере удаления из кости минерального компонента снижаются механические свойства материала, он становится более пластичным [6]. Поэтому использование деминерализованных аллоимплантантов высокой степени деминерализации обосновано в тех случаях, где существует опасность извращенного или замедленного течения репаративных процессов (посттравматические ложные суставы, пластика по регенерату и т.д.), но нет необходимости механической прочности [9]. Формирование технологии изготовления аллоимплантантов ЦИТО проходило с учетом современных требований, предъявляемых к материалам аллогенного происхождения, предназначенных для имплантации потенциальным реципиентам. Это означает то, что костнопластические материалы должны быть максимально безопасными для реципиента, характеризоваться отсутствием пирогенных и иммуногенных свойств и отсутствием какой-либо возможности передачи любых заболеваний. Они должны обеспечивать в области своей имплантации органотипическое восстановление костной ткани в максимально короткие сроки при своей полной биодеградации. При разработке технологии был учтен опыт мировой биоимплантологии, где в число наиболее перспективных пластических материалов входят ДКИ, полученные в различных режимах деминерализации [15, 16]. Известно, что ДКИ могут представлять собой как различные самостоятельные формы, так и входить в состав биокомпозиционных материалов. Деминерализованные аллоимплантанты, изготовленные из кортикального слоя длинных костей, содержат в большом количестве доступные для быстрого включения в процесс регенерации костные морфогенетические белки, способные индуцировать остеогенез в костном ложе и вне него. Многочисленные научные исследования подтвердили, что морфогенетические белки, входящие в состав костной ткани, активно влияют на каскад репаративных процессов в костной ткани на клеточном уровне: на митоз и дифференцировку остеопрогениторных клеток. В имплантантах на основе деминерализованной кости эта способность морфогенетических белков усиливается, что делает их особенно ценным пластическим материалом для практикующих хирургов [11, 14].
С момента внедрения в клиническую практику ДКИ разной степени деминерализации, выполненных по технологии ЦИТО, прошло более 12 лет. За это время значительному ко-личеству больных были произведены реконструктивные операции с помощью костно-пластического материала «Перфоост» [13]. Результаты лечения и сроки органотипического восстановления значительных объемов костной ткани в области аллопластики позволили утверждать, что разработанные в тканевом банке ЦИТО ДКИ безопасны и обладают высокими остеоиндуктивными свойствами [5]. Адекватное количество пластического материала, его разные формы и прочностные характеристики способствовали полному заполнению пострезекционных дефектов (рис. 1, 2).
![]() |
![]() |
![]() |
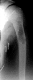
| Рисунок 1. Больная Р. 12 лет. Солитарная киста верхней трети левой плечевой кости: | ||
| а) рентгенологическая картина состояния до операции; | б) через 4 месяца после пластики дефекта пластинами ДКИ «Перфоост»; | в) через 11 месяцев после проведенной операции. |
![]() |
![]() |
![]() |
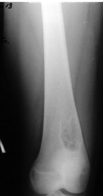
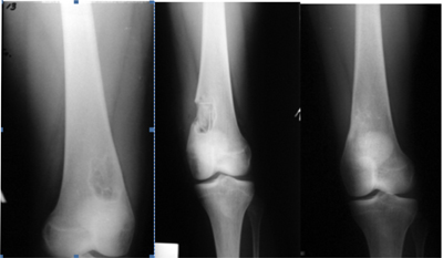
| Рисунок 2. Больная К. 15 лет. Аневризмальная киста левой бедренной кости. Пластика дефекта губчатыми аллоимплантатами: | ||
| а) рентгенологическая картина состояния до операции; | б) состояние после операции; | в) через 3 месяца после операции; |
Сроки органотипической перестройки аллоимплантатов составили от одного года до 4-5 лет [12]. Разница временных сроков восстановления целостности кости лежит в плоскости многообразия костной патологии, ее этиологии, объема, характера течения заболевания, возраста больных, локализации и многих других сопутствующих факторов. При этом, сравнивая сроки восстановления костной ткани после костно-пластических операций с участием ДКИ, оказалось, что они сопоставимы со сроками лечения используя аутоткани больных [1, 3, 8, 9].
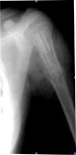
Для проведения ревизионного эндопротезирования тазобедренного сустава с дефектами дна и стенок вертлужной впадины был предложен вариант ДКИ с высокой степенью деминерализации. Их особенностью явилось то, что источником донорских тканей явились кости свода черепа. Трехслойная структура и выраженные эластичные свойства делают материал удобным для замещения значительных по площади и сложных по конфигурации дефектов в области тазобедренного сустава [2]. К сожалению, проблемы ревизионного эндопротезирования тазобедренного сустава нарастают с каждым годом по мере расширения показаний и проведения первичных операций эндопротезирования крупных суставов (рис. 3).
Наличие значительных разрушений костной ткани диктует поиск и необходимость выбора материала для проведения аллопластики. Уже сейчас в клиниках ЦИТО в области тазобедренного сустава со все большим постоянством используют ДКИ в виде пластин и костной стружки высокой степени деминерализации. С этой же целью применяют аллоимплантанты, полученные после технологической обработки головок бедренных костей, удаленных у других пациентов в ходе операции по поводу перелома шейки бедренной кости или коксартроза. Отбор пригодных головок для дальнейшего изготовления из них аллоимплантантов проводится на основе результатов морфологических исследований: обязательного наличия сохранной формы, отсутствия грубой деформации, признаков некроза, остеопороза и обширных кистозных полостей.
|
|
||
|
Рисунок 2. Больная К. 15 лет. Аневризмальная киста левой бедренной кости. Пластика дефекта губчатыми аллоимплантатами: |
||
| а) рентгенологическая картина состояния до операции; | б) состояние после операции; | в) через 3 месяца после операции; |
Разнообразие костных аллоимплантантов изготавливаемых в ЦИТО дополняют лиофили-зированные губчатые аллоимплантаты в виде блоков и чипсов [2, 6]. Материалы, очищенные от миелоидного компонента, способны играть роль носителя биологически активных субстанций. Они используются отдельно или в сочетании с ДКИ как в реконструктивных операциях для замещения дефектов длинных костей, так и в области тазобедренного сустава при проведении ревизионного эндопротезирования.
С помощью разработанных в ЦИТО аллоимплантантов получены 93-98% положительных результатов лечения больных с патологией костной системы с органотипической перестройкой материала [12,13]. В подавляющем количестве случаев удалось избежать процедуры забора аутотканей.
Таким образом, возможности костных аллоимплантантов для восстановления тканей опорно-двигательной системы можно рассматривать как оптимальные с точки зрения эффективности и безопасности.
Литература
- Авакян А.М. Костная аллопластика имплантатом «Перфоост» в детской костной патологии. Дисс. ... канд. мед. наук.; М. 2005.
- Волошин В.П., Еремин А.В., Оноприенко Г.А. и др. Ревизионное эндопротезирование тазобедренного сустава при глубокой инфекции. Альманах клинической медицины 2008; 18; 35-44.
- Касымов И.А. Костно-пластические оперативные вмешательства у детей с костной па-тологией: Дисс. ... докт. мед. Наук; М. 2000.
- Лекишвили М.В. Современная российская технология изготовления деминерализованных костных аллоимплантантов, ее комплексная оценка. Технологии живых систем 2005; 3; 32-48.
- Лекишвили М.В. Технологии изготовления костного пластического материала для при-менения в восстановительной хирургии: Дисс. ... докт. мед. Наук; М. 2005.
- Лекишвили М.В., Касымов И.А., Юрасова Ю.Б. и др. Аллопластика как метод восстановления костной ткани. Технологии живых систем 2006; 2; 3-8.
- Лекишвили М.В., Панасюк А.Ф. Новые биопластические материалы в реконструктивной хирургии. Вестник РАМН 2008; 9; 33-36.
- Марков П.В. Диагностика и лечение доброкачественных опухолей и опухолеподобных заболеваний костей с применением кортикального поверхностно-деминерализованного перфорированного аллоимплантанта «Перфоост»: Дисс. ... канд. мед. Наук; Якутск 2004.
- Меркулов В.Н., Лекишвили М.В., Дорохин А.И. Использование поверхностно деминера-лизованных имплантатов в лечении посттравматических ложных суставов у детей. Вестн. травматол. ортопед. 2000; 4; 22-25.
- Патент РФ № 2147800 (Лекишвили М.В., Касымов И.А.).
- Савельев В.И. Получение и сохранение деминерализованной костной ткани для клинического применения. Сб. науч. тр.: «Деминерализованные костные трансплантаты и их использование в восстановительной хирургии»; СПб. 1996; 3-12.
- Снетков А.И., Лекишвили М.В., Касымов И.А. и др. Использования пластического материала «Перфоост» в клинике детской костной патологии. Вестн. травматол. Ортопед. 2003; 4; 74-79.
- Снетков А.И., Лекишвили М.В., Авакян А.М. и др. Клиническое применение нового плас-тического материала перфоост в костной патологии детского возраста. Медицинский вестник Эребуни 2003; 3 (15); 94-100.
- Dinopoulos H.T., Giannoudis P.V. Safety and efficacy of use of demineralised bone matrix in orthopaedic and trauma surgery. Expert Opin Drug Saf. 2006; 5; 847-866.
- Drosos G.I., Kazakos K.I., Kouzoumpasis P. et al. Safety and efficacy of commercially available demineralised bone matrix preparations: a critical review of clinical studies. Injury 2007; 38 (4); 13-21.
- Glowacki J. A review of osteoinductive testing methods and sterilization processes for demi-neralized bone. Cell and Tissue Banking 2005; 6; 3-12.
10.10.2010 |
Экстракорпоральная Ударно-Волновая Терапия |
![]() |
||
|
|
Читайте также
ВВЕДЕНИЕ
Многолетний опыт изучения проблемы хронического остеомиелита, как одной из длительнотекущих тяжелых инфекций, свидетельствует о ведущей роли реакций свободнорадикального и перекисного окисления липидов и белков...
12.04.2013 Обоснование: У азиатов, перенесших срединную стернотомию, часто образуются гипертрофические рубцы. Данные об эффективности профилактического применения силиконового геля могут повлиять на решение хирургов и пациентов о его использовании в послеоперационном периоде...
20.03.2013 Сбор данных
Систематический поиск исследований производился в базах данных MEDLINE и EMBASE (за период с 1996 по 2001 г.) с использованием ключевых слов «лечение руб цов», «хирургическое вмешательство», «покрытие си ликоновым гелем»...
05.03.2013 С тех пор, как силиконовые покрытия были впервые использованы для лечения гипертрофических и келоидных рубцов, они подтвердили свою эффективность и безопасность1,2. В зависимости от дизайна проводимого исследования, нанесение...
22.01.2013 Ключевые слова: дисплазия тазобедренного сустава, остеотомия бедра
Введение. Как известно, при четкой организации раннего выявления врожденного вывиха бедра (ВВБ) и начала его лечения в родильном доме почти полностью отпадает необходимость хирургического лечения...
28.12.2012 Ключевые слова: врожденный вывих бедра, лечение, стремена Павлика
Введение. Врожденный вывих бедра (ВВБ) относится к наиболее распространенной и тяжелой патологии опорно-двигательной системы у детей, лечение которой представляет сложную задачу современной ортопедии...
27.12.2012 Ключевые слова: диспластический коксартроз, метод лечения
Диспластический коксартроз, как следствие врожденного вывиха или подвывиха бедра, занимает одно из ведущих мест и составляет около 77% [3] от общей патологии тазобедренного сустава...
21.09.2012 Ключевые слова: мыщелки, остеосинтез, диастаз, бедренная и большеберцовая кость, компрес-сионно-дистракционные аппараты...
12.06.2012 В современном обществе проблема детского и подросткового трав-матизма имеет важное научно-практическое значение, требующее особого внимания соответствующих государственных структур и специалистов [1,2, 3,6]...
Ключевые слова: травматизм, лапароскопия
Травматизм в современном мире приобрел гигантские масштабы и имеет тенденцию к постоянному увеличению [1-3]. По данным исследований ВОЗ, проводимых совместно с Гарвардским центром перспективных исследований...
26.04.2011 Ключевые слова: ахиллопластика, конская стопа, косолапость, контрактура, детский цере-бральный паралич
Перерезка ахиллова сухожилия ахиллопластика является одной из основных компонентов операции коррекции косолапости и конской стопы у детей. Несмотря на то...
Проблема остеоартроза (ОА) коленных суставов (КС) является предметом пристального внимания специалистов различных областей медицины. Полиэтиологичность, многообразие клинических форм, вариантов развития, прогрессирующее течение...
Проблема ревизионной артропластики с заменой одного из компонентов на фоне бурного развития эндопротезирования крупных суставов чрезвычайно актуальна в настоящее время. Работа с рубцовыми, воспаленными, а иногда – инфицированными...
Переломы шейки бедренной кости остаются актуальной проблемой травматологии, что обусловлено увеличением удельного веса данного типа переломов в гериатрической популяции, трудностями в выборе рационального метода лечения...
Проблема эндопротезирования тазобедренного сустава (ТБС) занимает весомое место в ортопедических реконструктивных операциях. Особенно остро стоит вопрос о надежном креплении импланта (в частности, - его вертлужного...
26.10.2010
САМЫЕ ЧИТАЕМЫЕ СТАТЬИ
-
Нормы роста и веса детей – данные ВОЗ
-
Зеленые выделения из влагалища: причины и лечение
- Анатомо-физиологические особенности дыхательной системы у детей
-
Насморк с кровью: причины симптома и способы лечения
- Анатомо-физиологические особенности сердечно-сосудистой системы у детей
- Анатомо-физиологические особенности пищеварительной системы у детей
- Анатомо-физиологические особенности мочевыделительной системы у детей
- Сравнительная характеристика параметров функции внешнего дыхания (обзор литературы)
- Современные представления о норме и патологических отклонениях размеров восходящей аорты при приобретенных пороках сердца
- Анатомо-физиологические особенности детей
- Анатомо-физиологические особенности костно-мышечной системы у детей
- Паллиативная химиотерапия рака: основные понятия и особенности (oбзор литературы)
-
Что можно и что нельзя делать после удаления аппендицита
-
Увеличенные яичники: симптомы, причины и лечение
-
Новейшие достижения онкологии в МЦ «Наири»: интервью с Артемом Степаняном. nairimed.com
-
О чем говорит головная боль за ухом? Причины, симптомы и лечение
-
Как снизить риск инсульта. erebunimed.com
-
Характер мужчины проявляется в выборе позы для секса
-
Армянская ассоциация медицинского туризма (ААМТ)
-
Желтые выделения из влагалища: причины и лечение
-
Рвота у ребенка без температуры: возможные причины
- Применение летрозола для стимуляции овуляции
- Врожденные аномалии и пороки развития
-
КАТИОНОРМ – представитель нового поколения искусственных слез для симптоматической терапии синдрома “сухого глаза”
-
Арам Бадалян: Родинку трогать нельзя?
- Применение противоспаечных средств в профилактике спаечной болезни живота (oбзор литературы)
-
Как избавиться от лямблий — 25 эффективных рецептов народной медицины
-
Вздутие живота при месячных: 7 способов справиться с неприятным ощущением
-
Компресс при ангине: будет ли полезным прогревание горла?
-
Онкология является самой быстроразвивающейся отраслью медицины: интервью с Левоном Бадаляном
-
Лечение марганцовкой
- Некоторые новые подходы к системной терапии метипредом больных ревматоидным артритом
- Медицинские информационные системы.Информационная система для интегрального фармацевтического и здравоохранного мониторинга
-
Фармацевтическая опека
- Подходы к оперативному лечению костно-хрящевых экзостозов
- Повреждения при родах
- Инциденталома надпочечников
-
Курение марихуаны влияет на потенцию
-
Почему противозачаточные увеличивают грудь?
- Применение индинола и эпигаллата при аденомиозе













Научная медицина
Болезни
Традиционная медицина
Здоровый образ жизни
Косметология
Медицинское право
Алгоритмы, тесты
Цифры, факты, случаи
Историческая хроника
Афоризмы
Карьерная лестница
Дети
Женщина
Мужчина
Рейтинговая система








