НОВОСТИ. Лента научномедицинских новостей
Старение приводит к нарушению процессов удаления и упаковки в аутофагосомы. В процессе жизнедеятельности клеток неизбежно образуется белковый “мусор” в виде измененных или поврежденных молекул...
28.11.2016
Пациенты, недавно перенесшие оперативное вмешательство, чаще сталкиваются с синдромом Гийена-Барре. Это аутоиммунное воспалительное заболевание периферической нервной системы...
28.11.2016
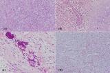
Ученые изучали ткани мозга пациентов с височной эпилепсией до и после операции. Операция является одним из радикальных вариантов лечения эпилепсии, когда применение лекарств не приносит ожидаемого успеха...
28.11.2016
Устройство позволит проводить более щадящие операции без риска ожогов для пациента. Обычный электрические скальпели работают по принципу дугового разряда: сам скальпель служит в качестве активного...
28.11.2016
Немецким ученым удалось открыть еще одну функцию гормональной системы, ответственной за регуляцию кровяного давления.
Группа исследователей из неврологического отделения университетской больницы...
28.11.2016
Международное исследование позволило идентифицировать гены, ответственные за рост опухоли. Директор Института патологии при университете Любека, профессор Свен Пернер опубликовал последние...
25.11.2016
Группа исследователей из Северо-Западного университета (США) разработали гибкое микрофлюидное устройство для анализа пота во время физических нагрузок. Своего рода пластырь по сути является набором...
25.11.2016
Контроль детской эпилепсии - непростая тема для врачей. На днях в Москве профессор Оливье Делаланд, один из основоположников хирургического лечения детской эпилепсии, провел для российских...
24.11.2016
Имплантат предназначен для лиц с поражениями большого пальца. Он изготовлен из пироуглерода (углеродного волокна) - материала, который используется в производстве ракет. Углеродное волокно в пять раз...
24.11.2016
Клетки производят метастазы из-за сбоя в работе одного лишь гена. Ученым с медицинского факультета университета Дуйсбурга-Эссена и Западногерманского опухолевого центра (WTZ) университетской...
24.11.2016
Каждый сотый внешне здоровый человек является обладателем генетической мутации, связанной со смертельно опасным заболеванием сердца. Речь идет о кардиомиопатии, которая может привести к сердечной недостаточности...
22.11.2016
Ученые из Нидерландов (Университет Твенте) разработали методику, которая может стать альтернативой диализу или трансплантации. Как отмечает Zee News, речь идет о биоискусственной почке...
22.11.2016
САМЫЕ ЧИТАЕМЫЕ СТАТЬИ
-
Нормы роста и веса детей – данные ВОЗ
-
Зеленые выделения из влагалища: причины и лечение
- Анатомо-физиологические особенности дыхательной системы у детей
-
Насморк с кровью: причины симптома и способы лечения
- Анатомо-физиологические особенности сердечно-сосудистой системы у детей
- Анатомо-физиологические особенности пищеварительной системы у детей
- Анатомо-физиологические особенности мочевыделительной системы у детей
- Сравнительная характеристика параметров функции внешнего дыхания (обзор литературы)
- Современные представления о норме и патологических отклонениях размеров восходящей аорты при приобретенных пороках сердца
- Анатомо-физиологические особенности детей
- Анатомо-физиологические особенности костно-мышечной системы у детей
- Паллиативная химиотерапия рака: основные понятия и особенности (oбзор литературы)
-
Что можно и что нельзя делать после удаления аппендицита
-
Увеличенные яичники: симптомы, причины и лечение
-
Новейшие достижения онкологии в МЦ «Наири»: интервью с Артемом Степаняном. nairimed.com
-
Как снизить риск инсульта. erebunimed.com
-
О чем говорит головная боль за ухом? Причины, симптомы и лечение
-
Характер мужчины проявляется в выборе позы для секса
-
Армянская ассоциация медицинского туризма (ААМТ)
-
Желтые выделения из влагалища: причины и лечение
-
Рвота у ребенка без температуры: возможные причины
- Применение летрозола для стимуляции овуляции
- Врожденные аномалии и пороки развития
-
КАТИОНОРМ – представитель нового поколения искусственных слез для симптоматической терапии синдрома “сухого глаза”
-
Арам Бадалян: Родинку трогать нельзя?
- Применение противоспаечных средств в профилактике спаечной болезни живота (oбзор литературы)
-
Как избавиться от лямблий — 25 эффективных рецептов народной медицины
-
Вздутие живота при месячных: 7 способов справиться с неприятным ощущением
-
Компресс при ангине: будет ли полезным прогревание горла?
-
Онкология является самой быстроразвивающейся отраслью медицины: интервью с Левоном Бадаляном
-
Лечение марганцовкой
- Некоторые новые подходы к системной терапии метипредом больных ревматоидным артритом
- Медицинские информационные системы.Информационная система для интегрального фармацевтического и здравоохранного мониторинга
-
Фармацевтическая опека
- Подходы к оперативному лечению костно-хрящевых экзостозов
- Повреждения при родах
- Инциденталома надпочечников
-
Курение марихуаны влияет на потенцию
-
Почему противозачаточные увеличивают грудь?
- Применение индинола и эпигаллата при аденомиозе













Научная медицина
Болезни
Традиционная медицина
Здоровый образ жизни
Косметология
Медицинское право
Алгоритмы, тесты
Цифры, факты, случаи
Историческая хроника
Афоризмы
Карьерная лестница
Дети
Женщина
Мужчина
Рейтинговая система