Вопросы теоретической и клинической медицины 2.2012 (приложение)
Использование экстензиониои системы эиджи при переломах головок пястных костей
Переломы пястных костей являются одними из наиболее часто встречаемых повреждений кисти. Из них наибольшую проблематичность представляют внутрисуставные. В общем числе повреждений пястных костей около половины приходится на область шейки и головки [3,4]. Возникающее при них нарушение формы пястной кости, при неправильном сращении, в дальнейшем может привести к нарушению арки свода кисти, деформирующему артрозу и стойкому болевому синдрому. При несвоевременной диагностике и неадекватном лечении при этой патологии нередко наступает стойкое снижение трудоспособности [1]. Ошибки в диагностике и лечении данного вида повреждений связаны с недооценкой серьезности травмы и нерациональным выбором метода лечения. Способы лечения этих переломов имеют ряд недостатков. Длительная иммобилизация при консервативном лечении перелома, в сочетании с развитием фиброзирующих процессов, крайне неблагоприятно влияют на функцию кисти.
Рис. 1. Этапы наложения системы
Открытая репозиция и остеосинтез пластинкой негативно влияет на васкуляризацию отломков, а также чревата развитием контрактуры в пястно-фаланговом суставе. К недостаткам способов внеочагового остеосинтеза аппаратами наружной фиксации относятся их сложность и дороговизна.
Остеосинтез при переломах костей кисти должен соответствовать анатомо-функциональным особенностям скелета кисти, отличаться атравматичностью, обладать достаточной стабильностью, не ограничивать раннюю активную функцию суставов кисти и пальцев [5]. Методика хирургического лечения переломов шейки и головки пястных костей разрабатывалась нами в соответствии с общими принципами наружного чрескостного остеосинтеза: точное сопоставление отломков, малая травматичность вмешательства и высокая стабильность остеосинтеза, максимальное сохранение кровоснабжения поврежденной кости и сегмента конечности в целом, сохранение функции конечности, позволяющий обеспечивать функциональность больного с первых дней лечения. Мы предлагаем при переломах шейки и головки пястных костей использовать экстензион- ную систему Эйджи (Agee) (рис.1) [6]. Несмотря на то, что метод был разработан для лечения вывихов в межфаланговых суставах, нами, после модификации, система была адаптирована для лечения переломов пястных костей. Способ является малоинвазивным, технически легко выполняемым.
Он предоставляет возможность ранней реа-билитации сустава, что является важнейшим тре-бованием в лечении внутрисуставных переломов. Методика позволяет обеспечить достаточную стабильность отломков при малом объеме оперативного вмешательства. Стабильная фиксация перелома позволяет сохранить основные функции кисти и кистевого сустава [5]. Противопоказанием является воспаление мягких тканей в местах предполагаемого проведения спиц. В плане функционального восстановления этот метод позволяет проводить реабилитационное лечение с первых дней после операции, сохранять подвижность в суставах кисти и исключить гипотрофию мышц, появляющуюся при отсутствии активных движений в гипсовой повязке. Разработанная методика экстензионной системы позволяет обеспечивать адекватную жесткость фиксации костных отломков и условия для проведения ранней функциональной и социальной реабилитации больных. Удаление системы не требует специального оснащения и может быть произведено амбулаторно в условиях перевязочного кабинета.
Цель. Найти малотравматичный и функционально-стабильный способ лечения переломов головок пястных костей, изучить непосредственные и отдалцнные анатомо-функциональные результаты лечения.
Материал и методы. Изучены результаты лечения в НЦТО за 2008-2012 годы 23 больных с переломами головок пястных костей. Возраст пациентов на момент получения травмы колебался от 19 до 45 лет. Среди этих пострадавших значительно преобладали мужчины (18человек 78.26%); подобные травмы у женщин возникали примерно в четыре раза реже (5человек 21.74%). У 12 больных (52.17%) были переломы головки 5-ой пястной
а. б. в.
Рис. 2. Фиксация перепомовывиха 1-ой пястной кости системой Эйджи. а. переломовывих 1-ой пястной кости б. и в. фиксация перелома и вправление вывиха системой
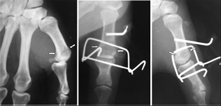
кости, у 8-и больных (34.78%) 1-ой, у 3 больных (13.05%) 2-ой пястной кости. У 19 больных (82.6%) наблюдались повреждения правой кисти. Объективное обследование проводилась по общепринятым методикам. Для диагностики характера повреждения костных структур пациентам выполнялась рентгенография травмированной кисти в двух стандартных проекциях. Всем была сделана операция с использованием экстензионной системы Эйджи (рис.2).
Остеосинтез проводился на 2-4 сутки после травмы. Выбор метода обезболивания определялся индивидуально, наиболее часто использовалась местная анестезия. Система представляла из себя петлю из двух спиц и одного стержня, соединенных амортизирующей резинкой. Спицы проводились через проксимальный отдел метакарпальной кости и основной фаланги в горизонтальной плоскости. Стержень проводился в основную фалангу в перпендикулярной плоскости. После изгибания плеч дистальной спицы и проведения под проксимальной, она соединялась со стержнем резинкой (рис. 3).
Рис. 3. Внешный вид аппарата
Рис. 4. Рентгенография после 7недель наложения. Полная консолидация перелома
Для непосредственного интраоперационно- го контроля применялся электронно-оптический преобразователь (ЭОП). Стабилизация аппарата в процессе лечения прово-дилась с помощью до-полнительного изгибания спиц. Реабилитация на-чиналась на 2-3 послеоперационные сутки включая активные движения в пястно-фаланговом суставе. В процессе лечения все больные прошли курс восстановительной терапии: ЛФК, физиолечение. Для контроля процессами консолидации через 6-8 недель произведена контрольная рентгенография в двух проекциях. Удаление конструкции было выполнено после рентгенологического подтверждения консолидации (рис. 4).
Результаты. У всех больных наступило полное сращение, отмечено полное функциональное и анатомическое восстановление поврежденного сегмента после снятия системы. Послеоперационный период протекал без осложнений у всех пациентов. Все раны зажили первичным натяжением. К моменту снятия аппарата восстанавливалась функция кисти и отпала необходимость в долечивании. После заживления ран от спиц (через 3-4 дня), больные были выписаны. Все пациенты через 8-9 недель приступили к своему профессиональному труду. Результаты оценивались на основании данных клинико-рентгенологического обследования пациентов. Клиническая оценка включала следующие параметры: болезненность или ее отсутствие при пальпации, обьем движении в пястно-фаланговом суставе, восстановление основных видов захвата, нуждаемость больного в дальнейшем лечении. При рентгенологическом исследовании оценивались качество репозиции переломов, степень консолидации отломков костей, состояние рентгеновской суставной щели. Отдаленные результаты лечения прослежены в сроки от 6-и месяцев до 2 лет. Раннее востанови- тельное лечение привело к тому, что в отдаленном периоде после травмы у всех 28 больных был хороший результат. Неудовлетворительных результатов при использовании рекомендованного нами метода остеосинтеза у больных с переломами шейки и головки пястных костей мы не наблюдали. Несмотря на уменьшение числа фиксирующих элементов, по сравнению со стандартной методикой остеосинтеза аппаратами внешней фиксации,во всех случаях нами были достигнуты точная ре-позиция и адекватная фиксация.
Выводы. Предлагаемая система имеет явные преимущества над ранее существующими методиками, благодаря большей простоте конструкции, хирургической техники, жесткости фиксации и меньшей травматизации мягких тканей. Указанный способ позволяет избежать необходимости открытого вправления, тем самым снизить риск послеоперационных осложнений и сократить про-должительность стационарного лечения больных с повреждениями пястно-фалангового сустава. Отмечена быстрая и точная репозиция отломков и высокая стабильность системы. Таким образом, использование экстензионной системы Эйджи при переломах головок пястных костей позволяет добиться стабильной фиксации отломков и восстановления функции кисти, избегая осложнений, встречающиеся при лечении традиционными методами.
Список литературы
- Ашкенази А.И. Хирургия кистевого сустава.М.: Медицина, 1990.
- Бойчев Б. Хирургия кисти и пальцев. София:Медицина и физкультура, 1971.
- Волкова, А.М. Хирургия кисти. Екатеринбург,1991.
- Усольцева Е.В. Хирургия заболеваний и повреждений кисти. Медицина, 1986.
- Agee JM. Clin Orthop Relat Res. 214:101, 1987.
- Campbell’s Operative Orthopaedics, 11th ed. 2007 Mosby,An Imprint of Elsevier
06.07.2012 Читайте также
Христофор Айрапетович Петросян - заслуженный деятель науки, доктор мед. наук, профессор, основоположник ортопедии и травматологии в Армении, родился в Нагорном Карабахе в 1889 году. Начальное образование получил в приходской школе...
10.07.2012 Вертельные переломы бедренной кости встречаются в основном у лиц пожилого и старческого возраста. Тактика лечения подобных повреждений окончательно не выработана, сложности усугубляются тяжестью контингента постравдавших...
10.07.2012 Диафизарные переломы костей голени, по данным различных авторов, составляют около 30% всех переломов костей голени и от 10-32% переломов костей скелета [4,5,7,11,14,16,23]. Лечение диафизарных переломов костей голени является одной из важных и актуальных проблем травматологии...
09.07.2012 Введение
Переломы костей голени встречаются от 20 до 37,3% от всех переломов. Частота их вместе с переломами диафиза бедра составляет более 26,3% от общего количества переломов длинных трубчатых костей...
09.07.2012 В настоящее время, в эпоху развития современных технологий, малоинвазивные операции на суставах набирают новые обороты. Обширные, кровавые оперативные вмешательства уступают место малокровным и органосохраняющим [6]...
06.07.2012 Использование современной техники цементировки при артропластике тазобедренного сустава (ТБС) показывает отличные результаты у пациентов с костным ложем, несостоятельным для выполнения бесцементной процедуры (Spotorno L. et al., 1987; Reigstat A. et al., 1988; Garino J. et al., 1997)...
06.07.2012 Лечение врожденного высокого вывиха бедра у взрослых до настоящего времени остается сложной и не разрешенной проблемой ортопедии. несмотря на достижения современной ортопедии в диагностике и лечении этой патологии...
05.07.2012 Несмотря на анатомическое название, локтевой отросток представляет собой суставообра-зующую поверхность и исходя из этого, повреждения локтевого отростка должны рассматриваться как внутрисуставные переломы...
05.07.2012 Разрывы менисков являются наиболее часто встречающимися повреждениями коленного сустава. Еще в 19 веке William Hey в своей работе описывает повреждение мениска как «внутренний беспорядок коленного сустава»...
04.07.2012 Врожденный вывих бедра (ВВБ) является одной из деформаций известных человечеству уже со времени Гиппократа (около 460-377 г. до н.э.) [1]. Несмотря на это, патология не раскрыла ученым всех своих тайн до настоящего времени...
04.07.2012 Введение. Проблема лечения костных дефектов весьма актуальна и в настоящее время. Требования, которые предъявляются к решению этой проблемы, заключаются в восстановлении анатомической целостности кости при возможно полной сохранности функции конечности [1,6,18]...
04.07.2012 Дисплазия тазобедренных суставов (ТБС) является патологией, выявляемой в различных возрастных группах, и наиболее часто тогда, когда младенец начинает стоять и ходить. Именно в этот промежуток времени лечение дисплазии с ее различными проявлениями и осложнениями представляет трудную задачу...
03.07.2012 Лечение инфицированных костных дефектов длинных трубчатых костей является актуальной про-блемой травматологии и ортопедии, так как угроза несращения и не восстановления кости при этом вполне реальна...
03.07.2012 Диагностика дисплазии тазобедренных суставов (ТБС) является одной из основных проблем современной ортопедии. Несмотря на то, что она является специфичной патологией именно раннего детского возраста...
02.07.2012
САМЫЕ ЧИТАЕМЫЕ СТАТЬИ
-
Нормы роста и веса детей – данные ВОЗ
-
Зеленые выделения из влагалища: причины и лечение
- Анатомо-физиологические особенности дыхательной системы у детей
-
Насморк с кровью: причины симптома и способы лечения
- Анатомо-физиологические особенности сердечно-сосудистой системы у детей
- Анатомо-физиологические особенности пищеварительной системы у детей
- Анатомо-физиологические особенности мочевыделительной системы у детей
- Сравнительная характеристика параметров функции внешнего дыхания (обзор литературы)
- Современные представления о норме и патологических отклонениях размеров восходящей аорты при приобретенных пороках сердца
- Анатомо-физиологические особенности детей
- Анатомо-физиологические особенности костно-мышечной системы у детей
- Паллиативная химиотерапия рака: основные понятия и особенности (oбзор литературы)
-
Что можно и что нельзя делать после удаления аппендицита
-
Увеличенные яичники: симптомы, причины и лечение
-
Новейшие достижения онкологии в МЦ «Наири»: интервью с Артемом Степаняном. nairimed.com
-
О чем говорит головная боль за ухом? Причины, симптомы и лечение
-
Как снизить риск инсульта. erebunimed.com
-
Характер мужчины проявляется в выборе позы для секса
-
Армянская ассоциация медицинского туризма (ААМТ)
-
Желтые выделения из влагалища: причины и лечение
-
Рвота у ребенка без температуры: возможные причины
- Применение летрозола для стимуляции овуляции
- Врожденные аномалии и пороки развития
-
КАТИОНОРМ – представитель нового поколения искусственных слез для симптоматической терапии синдрома “сухого глаза”
-
Арам Бадалян: Родинку трогать нельзя?
- Применение противоспаечных средств в профилактике спаечной болезни живота (oбзор литературы)
-
Как избавиться от лямблий — 25 эффективных рецептов народной медицины
-
Вздутие живота при месячных: 7 способов справиться с неприятным ощущением
-
Компресс при ангине: будет ли полезным прогревание горла?
-
Онкология является самой быстроразвивающейся отраслью медицины: интервью с Левоном Бадаляном
-
Лечение марганцовкой
- Некоторые новые подходы к системной терапии метипредом больных ревматоидным артритом
- Медицинские информационные системы.Информационная система для интегрального фармацевтического и здравоохранного мониторинга
-
Фармацевтическая опека
- Подходы к оперативному лечению костно-хрящевых экзостозов
- Повреждения при родах
- Инциденталома надпочечников
-
Курение марихуаны влияет на потенцию
-
Почему противозачаточные увеличивают грудь?
- Применение индинола и эпигаллата при аденомиозе













Научная медицина
Болезни
Традиционная медицина
Здоровый образ жизни
Косметология
Медицинское право
Алгоритмы, тесты
Цифры, факты, случаи
Историческая хроника
Афоризмы
Карьерная лестница
Дети
Женщина
Мужчина
Рейтинговая система



