Вопросы теоретической и клинической медицины 3.2012 (приложение)
Эндометроидная киста влагалищного отростка (канала нака) (клиническое наблюдение)
Мы представляем редкий случай эндометриоза канала Нака. Канал Нака представляет собой эмбриологический остаток брюшины, известный как processus vaginalis. Впервые киста канала Нака была описана голландским анатомом Антоном Наком (A.Nuck) 1682г., как киста, растущая по ходу круглой связки матки и пенетрирующая в большую половую губу. Причиной возникновения кисты является неполная облитерация processus vaginalis. При частичной облитерации проксимальной части и открытой дистальной части processus vaginalis в ней образуется киста Нака. Таким образом, по этиопатогенезу это заболевание эквивалентно возникновению гидроцеле у мужчин. В случае нахождения эндометроидных гетеротопий в кисте она называется эндометроидной кистой канала Нака. Эндометроидная киста Нака чрезвычайно редкое заболевание, относящееся к экстрагенитальным формам эндометриоза, до сих пор в литературе описано 80 случаев. Большинство хирургов и гинекологов не имеют достаточной информации, сталкиваясь с этой патологией, так как эта проблема скудно отражена в литературе.
Мы представляем случай эндометроидной кисты Нака у больной 27 лет N И.Б. 1477149, поступившей в наше отделение с жалобами на резкие распирающие боли в области верхней трети левой большой половой губы и по проекции нижней трети пахового канала. Здесь же пальпируется опухолевидное образование, умеренно подвижное, с гладкой поверхностью. При пальпации резко болезненное. Поверхность кожи над образованием интактна. При натуживании и кашлевой пробе признаков грыжевой экскурсии не отмечается. Со слов пациентки это образование существует в течение последних 3 лет. Отмечается характерное увеличение размеров и болезненности образования в предменструальном и менструальном периоде. Надо отметить, что за 2 месяца до поступления больная находилась в нашем отделении по поводу первичного бесплодия, где ей была произведена диагностическая лапароскопия.
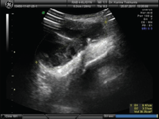
В основном кисту канала Нака дифференцируют с паховой и бедренной грыжами, миомой круглой связки матки, реже проводят дифференциацию с аневризмой сосуда. В большинстве случаев диагностика основывается на данных USI, СТ и IМR. У нашей пациентки мы ограничились проведением USI получена картина многокамерного кистозного образования в толще большой половой губы с резко неоднородным содержимым и множественными фиброзными перетяжками. При цветном допплеровском картировании внутри образования кровоток не получен. В дистальной части левого пахового канала выявляется продолговатая кистозная полость до 2.5 см длиной связанная с вышеописанным многокамерным образованием. Для уточнения диагноза проведен также ретроспективный просмотр видеозаписи диагностической лапароскопии: дистальная часть левой круглой связки и внутрибрюшное отверствие пахового канала были в пределах анатомической нормы. Под спинальным обезболиванием проведено оперативное лечение.
![]() |
![]() |
![]() |
![]() |
![]() |
![]() |
![]() |
- Кожный разрез над пупартовой связкой с переходом на большую половую губу.
- Вскрытие пахового канала с последующим выделением круглой связки.
- Полное вылущивание кисты с капсулой из окружающих тканей с частичной резекцией круглой связки.
- Восстановление непрерывности круглой связки с последующей пластикой пахового канала.
Удаленный препарат представляет собой гладкостенную кисту овоидной формы, размерами 6,2x3,4см. На разрезе: множественные перегородки и полости, заполненные густой геморрагической жидкостью, похожей на “жидкий шоколад”. Больная выписана на третьи сутки в хорошем состоянии. При последующих посещениях какой-либо патологии в зоне оперативного вмешательства не выявлено.
Заключение патоморфологического исследования. Выстилка канала представлена преимущественно уплощенными клетками. На отдельных участках представлена эндометриальным эпителием с подлежащей эндометриальной стромой. В стенке канала выявляются множественные эндометроидные гетеротопии. В окружающих мягких тканях очаговая хроническая воспалительная инфильтрация и очаги грубого фиброза.
Список литературы
- Turpin F, Daclin PY, Karam R. et al. A case of muscular and canal of Nuck involvement by endometriosis [in French]. J Radiol. 2001;82:933-935.
- Freed KS, Granke DS, Tire LL, Williams VL, Omert LA. Endometriosis of the extraperitoneal portion of the round ligament: US and CT fi ndings. J Clin Ultrasound,1996; 24:540-542.
- Woodward PJ, Sohaey R, Mezzetti TP Jr.Endometriosis: radiologic-pathologic correlation.RadioGraphics.2001;21:193-216.
01.10.2012 Читайте также
3 Клиническая больница ЗАО на 350 коек основана в 1972г., первоначально объединенной со станцией скорой медицинской помощи. Вначале в больнице функционировали 5 основных профильных отделений: терапевтическое...
10.10.2012 Периодическая болезнь распространена в основном среди евреев, армян и арабов.Описание этой болезни начинается с 1806 года, когда Heberden сообщил, что ему известна болезнь, схожая с малярией своей периодичностью и лихорадкой...
09.10.2012 За последние 10-летия лечение больных острым панкреатитом (ОП) эволюционировало. Современный подход в лечении ОП диктует необходимость учета данных динамического обследования: УЗИ, КТ, лабораторных анализов...
08.10.2012 Одним из частых осложнений варикозной болезни нижних конечностей является развитие острого тромбофлебита. Возникновению и развитию тромбофлебита способствуют ряд гинекологических...
05.10.2012 Современные принципы лечения со-четанных патологий, таких как сердечно-сосудистые заболевания (ССЗ) и болезни печени, которые являются второй «эпидемией нашего века», стали важной проблемой медицины...
04.10.2012 Болезнь фиброзная дисплазия (херувизм), описан в 1933 году д-р Джонсом. Кингстон, относится к ряду опухолеподобных заболеваний костей. Является редким аутосомно-доминантным заболеванием, вследствие генных мутаций...
03.10.2012 Грибковые инфекции - возбудители микозов, были издавна известны человечеству. Значительный рост микотических заболеваний регистрировался во второй половине XX века. По данным ВОЗ, пятая часть населения Земли страдает различными грибковыми заболеваниями...
03.10.2012 Боль в пояснице занимает лидирующее положение среди жалоб во всех развитых странах. Стратают в основном люди среднего, трудоспособного возраста. Наиболее частой причиной болей в спине явтяется остеохондроз позвоночника — дегенеративно-дистрофическое заболевание...
02.10.2012
САМЫЕ ЧИТАЕМЫЕ СТАТЬИ
-
Нормы роста и веса детей – данные ВОЗ
-
Зеленые выделения из влагалища: причины и лечение
- Анатомо-физиологические особенности дыхательной системы у детей
-
Насморк с кровью: причины симптома и способы лечения
- Анатомо-физиологические особенности сердечно-сосудистой системы у детей
- Анатомо-физиологические особенности пищеварительной системы у детей
- Анатомо-физиологические особенности мочевыделительной системы у детей
- Сравнительная характеристика параметров функции внешнего дыхания (обзор литературы)
- Современные представления о норме и патологических отклонениях размеров восходящей аорты при приобретенных пороках сердца
- Анатомо-физиологические особенности детей
- Анатомо-физиологические особенности костно-мышечной системы у детей
- Паллиативная химиотерапия рака: основные понятия и особенности (oбзор литературы)
-
Что можно и что нельзя делать после удаления аппендицита
-
Увеличенные яичники: симптомы, причины и лечение
-
Новейшие достижения онкологии в МЦ «Наири»: интервью с Артемом Степаняном. nairimed.com
-
О чем говорит головная боль за ухом? Причины, симптомы и лечение
-
Как снизить риск инсульта. erebunimed.com
-
Характер мужчины проявляется в выборе позы для секса
-
Армянская ассоциация медицинского туризма (ААМТ)
-
Желтые выделения из влагалища: причины и лечение
-
Рвота у ребенка без температуры: возможные причины
- Применение летрозола для стимуляции овуляции
- Врожденные аномалии и пороки развития
-
КАТИОНОРМ – представитель нового поколения искусственных слез для симптоматической терапии синдрома “сухого глаза”
-
Арам Бадалян: Родинку трогать нельзя?
- Применение противоспаечных средств в профилактике спаечной болезни живота (oбзор литературы)
-
Как избавиться от лямблий — 25 эффективных рецептов народной медицины
-
Вздутие живота при месячных: 7 способов справиться с неприятным ощущением
-
Компресс при ангине: будет ли полезным прогревание горла?
-
Онкология является самой быстроразвивающейся отраслью медицины: интервью с Левоном Бадаляном
-
Лечение марганцовкой
- Некоторые новые подходы к системной терапии метипредом больных ревматоидным артритом
- Медицинские информационные системы.Информационная система для интегрального фармацевтического и здравоохранного мониторинга
-
Фармацевтическая опека
- Подходы к оперативному лечению костно-хрящевых экзостозов
- Повреждения при родах
- Инциденталома надпочечников
-
Курение марихуаны влияет на потенцию
-
Почему противозачаточные увеличивают грудь?
- Применение индинола и эпигаллата при аденомиозе













Научная медицина
Болезни
Традиционная медицина
Здоровый образ жизни
Косметология
Медицинское право
Алгоритмы, тесты
Цифры, факты, случаи
Историческая хроника
Афоризмы
Карьерная лестница
Дети
Женщина
Мужчина
Рейтинговая система






