Вопросы теоретической и клинической медицины 4.2012
Прогностические клинико - морфологические показатели при раке щитовидной железы
В последние годы все большее внимание уделяется показателям, имеющим прогностическое значение при раке щитовидной железы. Хорошо известно, что целый ряд морфологических признаков определяет метастатический потенциал и агрессивные свойства первичной опухоли. Анализ многочисленных литературных данных [2-7] свидетельствует о различиях биологического поведения опухоли, проявляемого, в частности, ее клинико - морфологическими особенностями. Базис данных морфологического исследования приобретает громадное значение в наши дни в связи с нарастающей тенденцией к развитию органосохраняющих операций, так называемой консервативной терапии.
Цель исследования
Настоящая работа посвящена анализу прогностической ценности отдельных клинико- морфологических параметров при раке щитовидной железы.
Материал и методы
Изучались 529 случаев первичного рака щитовидной железы с 1999 по 2011 гг, из лечебно - профилактических учреждений (истории болезней, протоколы патогистологических исследований, амбулаторные карты, формы статистической отчетности). Заключительный диагноз устанавливался по результатам клинического обследования и послеоперационного гистологического анализа. Рассчитывались среднегодовые показатели заболеваемости на 10 000 населения. Гистологический материал фиксировали нейтральным формалином, парафиновые срезы толщиной 4 мкм окрашивались гематоксилин - эозином. Микроскопическое исследование осуществляли при помощи световой микроскопии в 100 - 400 раз.
Результаты и обсуждение
Располагая большим материалом, мы сочли возможным подробнее остановиться на особенностях отдельных гистиотипов рака щитовидной железы, прогностической ценности отдельных морфологических параметров. Хорошо известно, что целый ряд морфологических признаков определяет метастатический потенциал и агрессивные свойства первичной опухоли.
I. Гистиотип опухоли. Каждый гистиотип имеет свой индивидуальный профиль и соответствующие морфологические признаки, во многом определяющие дальнейшее развитие опухолевого процесса.
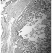
II. Чаще больные обращались за врачебной помощью с размерами опухоли уже более 2 см в диаметре. Частота отдаленных метастазов и соответственно риск смерти возрастали с увеличением размера рака щитовидной железы (рис. 1,2). Так, частота метастазирования при размерах опухоли Т2 почти в два раза выше, чем Т1. Однако, мы считаем, что один только размер первичной опухоли, как полагают многие авторы, не может быть квалифицирован как определяющий критерий для рекомендаций к сохранным операциям. Размер опухоли не имеет также какого-либо прогностического значения при низ-кодифференцированных и недифференцированных формах рака щитовидной железы.
Рис. 1,2. Нативные препараты.
Разные размеры папиллярного рака щитовидной железы
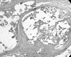
Рис. 3. Многофокусный рост папиллярного рака щитовидной железы. Окраска гематоксилином и эозином. X 100.
II.Многофокусный рост опухоли (мультицентричность). В отличие от фолликулярных карцином, многофокусный рост папиллярного рака встречался достаточно часто (рис. 3), особенно при неинкапсулированном раке смешанного (фолликулярном варианте папиллярного рака) строения. В случаях многофокусного роста папиллярных карцином чаще наблюдалось регионарное метастазирование.
III.Васкулярная (сосудистая) инвазия. Несмотря на то, что некоторые авторы не выявили каких-либо отличий в клиническом поведении и прогнозе при ангиоинвазивных и неангиоинвазивных формах дифференцированных карцином [2], мы считаем, что сосудистая инвазия также имеет прогностическое значение (рис. 4). Так, у больных с отдаленными метастазами инвазия этих опухолей в кровеносные сосуды отмечена в большинстве случаев (70%).
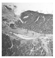
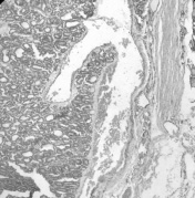
IV.Экстракапсулярная инвазия. При инвазивном росте рака возможно очаговое или обширное распространение за пределы капсулы щитовидной железы в окружающие мягкие ткани (экстрати- реоидная инвазия). Экстратиреоидная инвазия отмечалась в 5% случаев папиллярного (рис. 5) и 3% фолликулярного рака (рис. 6). С ней чаще были связаны регионарные рецидивы и отдаленные метастазы, которые в свою очередь становились причиной смерти.
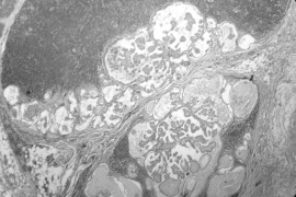
V. Метастазы в регионарные лимфатические узлы. Довольно большое количество больных (27%) к моменту оперативного вмешательства имели
Рис. 4. Начало сосудистой инвазии при фолликулярном раке щитовидной железы.
Окраска гематоксилином и эозином. X 100
Рис. 5. Экстратиреоидная инвазия при папиллярном раке щитовидной железы.
Окраска гематоксилином и эозином. X 100
Рис. 6. Широкий инвазивный рост в капсулу и экстратиреоидная инвазия при
фолликулярном раке щитовидной железы.Окраска гематоксилином и эозином. X 100.
метастазы в регионарных лимфоузлах, то есть об-ращались к врачу не на ранних этапах заболевания, а в процессе его прогрессирования. Из дифференцированных форм рака щитовидной железы метаста- зирование в регионарные лимфатические узлы было наиболее характерным для папиллярной карциномы (рис. 7).
Мы считаем, что регионарные метастазы у больных раком щитовидной железы являются неблагоприятным фактором, который ассоциирован с бoльшей частотой отдаленного метастазирования, рецидивирования заболевания и значительным ухудшением долгосрочного прогноза, то есть поражение лимфатических узлов также может являться самим источником последующей генерализации процесса. Так, у больных с отдаленными метастазами одновременное поражение регионарных лимфоузлов наблюдалось у 29 больных. Однако, необходимо учитывать и другие клинико – морфологические критерии прогноза. Так, даже при наличии регионарных метастазов у пациентов I возрастного периода зрелости (21 -35 лет) прогноз при папиллярном раке был благоприятным, так как подавляющее большинство пора-женных лимфатических узлов были удалены квали-фицированными хирургами во время операции. При регионарном метастазировании у больных с другими типами рака щитовидной железы прогноз менее бла-гоприятен. Замещение лимфоузлов жировой клетчаткой, впервые описанное профессором Ованесбековой Т.Г. [1] при раке молочной железы, морфологический показатель, имеет согласно полученным
Рис. 7. Метастаз папиллярного рака щитовидной железы в лимфоузле. Окраска гематок-силином и эозином. X100.
Рис. 8. Частичное замещение лимфатического узла жировой клетчаткой. Окраска гематоксилином и эозином. X100.
результатам, благоприятное прогностическое значение. На нашем материале также вероятность метастатического поражения лимфатических узлов была достоверно намного меньше p‹0,001) при их замещении жировой клетчаткой (рисунок 8). Метастазы в лимфатических узлах на фоне их замещения жировой клетчаткой развивались тогда, когда опухоли более агрессивны.
VI. Отдаленные метастазы. Наличие отдаленных метастазов у больных с дифференцированными формами рака щитовидной железы является неблагоприятным фактором прогноза, который снижает выживаемость больных. Так, у 74 больных к моменту уже первого обследования были обнаружены метастазы, которые стали причиной смерти больных (56%). Так как метастазы могут возникнуть через длительное время после после оперативного лечения, этого факта достаточно для понимания необходимости пожизненного наблюдения больных. Кроме типа гистологического строения опухоли, с большей частотой отдаленного метастазирования ассо- цированы и ряд других морфологических факторов: капсулярная и экстракапсулярная инвазия, сосудистая инвазия, а также обширное поражение регионарных лимфатических узлов. Изучая морфологические параметры в аспекте прогнозирования рака щитовидной железы, мы считаем, что большой размер и многофокусный рост опухоли, капсулярная и экстратиреоидная инвазия, сосудистая инвазия, регионарные и отдаленные метастазы являются неблагоприятными прогностическими факторами, значительно снижающие выживаемость больных. Среди них отдаленные метастазы являются самым неблагоприятным фактором прогноза. К клиническим неблагоприятным прогностическим факторам, на наш взгляд, относятся пожилой и старческий возраст пациентов.
Мы считаем, что ни один клинико – морфологический показатель при РЩЖ не имеет безусловного и самостоятельного прогностического значения. Таким образом, определение индивидуального прогноза заболевания предусматривает оценку всех признаков в совокупности, ибо только в результате взаимозависимости и взаимосвязи признаков, характеризующих биологические свойства опухоли реализуется ее агрессивный и метастатический потенциал.
Список литературы
- Ованесбекова Т.Г. Особенности клинико - морфологических характеристик рака молочной железы и их прогностическое значение. Дисс. докт. мед. наук. Ереван, 2001г., 215 с.
- Furlan J. C., Bedard Y. C., Rosen I. B. Clinicopathologic significance of histologic vascular invasion in papillary and follicular thyroid carcinomas. J. Am. Coll. Surg. 2004. 198, 3. Р 341-348.
- Palme C. E., Waseem Z., Raza S. N. et al. Management and outcome of recurrent well-differentiated thyroid carcinoma. Arch. Otolaryngol. Head Neck Surg. 2004. 130, 7. Р 819-824.
- Pelizzo M. R., Toniato A., Grigoletto R. et al. Papillary carcinoma of the thyroid. A uni- and multivariate analysis of the factors affecting the prognosis inclusive of surgical treatment. Minerva Chir. 1998. 53, 6. P. 471-482.
- Ricardo V Lloyd, Darya Buehler and Elham Khanafshar. Head Neck Pathol. 2011 March; 5(1): 51-56. PMCID: PMC3037461.
- Ronald A. DeLellis, Ricardo V.Lloyd, Philipp U. Heitz, Charis Eng. WHO Classification of Tumours. Pathology and Genetics of Tumours of Endocrine Organs. IARC Press, Lyon, 2004. P.49-133.
- Witt R. L., McNamara A. M. Prognostic factors in mortality and morbidity in patients with differentiated thyroid cancer. Ear Nose Throat J. 2002. 81, 12. P. 856863.
21.11.2012 Читайте также
Методы медицинской визуализации (ультразвуковое исследование -УЗИ, компьютерная томография - КТ, магнитно-резонансная томография - МРТ), несмотря на различные способы получения изображения, отражают макроструктуру и анатомотопографические особенности органов...
30.11.2012 Введение
Термин криоглобулинемия означает наличие в сыворотке крови комплексов, содержащих один (моноклональная криоглобулинемия) или несколько типов (смешанная криоглобулинемия) иммуноглобулинов (Иг), которые осаждаются при температуре ниже 37оС и растворяются при нагревании [3,4,7,10]...
29.11.2012 В последние десятлетия опубликованы данные о существовании в жидкостях тела млекопитающих (сыворотка, плазма, слюна, моча, грудное молоко, а также асцитные жидкости различного характера) экзосомов, которые секретируются из нормальных и опухолевых клеток [1]...
28.11.2012 Введение
Каждого пациента изначально волнует вопрос относительно продолжительности ортодонтического лечения. Ответ ортодонта на данный вопрос, как правило, зависит от множества факторов...
27.11.2012 Проблема рассеянного склероза (РС) продолжает оставаться одной из актуальных проблем в неврологии. РС по данным ВОЗ относится к числу наиболее распространенных причин нетрудоспособности в молодом возрасте - от 20 до 40 лет...
26.11.2012 Множество работ свидетельствует о важнейшей роли генетических факторов в развитии шизофрении [9,42]. Однако весь комплекс генетических дефектов, ответственных за развитие этого заболевания пока еще не выявлен...
23.11.2012 Аналог адреналина - норэпинефрин (5мкМ) повышает супероксид (О2¯ )-продуцирующую активность NADPH оксидазы и вызывает апоптоз вентрикулярных кардиомиоцитов в культуре этих клеток...
22.11.2012 Введение
Лектины - это белки, которые обратимо и специфически связываются с углеводной частью глюкоконьюгатов (моно - и олигосахаридов мембран клеток и структур экстрацеллюлярного матрикса) без нарушения их структуры...
20.11.2012 Введение
Кардиотокография (КТГ) - это современная методика оценки состояния плода по характеру его сердцебиения. В настоящее время кардиотокография является одним из ведущих методов оценки состояния плода [1,2,4-6,8,9,12-16,18,22-25,27]...
19.11.2012 Известный онколог С. А. Холдин писал: «Едва ли найдется еще какой-нибудь орган, который при сравнительной несложности и однообразности структуры давал бы такое богатство форм и типов новообразовательного роста, как щитовидная железа» [1]...
16.11.2012 Введение
Последние достижения в области гликобиологии позволяют по новому взглянуть на роль углеводов. В настоящее время система углевод-белкового узнавания рассматривается как дополнительная к генетическому коду, суть которой заключается в следующем...
15.11.2012 В рамках методологии и современных критериев доказательной медицины все более акцентируется вопрос статистической парадигмы, особенно необходимости перехода от методов анализа одномерных подсистем к многомерным методам интегральной оценки структуры взаимосвязей [1,2]...
14.11.2012
САМЫЕ ЧИТАЕМЫЕ СТАТЬИ
-
Нормы роста и веса детей – данные ВОЗ
-
Зеленые выделения из влагалища: причины и лечение
- Анатомо-физиологические особенности дыхательной системы у детей
-
Насморк с кровью: причины симптома и способы лечения
- Анатомо-физиологические особенности сердечно-сосудистой системы у детей
- Анатомо-физиологические особенности пищеварительной системы у детей
- Анатомо-физиологические особенности мочевыделительной системы у детей
- Сравнительная характеристика параметров функции внешнего дыхания (обзор литературы)
- Современные представления о норме и патологических отклонениях размеров восходящей аорты при приобретенных пороках сердца
- Анатомо-физиологические особенности детей
- Анатомо-физиологические особенности костно-мышечной системы у детей
- Паллиативная химиотерапия рака: основные понятия и особенности (oбзор литературы)
-
Что можно и что нельзя делать после удаления аппендицита
-
Увеличенные яичники: симптомы, причины и лечение
-
Новейшие достижения онкологии в МЦ «Наири»: интервью с Артемом Степаняном. nairimed.com
-
О чем говорит головная боль за ухом? Причины, симптомы и лечение
-
Как снизить риск инсульта. erebunimed.com
-
Характер мужчины проявляется в выборе позы для секса
-
Армянская ассоциация медицинского туризма (ААМТ)
-
Желтые выделения из влагалища: причины и лечение
-
Рвота у ребенка без температуры: возможные причины
- Применение летрозола для стимуляции овуляции
- Врожденные аномалии и пороки развития
-
КАТИОНОРМ – представитель нового поколения искусственных слез для симптоматической терапии синдрома “сухого глаза”
-
Арам Бадалян: Родинку трогать нельзя?
- Применение противоспаечных средств в профилактике спаечной болезни живота (oбзор литературы)
-
Как избавиться от лямблий — 25 эффективных рецептов народной медицины
-
Вздутие живота при месячных: 7 способов справиться с неприятным ощущением
-
Компресс при ангине: будет ли полезным прогревание горла?
-
Онкология является самой быстроразвивающейся отраслью медицины: интервью с Левоном Бадаляном
-
Лечение марганцовкой
- Некоторые новые подходы к системной терапии метипредом больных ревматоидным артритом
- Медицинские информационные системы.Информационная система для интегрального фармацевтического и здравоохранного мониторинга
-
Фармацевтическая опека
- Подходы к оперативному лечению костно-хрящевых экзостозов
- Повреждения при родах
- Инциденталома надпочечников
-
Курение марихуаны влияет на потенцию
-
Почему противозачаточные увеличивают грудь?
- Применение индинола и эпигаллата при аденомиозе













Научная медицина
Болезни
Традиционная медицина
Здоровый образ жизни
Косметология
Медицинское право
Алгоритмы, тесты
Цифры, факты, случаи
Историческая хроника
Афоризмы
Карьерная лестница
Дети
Женщина
Мужчина
Рейтинговая система






