Вопросы теоретической и клинической медицины 3.2012
Гормональные параметры менструального цикла и гистоструктура Яичников при аутоиммунном оофорите
В последнее время появилось немало научных исследований, посвященных роли аутоиммунных на-рушений в патогенезе различных гинекологических заболеваний, в частности, гормональной недостаточности яичников [1,3,4,8,9,12]. Аутоиммунный оофорит (АО)-один из основных факторов, способствующих развитию первично-овариальной недостаточности (ПОН). Являясь причиной развития гиперго- надотропной недостаточности яичников в 43-69%, нормогонадотропной - в 19,2-31,5% случаев, аутоиммунный оофорит остается малоизученной проблемой [8,9,12]. Довольно часто (до 50%) аутоиммунный процесс в яичниках сочетается с другой аутоиммунной патологией: недостаточностью коры надпочечников аутоиммунного генеза, аутоиммунным тиреоидитом, сахарным диабетом 1-го типа, системной красной волчанкой, витилиго, ревматоидным артритом, гломерулонефритом и др. [7,5]. Сочетанное течение многих аутоиммунных заболеваний подтверждает общность механизмов развития различных аутоиммунных патологий. Основными способами диагностики АО являются гистологический, иммуно- гистологический и метод выявления циркулирующих антиовариальных антител. В связи с достаточно широким внедрением в клиническую практику лапароскопической хирургии определенное значение для диагностики АО приобретает гистологический метод, достоверно выявляющий специфический клеточный ответ [6,9,11,12]. АО свойственны четко определенные гистологические изменения: характерная воспалительная инфильтрация ткани, которая представлена лимфоцитами, плазмоцитами, реже - эозинофилами. Изначально инфильтрация локализуется во внутренней тека-оболочке растущих фолликулов; по мере прогрессирования заболевания распространяется на клетки гранулезы и постепенно образует плотную воспалительную «корону» вокруг фолликулов. В некоторых случаях дегенеративные изменения гранулезы и тека-оболочки приводят к фиброзированию ткани, что характерно для яичников у больных с гипергонадотропной аменореей. При иммуногистохимическом исследовании инфильтратов в них выявляются В-, Т-лимфоциты. Присутствие Т-клеток в воспалительном инфильтрате указывает на значение клеточного механизма в деструкции тканей, наблюдающейся при АО [10]. Для достоверного выявления АО, как и других аутоиммунных заболеваний, оптимальным является сочетание не менее двух различных методов диагностики [7,11,12]. Дополнительными диагностическими критериями АО могут являться: обнаружение аутоантител к стероид-продуцирующим клеткам других эндокринных органов и неорганоспецифических антител (антинуклеарных, антимитохондриальных) к клеткам гладкой мускулатуры, ДНК, ревматоидным факторам, подтверждающее роль аутоиммунных механизмов в развитии патологии яичников у конкретных пациенток [2,9,12].
С целью изучения индуцированных аутоиммунным оофоритом нарушений функции яичников и особенностей их гистоструктуры при этой патологии были обследованы 47 женщин с первичноовариальной недостаточностью, обусловленной аутоиммунным оофоритом, и 20 клинически здоровых женщин той же возрастной группы (контроль). Критерием включения больных в целевую группу явился определенный у них иммуноферментным методом повышенный уровень антиовариальных антител (61,1-131,4 IU/ml).
Пациентки были в возрасте от 17 до 30 лет (средний возраст 25,0±0,6 лет) с ведущими жалобами на нарушение менструального цикла (в 91,5% случаев) и бесплодие (68,0%) (в случаях живших половой жизнью и заинтересованных в беременности). Первичное бесплодие (у 26-81,3%) преобладало над вторичным ( у 6-18,7%). При изучении наследственных и преморбидных факторов наследственные факторы не были выявлены, а среди показателей преморбида ведущее место (82,9%) занимали частые инфекционные заболевания бактериальной и вирусной этиологии, обострения хронического тонзиллита в периоде полового созревания (76,5%). У каждой третьей пациентки имели место оперативные вмешательства (особенно на органах малого таза) и различные перенесенные в прошлом гинекологические заболевания. Средний возраст наступления менархе у больных с нормогонадотропной первично-овариальной недостаточностью составлял 13,3±0,1 год, что несколько превышает этот показатель в армянской популяции (12,8±0,1 год). У 31,9 % (15) женщин менструальный цикл установился сразу, у 17% (8) – через год и более, а в 51% (24) случаев никогда не было регулярного менструального цикла.
Овариальная недостаточность проявлялась в основном вторичной аменореей (29,8%) и опсоо- лигоменореей (53,2%). Длительность опсомено- реи в среднем составила 9,3±0,2 лет с промежутками между менструациями от 1,5 до 6 месяцев. Длительность вторичной аменореи колебалась от 1 года до 5 лет, составляя в среднем 3,2±0,2 года. Развитие яичниковой недостаточности в изучаемой группе ни в одном случае не было связано с метаболическими изменениями. Так, ИМТ в среднем составлял 23,32±0,12. У трех пациенток установлено диффузное увеличение щитовидной железы, однако методом ИФА констатировано эутиреоидное состояние. Ни в одном случае не было рентгенологических и/ или офтальмологических признаков объемного процесса в гипоталамо-гипофизарной области. Гормо - нальный профиль у больных с аутоиммунным оофо- ритом по сравнению с контрольной группой характеризовался достоверным (р‹0,01, р‹0,001) снижением ФСГ, ПРЛ и Е Получена достоверная (р‹0,05) корреляция между содержанием в крови ФСГ и ЛГ (г = 0,73). Уровень ФСГ также достоверно (р‹0,05) коррелировал с содержанием эстрадиола в крови (г = 0,69) (табл.1). Уровни Е2 и Р в крови больных с АО достоверно (р‹0,05) коррелировали между собой (г = 0,57). У женщин с сохраненным менструальным ритмом (с ановуляцией и недостаточностью лю- теиновой фазы) гормональный профиль был изучен также на 12-14 и 21-24 дни менструального цикла. Оказалось, что в середине цикла содержание гонадотропинов соответствовало значениям овуляторного цикла здоровых женщин. Так, для ФСГ они соответствовали 7,0±0,35 mIU/ml и 4,5±0,19 mIU/ml для ЛГ-24,17±1,12 mIU/ml и 21,57±0,70 mIU/ml (р›0,05) соответственно. В лютеиновой фазе цикла содержание гонадотропинов у этих женщин по отношению к базальным значениям достоверно не изменялось.
При гистологическом исследовании биоптатов яичников, взятых во время диагностической лапароскопии у 17 женщин с повышенным уровнем антиовариальных антител (61,1-131,4 IU/ml были установлены различные структурные изменения как в корковом, так и в мозговом веществе яичников. В 6 случаях из семи была выявлена выраженная лимфоидная инфильтрация - диффузная в корковом слое и очаговая вокруг структурных образований яичника, что расценивается как проявление аутоиммунного поражения яичников. В 83,3% случаев была установлена лимфоидная инфильтрация интенсивностью в 2-3 балла с одновременной очаговой в 3 балла. Функциональный резерв яичников сохраняется, что подтверждается отсутствием гибели примордиальных фолликулов.
Таким образом, выявленные гормональные взаимоотношения позволяют объяснить развитие заболевания у больных с нормогонадотропной недостаточностью яичников, обусловленной аутоиммунным оофоритом, гормональной несостоятельностью развивающихся фолликулов. В отличие от гипергонадотропной первично-овариальной недостаточности, когда фолликулярный аппарат отсутствует или
Таблица 1. Значения фоновых показателей ФСГ, ЛГ, ПРЛ, Е2, Р в крови у больных с аутоиммунным оофоритом (М±m)
|
Показатели |
Средняя концентрация, M±m |
% |
|
|
Здоровые (норма), n=20 |
ПОН n=47 |
||
|
ФСГ, mIU/ml |
7,10±0,33 |
5,01±0,10 р<0,01 |
-27,96% |
|
ЛГ, mIU/ml |
13,73±0,20 |
10,01±0,15 р<0,001 |
-27,1% |
|
ПРЛ, ng/ml |
10,52±0,25 |
6,67±0,07 р<0,001 |
-36,54% |
|
Е2, pg/ml |
47,65±0,81 |
33,40±0,23 р<0,001 |
-29,91% |
|
Р(1 фаза), ng/ml |
0,90±0,08 |
0,83±0,06 р>0,05 |
-8,8% |
|
P (II фаза), ng/ml |
12,4±0,43 |
3,8±0,06 р<0,01 |
-69,5% |
|
Антиовариальные антитела, IU/ml |
до 10 |
96,3±17,4 |
~ +863%
|
Прим.: р — достоверность различия по отношению к норме
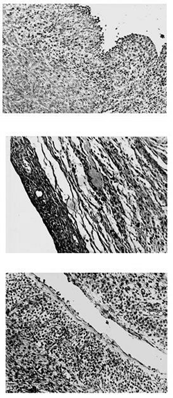
- а - недостаточно дифференцированная theca intema кистозно измененного фолликула, лимфоидная инфильтрация в корковом слое и вокруг фолликулярных образований
- б - атрофическая theca intema кистозно измененного фолликула, выраженная атрофия с явлениями отека межуточной ткани
- в - диффузная в 2-3 балла и очаговая в 3 балла лимфоидная инфильтрация
Рис. 1. Гистологическая картина яичника при аутоиммунном оофорите
не способен поддерживать мини-мальный базальный уровень эстрадиола в крови [3,4,12], при аутоим-мунном оофорите снижается циклическая (предовуляторная) продукция эстрадиола в связи с несостоятельностью доминантного фолликула.
Некоторые из указанных первично-овариальных нарушений могут быть врожденными, о чем свидетельствуют полученные нами данные о влиянии антенатальных факторов, более позднем появлении менархе и об отсутствии у большинства больных данной клинической группы устойчивого менструального цикла. В репродуктивном периоде указанные нарушения чаще всего развиваются в связи с хроническими заболеваниями органов малого таза, например, хроническим сальпингоофоритом и генитальным эндометриозом.
Список литературы
- Айламазян Э. К., Габелова К. А., Гзгзян А. М., По- тин В. В. Аутоиммунный оофорит (патогенез, диагностика, перспективы лечения). Акушерство и гинекология. 2002. 2. с.7-9.
- Вихляева Е.М. Руководство по эндокринной гинекологии. М.: МИА, 2006. с.21-25, 34-44, 79-98.
- Габелова К. А., Гзгзян А. М., Богданова М. Н., По- тин В. В., Хохлов П. П. Применение эстрогенов и ге- стагенов при аутоиммунном оофорите. Журнал аку-шерства и женских болезней. 2003, 1. с. 49.
- Гзгзян А. М. Роль аутоиммунного оофорита в разви-тии гипергонадотропной и нормогонадотропной не-достаточности яичников. Авт. дисс. канд. мед. наук. СПб, 1995.
- Дедов И.И., Трощина Е.А. и др. Аутоиммунные забо-левания щитовидной железы: состояние проблемы. Проблемы эндокринол. 2002; 48(2). с.6-13.
- Ищенко А.И. Новые технологии и малоинвазивная хирургия в гинекологии. М.: Гэотар-мед, 2004.
- Касаткина Э.П. Аутоиммунный тиреоидит: диагностика и лечение. Проблемы эндокринол. 2002; 48(2). c.3-6.
- Коханевич Е.В. Актуальные вопросы акушерства, ги-некологии и репродуктологии. СПБ., Элби-СПб, 2006. с. 33, 45-48.
- Кулаков В.И., Адамян Л.В. Современные технологии в диагностике и лечении гинекологических заболева-ний. М., 2006. с. 3-11.
- Blumenfeld Z. The Parthenon Publishing Group 2002. P.151-167.
- Brosens I., Campo R., Putteman S., Cordts One stop endoscopy-based infertility clinic. Curr. Opin. Obstet. Gynecol. 2002. 14. P.397-400.
- Maclaren N. et al. Autoimmune hypogonadism as part of an autoimmune polyglandular syndrome. J. Soc. Gynecol. Investig. 2001. Vol. 8 (Suppl. 1). P.52-54.
11.10.2012 Читайте также
Впервые экстрацеллюлярная NADPH оксидаза (еNох) или цитохром b558 была выделена из сыворотки плацентарной крови женщин с использованием ионообменной хроматографии на целлюлозах КМ-52, ДЕ-52 и сефадексе ДЕАЕ А-50 [6]...
31.10.2012 В результате интенсивных многосторонних исследований накоплены обширные экспериментальные данные на животных и людях, связанные с унаследованными от матери влияниями в результате пренатального стресса (ПНС)...
30.10.2012 Генетическая детерминированность факторов риска для развития заболеваний пародонта в последнее время вызывает пристальное внимание ученых. Так, в числе различных социально-экономических, экологических, демографических и других факторов...
29.10.2012 Частота выявляющих в клинике цирроза печени нарушения функций сердечно-сосудистой системы и разнообразие мнений о механизме сердечной смерти [1,6] требуют дальнейшего уточнения патоморфологических проявлений...
26.10.2012 Вопросами клинических проявлений психического дефекта при шизофрении, его типологией, систематикой на протяжении многих десятилетий занимались различные исследователи. Однако систематика шизофренического дефекта всегда оставалась одной из наиболее сложных и противоречивых проблем из всех аспектов изучения шизофрении...
25.10.2012 Введение
Спаечная болезнь является следствием различных патологических процессов органов брюшной полости. Она развивается в 80% случаев после операций и в 20% - после ранений или воспалительных процессов...
24.10.2012 Введение
Спаечная кишечная непроходимость - актуальная проблема современной абдоминальной хирургии, является одным из проявлений спаечной болезни живота. Внутрибрюшные спайки образуются в результате абдоминальных операций до 93-100% случаев [2,3,14]...
23.10.2012 Проблема участия иода в функционировании различных органов и систем известна с давних времен. Иод важен для обеспечения нормальной функции щитовидной железы, он поглощается большинством желез...
22.10.2012 Актуальность
По мнению ряда российских авторов [7,12] снижение рождаемости на фоне ухудшения демографической ситуации в России позволяет считать задачей первостепенной важности снижение перинатальной заболеваемости и летальности...
19.10.2012 Введение. Ортодонтическое лечение продолжает усовершенствоваться и в повышении его эффективности играют важную роль различные подходы лечения с использованием современных брекет- систем...
18.10.2012 Проблема профилактики кариеса зубов остается одной из наиболее актуальных задач современной стоматологии и в настоящее время приобретает приоритетное направление...
17.10.2012 Актуальность. Имеющиеся данные литературы указывают, что проблема летальности и смертности среди детей по причине соматической патологии имеет весьма важное значение [1-4, 6-10]. В РА проблема летальности среди детей с учетом места их проживания изучена недостаточно...
16.10.2012 С учетом установившихся на сегодняшний день новых рыночных отношений, когда практически нет отчетности, сложившаяся ситуация настоятельно требует новых подходов и решений. В то же время, получаемая при этом база данных представляет собой уникальную возможность для оценки стоматологической заболеваемости...
15.10.2012 До настоящего времени аутоиммунный оофорит является почти недиагностируемой патологией в широкой клинической практике. В то же время известно, что восстановительная терапия и индукция овуляции этой патологии возможна лишь на ранних стадиях заболевания [2,4,5,7]...
12.10.2012
САМЫЕ ЧИТАЕМЫЕ СТАТЬИ
-
Нормы роста и веса детей – данные ВОЗ
-
Зеленые выделения из влагалища: причины и лечение
- Анатомо-физиологические особенности дыхательной системы у детей
-
Насморк с кровью: причины симптома и способы лечения
- Анатомо-физиологические особенности сердечно-сосудистой системы у детей
- Анатомо-физиологические особенности пищеварительной системы у детей
- Анатомо-физиологические особенности мочевыделительной системы у детей
- Сравнительная характеристика параметров функции внешнего дыхания (обзор литературы)
- Современные представления о норме и патологических отклонениях размеров восходящей аорты при приобретенных пороках сердца
- Анатомо-физиологические особенности детей
- Анатомо-физиологические особенности костно-мышечной системы у детей
- Паллиативная химиотерапия рака: основные понятия и особенности (oбзор литературы)
-
Что можно и что нельзя делать после удаления аппендицита
-
Увеличенные яичники: симптомы, причины и лечение
-
Новейшие достижения онкологии в МЦ «Наири»: интервью с Артемом Степаняном. nairimed.com
-
Как снизить риск инсульта. erebunimed.com
-
О чем говорит головная боль за ухом? Причины, симптомы и лечение
-
Характер мужчины проявляется в выборе позы для секса
-
Армянская ассоциация медицинского туризма (ААМТ)
-
Желтые выделения из влагалища: причины и лечение
-
Рвота у ребенка без температуры: возможные причины
- Применение летрозола для стимуляции овуляции
- Врожденные аномалии и пороки развития
-
КАТИОНОРМ – представитель нового поколения искусственных слез для симптоматической терапии синдрома “сухого глаза”
-
Арам Бадалян: Родинку трогать нельзя?
- Применение противоспаечных средств в профилактике спаечной болезни живота (oбзор литературы)
-
Как избавиться от лямблий — 25 эффективных рецептов народной медицины
-
Вздутие живота при месячных: 7 способов справиться с неприятным ощущением
-
Компресс при ангине: будет ли полезным прогревание горла?
-
Онкология является самой быстроразвивающейся отраслью медицины: интервью с Левоном Бадаляном
-
Лечение марганцовкой
- Некоторые новые подходы к системной терапии метипредом больных ревматоидным артритом
-
Фармацевтическая опека
- Медицинские информационные системы.Информационная система для интегрального фармацевтического и здравоохранного мониторинга
- Подходы к оперативному лечению костно-хрящевых экзостозов
- Повреждения при родах
- Инциденталома надпочечников
-
Курение марихуаны влияет на потенцию
-
Почему противозачаточные увеличивают грудь?
- Применение индинола и эпигаллата при аденомиозе













Научная медицина
Болезни
Традиционная медицина
Здоровый образ жизни
Косметология
Медицинское право
Алгоритмы, тесты
Цифры, факты, случаи
Историческая хроника
Афоризмы
Карьерная лестница
Дети
Женщина
Мужчина
Рейтинговая система
