Вопросы теоретической и клинической медицины 3.2012
Особенности эхоморфоструктуры яичников у больных с аутоиммунным оофоритом
До настоящего времени аутоиммунный оофорит является почти недиагностируемой патологией в широкой клинической практике. В то же время известно, что восстановительная терапия и индукция овуляции этой патологии возможна лишь на ранних стадиях заболевания [2,4,5,7]. В настоящее время не существует единой теории патогенеза аутоиммунного оофорита (АО). Рассматривается роль химических, физических и генетических факторов в развитии аутоиммунного оофорита [3]. Отмечено частое (до 50%) сочетание аутоиммунного процесса в яичниках с другой аутоиммунной патологией. Основными методами диагностики аутоиммунного заболевания являются: гистологический, иммуногистологический и метод выявления циркулирующих аутоантител к антигенам клеточных структур пораженного органа-антиовариальных антител [2,3]. АО свойственны также четко определенные гистологические изменения, проявляющиеся характерной воспалительной инфильтрацией. Изначально инфильтрация локализуется во внутренней тека-оболочке растущих фолликулов; по мере прогрессирования заболевания распространяется на клетки гранулезы и постепенно образует плотную воспалительную «корону» вокруг фолликулов [1,3,6]. Очевидно, что подобные изменения морфоструктуры ткани яичников, должны иметь эхографические проявления, однако в доступной литературе мы не встретили детального описания эхо- структуры яичников, особенностей нарушения фолликулогенеза при аутоиммунном оофорите, а имею-щиеся сообщения, на наш взгляд, имеют несколько обобщенный характер [2,3,4].
С этой целью нами была проведено изучение эхоструктуры матки и яичников, а также проведен мониторинг фолликулогенеза у 47 женщин с ауто-иммунным оофоритом. Диагноз был установлен на основании выявленного у них высокого уровня ан- тиовариальных антител (средние значения 96,3±8,6 IU/ml, что превышает показатели здоровых почти в 10 раз) и результатов гистологического исследования биоптатов яичников, полученных во время диагностической лапароскопии. Контрольную группу со-ставили 20 здоровых женщин репродуктивного возраста.
Пациентки были в возрасте от 17 до 30 лет (средний возраст 25,0±0,6 лет) с ведущими жалобами на нарушение менструального цикла (в 91,5% случаев) и бесплодие (68,0%) (в случаях живших половой жизнью и заинтересованных в беременности). Первичное бесплодие (26-81,3%) преобладало над вторичным (6-18,7%). Овариальная недостаточность проявлялась в основном вторичной аменореей (29,8%) и опсоолигоменореей (53,2%). Длительность опсоменореи в среднем составила 9,3±0,2 лет с промежутками между менструациями от 1,5 до 6 месяцев. Длительность вторичной аменореи колебалась от 1 года до 5 лет, составляя в среднем 3,2±0,2 года. Развитие яичниковой недостаточности в изучаемой группе ни в одном случае не было связано с метаболическими изменениями. У 18,7% больных были сочетанные аутоиммунные заболевания (аутоиммунный тиреоидит, витилиго, ревматоидный артрит, хронический аутоиммунный гепатит, системная красная волчанка). Гормональное обследование больных с АО показало отсутствие значимых различий в содержании ФСГ и ЛГ в крови по сравнению с этими показателями у здоровых женщин на 5-7-й день менструального цикла. Было выявлено достоверное (р ‹ 0,001) снижение содержания эстрадиола и прогестерона в крови больных с аутоиммунным оофо- ритом по сравнению с данными в контрольной группе, что и определяло гормональную недостаточность яичников у обследованных больных. В процессе эхографического мониторинга установлено, что у больных с аутоиммунным оофоритом достоверное отличие биометрических параметров матки от показателей в контрольной группе определяется только по отношению к длине и ширине тела матки (табл.1). Из-менение размеров матки в той или иной степени за-висело от дефицита эстрогенов в данной группе больных, в то время как длительность заболевания не отражалась на последних.
Таблица 1. Эхографические показатели размеров матки и яичников у больных с аутоиммунным оофоритом (М±m, см)
|
Группы |
Размеры матки |
Размеры яичников |
|||||
|
длина |
П-З размер |
ширина |
длина |
толщина |
Ширина |
объем, см3 |
|
|
Норма (здоровые) n=20 |
5,3±0,1 |
3,8±0,1 |
4,9±0,1 |
2,7±0,1 |
1,9±0,1 |
2,5±0,1 |
8,0±0Д |
|
Пациентки с АО n=47 |
4,4±0,1 р<0,05 |
3,5±0,1 р>0,05 |
3,9±0,1 р<0,05 |
2,8±0,1 р>0,05 |
2,2±0,1 р>0,05 |
2,6±0,1 р>0,05 |
8,8±0,3 р>0,05 |
Примечание: р - достоверность различия по отношению к норме
Объемы яичников у больных обсуждаемой группы существенно не отличались от показателей контрольной группы и не выходили за пределы нормы. Однако имелись некоторые структурные отличия. Особенности эхограмм яичников позволили выделить три эхографических варианта морфострукту- ры яичников у больных с аутоимунным оофоритом.
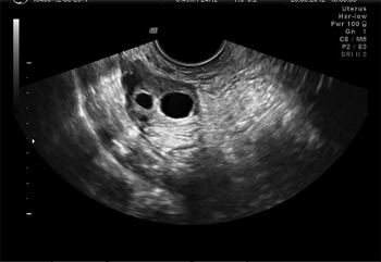
При I типе эхографической структуры, выявля-емом у 25,5% (12) больных с аутоиммунным оофо- ритом, яичники определялись как гомогенные сим-метричные образования повышенной эхогенности. Определялись жидкостные включения размером от точечных до округлых (в среднем диаметр составлял 0,3см), рассеянные по всей строме яичников (антральные фолликулы). При автоматическом определении количества антральных фолликулов AFC (antral follicle count) нормальный или высокий – 11–17. При динамическом наблюдении отмечались периоды изменения эхогенности внутренних участков яичников, однако повышение звукопроводимости в связи с ростом отдельных фолликулов на эхограммах отчетливо не выявлялось (рис.1). Описанные эхографические параметры яичников, которые регистрировались на протяжение всего периода мониторинга, рассматриваются как проявление мелкокистозной дегенерации незрелых фолликулов и выявляются у всех больных с АО с опсоолигоменореей и аменореей (первичной и вторичной).
Второй тип эхограммы яичников выявлен у 23,4% (11) больных с АО. В максимальном эхографическом срезе яичника определялись 2-3 фолликула диаметром 0,5-0,6см с четким контуром и 1-2 фолликула диаметром до 1,2±0,1см. Эхогенность стромы повышена. Эхографически граница между корковым и мозговым веществом яичников прослеживалась неотчетливо. AFC очень низкий – 3-4. Темп роста фолликулов был неравномерный (в среднем 0,2см за 7 дней); временная организация атретических фолликулов была не детерминирована (рис.2). В процессе мониторинга наблюдалась эхографическая динамика структуры М-эхо от эхопозитивной линии толщиной 0,2см до двухконтурного эндометрия толщиной 0,4см, позволяющая предполагать пролиферативную трансформацию эндометрия в ответ на суммарную активность незрелых фолликулов. Среди больных с АО II тип эхограммы яичников наблюдался как у больных с опсоолигоменореей, так и с вторичной аменореей.
Третий тип эхограммы яичников определялся у 51,0% (24) больных с АО. Структура яичников опять отличалась повышенным уровнем эхогенности. В максимальном эхографическом срезе выявлялось 7-8 жидкостных структур диаметром 0,6-0,7см. Граница между мозговым и корковым веществом яичников прослеживалась отчетливо; фолликулы располагались по всей протяженности коркового слоя,поверхностно, создавая неровность эхографического контура яичников. AFC низкий – 7- 8. Установлено, что признаки созревания фолликулов определялись на 10 день цикла только у 42% больных с АО с третьим эхографическим вариантом (в основном при опсоолигоменорее и с сохраненным ритмом менструаций). У 27,6% пациенток наблюдалось неполноценное созревание доминантного фолликула, в 38,2% случаев–кистозная или облитерационная атрезия неовулировавшего фолликула, и только у 14,8% женщин были констатированы спорадические овуляции. Темп роста доминантного фолликула достоверно (р‹0,05) отставал от показателя в контрольной группе (0,3±0,04 см/сутки) и составил 0,12±0,02см во время овуляторного цикла, 0,08±0,02см/сутки при облитерационной атрезии и 0,17±0,01см/сутки при кистозной атрезии. По эхографическим данным длительность существования зрелого фолликула до возможного исхода достоверно (р‹0,01) превышала аналогичный показатель в контрольной группе (4,1±0,03 дня) и составила, соответственно, 6,2±0,06 дня; 8,7±0,05 дня и 18,8±0,2 дня. Максимальный диаметр доминантного фолликула составил 1,7см (по сравнению с 2,3см у здоровых женщин) (рис. 3).
В процессе наблюдения за развитием доминантного фолликула и дальнейшими его превращениями наблюдалась фазовая эхографическая трансформация М-эхо, соответствующая параметрам пролиферативной и секреторной реакции эндометрия. Однако максимальная толщина М-эхо не превышала 0,7см, что позволяет косвенно судить о недостаточной гормональной стимуляции эндометрия в фолликулярную и лютеиновую фазы цикла у больных с АО. Нарушение развития доминантного фолликула по темпу и характеру роста наблюдалось у одной больной с аменореей, у женщин с опсоолигоменореей и у всех обследованных с сохраненным ритмом менструаций. При сопоставлении эхографического варианта морфоструктуры яичников с характером нарушений менструального цикла выяснилось, что у больных с вторичной аменореей преимущественно определялся I вариант (мелкокистозная дегенерация незрелых фолликулов, AFC нормальный или высокий), при олигоопсоменорее – III (AFC низкий, ), а II вариант (AFC очень низкий ) наблюдался при вторичной аменорее и олигоопсоменорее почти с одинаковой частотой (табл. 2).
Рис. 1. I тип эхограммы яичников и ее схематическое изображение Мелкокистозная дегенерация незрелых фолликулов, регистрируемая на протяжении всего периода мониторинга.
Рис. 2. II тип эхограммы яичников и ее схематическое изображение Разновеликие фолликулы с неравномерным темпом роста.
Рис. 3. III тип эхограммы яичников и ее схематическое изображение. Преимущественное расположение фолликулов в корковом слое, отчетливо отграниченном от мозгового; на 10 день менструального цикла — отсутствие доминантного фолликула
Таблица 2. Варианты эхографической картины яичников у больных АО в зависимости от характера менструального цикла
|
Характер /менстр цикла Варианты |
Перв. амено рея |
Втор. амено рея |
Олиго- опсоме- норея |
Гипер менорея |
Сохр. менстр. цикл |
|
1 - 25,5% |
16,7% |
66,6% |
16,7% |
- |
- |
|
II - 23,4% |
- |
45,5% |
54,5% |
- |
- |
|
111 - 51,1% |
- |
4,2% |
70,8% |
8,3% |
16,7% |
Таким образом, у больных с аутоиммунным оо- форитом отмечается достоверное уменьшение длины и ширины матки, а также неполноценная фазовая трансформация эндометрия, обусловленные пониженным уровнем эстрадиола у этих больных. Эхо- структура яичников также имеет особенности, обу-словленные выраженностью индуцированных ауто-иммунным поражением морфологических изменений в яичниках, которые зависели от продолжительности и характера нарушений менструальной функции. Мониторинг фолликулогенеза у этих больных выявил стойкую ановуляцию, обусловленную отсутствием или неполноценным развитием доминантного фолликула при всех типах эхоструктуры яичников
Список литературы
- Габелова К. А. Аутоиммунный оофорит. 2010. 32с. 5. Гзгзян А.М. International journal of endocrinology. 2008, 5(17).6.
- Потин В.В., Смагина Е.Е., Гзгзян А.М. и др. Патогенез и диагностика аутоиммунного оофорита. Журн. акуш. 7. и жен. болезн. 2000. T.XLIX, 2. с.59-66.
- Айламазян Э.К. и соавт. Аутоиммунный оофорит. Акуш. и гин. 2002. 2. с.7-9.
- Габелова К.А. и соавт. Журн. акуш. и жен. болезн.
- 2003.T.LII, 1. с.49-54.
- Гзгзян А.М. Вестник Санкт-Петербургского университета. 2007. Вып.1. с.23-29.
- Gabelova K.A. et al. The events of year in gynecology and obstetrics: 1-st Euro-Asian Congress: abstr. S. Peterburg, 2004.P.13.
12.10.2012 Читайте также
Впервые экстрацеллюлярная NADPH оксидаза (еNох) или цитохром b558 была выделена из сыворотки плацентарной крови женщин с использованием ионообменной хроматографии на целлюлозах КМ-52, ДЕ-52 и сефадексе ДЕАЕ А-50 [6]...
31.10.2012 В результате интенсивных многосторонних исследований накоплены обширные экспериментальные данные на животных и людях, связанные с унаследованными от матери влияниями в результате пренатального стресса (ПНС)...
30.10.2012 Генетическая детерминированность факторов риска для развития заболеваний пародонта в последнее время вызывает пристальное внимание ученых. Так, в числе различных социально-экономических, экологических, демографических и других факторов...
29.10.2012 Частота выявляющих в клинике цирроза печени нарушения функций сердечно-сосудистой системы и разнообразие мнений о механизме сердечной смерти [1,6] требуют дальнейшего уточнения патоморфологических проявлений...
26.10.2012 Вопросами клинических проявлений психического дефекта при шизофрении, его типологией, систематикой на протяжении многих десятилетий занимались различные исследователи. Однако систематика шизофренического дефекта всегда оставалась одной из наиболее сложных и противоречивых проблем из всех аспектов изучения шизофрении...
25.10.2012 Введение
Спаечная болезнь является следствием различных патологических процессов органов брюшной полости. Она развивается в 80% случаев после операций и в 20% - после ранений или воспалительных процессов...
24.10.2012 Введение
Спаечная кишечная непроходимость - актуальная проблема современной абдоминальной хирургии, является одным из проявлений спаечной болезни живота. Внутрибрюшные спайки образуются в результате абдоминальных операций до 93-100% случаев [2,3,14]...
23.10.2012 Проблема участия иода в функционировании различных органов и систем известна с давних времен. Иод важен для обеспечения нормальной функции щитовидной железы, он поглощается большинством желез...
22.10.2012 Актуальность
По мнению ряда российских авторов [7,12] снижение рождаемости на фоне ухудшения демографической ситуации в России позволяет считать задачей первостепенной важности снижение перинатальной заболеваемости и летальности...
19.10.2012 Введение. Ортодонтическое лечение продолжает усовершенствоваться и в повышении его эффективности играют важную роль различные подходы лечения с использованием современных брекет- систем...
18.10.2012 Проблема профилактики кариеса зубов остается одной из наиболее актуальных задач современной стоматологии и в настоящее время приобретает приоритетное направление...
17.10.2012 Актуальность. Имеющиеся данные литературы указывают, что проблема летальности и смертности среди детей по причине соматической патологии имеет весьма важное значение [1-4, 6-10]. В РА проблема летальности среди детей с учетом места их проживания изучена недостаточно...
16.10.2012 С учетом установившихся на сегодняшний день новых рыночных отношений, когда практически нет отчетности, сложившаяся ситуация настоятельно требует новых подходов и решений. В то же время, получаемая при этом база данных представляет собой уникальную возможность для оценки стоматологической заболеваемости...
15.10.2012 В последнее время появилось немало научных исследований, посвященных роли аутоиммунных на-рушений в патогенезе различных гинекологических заболеваний, в частности, гормональной недостаточности яичников [1,3,4,8,9,12]...
11.10.2012
САМЫЕ ЧИТАЕМЫЕ СТАТЬИ
-
Нормы роста и веса детей – данные ВОЗ
-
Зеленые выделения из влагалища: причины и лечение
- Анатомо-физиологические особенности дыхательной системы у детей
-
Насморк с кровью: причины симптома и способы лечения
- Анатомо-физиологические особенности сердечно-сосудистой системы у детей
- Анатомо-физиологические особенности пищеварительной системы у детей
- Анатомо-физиологические особенности мочевыделительной системы у детей
- Сравнительная характеристика параметров функции внешнего дыхания (обзор литературы)
- Современные представления о норме и патологических отклонениях размеров восходящей аорты при приобретенных пороках сердца
- Анатомо-физиологические особенности детей
- Анатомо-физиологические особенности костно-мышечной системы у детей
- Паллиативная химиотерапия рака: основные понятия и особенности (oбзор литературы)
-
Что можно и что нельзя делать после удаления аппендицита
-
Увеличенные яичники: симптомы, причины и лечение
-
Новейшие достижения онкологии в МЦ «Наири»: интервью с Артемом Степаняном. nairimed.com
-
О чем говорит головная боль за ухом? Причины, симптомы и лечение
-
Как снизить риск инсульта. erebunimed.com
-
Характер мужчины проявляется в выборе позы для секса
-
Армянская ассоциация медицинского туризма (ААМТ)
-
Желтые выделения из влагалища: причины и лечение
-
Рвота у ребенка без температуры: возможные причины
- Применение летрозола для стимуляции овуляции
- Врожденные аномалии и пороки развития
-
КАТИОНОРМ – представитель нового поколения искусственных слез для симптоматической терапии синдрома “сухого глаза”
-
Арам Бадалян: Родинку трогать нельзя?
- Применение противоспаечных средств в профилактике спаечной болезни живота (oбзор литературы)
-
Как избавиться от лямблий — 25 эффективных рецептов народной медицины
-
Вздутие живота при месячных: 7 способов справиться с неприятным ощущением
-
Компресс при ангине: будет ли полезным прогревание горла?
-
Онкология является самой быстроразвивающейся отраслью медицины: интервью с Левоном Бадаляном
-
Лечение марганцовкой
- Некоторые новые подходы к системной терапии метипредом больных ревматоидным артритом
- Медицинские информационные системы.Информационная система для интегрального фармацевтического и здравоохранного мониторинга
-
Фармацевтическая опека
- Подходы к оперативному лечению костно-хрящевых экзостозов
- Повреждения при родах
- Инциденталома надпочечников
-
Курение марихуаны влияет на потенцию
-
Почему противозачаточные увеличивают грудь?
- Применение индинола и эпигаллата при аденомиозе













Научная медицина
Болезни
Традиционная медицина
Здоровый образ жизни
Косметология
Медицинское право
Алгоритмы, тесты
Цифры, факты, случаи
Историческая хроника
Афоризмы
Карьерная лестница
Дети
Женщина
Мужчина
Рейтинговая система


