Вопросы теоретической и клинической медицины 2.2012
Клинико-лабораторные особенности остеонекроза челюстей у наркозависимых больных, принимающих наркотик “крокодил“ (дезоморфин)
Каждый период развития цивилизации имел свойственные себе болезни и пороки. Одним из пороков двадцатого и двадцать первого веков стала наркомания, которая влечет к себе все больше людей, особенно молодых и трудоспособных. Широкую распространенность находят дешевые наркотики кустарного приготовления, такие как “крокодил“, “винт“ и т.д. Среди наркоманов в Армении распро-странен наркотик “крокодил“ (который еще называется “бензин“). Это можно объяснить дешевизной и доступностью веществ, применяющихся при синтезе наркотика, еще и легкостью и общедоступностью метода синтеза. Действующее вещество наркотика - дезоморфин, относится к ряду опиатов. При
Рис.1. Больные, принимающие наркотик “крокодил “ - а) оголение альвеолярного отростка верхней челюсти, б) оголение альвеолярного отростка нижней челюсти
Рис.2. Локализация свищей у больных, принимающих наркотик “крокодил“ (указаны стрелками) - а) свищ в подчелюстной области, б) свищи в области носа и глазницы, в)внутриротовой свищ
Рис. 3(а, б). Отек мягких тканей у больных, принимающих наркотик “крокодил“
синтезе используются: кодеин (входит в состав пре-паратов седалгин, пенталгин и т.д.), бензин, фосфор (от покрытия спичечных коробок), соляная кислота, йод, пищевая сода. Это наркотик внутривенного при-менения и вместе с дезоморфином в кровь попадают и другие крайне токсические компоненты смеси, которые наносят разрушительное влияние на организм человека. Одним из проявлений действия этого наркотика на организм являются гнойно-некротические осложнения в челюстно-лицевой (ЧЛ) области, которые главным образом проявляются в виде остеонекроза челюстей (ОНЧ), осложненным вторичным инфицированием. ОНЧ главным образом проявляется болью, оголением альвеолярного отростка челюстей (рис.1а,б), внутриротовыми и внеротовыми свищами (рис.2 а,б,в), отечностью мягких тканей (рис. 3а, б).
Цель работы - определение клинических и лабораторных особенностей ОНЧ у больных, принимающих наркотик “крокодил“ (дезоморфин) (“крокодил"-ОНЧ).
Материал и методы исследования
Нами были обследованы 49 больных с ОНЧ, принимающих наркотик “крокодил“. У всех пациентов был собран анамнез жизни и болезни, проведен осмотр ЧЛ области, определено наличие вирусов гепатита В, С и ВИЧ, проведено рентгенологическое обследование челюстных костей ( в этой работе мы не рассматриваем рентгенологические особенности). 19 больным было проведено комплексное лечение (остальные больные или отказались от лечения, или не были допущены к операции по общим показаниям), им проведен общий анализ крови.
Результаты и их обсуждение
За период с октября 2009 до февраля 2012 к нам обратились 49 больных с “крокодил“-ОНЧ, все мужского пола, в возрасте 24-53 лет, т.е. все в тру-доспособном возрасте. Больные к нам обращались 1-24 месяцев после начала заболевания, предъявив следующие жалобы: боль в области поражения (40 больных-81,6%), отек окружающих мягких тканей (35б.-71,4%), оголение кости в полости рта (46б. -93,9%), наличие свищей в ЧЛ области (21б.-42,9%). Все больные отмечали применение наркотика “кро- кодил“ (дезоморфин), срок применения которого составлял 2-36 месяцев. Некоторые из них продолжали применение наркотика в момент исследования. У 48 больных диагностирован гепатит С (97,9%), у одного кроме гепатита С выявлен еще и гепатит В (2%), у 5 - ВИЧ (10,2%), у 7 - туберкулез легких (14,3%), у 6 -сахарный диабет (12,24%), только у одного больного (2%) не было обнаружено никаких хронических и инфекционных заболеваний в момент обследования.У больных были обнаружены 81 очаг ОНЧ. 72 очагов (88,9%) образовались после удаления зуба (зубы были удалены стоматологами по месту жительства,некоторые подвижные зубы были удалены больными или самопроизвольно выпали). Не исключено, что зубы были удалены уже из некротизированной кости. 8 очагов ОНЧ (9,9%) образовались самопроизвольно (в этих случаях причинами образования ОНЧмы считаем некачественные съемные и несъемные протезы, некачественное эндодонтическое лечение,периодонтиты, пародонтиты, микро- и макро травма слизистой оболочки полости рта, анатомические особенности челюстных костей (экзостозы, торусы),плохая гигиена полости рта). В одном случае (1,2%)ОНЧ развился в областинеправильно сросшегося перелома нижней челюсти (со слов больного, после получения травмы он не обратился в специализированное учреждение для получения квалифицированной медицинской помощи по поводу перелома нижней челюсти).Травму больной получил около 3,5 года до применения наркотика “крокодил“ (рис. 4).
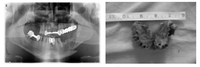
Рис.4. Ортопантомограмма больного Р. Картина неправильно сросшегося перелома и диффузной резорбции кости нижней челюсти слева
Рис.5. Резецированный участок верхней челюсти, виден некроз твердого неба
В некоторых случаях, как отмечали больные, после удаления зубов в лунке не образовывался сгусток крови, или образовавшийся сгусток нагнаивался, не происходило организации сгустка, после чего развивался альвеолит. Больные отмечали оголение кости сразу после удаления зубов или через 1-12 ме-сяцев. Сперва они обнаруживали маленькие участки оголения кости, который в дальнейшем распространялся на соседние участки. В этот период некоторые больные отмечали образование абсцессов окружающих мягких тканей, вскрытие которых только временно улучшало их состояние. Часто в областях внутриротовых разрезов рана не закрывалась, увеличивая площадь оголения кости. Мы считаем, что в таких случаях инфекция имеет вторичный характер и происходит вторичное нагноение уже некротизированной кости. Клинически “крокодил“-ОНЧ похож на остеомиелит челюстей. Главным сходством этих заболеваний является то, что в обоих случаях образуется некроз челюстных костей, однако механизм образования некроза разные. Патогенез образования
“крокодил“-ОНЧ полностью не ясен и нуждается в дальнейших исследованиях. Главным фактором образования “крокодил“-ОНЧ мы считаем красный фосфор, который используется при изготовлении “крокодил“-а и относим “крокодил“-ОНЧ к фосфорным некрозам челюстей [5].
При обследовании 49 больных мы обнаружили следующее соотношение поражения лицевых костей: нижняя челюсть -22 больных (44,9%)(рис.1б), верхняя челюсть - 15б. (30,6%)(рис.1а), поражение 2-х челюстей -12б. (24,5%), поражение носовых ко-стей -1 б. (2%)(рис. 2б), поражение скуловых костей -3б. (6,1%)(рис. 2б), поражение твердого неба -3б. (6,1%)(рис.5). Число очагов поражения колебались от 1 до 4: 1 очаг нами выявлен у 25больных (51,02%), 2очага -17б. (34,7%), 3 очага - 6б. (12,24%), 4 очага -1б. (2,04%), в общем количестве 81 очаг. У 46 больных (93,9%) (77 очагов) мы обнаружили оголение кости в полости рта. Оголенная часть составляла от 1-3 зубных альвеол (рис.6а,б) до всего альвеолярного отростка (рис. 1а): 1-3 альвеол - 35 очагов (45,4%), 4-6 альвеол - 25 очагов (32,5%), больше 6 альвеол- 12 очагов (15,6%), весь альвеолярный отросток -5 очагов (6,5%). В 15 случаях (44,1%) поражения нижней челюсти была поражена еще и ветвь нижней челюсти. При хроническом остеомиелите челюстей оголение челюстных костей обнаруживается в 18,7% случаев [4]. При осмотре лица и полости рта у 15 больных (30,6%) были обнаружены внеротовые свищи, у 3 больных (6,1%) -внутриротовые свищи, у 3 больных (6,1%) -внутри- и внеротовые свищи. Внеротовые свищи в основном были связаны с нижней челюстью, только у одного больного внеротовой свищ находился в средней 1/3 лица (рис.2б).
Рис. 6 а, б. Оголение альвеолярного отростка нижней и верхней челюстей у больного с “крокодил “-ОНЧ.
У 19 больных (55,9%) с пораженной нижней челюстью выявлен симптом Венсана. Со слов больных симптом появился 1-20 месяцев (в среднем 4,53±1,08 месяцев) после начала заболевания. В отличие от “крокодил“-ОНЧ, при остеомиелите симптом Венсана появляется в острой стадии и, в первом месяце заболевания и считается его ранним симптомом [2]. У 3 больных отмечался патологический перелом нижней челюсти. 19 больным был проведен общий анализ крови. Полученные данные о клеточном составе крови представлены в табл.1.
Таблица 1. Средние данные о клеточном составе крови у больных с “крокодил“-ОНЧ
|
|
Норма |
У больных с“крокодил“ -ОНЧ |
|
Эритроциты |
4-5*1012/л |
3,97±0,15*1012/л (3-5,4*1012/л) |
|
Тромбоциты |
180-320*109/л |
234,35±9,79*109/л (175-322*109/л) |
|
Лейкоциты |
4-9*109/л |
8,81±0,45*109/л (5,8-11,7*109/л) |
|
Сегментоядерные |
47-72% |
62,84±2,39% (45-83%) |
|
Лимфоциты |
19-37% |
31,05±2,45% (9-52%) |
|
Моноциты |
3-11% |
4,42±0,66% (1-10%) |
|
Эозинофилы |
0,5-5% |
1,32±0,25% (0-3%) |
|
Палочкоядерные |
1-6% |
0,26±0,13% (0-2%) |
Таблица 2. Средние данные коагулограммы у больных с “крокодил“-ОНЧ
|
|
Норма |
У больных с“крокодил“ -ОНЧ |
|
Протромбиновое время |
12,5-17с |
13,92±0,23с, (12,5-15,8с) |
|
Фибриноген А |
200-400мг/100мл |
444,63±26,24 (380-888мг/100мл) |
|
АРТТ |
30-40с |
34,79±0,49с (30-38с) |
|
INR |
0,8-1,2 |
1,17±0,03 (0,94-1,4) |
|
Время свертываемости крови |
120-300с |
197,89±4,54с (165-220с) |
Как видно из табл.1, средний уровень гемоглобина в крови был у нижней границы нормы 132,21±4,99г/л (100-180г/л, норма 130-160г/л), цветной показатель у всех больных в пределах нормы, уровень СОЭ повышен, в среднем 30,68±4,77мм/ч (3-65мм/ч, норма 2-10мм/ч). Общий белок в крови в среднем составлял 7,71±0,10 (от 6,55 до 8,06, норма 6,5-8,5)(похожие результаты получил Иващенко А. Л., при исследовании атипичного остеомиелита челюстей у больных, принимающих наркотик “винт“ [1]). Полученные данные совпадают с данными при хроническом остеомиелите, так как даже при нормэргическом течении острого остеомиелита показатели довольно различны: лейкоциты 10-12*109/л, нейтрофилы 70-80%, палочкоядерные 15-20% [3]. Только у некоторых больных данные СОЭ совпадают с данными острого остеомиелита. Уровень билирубина у всех больных был в пределах нормы.Полученные результаты коагулограммы приведены в таблице 2. Из полученных результатов видно что несмотря на то, что почти у всех больных есть гепатит С, данные коагулограммы и уровень билирубина резко не отличаются от нормы.
Таким образом, у наркоманов, принимающих кустарно изготовленный наркотик“крокодил“, как осложнение в ЧЛ области развивается остеонекроз лицевых костей, который не ограничивается челюстными костями и может распространяться на другие кости лицевого скелета. “Крокодил“-ОНЧ главным образом проявляется в виде оголения челюстных костей. В 88,9% случаев ОНЧ развился после удаления зуба. Однако не исключается и спонтанное образование “крокодил“-ОНЧ. Главным фактором образования ОНЧ является красный фосфор, который используется при изготовлении “крокодил“-а. Из полученных лабораторных данных ясно, что “крокодил“-ОНЧ имеет хроническое течение, которому может присоединиться вторичная инфекция, что может привести к гнойным осложнениям. У 97,9% больных был обнаружен гепатит С, у некоторых больных были обнаружены еще и гепатит В, ВИЧ, туберкулез легких,сахарный диабет. Показатели крови особо не отличаются от нормы.
Список литературы
- Иващенко А.Л., Матрос-Таранец И.Н., Прилуцкий А.С. Питання експериментальноï та клıнıчноï медицины, зборник статей, 2009, випуск 13, том1.
- Лукьяненко В.И. Остеомиелиты челюстей. Издательство Медицина. 1986г.
- Робустова Т.Г. Хирургическая стоматология.М.:Медицина, 2003.
- Baltensperger M.M., Eyrich G.K. Osteomyelitis of the jaws. 2009 Springer-Verlag Berlin Heidelberg.
- Hughes J.P. et al. Phosphorous necrosis of the jaw: a present day study with clinical and biochemical study.Brit. J. industr. Med. 1962.19. P.83-99.
11.07.2012 Читайте также
Введение
Многочисленные исследования географической патологии атеросклероза в Армении, в близлежаюшем и дальнем зарубежье свидетельствуют, что атеросклероз, являясь широко распространенным заболеванием, имеет неравномерное распространение в разных странах...
31.07.2012 Вагинальный микробиоценоз у женщин репродуктивного возраста состоит из постоянно обитающих и транзиторных микроорганизмов. Нормальная микрофлора влагалища - динамическая система...
30.07.2012 Сочетание рака щитовидной железы и тиреоидита Хашимото наблюдается в 1-20% [1,5,6]. Сочетание ВДРЩЖ с болезнью Хашимото колеблетс, по данным литературы, в пределах от 0,5 до 30%, а с болезнью Грейвса от 0 до 9,8%...
27.07.2012 Проблемой конечных или исходных состояний, поздних ремиссий при шизофрении в целом и при от-дельных ее формах занимались многие исследователей [1,2,6-9,11,12,14,18-21]. Однако из всех понятий, связанных с характеристикой течения и исхода ши-зофрении понятие конечного состояния всегда оставалось спорным и противоречивым...
26.07.2012 Турникетный синдром - циркулярное сдавление (странгуляция) органа или части тела, вызывает нейро-васкулярные расстройства, из-за которых могут развиться некроз и гангрена. Несмотря на характерную клиническую картину...
25.07.2012 Близким аналогом фетальной аллогенной костной ткани по структурной организации является костная ткань новорожденный животных. Незрелая костная ткань новорожденных животных так же, как и фетальная кость...
24.07.2012 За последние годы весьма актуальной стала проблема адекватной оценки характера течения и типа исхода шизофрении [1-3,5,6,13,15]. В связи с появлением новых атипичных нейролептиков, внимание исследователей стало привлекать изучение течения и исхода шизофрении...
23.07.2012 Несмотря на существенный прогресс, достигнутый за последние десятилетия в научном и практическом акушерстве и гинекологии, проблема невынашивания беременности остается далекой от своего решения [1,3]...
20.07.2012 Введение. Наиболее тяжелым гнойным осложнением в травматологии и ортопедии остается трав-матический остеомиелит - позднее осложнение травматической болезни с выраженной воспалительной реакцией [1,8,14,17]...
19.07.2012 История хирургического лечения острого холецистита началась с холецистостомии. Это событие связано с именем J.L.Petit, который в 1735 году доложил Королевской Академии в Париже о трех холецистостомиях, одна из которых завершилась благополучно...
18.07.2012 Введение. Выбор метода лечение больных с острым калькулезным холециститом, поиск новых малотравматичных методик, по прежнему остается актуальной и не до конца решенной проблемой неотложной хирургии органов брюшной полости...
17.07.2012 Рядом исследователей показано, что для многих видов тиреоидных карцином риск смерти от локально-регионарных рецидивов и отдаленных метастазов возрастает с увеличением их размера [3]. Описана также линейная зависимость между величиной опухоли и риском смерти от рака щитовидной железы [5]...
16.07.2012 В настоящее время стоматологическая заболеваемость в нашей стране остается достаточно высокой и необходимы дальнейшие исследования ее динамики. Особенно тщательного изучения требуют наиболее распространенные стоматологические заболевания - кариес зубов и поражения тканей пародонта [2]...
13.07.2012 Кариес зубов до сих пор остается одним из самых распространенных заболеваний детей дошкольного и школьного возраста в ряде стран [3,7,8]. Стоматологическое обследование детей г. Волгограда, проведенное в 2004г....
12.07.2012
САМЫЕ ЧИТАЕМЫЕ СТАТЬИ
-
Нормы роста и веса детей – данные ВОЗ
-
Зеленые выделения из влагалища: причины и лечение
- Анатомо-физиологические особенности дыхательной системы у детей
-
Насморк с кровью: причины симптома и способы лечения
- Анатомо-физиологические особенности сердечно-сосудистой системы у детей
- Анатомо-физиологические особенности пищеварительной системы у детей
- Анатомо-физиологические особенности мочевыделительной системы у детей
- Сравнительная характеристика параметров функции внешнего дыхания (обзор литературы)
- Современные представления о норме и патологических отклонениях размеров восходящей аорты при приобретенных пороках сердца
- Анатомо-физиологические особенности детей
- Анатомо-физиологические особенности костно-мышечной системы у детей
- Паллиативная химиотерапия рака: основные понятия и особенности (oбзор литературы)
-
Что можно и что нельзя делать после удаления аппендицита
-
Увеличенные яичники: симптомы, причины и лечение
-
Новейшие достижения онкологии в МЦ «Наири»: интервью с Артемом Степаняном. nairimed.com
-
О чем говорит головная боль за ухом? Причины, симптомы и лечение
-
Как снизить риск инсульта. erebunimed.com
-
Характер мужчины проявляется в выборе позы для секса
-
Армянская ассоциация медицинского туризма (ААМТ)
-
Желтые выделения из влагалища: причины и лечение
-
Рвота у ребенка без температуры: возможные причины
- Применение летрозола для стимуляции овуляции
- Врожденные аномалии и пороки развития
-
КАТИОНОРМ – представитель нового поколения искусственных слез для симптоматической терапии синдрома “сухого глаза”
-
Арам Бадалян: Родинку трогать нельзя?
- Применение противоспаечных средств в профилактике спаечной болезни живота (oбзор литературы)
-
Как избавиться от лямблий — 25 эффективных рецептов народной медицины
-
Вздутие живота при месячных: 7 способов справиться с неприятным ощущением
-
Компресс при ангине: будет ли полезным прогревание горла?
-
Онкология является самой быстроразвивающейся отраслью медицины: интервью с Левоном Бадаляном
-
Лечение марганцовкой
- Некоторые новые подходы к системной терапии метипредом больных ревматоидным артритом
- Медицинские информационные системы.Информационная система для интегрального фармацевтического и здравоохранного мониторинга
-
Фармацевтическая опека
- Подходы к оперативному лечению костно-хрящевых экзостозов
- Повреждения при родах
- Инциденталома надпочечников
-
Курение марихуаны влияет на потенцию
-
Почему противозачаточные увеличивают грудь?
- Применение индинола и эпигаллата при аденомиозе













Научная медицина
Болезни
Традиционная медицина
Здоровый образ жизни
Косметология
Медицинское право
Алгоритмы, тесты
Цифры, факты, случаи
Историческая хроника
Афоризмы
Карьерная лестница
Дети
Женщина
Мужчина
Рейтинговая система




