Вопросы теоретической и клинической медицины 2.2012
Сочетание рака щитовидной железы с аутоиммунным тиреоидитом хашимото
Сочетание рака щитовидной железы и тиреоидита Хашимото наблюдается в 1-20% [1,5,6]. Сочетание ВДРЩЖ с болезнью Хашимото колеблетс, по данным литературы, в пределах от 0,5 до 30%, а с болезнью Грейвса от 0 до 9,8%. В литературе имеются противоречивые данные на счет аутоиммунного тиреоидита как о фоновой патологии для развития рака щитовидной железы. Ранее считали, что раковая трансформация железы при тиреоидите Хашимото обусловлена высоким уровнем ТТГ в сыворотке крови, который компенсаторно повышается вследствие деструкции железы, а по последним же данным повышается чувствительность щитовидной железы к ТТГ и другим ростовым факторам [4,7]. Дедов И.И. и соавт. считают, что лимфоцитарная инфильтрация ткани, прилегающая к участку злокачественной опухоли щитовидной железы, оказывает протективное действие, снижая частоту метастазирования опухоли. О протективной роли лимфоцитарной инфильтрации указывают также Strauss M. et al. [2], результаты их исследований показали, что все пациенты с РЩЖ через 13 лет после операции живы без признаков местного рецидива или отдаленных метастазов. Авторы считают, что наличие хронической воспалительной реакции может подавлять рост и распространение метастазов одновременно существующих новообразований щитовидной железы. Вероятно этим и связаны результаты исследований Nio Y et al. [3], показывающие, что рак щитовидной железы, аденомы и аденоматозный зоб связаны с повышенным риском возникновения рака молочной железы, однако с хроническим тиреоидитом связи не обнаружено.
Материал и методы. На нашем материале имеются 17 случаев сочетания РЩЖ с хроническим аутоиммунным тиреоидитом и охвачены 523 больных РЩЖ МЦ “Шенгавит”, ЦКВГ МО РА, Национального Института Онкологии, Медицинского Центра “Эребуни”.
Результаты и обсуждение. Рак на фоне хронического аутоиммунного тиреоидита часто протекал бессимптомно и выявлялся случайно при патоги-стологическом исследовании. Большинство пациентов с ассоциацией папиллярной карциномы и тиреоидита Хашимото были молодые женщины до 40 лет. Щитовидная железа была безболезненной, не спаянной с окружающими тканями, подвижной при пальпации, увеличенной за счет обеих долей, имела плотную консистенцию, чаще узловатую поверхность. Лишь на разрезе обнаруживали новообразование в виде желтовато-белесоватого плотного узла, мелкозернистого вида, без четких границ. Интересно, что на нашем материале имело место сочетание только папиллярного (классического или фолликулярного варианта) и фолликулярного рака щитовидной железы с аутоиммунным тиреоидитом и ни одного случая с низкодифференцированной и недифференцированной карциномами.
Рис. 1. Фолликулярный вариант папиллярного рака левой доли щитовидной железы на фоне тиреоидита Хашимото. Макропрепарат. История болезни N6292/1072. В.Р., 41 лет.
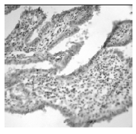
Рис. 2. Сочетание фолликулярного рака щитовидной железы с аутоиммунным тиреоидитом Хашимото. Окраска гематоксилином и эозином. X 400.
Рис. 3. Сочетание фолликулярного варианта папиллярного рака щитовидной железы с аутоиммунным тиреоидитом Хашимото. Окраска гематоксилином и эозином. X 400.
Причем, даже если все морфологические признаки аутоиммунного тиреоидита отсутствовали, в наших наблюдениях лимфоцитарная инфильтрация при папиллярной карциноме ЩЖ обнаружена почти у половины больных. Вероятно, это иммунологический ответ на рак щитовидной железы, а не истинный аутоиммунный процесс.
Рис. 4. Лимфоцитарная инфильтрация сосочковых структур при папиллярном раке щитовидной железы. Окраска гематоксилином и эозином. X 600.
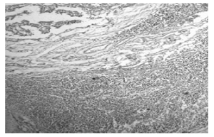
Рис. 5. Лимфоцитарная инфильтрация в окружающей папиллярный рак ткани щитовидной железы. Окраска гематоксилином и эозином. X 400.
В железе обнаруживались крупные внутридольковые лимфатические фолликулы с большими центрами размножения. Железистые фолликулы небольшими группами и поодиночке располагались в лимфоидной строме, они атрофичны. Уровень ТТГ в сы-воротке крови у этих больных не был повышен. Интересны на мой взгляд также данные о том, что у 13% больных до развитя РЩЖ была произведена аппендэктомия или тонзиллэктомия.
Таким образом, пациенты с аутоиммунными заболеваниями щитовидной железы должны находиться под контролем. Сочетание высокодифференциро-ванных форм рака щитовидной железы и аутоиммун-ных заболеваний щитовидной железы может являться просто совпадением, из-за высокой частоты аутоиммунных заболеваний или возможно оба заболевания имеют общие патогенетические механизмы, из-за причинно-следственной связи между этими двумя заболеваниями. Сочетание тиреоидита с высокодифференцированными гистологическими типами карцином, а не с агрессивными низкодифферен-цированными типами, подтверждает предположение Дедова И.И. о том, что лимфоцитарная инфильтрация ткани, прилегающая к участку злокачественной опухоли щитовидной железы, оказывает протективное действие, снижая частоту метастазирования опухоли.
Список литературы
- Ulla Feldt-Rasmussen, Ase Krogh Rasmussen. Hormones,2010, 9(2):109-117.
- Strauss M, Laurian N, Antebi E. Surg Gynecol Obstet.1983 Sep;157(3):228-32. PMID.
- Nio Y, Iguchi C, Itakura M, Toga T, Hashimoto K, Koike M, Omori H, Sato Y, Endo S. Anticancer Res. 2009 May;29(5):1607-10. PMID.
- Burton L. Eisenberg, MD; Samuel D. Hensley,MD. Clinical Assessment and Management. Arch Surg. 1989;124(9):1045-1047.
- Coexistent Hashimoto’s thyroiditis with papillary thyroid carcinoma: impact on presentation, management, and outcome. Surgery. 1999, Dec;126 (6): 1070-6.
- Adv Ther. 2007, May-Jun;24(3):510-6.
- Differentiated thyroid carcinoma in previously manifested autoimmune thyroid disease. Srp Arh Celok Lek. 2005, Oct;133, Suppl 1:74-6.
27.07.2012 Читайте также
Введение
Многочисленные исследования географической патологии атеросклероза в Армении, в близлежаюшем и дальнем зарубежье свидетельствуют, что атеросклероз, являясь широко распространенным заболеванием, имеет неравномерное распространение в разных странах...
31.07.2012 Вагинальный микробиоценоз у женщин репродуктивного возраста состоит из постоянно обитающих и транзиторных микроорганизмов. Нормальная микрофлора влагалища - динамическая система...
30.07.2012 Проблемой конечных или исходных состояний, поздних ремиссий при шизофрении в целом и при от-дельных ее формах занимались многие исследователей [1,2,6-9,11,12,14,18-21]. Однако из всех понятий, связанных с характеристикой течения и исхода ши-зофрении понятие конечного состояния всегда оставалось спорным и противоречивым...
26.07.2012 Турникетный синдром - циркулярное сдавление (странгуляция) органа или части тела, вызывает нейро-васкулярные расстройства, из-за которых могут развиться некроз и гангрена. Несмотря на характерную клиническую картину...
25.07.2012 Близким аналогом фетальной аллогенной костной ткани по структурной организации является костная ткань новорожденный животных. Незрелая костная ткань новорожденных животных так же, как и фетальная кость...
24.07.2012 За последние годы весьма актуальной стала проблема адекватной оценки характера течения и типа исхода шизофрении [1-3,5,6,13,15]. В связи с появлением новых атипичных нейролептиков, внимание исследователей стало привлекать изучение течения и исхода шизофрении...
23.07.2012 Несмотря на существенный прогресс, достигнутый за последние десятилетия в научном и практическом акушерстве и гинекологии, проблема невынашивания беременности остается далекой от своего решения [1,3]...
20.07.2012 Введение. Наиболее тяжелым гнойным осложнением в травматологии и ортопедии остается трав-матический остеомиелит - позднее осложнение травматической болезни с выраженной воспалительной реакцией [1,8,14,17]...
19.07.2012 История хирургического лечения острого холецистита началась с холецистостомии. Это событие связано с именем J.L.Petit, который в 1735 году доложил Королевской Академии в Париже о трех холецистостомиях, одна из которых завершилась благополучно...
18.07.2012 Введение. Выбор метода лечение больных с острым калькулезным холециститом, поиск новых малотравматичных методик, по прежнему остается актуальной и не до конца решенной проблемой неотложной хирургии органов брюшной полости...
17.07.2012 Рядом исследователей показано, что для многих видов тиреоидных карцином риск смерти от локально-регионарных рецидивов и отдаленных метастазов возрастает с увеличением их размера [3]. Описана также линейная зависимость между величиной опухоли и риском смерти от рака щитовидной железы [5]...
16.07.2012 В настоящее время стоматологическая заболеваемость в нашей стране остается достаточно высокой и необходимы дальнейшие исследования ее динамики. Особенно тщательного изучения требуют наиболее распространенные стоматологические заболевания - кариес зубов и поражения тканей пародонта [2]...
13.07.2012 Кариес зубов до сих пор остается одним из самых распространенных заболеваний детей дошкольного и школьного возраста в ряде стран [3,7,8]. Стоматологическое обследование детей г. Волгограда, проведенное в 2004г....
12.07.2012 Каждый период развития цивилизации имел свойственные себе болезни и пороки. Одним из пороков двадцатого и двадцать первого веков стала наркомания, которая влечет к себе все больше людей, особенно молодых и трудоспособных...
11.07.2012
САМЫЕ ЧИТАЕМЫЕ СТАТЬИ
-
Нормы роста и веса детей – данные ВОЗ
-
Зеленые выделения из влагалища: причины и лечение
- Анатомо-физиологические особенности дыхательной системы у детей
-
Насморк с кровью: причины симптома и способы лечения
- Анатомо-физиологические особенности сердечно-сосудистой системы у детей
- Анатомо-физиологические особенности пищеварительной системы у детей
- Анатомо-физиологические особенности мочевыделительной системы у детей
- Сравнительная характеристика параметров функции внешнего дыхания (обзор литературы)
- Современные представления о норме и патологических отклонениях размеров восходящей аорты при приобретенных пороках сердца
- Анатомо-физиологические особенности детей
- Анатомо-физиологические особенности костно-мышечной системы у детей
- Паллиативная химиотерапия рака: основные понятия и особенности (oбзор литературы)
-
Что можно и что нельзя делать после удаления аппендицита
-
Увеличенные яичники: симптомы, причины и лечение
-
Новейшие достижения онкологии в МЦ «Наири»: интервью с Артемом Степаняном. nairimed.com
-
О чем говорит головная боль за ухом? Причины, симптомы и лечение
-
Как снизить риск инсульта. erebunimed.com
-
Характер мужчины проявляется в выборе позы для секса
-
Армянская ассоциация медицинского туризма (ААМТ)
-
Желтые выделения из влагалища: причины и лечение
-
Рвота у ребенка без температуры: возможные причины
- Применение летрозола для стимуляции овуляции
- Врожденные аномалии и пороки развития
-
КАТИОНОРМ – представитель нового поколения искусственных слез для симптоматической терапии синдрома “сухого глаза”
-
Арам Бадалян: Родинку трогать нельзя?
- Применение противоспаечных средств в профилактике спаечной болезни живота (oбзор литературы)
-
Как избавиться от лямблий — 25 эффективных рецептов народной медицины
-
Вздутие живота при месячных: 7 способов справиться с неприятным ощущением
-
Компресс при ангине: будет ли полезным прогревание горла?
-
Онкология является самой быстроразвивающейся отраслью медицины: интервью с Левоном Бадаляном
-
Лечение марганцовкой
- Некоторые новые подходы к системной терапии метипредом больных ревматоидным артритом
- Медицинские информационные системы.Информационная система для интегрального фармацевтического и здравоохранного мониторинга
-
Фармацевтическая опека
- Подходы к оперативному лечению костно-хрящевых экзостозов
- Повреждения при родах
- Инциденталома надпочечников
-
Курение марихуаны влияет на потенцию
-
Почему противозачаточные увеличивают грудь?
- Применение индинола и эпигаллата при аденомиозе













Научная медицина
Болезни
Традиционная медицина
Здоровый образ жизни
Косметология
Медицинское право
Алгоритмы, тесты
Цифры, факты, случаи
Историческая хроника
Афоризмы
Карьерная лестница
Дети
Женщина
Мужчина
Рейтинговая система




