Вопросы теоретической и клинической медицины 1.2012
Анализ смертности при раке щитовидной железы в республике Армения
Ежегодная смертность от рака щитовидной железы на 100.000 человек, согласно различным регистрам, составляет от 0.2 до 1.2 у мужчин и от 0.4 до 2.8 у женщин. В целом, уровень смертности от тиреоидного рака сравнительно низкий, он составляет менее 1% всех смертных случаев от злокачественных новообразований [2,3]. В результате диссемина- ции клеток карциномы по лимфатическим и кровеносным сосудам образуются отдаленные метастазы (кожа, кости, в. т.ч. основание черепа, печень, легкие, головной мозг), которые являются главной причиной смерти от рака щитовидной железы. Смерть больных от локального распространения опухолевого процесса наблюдается значительно реже. У большинства из них инвазивно растущая карцинома повреждает и сдавливает трахею, сужение просвета которой приводит к острой дыхательной недостаточности, которая и является непосредственной причиной смерти. Кроме этого, смерть больного может насту-пить и в результате массивного кровотечения при инвазии опухоли в крупные кровеносные сосуды шеи.
Согласно данным Оуогу Б. и соавт., общая 5 и 10-летняя выживаемость больных с папиллярными карциномами составила 93% и 89%, для фолликулярных карцином - 92% и 80%, соответственно. Ряд исследователей полагает, что мужской пол больных с дифференцированными карциномами является неблагоприятным прогностическим фактором. РеП220 М.Я. и соавт. связывают это с тем, что у больных мужского пола карциномы чаще обнаруживаются уже на более поздних стадиях своего развития (Т3,Т4). Большинство авторов пол больных раком щитовидной железы, как прогностический фактор, не принимает во внимание. Результаты многих исследований показали, что прогноз у больных женского и мужского пола не отличается. Этот критерий не учитывается также и в комплексных прогностических системах. Риск возникновения рецидива и смерти от рака щитовидной железы постепенно увеличи-вается с возрастом. По данным большинства авторов, он возрастает после 45 лет, другие специалисты таким порогом считают 40 лет, 50 лет, некоторые - 60 лет [1].
Целью данного исследования является подробное изучение смерти у пациентов с раком щитовидной железы (РЩЖ).
Материалы и методы. Для выяснения причин летальности при РЩЖ, мы подвергли анализу истории болезни и протоколы патологоанатомических вскрытий 85 умерших от РЩЖ. Охвачены также 523 больных с РЩЖ МЦ “Шенгавит”, ЦКВГ МО РА, Национального Института Онкологии. Для суждения о тяжести РЩЖ большое значение имеет среднегодовой показатель смертности (р на 10 000 населения),поскольку регистрация смертей осуществляется, как правило, более или менее полно. А показатель летальности (р на 100 больных) не только характеризует тяжесть клинического течения болезни, но и позволяет косвенно судить о полноте учета рака щитовидной железы.
Результаты и обсуждение. Показатели смертности среди больных РЩЖ значительно ниже показателей заболеваемости. В целом, уровень смертности от тиреоидного рака сравнительно низкий, он составляет менее 1% всех смертных случаев от злокачественных новообразований. Медиана выживаемости составила 3,5 лет (диапазон от 1 месяца до 20 лет). Среднегодовой показатель смертности от рака щитовидной железы составляет 0,02±0,008 (М=7), а пока-затель летальности р = 16,25 на 100 больных. Среди 85 умерших женщин было 58 (68,2%±5,05), мужчин - 27 (31,8%±5,05). Показатель смертности выше у женщин 0,03±0,01, а у мужчин 0,01±0,008. Разница между показателями статистически достоверна (р ‹ 0,001). Возраст этих лиц обобщен в таблице 1. Самая высокая летальность приходится на людей в возрасте 70-79, то есть на людей пожилого и старческого возраста.
Таблица 1. Уровень летальности больных раком щитовидной железы в зависимости от возраста с 1999 по 2011 гг. (на 100 больных)
|
Возрастные группы |
Число больных |
Показатель летальности |
|
20 - 24 |
1 |
5,6 |
|
35 - 39 |
1 |
3,4 |
|
40 - 44 |
3 |
4,7 |
|
45 - 49 |
6 |
10,5 |
|
50 - 54 |
13 |
17,8 |
|
55 - 59 |
8 |
15,7 |
|
60 - 64 |
10 |
20,0 |
|
65 - 69 |
14 |
31,8 |
|
70 - 74 |
17 |
44,7 |
|
75 - 79 |
11 |
55,0 |
|
80 и старше лет |
1 |
33,3 |
Диаграмма 1. Частота смертности больных раком щитовидной железы по возрасту у женщин и мужчин с 1999 по 2011 гг. (на 10000 населения).
Как видно из указанной диаграммы, риск возникновения рецидива и смерти от рака щитовидной железы постепенно увеличивается с возрастом. Отдаленные метастазы (кости, легкие, печень, головной мозг) являлись главной причиной смерти от рака щитовидной железы. Метастазы в легких приводили к обструктивному и рестриктивному легочному заболеванию. В случаях дифференцированных карцином регионарные метастазы не являлись значимым фактором прогноза, при регионарном метастазировании у больных с другими типами рака щитовидной железы прогноз был менее благоприятным.У 5 больных причиной смерти явилась местная инвазия и компрессия трахеи, что приводило к острой дыхательной недостаточности. Смерть у одной больной наступила в результате массивного кровотечения при инвазии опухоли в крупные кровеносные сосуды шеи.
При оценке прогностического значения морфологии опухоли было установлено, что наиболее высокой была доля пациентов с пятилетней выживаемостью среди больных с папиллярной формой РЩЖ (90%), далее по мере убывания идут больные с фолликулярным (79,2%), с медуллярным раком (72,2%), а продолжительность жизни 13 больных с недифференцированной (анапластической) карциномой, ко-торая является одной из самых агрессивных злокачественных опухолей человека, только в исключительных случаях превышала 1 год и составлял от 2 до 10 мес. Микрокарциномы и инкапсулированные формы протекали более благоприятно. Хотя риск смерти у пациентов в Т1-3 М0 невысокий, смертность от ВДРЩЖ обнаружена во всех категориях пациентов. Размер опухоли, как прогностический фактор, был более значимым при папиллярных карциномах, чем фолликулярных, где степень сосудистой и капсулярной инвазии опухоли имел несравненно большее значение, чем ее размер. Размер опухоли не имел также какого-либо прогностического значения при низкодифференцированных и недифференцированных формах рака щитовидной железы. У этих больных неблагоприятный прогноз определялся не размером образования и возрастом больного, а исключительно одним фактором - менее дифференцированным типом карциномы.
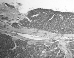
Mногофакторный анализ нашего материала показал, что мультицентричность опухоли как самостоятельный фактор на прогноз у больных с дифференцированными карциномами не влиял. Не выявлено каких-либо отличий в прогнозе при ангиоинвазивных и неангиоинвазивных формах дифференцированных карцином. При экстратиреоидной инвазии высокодифференцированной карциномы летальный исход у больных был выше, чем при очаговой инвазии в капсулу железы (рис.1).
Рисунок 1. Широкий инвазивный рост в фиброзную капсулу при фолликулярном раке щитовидной железы с экстратиреоидным распространением. Окраска гематоксилином и эозином. X 400.
Анализ нашего материала показывает, что основной причиной смертности от рака щитовидной железы в Армении является позднее поступление больных на хирургическое лечение. При ранней операции, в неосложненном периоде болезни, смертельного исхода на нашем материале не наблюдалось. Таким образом, прогноз зависил преимущественно от гистологического типа, стадии рака и возраста (р‹0,05). Возраст является важнейшим прогностическим фактором во всех гистологических группах, кроме анапластической карциномы. Прогноз у больных молодого возраста, в целом, более благоприятный, а общий уровень смертности относительно невысокий. И заболеваемость, и смертность выше у женщин. Выживаемость при дистантных метастазах и наличие экстратиреоидной инвазии намного меньше. Так как метастазы могут возникнуть через длительное время после после оперативного лечения, этого факта достаточно для понимания необходимости пожизненного наблюдения больных.
Список литературы
- Матящук С. И., Эпштейн Е. В. Журн. „ Лики Украины ”,2004,11, 12, 2005, 1-3.
- Franceschi S., Boyle P., Maison-Neuve P. et al. The epidemiology of thyroid carcinoma. Critical Reviews in Oncogenesis. 1993. 4. Р 25-52.
- Parkin D. M., Muir C. S., Whelan S. L. et al. Cancer incidence in five continents. IARC Scientific Publication. 1992. Vol. 6.
17.04.2012 Читайте также
На современном этапе развития общества, в рамках радикальных преобразований в системе охраны психического здоровья, важнейшей медикосоциальной проблемой является стигматизация и дискриминация лиц с психическими расстройствами [2,11,49]...
30.04.2012 Молекулярно-биохимические механизмы зло-качественного новообразования легких еще окончательно не определены [1]. Контролируемое продуцирование О2- NADPH оксидазами в нефагоцитирующих клетках играет определенную роль в процессе регуляции функции клеток (включая опухолевые клетки)...
27.04.2012 Эффективность ортопедического лечения больных с использованием несъемных конструкций протезов зависит, помимо других факторов, так же от их качественной фиксации на опорных зубах...
26.04.2012 Поиск путей активного влияния на процессы восстановления, т.е. создания оптимальных условий регенерации поврежденных органов и тканей, является основной целью настоящего исследования...
25.04.2012 Актуальность проблемы
Мировой опыт показывает, что огромный потенциал повышения эффективности оказания медицинской помощи заложен в реформировании сестринского дела [1,3]. Все чаще рассматривается оценка качества сестринской помощи и системный подход к деятельности медсестры...
23.04.2012 Преднизолон (ПН) в большинстве случаев подавляет активность супероксид (О2)- продуцирующих систем при различных патологических состояниях. При аутоиммунных, ревматических заболеваниях ПН подавляет О2- продуцирующую активность NADPH оксидазы, приближая ее к норме [7]...
20.04.2012 Введение
Бесплодие остается и на сегодняшний день важной как медицинской, так и социальной проблемой, так как неспособность иметь детей существенно влияет на психологическую и социальную адаптацию человека в обществе и снижает качество жизни...
19.04.2012 Актуальность темы. Относительно здоровья детского населения РА следует отметить, что в настоящее время сложилась тревожная ситуация. Наблюдается рост врожденных дефектов и отклонений [1]...
18.04.2012 Известно, что хронический тонзиллит вызывает различные изменения в организме [1,2,3]. В литературе немало сообщений о происходящих изменениях в небных миндалинах при различных заболеваниях и состояниях [3]...
16.04.2012 Имеются указания на неравномерное распространение заболевших карциномой щитовидной железы в различных регионах мира, обусловленное географическими и национальными особенностями...
13.04.2012 Актуальность. Проблема создания модели здравоохранения, обеспечивающей высокоэффективную помощь, не требующую больших затрат, актуальна для любого государства, независимо от уровня его экономического развития...
12.04.2012 Введение
Несмотря на интенсивные исследования механизмов развития нейроде- и регенеративных процессов в очаге раздавливания ПН, многое еще остается недостаточно изученным. В частности, показано, что хронический краш ПН вызывает конкурентные апоптоз и пролиферацию ШК...
11.04.2012 Привычный выкидыш, или привычное невынашивание беременности, определяется как повторяющаяся остановка развития беременности. Существует много синдромов, связанных с привычным невынашиванием беременности: анатомические аномалии...
10.04.2012
САМЫЕ ЧИТАЕМЫЕ СТАТЬИ
-
Нормы роста и веса детей – данные ВОЗ
-
Зеленые выделения из влагалища: причины и лечение
- Анатомо-физиологические особенности дыхательной системы у детей
-
Насморк с кровью: причины симптома и способы лечения
- Анатомо-физиологические особенности сердечно-сосудистой системы у детей
- Анатомо-физиологические особенности пищеварительной системы у детей
- Анатомо-физиологические особенности мочевыделительной системы у детей
- Сравнительная характеристика параметров функции внешнего дыхания (обзор литературы)
- Современные представления о норме и патологических отклонениях размеров восходящей аорты при приобретенных пороках сердца
- Анатомо-физиологические особенности детей
- Анатомо-физиологические особенности костно-мышечной системы у детей
- Паллиативная химиотерапия рака: основные понятия и особенности (oбзор литературы)
-
Что можно и что нельзя делать после удаления аппендицита
-
Увеличенные яичники: симптомы, причины и лечение
-
Новейшие достижения онкологии в МЦ «Наири»: интервью с Артемом Степаняном. nairimed.com
-
О чем говорит головная боль за ухом? Причины, симптомы и лечение
-
Как снизить риск инсульта. erebunimed.com
-
Характер мужчины проявляется в выборе позы для секса
-
Армянская ассоциация медицинского туризма (ААМТ)
-
Желтые выделения из влагалища: причины и лечение
-
Рвота у ребенка без температуры: возможные причины
- Применение летрозола для стимуляции овуляции
- Врожденные аномалии и пороки развития
-
КАТИОНОРМ – представитель нового поколения искусственных слез для симптоматической терапии синдрома “сухого глаза”
-
Арам Бадалян: Родинку трогать нельзя?
- Применение противоспаечных средств в профилактике спаечной болезни живота (oбзор литературы)
-
Как избавиться от лямблий — 25 эффективных рецептов народной медицины
-
Вздутие живота при месячных: 7 способов справиться с неприятным ощущением
-
Компресс при ангине: будет ли полезным прогревание горла?
-
Онкология является самой быстроразвивающейся отраслью медицины: интервью с Левоном Бадаляном
-
Лечение марганцовкой
- Некоторые новые подходы к системной терапии метипредом больных ревматоидным артритом
- Медицинские информационные системы.Информационная система для интегрального фармацевтического и здравоохранного мониторинга
-
Фармацевтическая опека
- Подходы к оперативному лечению костно-хрящевых экзостозов
- Повреждения при родах
- Инциденталома надпочечников
-
Курение марихуаны влияет на потенцию
-
Почему противозачаточные увеличивают грудь?
- Применение индинола и эпигаллата при аденомиозе













Научная медицина
Болезни
Традиционная медицина
Здоровый образ жизни
Косметология
Медицинское право
Алгоритмы, тесты
Цифры, факты, случаи
Историческая хроника
Афоризмы
Карьерная лестница
Дети
Женщина
Мужчина
Рейтинговая система

