Вопросы теоретической и клинической медицины 6.2011
Лечение кератокист челюстей с применением деминерализованного костного матрикса в сочетании с богатой тромбоцитами плазмой крови
Международная гистологическая классификации опухолей (МГКО) ВОЗ № 5 (1971) среди одонтогенных кист челюстей выделяла первичную кисту - кератокисту, которая является пороком развития зубообразовательного эпителия и развивается в зубосодержащих участках челюстей. В последней гистологической классификации одонтогенных опухолей ВОЗ (2005) - Pathology and Genetics, Head and Neck Tumours - кератокисты отнесены к опухолям и называются «доброкачественная кератокистоз- ная одонтогенная опухоль». Она имеет невосполи- тельное происхождение и является пороком развития остаточных элементов зубной пластинки [10,13]. Развиваются кератокисты в зубосодержащих участках челюстей: на верхней челюсти чаще встречается во фронтальном отделе, особенно в области клыков, а на нижней челюсти - в задней ее части или позади третьего моляра нижней челюсти с распространением на ветвь [1,15]. Одонтогенные кератокистозн- ные опухоли (ОКО) челюстных костей составляют, по данным разных авторов, от 5,4 до 17,4% от всех одонтогенных кист [6,11]. В некоторых случаях кера- токисты включаются в симптомокомплекс при врожденной патологии (синдром Горлина, синдром Мар- фана и др.). Они могут имитировать другие поражения, затрудняя диагностику, основанную только на клинико-рентгенологическом обследовании [3]. Рентгенологически одонтогенные кератокисты могут быть однокамерными или многокамерными [8].
Одонтогенная кератокиста вызывает большой интерес, главным образом, из-за тенденции к реци- дивированию [5,16]. По данным литературы процент рецидивов варьирует от 0 до 62.5% в зависимости от выбранной методики хирургического лечения [14,19]. После цистотомии этот показатель может со-ставить 40% [18], после цистэктомии -17.79-54.5% [14], тогда как после энуклеации с периферической остэктомией и блоковой резекции челюсти состав-ляет от 0-2% [14,18,19]. Разные авторы, видят разные причины рецидивирования. По мнению одних [8], возможным объяснением рецидивов является агрессивность кисты, обусловленная активностью коллагеназы в стенке кисты и высокой фибриноли- тической активностью. Другие авторы уделяют осо-бое внимание инфильтрации мягких тканей, прорастании в надкостницу, пролиферации эпителиальной выстелки [2,13], остаточным элементам зубной пластинки, которые могут формировать новые кисты, вид кератинизации (паракератинизированные кисты более агрессивны и склонны к рецидивам) [7,12,17].
Для лечения кератокист были предложенны разнообразные методы операций. .Т.Буге и J.Zakrzewska [7], рассмотрев методы лечения, описанные различными авторами, предложили их классификацию: 1. цистэктомия: с первичным закрытием, с заполнением участка дефекта, с химической обработкой, с криодеструкцией; 2. цистотомия: изолированно, двухэ-тапно с последующей цистэктомией; 3. резекция че-люсти. Р.Бгаш1еу [4] разработал показания к различным методам операции: мелкие однокамерные кисты должны удаляться целиком из внутриротового досту-па; при крупных кистах в труднодоступных участках рекомендована декомпрессия посредством цистотомии с вторичной цистэктомией; крупные многока-мерные кисты предложено лечить методом резекции с первичной костной пластикой.
За период 2003-2009 гг. под нашим наблюдением находились 16 больных с 16 одонтогенными ке- ратоцистическими опухолями (ОКО). Возраст больных колебался от 16 до 62 лет. Из общего числа па-циентов 10 (62.5%) мужчины и 6 (37.5%) женщины. Соотношение мужчин к женщинам составило 1.67:1. Из всех 16 ОКО 15 (93.75%) наблюдались на нижней челюсти и 1 (6.25%) на верхней. Из 15 пациентов с ОКО нижней челюсти у 10 они локализовались в об-ласти угла и ветви, у 4-х в области моляров и у 2-х в подбородочном отделе. У одной пациентки ОКО рас-полагалась на верхней челюсти интеррадикулярно, между 23 и 24 зубами.
Киста чаще обнаруживалась случайно - у 9 больных при рентгенологическом исследовании по поводу других заболеваниий челюстно-лицевой области, двое больных были направлены лечащим стоматологом с ошибочным диагнозом “фолликулярная киста в области угла нижней челюсти с ретенированным зу-бом «мудрости»”, 4 обратились с жалобами на асим-метрию лица в связи с незначительным выбуханием кортикальной пластинки нижней челюсти и одна пациентка обратилась с жалобами на безболезненную припухлость десны, размерами около 1см в диаметре, в области верхней челюсти слева. Рентгеноло-гическая картина заболевания характеризовалась на-личием кистовидного образования, чаще обширного, с четкими, нередко полициклическими контурами, многокамерного. На рентгенограммах определялась периодонтальная щель корней зубов, проецирующихся на область кисты. Несмотря на обширное внутрикостное поражение, выраженной деформации челюсти не отмечалось, что объясняется распро-странением процесса по длиннику кости в виде еди-ной полости. Диагноз ОКО базировался на клинико-рентгенологических данных и подтверждался патогистологическим исследованием операционного материала.
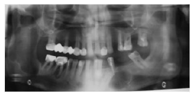
Рис.1. Ортопантомограмма пациента С. до лечения
У 9 больных с обширными кератокистами ниж-ней челюсти операция проводилась под общим эндо- трахеальным обезболиванием, а у 7, с мелкими кистами до 2-Зсм, под местным обезболиванием в амбулаторных условиях. У 9 больных с обширными ке- ратокистами, с прорастанием в окружающие мягкие ткани, была проведена сегментарная резекция нижней челюсти без нарушения непрерывности кости отступая на 1см от краев кистозного поражения. Макроскопически при вскрытии ОКО обнаруживалась единая полость, выполненная серовато-грязной кератиновой массой, являющейся продуктом слущивания и жизнедеятельности ороговевающегося эпи-телия оболочки кисты. Образовавшийся дефект ко-сти ва всех случаях восстанавливался одномоментно ДКМ-ом в виде блоков и в размельченном виде в сочетании с БоТП. Для профилактики перелома кости у этих больных осуществляли шинирование зубов с межчелюстной фиксацией. Больным с мелкими ки-стами проводилась цистэктомия с обязательной периферической остеоэктомией, во избежание реци-дивов. Оболочка кисты была тонкой и легко разрывалась при вылущивании. При прорастании ОКО в мягкие ткани проводилось их иссечение. В двух случаях, помимо применения костно-пластического материала, использовали мембрану из пчелиного воска в целях направленной регенерации тканей. Мор-фологическое исследование проведено у всех больных. Оболочка ОКО была представленна волокнистой соединительной тканью с преобладанием коллагеновых волокон и выстлана многослойным эпите-лием. В многослойном эпителии наблюдались явления кератинизации по типу паракератоза и ортокератоза. Постоперационный период у 14 больных протекал гладко, без осложнений. У 1 больного наблюдалось нагноение костной раны с расхождением швов. После проведенной адекватной консервативной терапии удалось купировать воспалительный процесс. Отдаленные постоперационные наблюдения от 3 до 9 лет не показали рецидивов ни в одном случае. Во всех случаях дефект кости был восстановлен с образованием органотипичной кости в сроках от 3 до 12 мес. в зависимости от размеров последнего.
Для примера приводим клинический случай
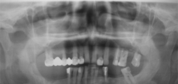
Рис.2. Ортопантомограмма пациента через два года после операции.
Пациент С. 49л. поступил в отделение челюстно-лицевой хирургии мед. центра «Канакер-Зейтун» 30.03.2009г. с жалобами на онемение нижней губы и подбородка справа в течение последних 3-4 мес. Обращался к стоматологу по поводу плановой санации полости рта, и на ортопантомограмме, сделанной в стом. клинике, были обнаружены ки-стозные образования в области тела и ветви нижней челюсти. Пациент был направлен на стационарное обследование и лечение. При внешнем осмотре асимметрии лица не отмечалось. Кожные покровы в цвете не изменены, открывание рта свободное. Со стороны полости рта видимых патологических изменений не наблюдалось. На ортопантомограмме визуализировалось просветление в области угла и ветви нижней челюсти с четкими полицикличными контурами, окруженная склеротическим ободком. Неоднородность оттенков просветления создавало картину многокамерности кистозного образования. С левой стороны в области тела нижней челюсти прослеживалось кистозное образование с более четкими контурами, округлой формы и однородностью. Размеры кистозной полости справа около 7x5 см, слева около 4.5 см в диаметре (рис. 1).
Операция проведена 2.04.09г. под общим эндо- трахеальным обезболиванием наружным доступом. Произведен дугообразный разрез в области угла и тела нижней челюсти справа на 2.5 см ниже нижнего края длиной 6-6.5 см. (рис.За). Мягкие ткани рас-сечены послойно до кости. После отсепаровки надкостницы виднелась бугристая, слегка вздутая наружная кортикальная пластинка ветви нижней че-люсти (рис.Зб). Под охлаждением физиологического раствора высверлили и удалили наружуню корти-кальную пластинку (рис.Зв). Макроскопически по-лость кисты была заполнена серовато-грязной кератиновой массой (рис.Зг). После тщательного вылущивания кисты была проведена резекция нижней челюсти отступая на 0.5-1 см от границ опухоли, сохраняя непрерывность нижней челюсти в области его заднего края (рис. Зд). Образовавшийся дефект был заполнен размельченным аллогенным ДКМ в комбинации с БоТП и поверх закрыт и изолирован от окружающих мягких тканей мембраной из пчелиного воска в целях направленной регенерации кости (рис. Зе,ж,з). Со стороны полости рта был удален
Рис.3. Этапы операции: а)маркирована линия разреза, б) обнажена наружная поверхность кости, в) высверливание кортикальной пластинки г) видна оболочка кератокисты, д) проведена резекция нижней челюсти, е) заполнение дефекта размельченным ДКМ с БоТП, ж,з)наложение мембраны из пчелиного воска поверх костно-пластического материала, и)ранаушита послойно с оставлением резинового выпускника, к) обнажено тело нижней челюсти слева, л) кистозная полость заполнена ДКМ с БоТП, м) наложена восковая мембрана.
46 периодонтитный зуб. Рану послойно ушили с оставлением резинового выпускника (рис.Зи). Аналогичным образом проведена операция с левой стороны внеротовым доступом с одной лишь разницей, что при удалении наружней кортикальной пластинки была выявлена оболочка радикулярной кисты с ки-стозным содержимым. Была проведена цистэкто- мия с апекэктомией 35 зуба. Остаточную костную полость заполнили аллогенным ДКМ с БоТП и изо-лировали от надкостницы мембраной из пчелиного воска (рис.3 к,л,м).
Через два года (рис.2, 4) после операции больной жалоб не предъявлял. Внешне асимметрии лица не наблюдалось. На ортопантомограмме наблюдалось восстановление костной ткани в области дефекта, хотя в центральных отделах дефекта плотность новообразованной кости уступала материнской.
Рис. 4 Внешний вид больного через два года после операции
Таким образом, полученные нами данные совпадают с литературными, свидетельствующими об отсутствии рецидивов при хирургическом лечении с резекцией челюстной кости, либо цистэктомией с периферической остеоэктомией. Несмотря на травма- тичность данного метода вмешательства, с возможностью интраоперационных повреждений анатомических структур (повреждение нервов, перелом ко-сти), на сегодняшний день он является самым надежным в плане профилактики рецидивов и озлокачествления, о чем свидетельствуют также ряд авторов [2,7,19, 20]. А восстановление образовавшегося дефекта аллогенным либо ксеногенным ДКМ, в сочетании с БоТП, способствует быстрому заживлению раны, ускорению процессов репаративной регенера-ции костной ткани, что укорачивает период постоперационной реабилитации больных.
Список литературы
- Губайдулина Е.Я., Цегельник Л.Н., Башилова Р.А., Комнова З.Д. Одонтогенная первичная киста (керато- киста) челюстей. Стоматология. 1986; №1: с.41-45.
- Черниговская В.Н. Кератокисты челюстных костей у детей. Авт. канд.мед.наук. М., 2009.18с.
- Ali M, Baughman RA. Maxillary odontogenic keratocyst: a common and serious clinical misdiagnosis. J Am Dent Assoc. 2003;134(7):877-83.
- Bramley P.A. The odontogenic keratocyst: an approach to treatmentlnt. J Oral Surg 1974;3:337-41.
- Brannon RB. The odontogenic keratocyst. Part I. Oral Surg Oral Med Oral Pathol. 1976;42:54-72.
- Cawson R.A., Binhie W.H., Speight P.M., Barrett A.W., Weight J.M. Lucas s pathology of tumors of the oral tissues. 5th ed. London Churchill Livingstone.1998, p. 25-44.
- Chemli H, Dhouib M, Karray F, Abdelmoula M. Risk factors for recurrence of maxillary odontogenic keratocysts. Rev Stomatol Chir Maxillofac. 2010 Sep;l 11(4): 189-92.
- Donath K. Cysts and tumors of the jaw bone. Verh Dtsch Ges Pathol. 1992;76:360-5.
- Eyre J.,.Zakrzewska Y.M. British J Oral Maxillofac Surg. 1985. vol.23, 3; p.195-203.
- Kramer IR, Pindborg J J, Shear M. The WHO histological typing of odontogenic tumours. Can- cer.1992;70(12):2988-94.
- Kreidler J., Raubenheimer E., van Heerden W. A retro spective analysis of 367 cystic lesions of the jaws the Ulm experience. J. Craniomaxillofac Surg. 1993.21:339-41.
- Lam KY, Chan AC. Odontogenic keratocyst: a clinico- pathologicalstudy in Hong Kong Chinese. Laryngoscope, 2000; 110:1328-32.
- Li TJ. The odontogenic keratocyst: a cyst, or a cystic neo-plasm? J Dent Res. 2011 Feb;90(2): 133-42.
- Morgan T.A., Burton C.C., Qian T. A retrospective review of treatment of the odontogenic keratocyst J Oral and Maxillofac Surg. 2005; vol.63(5): p.635-639.
- O’Neill R, Al-Hezaimi K. Identification of an odontogenic keratocyst and treatment with guided tissue regeneration. J Can Dent Assoc. 2011;77: b 6.
- Shear M. Developmental odontogenic cysts: an update. J Oral Pathol Med. 1994;23:1-11.
- Wright JM. The odontogenic keratocyst: orthokeratinized variant. Oral Surg. 1981;51:609-18.
- Zecha JA, Mendes RA, Lindeboom VB, van der Waal I. Recurrence rate of keratocystic odontogenic tumor after conservative surgical treatment without adjunctive thera-pies. Oral Oncol. 2010 Oct;46(10): 740-2.
- Zhao YF, Jin-Xiong W., Wang SP. Treatment of odonto-genic keratocysts. Oral Surg Oral Med Oral Pathol Oral Radiol Endod. 2002;94:151-6.
- Zhou JL, Jiao SL, Chen XH, Wang YL Treatment of recur-rent odontogenic keratocyst with enucleation and cryosur-gery. Shanghai Kou Qiang Yi Xue. 2005Oct;14(5):476-8.
14.12.2011 Читайте также
Определение прозрачности оптических сред глаза (роговица, хрусталик, стекловидное тело) обычно проводится с помощью офтальмоскопа или щелевой лампы; косвенно о прозрачности оптических сред глаза можно судить по отражению света с глазного дна при фотографировании (эффект “красных глаз”)...
30.12.2011 Согласно последним исследованиям, проведенным специалистами ВОЗ, болезни позвоночника за последние годы приобрели исключительно широкую распространенность, в особенности у лиц трудоспособного возраста...
29.12.2011 Актуальность проблемы
В ходе реформирования здравоохранения приоритетом, имеющим важное медико-социальное значение, остается охрана здоровья населения [1]...
28.12.2011 Разработка новейших диагностических и корригирующих технологий, направленных на сохранение физиологических резервов организма человека, является основной стратегией современной восстановительной медицины...
27.12.2011 Актуальность проблемы
На современном этапе реформирования здравоохранения РА основной целью государственной политики является улучшение состояния здоровья населения, в том числе и на основе обеспечения качества и доступности медицинской помощи...
26.12.2011 Активные формы кислорода (АФК) играют ключевую роль в функционировании клеток плаценты. При увеличении содержания АФК (О2-, НО., пероксинитрит) при патологических состояниях наблюдается оксидативное повреждение клетокн плаценты [1]...
23.12.2011 В наши дни, в условиях активного внедрения в отечественную медицину современных экономических методов управления, трудно переоценить актуальность проблемы, обобщенно обозначаемой как «стандартизация в здравоохранении» [1,3]...
22.12.2011 Обеспечение безопасного прерывания беременности продолжает оставаться одной из актуальных проблем современной репродуктологии [1,3,5,7,11]. В последние годы, в связи с улучшением диагностики врожденных пороков развития плода...
21.12.2011 Стационарная служба нуждается не только в стандартах обследования и лечения, но и в стандартах оформления записей, непрерывного улучшения качества путем применения стандартов оценки и контроля качества ведения записей медицинской документации [1,2,3,4,5]...
20.12.2011 Прерывание беременности по медицинским показаниям в поздние сроки, когда женщина сознательно соглашается на уничтожение собственного ребенка, наносит травму и вызывает серьезные изменения в ее психике [1,3,5,7]...
19.12.2011 Введение
Повреждения шейного отдела позвоночника и спинного мозга относятся к категории наиболее тяжелых травм человеческого организма, которые в большинстве случаев приводят к летальному исходу или стойкой утрате трудоспособности [3,4]...
16.12.2011 Введение. Клиника кишечной непроходимости (КН) определяется уровнем формирования препят-ствия, полнотой обструкции, вовлечением в процесс сосудисто-нервного аппарата брыжейки кишечника...
15.12.2011 Вопросы хирургического лечения язвенных геморрагии хорошо освещены в литературе. Четко прослеживаются две основные тактики - активная и активно-выжидательная. Активная тактика основана на том...
13.12.2011
САМЫЕ ЧИТАЕМЫЕ СТАТЬИ
-
Нормы роста и веса детей – данные ВОЗ
-
Зеленые выделения из влагалища: причины и лечение
- Анатомо-физиологические особенности дыхательной системы у детей
-
Насморк с кровью: причины симптома и способы лечения
- Анатомо-физиологические особенности сердечно-сосудистой системы у детей
- Анатомо-физиологические особенности пищеварительной системы у детей
- Анатомо-физиологические особенности мочевыделительной системы у детей
- Сравнительная характеристика параметров функции внешнего дыхания (обзор литературы)
- Современные представления о норме и патологических отклонениях размеров восходящей аорты при приобретенных пороках сердца
- Анатомо-физиологические особенности детей
- Анатомо-физиологические особенности костно-мышечной системы у детей
- Паллиативная химиотерапия рака: основные понятия и особенности (oбзор литературы)
-
Что можно и что нельзя делать после удаления аппендицита
-
Увеличенные яичники: симптомы, причины и лечение
-
Новейшие достижения онкологии в МЦ «Наири»: интервью с Артемом Степаняном. nairimed.com
-
О чем говорит головная боль за ухом? Причины, симптомы и лечение
-
Как снизить риск инсульта. erebunimed.com
-
Характер мужчины проявляется в выборе позы для секса
-
Армянская ассоциация медицинского туризма (ААМТ)
-
Желтые выделения из влагалища: причины и лечение
-
Рвота у ребенка без температуры: возможные причины
- Применение летрозола для стимуляции овуляции
- Врожденные аномалии и пороки развития
-
КАТИОНОРМ – представитель нового поколения искусственных слез для симптоматической терапии синдрома “сухого глаза”
-
Арам Бадалян: Родинку трогать нельзя?
- Применение противоспаечных средств в профилактике спаечной болезни живота (oбзор литературы)
-
Как избавиться от лямблий — 25 эффективных рецептов народной медицины
-
Вздутие живота при месячных: 7 способов справиться с неприятным ощущением
-
Компресс при ангине: будет ли полезным прогревание горла?
-
Онкология является самой быстроразвивающейся отраслью медицины: интервью с Левоном Бадаляном
-
Лечение марганцовкой
- Некоторые новые подходы к системной терапии метипредом больных ревматоидным артритом
- Медицинские информационные системы.Информационная система для интегрального фармацевтического и здравоохранного мониторинга
-
Фармацевтическая опека
- Подходы к оперативному лечению костно-хрящевых экзостозов
- Повреждения при родах
- Инциденталома надпочечников
-
Курение марихуаны влияет на потенцию
-
Почему противозачаточные увеличивают грудь?
- Применение индинола и эпигаллата при аденомиозе













Научная медицина
Болезни
Традиционная медицина
Здоровый образ жизни
Косметология
Медицинское право
Алгоритмы, тесты
Цифры, факты, случаи
Историческая хроника
Афоризмы
Карьерная лестница
Дети
Женщина
Мужчина
Рейтинговая система




