Вопросы теоретической и клинической медицины 5.2011
Структурно-функциональная характеристика кардиомиоцитов проводящей системы сердца при краш-синдроме через 24 часа после декомпрессии
Синдром длительного раздавливания (СДР) представляет собой опасное для жизни осложнение длительного сдавливания большой массы мягких тканей, внутренних органов, встречающихся при катастрофах [4,7,10]. Значение изучения СДР связано не только с ростом стихийных бедствий, техногенных катастроф, но и с множеством ещё не до конца выясненных или спорных вопросов патогенеза. В период длительной компрессии большой массы мягких тканей пострадавшие, как правило, не погибают, так как в этом периоде «ишемические токсины» ещё находятся в тканях. Ишемический токсикоз - причина смерти большинства пораженных при СДР и местные повреждения тканей развиваются только в период декомпрессии (реперфузии), от поступления в организм из длительно ишемизированных тканей ишемических токсинов и продуктов цитолиза [5,6,8]. Развивающийся при этом метаболический ацидоз является причиной эндотоксикоза, под воздействием которого возникают системные расстройства микроциркуляции в органах и тканях, с нарушением функции почек, печени, желудочно - кишечного тракта и сердца [7,4]. Работы, посвященные экспериментальному моделированию КС, с последующим изучением динамики микроскопических и ультраструктурных изменений различных органов, на сегодняшний день немного-численны. Ранее проведенные исследования свидетельствуют, что имеет место грубое структурно-функциональное повреждение почек, печени, органов иммунной системы, миокарда. Известно, что деструктивные процессы [1,2,3,9] в указанных органах вызывают такие клинические проявления, как острая сердечная недостаточность, почечная и печеночная недостаточности, подавление иммунной системы и другие клинические проявления. Вместе с тем, в доступной нам литературе мы не нашли ни одной работы, касающейся структурно - функциональной характеристики клеток проводящей системы сердца. В связи с вышеизложенным большой интерес представляет морфо - функциональная характеристика клеток проводящей системы сердца в условиях экспериментального краш-синдрома.
Цель исследования. Исследовать морфо-функциональные проявления проводящих кардиомиоцитов через 24 часа после декомпрессии.
Материал и методы исследования. Материалом исследования явились сердца 10 половозрелых белых крыс самцов, массой 130 - 150 г. КС создавали путем сдавления одной тазовой конечности на специальной установке с экспозицией в течение 1 часа. Данное устройство представляет собой камеру, состоящую из двух отсеков. К внутренней поверхности стенки одного отсека крепились экспериментальные животные, к стенке другого отсекаконтрольные животные. Во время опыта двери камеры закрывали с целью приближения экспериментальных условий к ситуации катастрофы. Площадь сдавления внутренней поверхности бедра равнялась 3,14 см2, сила сдавления - 150кПа. Материал дла исследования брали через 24 ч. после декомпрессии, т.е. в ранний период КС. Взятие материала осуществляли прижизненно. Животным давали эфирный наркоз (до ис-чезновения роговичного рефлекса). Для исследования брали образцы ткани из сердца в нескольких местах (синусовый, атриовентрикулярный узлы и пучки Гиса). На срезах, сделанных перпендикулярно к пограничной борозде, синусовый узел определялся непосредственно под эпикардом и вклинивался в место стыка стенки верхней полой вены и пограничного гребня. Основание клина синусовой ткани направлялось вперед, к гребню ушка предсердия, а его острие - назад, к нижней полой вене. Атриовентрикулярный узел искали в направлении переднего края треугольника, образованного продолжением клапана нижней полой вены (евстахиева клапана, или сухожилия Тоbаго), основанием перегородочной створки трикуспидального клапана и устьем коронарного синуса. На вершине этого треугольника сухожилие Todaro соединялось с центральным фиброзным отделом. Непосредственно позади данного соединения находился участок проникновения пучка Гиса в желудочки. Пройдя в ткань желудочков, ствол пучка ответвлялся на гребне мышечной части межжелудочковой перегородки непосредственно под межжелудочковым компонентом мембранозной части. Специализированная проводящая ткань левого желудочка проходила непосредственно субэндокардиально по септальной поверхности выходящего тракта левого желудочка под некоронарной створкой аортального клапана. Правая ножка АВ-пучка отходила от общего ствола пучка интрамиокардиально. В нормально сформированном сердце хорошим ориентиром при определении ее позиции служила медиальная сосочковая мышца. Проксимальная часть левой ножки АВ-пучка спускалась по левожелудочковой поверхности межжелудочковой перегородки. Для светооптического исследования кусочки фиксировали в 10% нейтральном формалине и заливали в парафин. Срезы окрашивали гематоксилин-эозином, методом Ван- Гизона, Селье и толуидиновым синим. Исследование гистоструктуры органов проводили с помощью светового микроскопа.
Для электронно- микроскопического исследования фрагменты органов толщиной не более 1мм фиксировали в 2% р-ре глютарового альдегида на 0,2м какодилатном буфере (рН 7,4) при температуре 40С в течение 2 ч, после чего образцы промывали 0,15М какодилатным буфером (рН 7,4) с добавлением саха-розы (3 порции в течение 0,5 ч) и подвергали постфиксации в 1% р-ре четырехокиси осьмия на 0,2М какодилатном буфере (рН 7,4). Дегидратацию мате-риала проводили в ацетонах возрастающей концентрации. Заливку осуществляли в смеси эпона и аралдита по Mollenhauer (1964). Полутонкие и ультра- тонкие срезы готовили на ультратоме LKB (III тип, Швеция). Полутонкие срезы окрашивали пиронином и толуидиновым синим и просматривали под свето-вым микроскопом. Ультратонкие срезы контрастиро-вали цитратом свинца по Рейнольдсу и изучали с помощью электронных микроскопов JEM -100В и JEM- 100 СХ.
Результаты исследования. Исследования проводящих кардиомиоцитов экспериментальных жи-вотных контрольной группы показали, что клетки синусового узла мельче клеток рабочего миокарда предсердия. Они группируются в переплетенные пучки, причем вся сеть клеток погружена в развитый фиброзный матрикс. На границе синусового узла, обращенной к миокарду устья верхней полой вены и пограничного гребня, определяется переходная зона между клетками узла и рабочего миокарда предсердий. На некоторых участках переход от тканей синусового узла к миокарду предсердия выражен достаточно четко. В этих вклинивающихся зонах перекрывание клеток синусового узла и предсердия интерпретируется как присутствие клеток предсердия в пределах узла. Вклинивающиеся участки наиболее часто встречаются на границе синусового узла и пограничного гребня. В срезах редко приходилось наблюдать «большие бледные» клетки предсердия. Клетки узла располагаются хаотично, имеют веретенообразную форму, а иногда разветвления с тонкими, заостренными концами. Они характери-зуются слабым развитием сократительного аппарата и случайным распределением митохондрий. Саркоплазматический ретикулум развит хуже, чем в миокарде предсердий, а система Т-тубул отсутствует. По краям синусового узла наблюдали переходные клетки, отличающиеся от типичных клеток узла большим количеством хорошо организованных миофибрилл, наряду с более высоким содержанием межклеточных соединений типа нексусов. Клетки предсердного компонента атриовентрикулярного соединения мельче, чем клетки рабочего миокарда предсердий. Клетки переходной зоны имеют вытянутую форму и часто отделены друг от друга тяжами фиброзной ткани. В компактной зоне АВ-узла клетки расположены более тесно и часто организованы во взаимосвязанные пучки и завитки. Во многих случаях выявляется разделение компактной зоны на глубокий и поверхностный слои. Дополнительным покрытием служит слой переходных клеток, придающий узлу трехслойный вид. По мере перехода узла в проникающую часть пучка наблюдается увеличение размеров клеток, но в основном клеточная архитектоника сравнима с таковой в компактной зоне узла. Клетки, составляющие ветвящуюся часть пучка, по своим размерам напоминают клетки миокарда желудочков. Бледные или набухшие клетки редко встречаются в специализированной области атриовентрикулярного соединения.
При гистологическом и гистохимическом исследовании миокарда крыс опытной группы были выявлены структурно-функциональные изменения карди- омиоцитов проводящей системы, что свидетельствует об ответной реакции миокарда экспериментальных животных на воздействие одночасовым раздавливанием. В проводящих кардиомиоцитах выявляются признаки белковой дистрофии, что подтверждается потерей клетками нормальной поперечной исчерченности и ее заменой в основном бледно-зернистыми образованиями. Наиболее часто зернистость располагается по соседству с ядром или околоядерной вакуоли. Ядра при этом несколько увеличены. Зернистость распространяется по всей ширине мышечных волокон, и в связи с развивающимся отеком, волокна становятся набухшими, расширенными.
Рис.1. Гомогенизация мышечных волокон
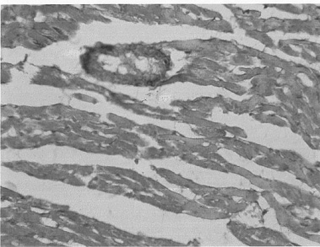
Межклеточная рыхлая соединительная ткань отечна и при окраске по Ван-Гизону приобретает желтоватый оттенок. На срезах, окрашенных методом Селье, выявляются очаги «фуксинофильной дистрофии» миокарда. Метод использован для выявления ранних морфо-функциональных сдвигов со стороны миокарда. «Фуксинофильная дистрофия» выявляется не только при нарушении кортикостероидного и электролитного обменов, но и при других патологических состояниях. Через 24 часа после декомпрессии местами выявляются грубые изменения проводящих кардиомиоцитов. Отдельные мышечные волокна, где гомогенизация распространяется и на саркоплазму, представлены в виде гиалиноподобных обра-зований.
Рис. 2. Очаги фуксинофилии, красно-оранжевые мышечные волокна.
В таких участках фуксинофилия приобретает гомогенный, а в отдельных мышечных волокнах зернистый характер. Подвергшиеся выше перечисленные изменения мышечных волокон, слабо поглощают фуксин и при окраске методом Селье приобретают красно-оранжевый оттенок. Метод Селье достаточно избирательно отображает состояние сократительного аппарата кардиомиоцитов.
При окраске толуидиновым синим выявляются очаги метахромазии. Электронно-микроскопическое исследование кардиомиоцитов при ранней (24 часа) стадии краш-синдрома после одночасового раздав-ливания выявило картину вакуольной дистрофии. Ядра приобретают лопастную форму, хроматин занимает краевое расположение. Митохондрии отечные, набухшие с просветленным матриксом, деструктуризацией (уменьшением количества) крист, гомогенизацией.
Проводящая система характеризуется сильно сокращенными миофибриллами. В некоторых клетках выявляется разрушение сарколеммы и выход внутриклеточного содержимого в межклеточное интерстициальное пространство. Наблюдается всеобщее уплотнение хроматина, встречается при кариопикнозе и кариорексисе. Наблюдается деструктуризация клеток проводящей системы и просветление цитоплазмы матрикса. Вышеизложенное свидетельствует о расстройствах энергетического обмена, глубоких нарушениях структурной организации клеток проводящей системы, преимущественно синусового узла.
Рис. 3. Отек митохондрий, гомогенизация крист, краевое расположение хроматина, сильно сокращенные миофибриллы
Список литературы
- Азнаурян А.В., Саакян К.Т. Рос.морф.вед. 2001.1-2. с. 175-178.
- Артенян Н.С. Авт. дисс. канд. мед. наук. Ереван, 2007.
- Артищева М.Ю. Авт. дисс. канд. мед. наук. Ереван, 1995.19 с.148.
- Ардашева Е.И. дис. канд. мед. наук. Кемерово, 2002. 142 с.
- Коен С., Уорд П.А., Мак-Класки Р.Т. Механизмы иммунопатологии (пер. с англ.). М.,1998.
- Корнилов В.А. Повреждение магистральных сосудов:клиника, диагностика и лечение, авт. дис. д-ра мед. наук. Ленинград.1978. 23с.
- Нечаев Э.А., Раевский А.К. Савицкий Г.Г. Синдром длительного сдавления М.,1993.
- Рудаев В.И., Кричевский А.Л., Галеев И.К. Острая ишемическая травма мягких тканей в условиях чрез-вычайных ситуаций. Кемерово. 1999. 360 с.
- Татоян М.Р. Авт. дисс. канд. мед. наук. Ереван, 2008.
- Яковлев В.С., Белобратова Л.Н. Дальневосточный мед. журнал, 1995.1. с. 56-58.
15.11.2011 Читайте также
Высокая частота развития постдискэктомического синдрома, устойчивость к существующим методам лечения, большой процент инвалидизации больных...
30.11.2011 Введение
Еще в ранних исследованиях было показано, что прорастанию регенерирующих нервных волокон содействуют даунрегуляция миелиновых генов, дедифференциация и пролиферация Шванновских клеток (ШК)...
29.11.2011 Осложнения после гайморотомии и закрытия ороантральных сообщений-проблема чрезвычайно актуальная для челюстно-лицевых хирургов и хирургов стоматологов, поскольку одонтогенные гаймориты встречаются довольно часто...
28.11.2011 В течение миллионов лет человеческой эволюции процесс заживления ран был оптимизирован организмом для максимально быстрого и эффективного действия в любых антисанитарных условиях...
25.11.2011 С точки зрения современных положений медицинской науки и организации здравоохранения очень актуальны исследования стоматологической заболеваемости. Как показал анализ литературы...
24.11.2011 Цель данного обзора заключалась в сравнении эффективности, побочных эффектов, неблагоприятных клинических явлений и приемлемости хирургических и медикаментозных методов индукции аборта во втором триместре беременности...
23.11.2011 Бисфосфонаты (БФ) применяются при лечении различных метаболических и злокачественных костных заболеваниях. БФ составляют часть химиоте-рапевтического лечения при множественной миеломе и злокачественных костных метастазах при раке молочной железы...
22.11.2011 Введение
Общеизвестным является утверждение что, целью современного ортодонтического лечения является не только достижение функциональной окклюзии, но еще и получение гармоничного и эстетичного лицевого профиля...
21.11.2011 В настоящее время заболевания полости рта занимают ведущее место по распространенности среди болезней человека, а стоматологическая помощь является одним из массовых видов медицинского обслуживания [27,32,17,39]...
18.11.2011 Циклофосфамид (ЦФ) является цитостатиком, используемым при химиотерапии онкологических заболеваний различной этиологии, для подавления роста опухолевых клеток...
17.11.2011 Введение
Хронический стресс (ХС), в отличие от острого, сопровождается значительными нейрохимическими изменениями в головном мозге и является фактором риска развития большой депрессии (БД) и тревожных расстройств [21]...
16.11.2011 Частота встречаемости нагноившихся одонтогенных кист челюстей колеблется от 47.4 до 77 % [2,5]. Традиционное лечение нагноившихся кист включает два этапа: оказание неотложной помощи и радикальное лечение [6,7,10,12]...
14.11.2011
САМЫЕ ЧИТАЕМЫЕ СТАТЬИ
-
Нормы роста и веса детей – данные ВОЗ
-
Зеленые выделения из влагалища: причины и лечение
- Анатомо-физиологические особенности дыхательной системы у детей
-
Насморк с кровью: причины симптома и способы лечения
- Анатомо-физиологические особенности сердечно-сосудистой системы у детей
- Анатомо-физиологические особенности пищеварительной системы у детей
- Анатомо-физиологические особенности мочевыделительной системы у детей
- Сравнительная характеристика параметров функции внешнего дыхания (обзор литературы)
- Современные представления о норме и патологических отклонениях размеров восходящей аорты при приобретенных пороках сердца
- Анатомо-физиологические особенности детей
- Анатомо-физиологические особенности костно-мышечной системы у детей
- Паллиативная химиотерапия рака: основные понятия и особенности (oбзор литературы)
-
Что можно и что нельзя делать после удаления аппендицита
-
Увеличенные яичники: симптомы, причины и лечение
-
Новейшие достижения онкологии в МЦ «Наири»: интервью с Артемом Степаняном. nairimed.com
-
О чем говорит головная боль за ухом? Причины, симптомы и лечение
-
Как снизить риск инсульта. erebunimed.com
-
Характер мужчины проявляется в выборе позы для секса
-
Армянская ассоциация медицинского туризма (ААМТ)
-
Желтые выделения из влагалища: причины и лечение
-
Рвота у ребенка без температуры: возможные причины
- Применение летрозола для стимуляции овуляции
- Врожденные аномалии и пороки развития
-
КАТИОНОРМ – представитель нового поколения искусственных слез для симптоматической терапии синдрома “сухого глаза”
-
Арам Бадалян: Родинку трогать нельзя?
- Применение противоспаечных средств в профилактике спаечной болезни живота (oбзор литературы)
-
Как избавиться от лямблий — 25 эффективных рецептов народной медицины
-
Вздутие живота при месячных: 7 способов справиться с неприятным ощущением
-
Компресс при ангине: будет ли полезным прогревание горла?
-
Онкология является самой быстроразвивающейся отраслью медицины: интервью с Левоном Бадаляном
-
Лечение марганцовкой
- Некоторые новые подходы к системной терапии метипредом больных ревматоидным артритом
- Медицинские информационные системы.Информационная система для интегрального фармацевтического и здравоохранного мониторинга
-
Фармацевтическая опека
- Подходы к оперативному лечению костно-хрящевых экзостозов
- Повреждения при родах
- Инциденталома надпочечников
-
Курение марихуаны влияет на потенцию
-
Почему противозачаточные увеличивают грудь?
- Применение индинола и эпигаллата при аденомиозе













Научная медицина
Болезни
Традиционная медицина
Здоровый образ жизни
Косметология
Медицинское право
Алгоритмы, тесты
Цифры, факты, случаи
Историческая хроника
Афоризмы
Карьерная лестница
Дети
Женщина
Мужчина
Рейтинговая система


