Вопросы теоретической и клинической медицины 5.2011
Бисфосфонатный остеонекроз (бфон) верхней челюсти у больного с множественной миеломой
Бисфосфонаты (БФ) применяются при лечении различных метаболических и злокачественных костных заболеваниях. БФ составляют часть химиоте-рапевтического лечения при множественной миеломе и злокачественных костных метастазах при раке молочной железы, простаты, легких, и существенно улучшают качество жизни таких больных [4], и в по-следнее время БФ стали чаще применять и при лечении остеопороза, болезни Педжета, педиатрического несовершенного остеогенеза [13]. Впервые остеонекроз (ОН) челюстей, связанный с применением БФ, был описан Marx R.E. в 2003 году [7]. БФОН челюстей возникает у 5-10% больных, применяющих БФ [14]. Средняя продолжительность применения БФ, после которого образуется ОН, составляет 31,8 месяцев (минимальный срок составляет 4 месяца) [1,8]. Для установления диагноза БФОН чeлюстей нужно наличие следующих критерий: внутривенное или пе- роральное применение БФ, отсутствие лучевой терапии в ЧЛ области, существование оголенной, незаживающей, некротизированной кости в течение 8 недель, гистологическое подтверждение некроза кости и исключение метастазов первичной злокачественной опухоли [6].
Filleul Q. et al.[2] провели обзор литературы, включающий 2400 больных. По этим данным, у всех больных существовала оголенная кость в полости рта, желто-белого цвета (на нижней челюсти-65%, на верхней челюсти-27%, на обеих челюстях-8%). В области оголения кости может наблюдаться гноетечение, а десна, в этой области, имеет красновато- цианотичную окраску. Среди других клинических проявлений наблюдались: наружные свищи, верхне-челюстной синусит, ороантральные свищи, патоло-гические переломы, абсцессы мягких тканей, вну- триротовые свищи, абсцесс орбиты. Конечный меха-низм образования ОН челюстей не выявлен. Патогенез ОН челюстей состоит из комплекса факторов, которые совместно приводят к некрозу. Конечно, главным из этих факторов является применение БФ, механизм действия которых следующий: БФ угнетают активность и жизнеспособность остеокластов, активируют их апоптоз, угнетают образование остеокластов из клеток предшественников, угнетают ангиогенез, БФ повреждают слизистую оболочку полости рта [3,5,11,12]. Из вышеуказанного можно судить, что БФ угнетают ремоделинг костной ткани, и при любом обстоятельстве, когда требуется активное обновление, регенерация костной ткани, может привести к остеонекрозу [1].
По данным литературы, в большинстве случаев, БФОН челюстей образуется после удаления зуба (53,8%)[1]. После удаления зубов, долгое время не происходит заживления лунки удаленного зуба, после чего больные обнаруживают оголенные костные участки на альвеолярных отростках челюстей. Описаны многочисленные случаи спонтанного ОН челюстей, когда нет явных причин, приводящих к ОН. Это можно обьяснить следующим образом: происходит макро- или микротравма десны (этому способствуют грубая пища, экзостозы, торусы и тд), которая приводит к воспалительным процессам подлежащих тканей, что может дать начало остеонекрозу [12]. В связи с этим, авторы выделяют местные и общие факторы риска, которые могут способствовать образованию ОН челюстей (табл.1)[12].
Табл.1 Местные и общие факторы риска образования БФОН челюстей (Vassiliou V., 2007)
|
Местные факторы |
Общие факторы |
|
травматические процедуры на челюстях |
применение БФ |
|
экзостозы и торусы |
химиотерапия |
|
плохая гигиена полости рта |
женский пол |
|
болезни периодонта и паро- донта |
возраст |
|
некачественные зубные протезы |
пониженный уровень гемоглобина, или коагулопатии |
|
|
применение кортикостероидов, или иммуносупрессив- ные состояния |
|
|
алкоголь, куренье |
По мнению разных авторов, и нашему тоже, ин-фицирование кости, в основном, происходит вторично, уже после образования ОН челюстных костей [10]. Инфекции придается главная роль в резорбции кости, так как уже было указано выше, БФ угнетают функции остеокластов, которые отвечают за резорбцию кости. Некоторые виды бактерий могут стимулировать резорбцию кости, другие могут ингибировать образование кости. Из бактериальных медиаторов остеолиза, хорошо изучены липополисахари- ды от грамм-отрицательных бактерий, которые стимулируют местное образование цитокинов [9]. Лечение БФОН челюстей считается трудным и малоэффективным [2]. Существуют разные мнения при лечении БФОН челюстей. Много авторов прибегают к консервативному лечению [12]: антибиотики, местные антисептики, поверхностный кюретаж зон некрозов, удаление только подвижных секвестров. Однако мы считаем консервативный подход нецелесообразным, так как при консервативном подходе лечение может длиться много месяцев, до тех пор, пока некротизированная кость не секвестрируется и не выделяется самостоятельно, что вряд ли возможно
во всех клинических случаях. Все это время больные будут принимать огромное количество лекарств, ко-торые могут иметь отрицательное влияние на функцию печени и почек (особенно после химиотерапии). Изначально нельзя предугадать, что болезнь не будет прогрессировать, а в таких случаях консервативное лечение вовсе будет безуспешным. Даже, если все пройдет нормально, и некротизированная кость выделится в виде секвестра, то могут быть случаи, когда обязательно будет нужна операция для закрылет, в апреле 2011 года обратился в отделение ЧЛХ Мед. центра ''Канакер-Зейтун'' с жалобами: боли в области верхней челюсти справа, оголение кости верхней челюсти справа, гноетечение в области оголенной кости. Со слов больного, примерно 5 месяцев назад, до обращения в стационар, у него был удален одиночно стоящий, подвижный верхний правый клык. После удаления зуба, лунка зуба не закрылся, через некоторое время появилось гноетечение из лунки. За это время трижды была проведена периотия
![]() |
![]() |
| Рис. 3. Видна четкая граница остеонекроза |
Рис.4. Остеотомия некротизированного участка альвеолярного отростка в пределах здоровых тканей |
образовавшегося дефекта (особенно на верхней челюсти могут образоваться большие сообщения с верхнечелюстной пазухой). А радикальное удаление некротизированной кости (различные резекции в пределах здоровых тканей) приведет к излечению больного в несравненно короткие сроки.
Для иллюстрации БФОН челюстей приводим следующий клинический случай. Больной Б.А. 65 стотомия и кюретаж лунки. Одновременно больному были назначены антибиотики широкого спектра действия и местные антисептики. Однако положительный результат не наблюдался. Примерно 3 года назад у больного была диагностирована множественная миелома, по поводу которого получал химиотерапию. Лучевую терапию не получал. Последние 2 года принимал препарат Зомета (из рядя БФ). Объективно
![]() |
![]() |
| Рис.5. Образовавшееся сообшение с в/ч пазухой | Рис. 6. Вид раны в полости рта |
Рис. 7. Вид раны через 2 месяца
обнаружено оголение кости фронтального отдела альвеолярного отростка верхней челюсти справа, в размере 2,5см. Оголенная кость была покрыта желто-зеленым налетом. Десневой край в этой области был отечным, красновато-цианотичным. Сообщение с верхнечелюстной пазухой не обнаружено. Пальпаторно зона поражения была болезненной (рис.1).
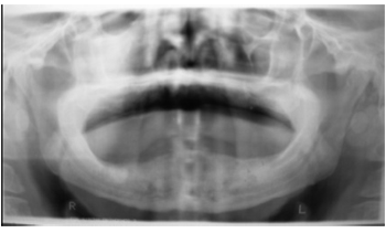
При рентгенологическом обследовании больного, на ортопантомограмме отмечается пустая лунка удаленного зуба и небольшая резорбция кости, в зоне поражения, без явных границ зоны некроза, или вы-делившихся секвестров (рис.2). На КТ снимках, кроме вышеуказанных, имеется также хронический гайморит. Был поставлен диагноз: БФОН фронтального отдела верхней челюсти справа, хронический правосторонний гайморит.
Решено произвести операцию, под общим обезболиванием: резекция области ОН верхней челюсти, ревизия верхнечелюстной пазухи справа. После обнажения кости верхней челюсти, была обнаружена четкая граница остеонекроза (рис.3). Произведена остеотомия некротизированного участка в пределах здоровых тканей (рис.4). После удаления некроти- зированного участка кости, открылось широкое сообщение с верхнечелюстной пазухой, в которой об-наружились полипозные разрастания и гной (рис.5). Были удалены патологически измененные ткани из верхнечелюстной пазухи, образовали сообщение с нижним носовым ходом, произвели тампонаду верхнечелюстной пазухи, вывели конец тампона через соустье, образованное с нижним носовым ходом. В конце, рана в полости рта была ушита наглухо (рис.6). Одновременно больному назначили антибиотики широкого спектра действия (отменили через 5 дней после операции) и местные антисептики.
Послеоперационный период протекал гладко . Тампон, из гайморовой пазухи, был удален через 2 дня, швы были удалены через 10 дней. При повторном осмотре через 2 месяца, больной жалоб не предъявлял. В области вмешательства, цвет слизистой оболочки без особенностей, определялся небольшой дефект альвеолярного отростка верхей челюсти (рис.7). Пальпация области вмешательства безболезненна, заметен тонкий послеоперационный рубец.
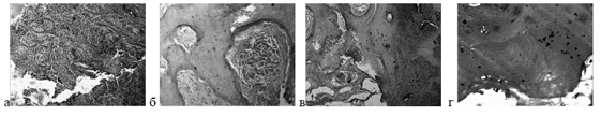
При морфологическом исследовании удаленных образцов тканей были выявлены следующие изменения: в покрывающих кость мягких тканях отмечалась выраженная воспалительная инфильтрация. В плоскоэпителиальной выстилке наблюдалась деком- плексация слоев с глубокими акантотическими выро-стами в подэпителиальную основу рис. 8а). В костной ткани изменения носили неоднородный характер. Имелись участки с истончением костных трабекул, расширением межтрабекулярных пространств и заполнением их рыхлой межуточной субстанцией, с незначительной воспалительной ифильтрацией. Кроме того, здесь отмечалось значительное количество сосудов и очаги кровоизлияний (рис.8б-в). Часть костной ткани находилась в состоянии некробиоза, здесь строение остеонов и расширенные контуры со-судов просматривались в виде теней (рис. 8г). В уда-ленной костной ткани имелись также участки некроза в виде аморфных масс (рис. 8д).Таким образом, морфологическая картина изменений у пациента сводилась к выраженным воспалительным изменениям в мягких тканях челюсти, к некрозу, некробиозу, остеолизису в костной ткани с сосудистой реакцией, но без наличия воспалительной инфильтрации.
Заключение
Таким образом, исходя из результатов клиниче-ского наблюдения, можно заключить, что при БФОН
Рис. 8а) Выраженное воспаление в мягких тканях с декомплексацией и акантозом в плоском эпителии. Окраска гематоксилин-эозином. Х100; б) Расширение межтрабекуларных пазух, кровоизлияния. Окраска гематоксилин-эозином. Х100; в) В расширенных межтрабекулярных пазухах рыхлая межуточная субстанция, расширенные сосуды и кровоизлияния. Окраска гематоксилин-эозином. Х100; г) Костная ткань в состоянии некробиоза. Волокнистое строение остеонов просматривается в виде теней. Окраска гематоксилин-эозином. Х100; д) Некротизированная костная ткань. Окраска гематоксилин-эозином. Х100.
челюстей правильнее произвести резекцию участка остеонекроза в пределах здоровых тканей, с глухим закрытием образованного дефекта кости. Если есть осложнения, связанные с БФОН челюстей по соседству, необходимо произвести необходимые хиррур- гические вмешательства с целью ликвидации последствий ОН (в нашем случае произвести радикальную гайморотомию). Для профилактики БФОН че-люстей, после удаления зуба, необходимо произвести частичную резекцию краев лунки зуба и глухое закрытие лунки.
Список литературы
- Abu-Id MH, Warnke PH et al. J Of Cranio-Maxillofacial Surg (20008) 36, 95-103.
- Filleul Q, Crompot E, Saussez S. Bisphosphonate-induced osteonecrosis of the jaw: a review of 2,400 patient cases: J Cancer Res Clin Oncol (2010) 136: 1117-1124.
- Fournier P et al. Bisphosphonates inhibit angiogenesis in vitro and testosterone - stimulated vascular regrowth in the ventral prostate in castrated rats: Cancer Res: 62: 6538-6544:2002.
- Hortobagji GN, Theriault RL et al. Long-term prevention of skeletal complications of metastatic breast cancer with pamidronate. Protocol 19 Aredia Breast Cancer Study Group. I Clin Oncol 1998:16:2038-2044.
- Hughes De, MacDonald BR, Russel RG, Gowen M. Inhibition of osteoclast-like cell formation by bisphosphonates in long-term cultures of human bone marrow, J Clin Invest 1989:83(6): 1930-5.
- Khosla S, Burr D, Cauley J et al. Bisphosphonate- associated osteonecrosis of the jaw: report of a task force of the American society for bone and mineral research. J Bone Miner Res 2007: 22: 1479-91.
- Marx RE. Pamidronate (Aredia) and Zoledronate (Zometa) induced avascular necrosis of the jaws: a growing epidemic. J Oral Maxillofac Surg 2003:61:1115-1117.
- Migliorati CA, Schubert MM, Peterson DE, Seneda LM. Bisphosphonate-associated osteonecrosis of mandibular and maxillary bone: an emergine oral complication of supportive cancer therapy. Cancer 2005: 104:83-93.
- Nair SP, Meghji S, Wilson M et al. Bacterially induced bone destruction: Mechanisms and misconceptions. Infect Immun 1996: 64: 2371-80.
- Reid IR. Osteonecrosis of the jaw-Who gets it, and Why? Bone 44(2009)4-10.
- Reszka AA, Halasy-Nagy J, Rodan GA. Nitronen- bisphosphonates block retinoblastoma phosphorilation and cell growth by inhibiting the cholesterol biosynthesis pathway in a keratinocyte model for esophageal irritation. Mol Pharmacol 2001: 59: 193-202.
- Vassiliou V, Kalogeropoulou C, Christopoulus C et al. Combination ibandronate and radiotherapy for the treatment of bone metastasis: clinical evaluation and radiologic assessment. Int J Radiat Oncol Biol Phys 2007:67:264-72.
- Watts NB. Bisphosphonate treatment of osteoporosis. Clin Geriatr Med 2003: 19:395-414.
- Watts NB, Marciani RD. Osteonecrosis of the jaw: Sath Med J: Vol. 10: N.2: February 2008.
22.11.2011 Читайте также
Высокая частота развития постдискэктомического синдрома, устойчивость к существующим методам лечения, большой процент инвалидизации больных...
30.11.2011 Введение
Еще в ранних исследованиях было показано, что прорастанию регенерирующих нервных волокон содействуют даунрегуляция миелиновых генов, дедифференциация и пролиферация Шванновских клеток (ШК)...
29.11.2011 Осложнения после гайморотомии и закрытия ороантральных сообщений-проблема чрезвычайно актуальная для челюстно-лицевых хирургов и хирургов стоматологов, поскольку одонтогенные гаймориты встречаются довольно часто...
28.11.2011 В течение миллионов лет человеческой эволюции процесс заживления ран был оптимизирован организмом для максимально быстрого и эффективного действия в любых антисанитарных условиях...
25.11.2011 С точки зрения современных положений медицинской науки и организации здравоохранения очень актуальны исследования стоматологической заболеваемости. Как показал анализ литературы...
24.11.2011 Цель данного обзора заключалась в сравнении эффективности, побочных эффектов, неблагоприятных клинических явлений и приемлемости хирургических и медикаментозных методов индукции аборта во втором триместре беременности...
23.11.2011 Введение
Общеизвестным является утверждение что, целью современного ортодонтического лечения является не только достижение функциональной окклюзии, но еще и получение гармоничного и эстетичного лицевого профиля...
21.11.2011 В настоящее время заболевания полости рта занимают ведущее место по распространенности среди болезней человека, а стоматологическая помощь является одним из массовых видов медицинского обслуживания [27,32,17,39]...
18.11.2011 Циклофосфамид (ЦФ) является цитостатиком, используемым при химиотерапии онкологических заболеваний различной этиологии, для подавления роста опухолевых клеток...
17.11.2011 Введение
Хронический стресс (ХС), в отличие от острого, сопровождается значительными нейрохимическими изменениями в головном мозге и является фактором риска развития большой депрессии (БД) и тревожных расстройств [21]...
16.11.2011 Синдром длительного раздавливания (СДР) представляет собой опасное для жизни осложнение длительного сдавливания большой массы мягких тканей, внутренних органов, встречающихся при катастрофах [4,7,10]...
15.11.2011 Частота встречаемости нагноившихся одонтогенных кист челюстей колеблется от 47.4 до 77 % [2,5]. Традиционное лечение нагноившихся кист включает два этапа: оказание неотложной помощи и радикальное лечение [6,7,10,12]...
14.11.2011
САМЫЕ ЧИТАЕМЫЕ СТАТЬИ
-
Нормы роста и веса детей – данные ВОЗ
-
Зеленые выделения из влагалища: причины и лечение
- Анатомо-физиологические особенности дыхательной системы у детей
-
Насморк с кровью: причины симптома и способы лечения
- Анатомо-физиологические особенности сердечно-сосудистой системы у детей
- Анатомо-физиологические особенности пищеварительной системы у детей
- Анатомо-физиологические особенности мочевыделительной системы у детей
- Сравнительная характеристика параметров функции внешнего дыхания (обзор литературы)
- Современные представления о норме и патологических отклонениях размеров восходящей аорты при приобретенных пороках сердца
- Анатомо-физиологические особенности детей
- Анатомо-физиологические особенности костно-мышечной системы у детей
- Паллиативная химиотерапия рака: основные понятия и особенности (oбзор литературы)
-
Что можно и что нельзя делать после удаления аппендицита
-
Увеличенные яичники: симптомы, причины и лечение
-
Новейшие достижения онкологии в МЦ «Наири»: интервью с Артемом Степаняном. nairimed.com
-
О чем говорит головная боль за ухом? Причины, симптомы и лечение
-
Как снизить риск инсульта. erebunimed.com
-
Характер мужчины проявляется в выборе позы для секса
-
Армянская ассоциация медицинского туризма (ААМТ)
-
Желтые выделения из влагалища: причины и лечение
-
Рвота у ребенка без температуры: возможные причины
- Применение летрозола для стимуляции овуляции
- Врожденные аномалии и пороки развития
-
КАТИОНОРМ – представитель нового поколения искусственных слез для симптоматической терапии синдрома “сухого глаза”
-
Арам Бадалян: Родинку трогать нельзя?
- Применение противоспаечных средств в профилактике спаечной болезни живота (oбзор литературы)
-
Как избавиться от лямблий — 25 эффективных рецептов народной медицины
-
Вздутие живота при месячных: 7 способов справиться с неприятным ощущением
-
Компресс при ангине: будет ли полезным прогревание горла?
-
Онкология является самой быстроразвивающейся отраслью медицины: интервью с Левоном Бадаляном
-
Лечение марганцовкой
- Некоторые новые подходы к системной терапии метипредом больных ревматоидным артритом
- Медицинские информационные системы.Информационная система для интегрального фармацевтического и здравоохранного мониторинга
-
Фармацевтическая опека
- Подходы к оперативному лечению костно-хрящевых экзостозов
- Повреждения при родах
- Инциденталома надпочечников
-
Курение марихуаны влияет на потенцию
-
Почему противозачаточные увеличивают грудь?
- Применение индинола и эпигаллата при аденомиозе













Научная медицина
Болезни
Традиционная медицина
Здоровый образ жизни
Косметология
Медицинское право
Алгоритмы, тесты
Цифры, факты, случаи
Историческая хроника
Афоризмы
Карьерная лестница
Дети
Женщина
Мужчина
Рейтинговая система








