Вопросы теоретической и клинической медицины 3.2011
Метод дентальной имплантации при хирургическом лечении больных с нарушением жевательной функции функционального и травматического генеза
Результат лечения переломов нижней челюсти не всегда бывает положительным. В некоторых случаях отломки костей не срастаются и остаются подвижными. Патологическая подвижность отломков нижней челюсти, отсутствие костной мазоли и образование на концах отломков компактной пластинки, спустя 3-4 недели после перелома, свидетельствуют об образовании ложного сустава. Причины образования ложных суставов бывают местными и общими. К общим относят инфекционные заболевания, сосудистые заболевания, болезни желез внутренней секреции. К местным факторам относят: несвоевременное вправление отломков, недостаточную иммобилизацию отломков или раннее снятие шин, попадание мягких тканей между отломками, наличие дефектов костной ткани более чем 2 см, травматический отсеомиелит челюсти.
Клиническая картина ложных суставов нижней челюсти определяется степенью подвижности отломков, направлением их смещения, количеством зубов на фрагментах, величиной костного дефекта и локализацией ложного сустава. Некоторые авторы рассматривают три группы ложных суставов нижней челюсти: не сросшиеся переломы в пределах зубного ряда при наличиии зубов на отломках; не сросшиеся переломы в пределах зубного ряда при наличии беззубых отломков; не сросшиеся переломы вне зубного ряда [1-3].
Как выше изложено, частой причиной возникновения ложных суставов является недостаточная им-мобилизация отломков костей, которая может быть из за недостаточной функционально-стабильной фиксации прикуса больного с помощью назубных шин. Вторичная адентия, полный вывих зубов во время получения травмы челюстей или показания к удалению зубов, которые находятся на линии перелома, являются помехой для адекватного шинирования и для фиксации прикуса больного. Самым проблема-тичным является потеря зубов, приводящее к возникновению концевых дефектов зубных рядов, что огра-ничивает возможность шинирования в пределах зубных рядов, тем самым уменьшает стабильность фиксации. Для решения данной проблемы проводилось предоперационное ортопедическое лечение. Больным изготовлялись съемные или частично съемные протезы для замещения дефектов зубных рядов и только после этого проводилось хирургическое лечение ложных суставов нижней челюсти.
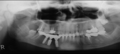
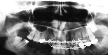
С появлением дентальной имплантации стало возможным отказаться от протезирования съемными и частично съемными протезами. В настоящее время, в предоперационном периоде, нами используется метод дентальной имплантации для замещения дефектов зубных рядов и восстановления прикуса больного, что дает возможность полного шинирования зубного ряда и получения стабильной фиксации во время хирургического вмешательства по поводу ложных суставов нижней челюсти (рис.1-5).
Рис.1.
Рис. 2.
Рис. 3.
Рис. 4.
Рис. 5.
Применение данного метода и отказ от применения съемных и частично съемных протезов является новым функциональным и эстетическим подходом к восстановлению и получению функционально-стабильного прикуса и одним из основных этапов хирургического лечения осложнений переломов нижней челюсти, каким является ложный сустав нижней челюсти.
Список литературы
- Щербаков А.С. и соавт. Ортопедическая стоматология,5-ое издание, Санкт Петербург, ИКФ «Фолиант», 1997.
- Джон А. Хобкек и соавт. Руководство по дентальной имплантологии, Москва, «Медпресс-информ», 2008.
- Робустова Т.Г. Имплантация зубов. Хирургические аспекты, Москва, «Медицина», 2003.
29.09.2011 Читайте также
Г.С.Тамазян родился 01.05.1947г. в селе Од- зун, Туманянского района Арм. ССР, в семье рабочего. После окончания в 1966г. ереванской школы им. Грибоедова поступает на лечебный факультет Ереванского Государственного медицинского института...
30.09.2011 Язвенная болезнь двенадцатиперстной кишки (ЯБ ДПК) сочетается с грыжами пищеводного отверстия диафрагмы (ГПОД) в 26-65% случаев [1,5]. Выраженность недостаточности кардии (НК) и рефлюкс-эзофагита (Р-Э) увеличивается во время обострения ЯБ [6)...
28.09.2011 Введение
Врожденные и приобретенные дефекты и деформации наружного носа и внутриносовых структур приводят к стойким функциональным и косметическим нарушениям...
27.09.2011 Актуальность проблемы
Хронический гастрит является заболеванием, поражающим преимущественно трудоспособное население и часто приводит к длительной нетрудоспособности или инвалидности, поэтому лечение и профилактика этой патологии является не только медицинской...
26.09.2011 Проинфламаторные цитокины (ФНО-альфа, Ил-4 и ИФ-альфа) оказывают характерное изменение метаболизма активных форм кислорода (АФК) в различных клеточных образованиях млекопитающих...
23.09.2011 Среди оперативных методов лечения остеоартроза коленного сустава наибольшее распространение получили корригирующие остеотомии и эндопротезирование [1,2,4,5,6,8,9,13]. Однако эффективность лечения данной патологии этими методами остается дискутабельным [3, 4,11,13]...
22.09.2011 В последние годы ультразвуковое сканирование, особенно трансвагинальная эхография, занимает значительное место в комплексной диагностике заболеваний внутренних половых органов женщин...
21.09.2011 Введение
Приоритетной задачей в области охраны здоровья матери и ребенка остается снижение перинатальной и детской смертности, и заболеваемости новорожденных. За последние 25-30 лет в экономически развитых странах величина этих показателей снизилась в 3-5 раз...
20.09.2011 Морфологические особенности строения различных отделов проводящей системы сердца представляют особый интерес как для теоретических кафедр медицинских вузов, так и для практических врачей кардиологических отделений...
19.09.2011 Введение
Врожденные пороки развития - аномалии развития, совокупность отклонений от нормального строения организма, возникающих в процессе внутриутробного или, реже, послеродового развития [2,4,7,9,10,16]...
16.09.2011 Синдром поликистозных яичников (СПКЯ) встречается среди гинекологических больных от 1,8% до 11%, а у бесплодных женщин с нарушенным менструальным циклом и гирсутизмом - в 68%-73% случаев [1,4]...
15.09.2011
САМЫЕ ЧИТАЕМЫЕ СТАТЬИ
-
Нормы роста и веса детей – данные ВОЗ
-
Зеленые выделения из влагалища: причины и лечение
- Анатомо-физиологические особенности дыхательной системы у детей
-
Насморк с кровью: причины симптома и способы лечения
- Анатомо-физиологические особенности сердечно-сосудистой системы у детей
- Анатомо-физиологические особенности пищеварительной системы у детей
- Анатомо-физиологические особенности мочевыделительной системы у детей
- Сравнительная характеристика параметров функции внешнего дыхания (обзор литературы)
- Современные представления о норме и патологических отклонениях размеров восходящей аорты при приобретенных пороках сердца
- Анатомо-физиологические особенности детей
- Анатомо-физиологические особенности костно-мышечной системы у детей
- Паллиативная химиотерапия рака: основные понятия и особенности (oбзор литературы)
-
Что можно и что нельзя делать после удаления аппендицита
-
Увеличенные яичники: симптомы, причины и лечение
-
Новейшие достижения онкологии в МЦ «Наири»: интервью с Артемом Степаняном. nairimed.com
-
О чем говорит головная боль за ухом? Причины, симптомы и лечение
-
Как снизить риск инсульта. erebunimed.com
-
Характер мужчины проявляется в выборе позы для секса
-
Армянская ассоциация медицинского туризма (ААМТ)
-
Желтые выделения из влагалища: причины и лечение
-
Рвота у ребенка без температуры: возможные причины
- Применение летрозола для стимуляции овуляции
- Врожденные аномалии и пороки развития
-
КАТИОНОРМ – представитель нового поколения искусственных слез для симптоматической терапии синдрома “сухого глаза”
-
Арам Бадалян: Родинку трогать нельзя?
- Применение противоспаечных средств в профилактике спаечной болезни живота (oбзор литературы)
-
Как избавиться от лямблий — 25 эффективных рецептов народной медицины
-
Вздутие живота при месячных: 7 способов справиться с неприятным ощущением
-
Компресс при ангине: будет ли полезным прогревание горла?
-
Онкология является самой быстроразвивающейся отраслью медицины: интервью с Левоном Бадаляном
-
Лечение марганцовкой
- Некоторые новые подходы к системной терапии метипредом больных ревматоидным артритом
- Медицинские информационные системы.Информационная система для интегрального фармацевтического и здравоохранного мониторинга
-
Фармацевтическая опека
- Подходы к оперативному лечению костно-хрящевых экзостозов
- Повреждения при родах
- Инциденталома надпочечников
-
Курение марихуаны влияет на потенцию
-
Почему противозачаточные увеличивают грудь?
- Применение индинола и эпигаллата при аденомиозе













Научная медицина
Болезни
Традиционная медицина
Здоровый образ жизни
Косметология
Медицинское право
Алгоритмы, тесты
Цифры, факты, случаи
Историческая хроника
Афоризмы
Карьерная лестница
Дети
Женщина
Мужчина
Рейтинговая система




