Вопросы теоретической и клинической медицины 3.2010
Особенности применения низкоинтенсивного лазерного излучения при лечении гнойных ран у детей первого года жизни
Введение
Лечение гнойных ран и профилактика осложнений относятся к числу актуальных проблем как общей, так и детской хирургии. Широко применяемая антибактериальная терапия часто оказывается неэффективной, так как широкое и бесконтрольное применение антибиотиков привело к увеличению количества антибиотикоустойчивых штаммов патогенных микробов. С другой стороны, ухудшение экологической обстановки и распространенный гиповита-миноз приводят к снижению сопротивляемости организма, вызывая гнойно-воспалительные заболевания, обусловленные условно-патогенными микробами. В общем комплексе лечебных мероприятий немаловажная роль отводится местному лечению гнойной раны. Это чрезвычайно сложная и многогранная проблема. До сих пор остаются нерешенными вопросы выбора оптимальной тактики местного лечения, которое проводится с учетом фазы раневого процесса.
В настоящее время в комплексном лечении гнойно-воспалительных заболеваний используют низкоинтенсивное лазерное излучение (НИЛИ). Сочетанное применение различных по характеру ме-тодов (хирургических, физических, биологических) потенцирует действие каждого из них и позволяет активнее воздействовать на течение гнойного процесса с лечебной целью, тем самым укорачивая период выздоровления ребенка и уменьшая вероятность побочных проявлений традиционного, общепринятого лечения. Местное же применение неинвазивных методов лазерного воздействия перспективно и логично, особенно если учесть высокую проникающую способность лазерного излучения в биологические ткани и простоту проведения таких процедур. Не менее важно отсутствие каких-либо субъективных ощущений у больного ребенка во время подобных сеансов лазеротерапии. Активное применение красного излу-чения квантовых генераторов низких энергий (длина волны 632,8нм) в лечении гнойных ран связано с тем, что адекватные дозы НИЛИ, оказывая местное стимулирующее действие, безвредны для организма в целом.
В экспериментах на животных, проведенных в нашей стране и за рубежом, выявлено отсутствие при использовании НИЛИ деструктивных изменений со стороны кожи, генетического аппарата клеток и показателей крови. По мнению Т.И.Кару и соавт. [3], лазерное излучение, в отличие от других мутагенов, действует в течение очень незначительного времени, недостаточного для появления таких изме-нений [2]. Фотобиологическая активация в наибольшей степени проявляется в условиях воспаления, что обусловило широкое применение когерентного света для стимуляции процессов регенерации кожи и заживления гнойных ран [1,3,4]. Особое внимание уделялось изучению ранних фаз заживления, посколь-ку фаза воспаления представляет защитную физиологическую реакцию, определяющую весь дальнейший ход заживления. Эксперименты на белых кры-сах, проведенные нами, подтвердили мнение других авторов [4,5] о том, что воздействие НИЛИ вызывает более раннюю миграцию клеток воспаления в рану, их более выраженную функциональную активность. Пролиферативная фаза заживления также протекает более интенсивно: раньше формируются грануляци-онная ткань, сосуды, производные эпидермиса.
Как было сказано выше, проведенные многочисленные клинические и экспериментальные исследо-вания доказывают высокую эффективность применения НИЛИ в комплексном лечении гнойных ран, при условии адекватности дозы лазерного облучения. Однако низкоинтенсивное лазерное облучение имеет одно коварное свойство: узкий диапазон благоприятно влияющей дозы. Существующие в настоящее время рекомендации по дозировке лазерного воздействия в педиатрии основываются на весе и возрасте больного ребенка, не учитывая индивидуальной чувствительности организма к лазерному облучению. И как следствие вышеуказанного подхода, у 17% больных в нашей клинике мы не получили ожидаемых хороших результатов от проводимой лазеротерапии. По данным же литературы, количество неудовлетвори-тельных результатов достигает 30%.
В связи с этим мы попытались исправить ситуацию, контролируя адекватность лазерного облучения путем цитологического изучения экссудата гнойных ран пациентов. Анализ сроков появления отдельных элементов цитограммы и их количественные соотно-шения достаточно точно характеризуют ход процесса заживления. Информативность метода обусловлена возможностью в динамике количественно оценивать состав клеточных элементов в ране, тем самым определять эффективность проводимого лечения. Адекватность лечения можно оценивать на ранних стадиях процесса заживления, когда еще не на-ступили клинические проявления. Несомненно, цитологические изменения в ране опережают ее клиническую картину, что является весьма ценным качеством этого простого и доступного исследования. Нами было выявлено, что наиболее ранние цитологические изменения происходят на 4-ые сутки после моделирования гнойной раны, т.е. после двухкратно-го лазерного облучения. Оказалось, что ранними, доклиническими достоверными цитологическими признаками адекватной лазерной терапии, а также ее экспозиционных отклонений являются: изменение количества полиморфноядерных лейкоцитов (ПМЯЛ), их дегенеративных форм и лимфоцитов в экссудате, которые впоследствии подсчитывались в клинических исследованиях.
Материал и методы исследования
С марта 2009г. по апрель 2010г. в клинике дет-ской хирургии Университетского больничного ком-плекса №1 проведены цитологические исследования экссудата из гнойных ран у 60 больных, получающих стационарное и амбулаторное лечение в клинике дет-ской хирургии. Девочек было 24, мальчиков - 36. По возрасту больные распределились следующим обра-зом: до 1 мес - 10 детей, от 1 мес. до 1 года - 7, от 1 года до 3 лет -10, от 3 до 7 лет - 3, и старше 7 лет - 30 детей. Больные были разделены на две группы (по 30 детей в каждой). Первая группа детей, наряду с общепринятым комплексным лечением получала ЛТ. Вторая группа была контрольной и получала только общепринятое лечение. По наиболее важным прогностическим признакам (нозология, возраст, сочета-ние микроб-антибиотик) обе группы были сопоставимы. ЛТ проводилась, начиная со 2-ого дня после вскрытия гнойного очага, каждый день, в количестве 5-и сеансов. Цитологическое исследование проводи-лось на 2-ой день перед началом ЛТ и на 4-ый день после двукратного лазерного воздействия. При цитологическом изучении мазков-отпечатков экссудата из ран больных мы выявили те же самые закономерности количественных изменений клеточных элементов, что и в эксперименте. Анализ количественных изменений вышеперечисленных видов клеток цитограммы на 4-ый день, при обязательном сравнении со 2-ым днем, дает возможность судить об адекватности проводимого лечения.[6]. Количественные изменения клеточного состава в экссудате из ран больных контрольной группы представлены на диаграмме 1.
Изменение клеточного состава цитограмм в контрольной группе
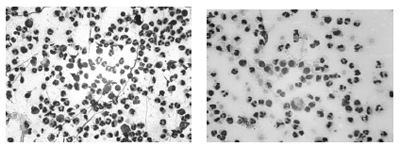
Как видно из диаграммы 1, на 4-ые сутки в экссудате из ран имеется повышение количества полиморфноядерных нейтрофилов и их дегенеративных форм, тогда как количество лимфоцитов снижается незначительно. На фотографиях цитограмм 2-го и 4-го дня отчетливо видна указанная динамика клеточных изменений (рис.1,2).
![]() |
![]() |
|
рис.1. Контрольная группа, 2-ой день |
рис.2. Контрольная группа, 4-ой день |
У группы детей, получавших ЛТ, мы обнаружили следующие клеточные изменения. В цитограммах основной части больных (25 человек), получающих лазеротерапию, имеются изменения, характерные адекватному лазерному воздействию.
Динамика цитологических изменений у больных, получавших ЛТ
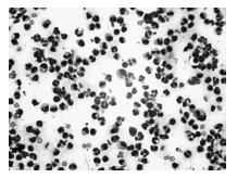
В цитограммах большинства больных, получив-ших ЛТ, выявлено снижение количества полиморфноядерных нейтрофилов и их дегенеративных форм с заметным повышением количества лимфоцитов к 4-ому дню. На фотографиях цитограмм отображены наиболее характерные изменения клеточного состава при адекватных дозах лазеротерапии на 2-ой и 4-ый день (рис 3,4).
рис.3. Адекватная ЛТ, 2-ой день
рис.4. Адекватная ЛТ, 4ый день
Однако в группе больных, получивших ЛТ, на основании цитологических данных, было выявлено 5 случаев неадекватной экспозиции лазерного облучения.
У 4 из них изменения клеточного состава цитограмм на 4-ые сутки соответствовали цитологической картине в экспериментальной группе с передозировкой лазерного воздействия. Ввиду общности биологических процессов у млекопитающих, данные изменения цитограммы были приняты за признаки передозировки лазерного облучения.
В результате коррекции экспозиции с 3-го сеанса лазерного облучения, у этих больных получены удовлетворительные клинические результаты, соот-ветствующие применению ЛТ. На диаграмме 3 при-водится динамика цитологических изменений боль-ных с передозировкой лазерного воздействия (ЛВ).
Диаграмма 3
Динамика цитологических изменений у больных с передозировкой ЛВ
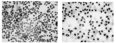
Видно снижение количества всех исследуемых клеточных элементов на 4-ый день. Эти цитологические изменения являются проявлением угнетающего действия лазерного облучения. На фотографиях цитограмм отображены наиболее характерные изме-нения клеточного состава при передозировке ЛВ на 2-ой и 4-ый день (рис.5,6).
рис.5. Передозировка ЛВ, 2-ой день
рис.6. Передозировка ЛВ, 4-ый день
Важно отметить, что возраст всех 4-х детей с обнаруженной передозировкой ЛВ был до 1 года. Учитывая то, что количество детей до года, получивших лазеротерапию было 9, можно утверждать, что дети до 1 года наиболее подвержены передозировке при проведении ЛТ (44%).
В связи с этим, проводимый цитологический контроль при лазеротерапии оказался весьма полезным мониторингом, позволяющим своевременно обнаруживать и корригировать экспозиционные отклонения лазерного облучения, в зависимости от индивидуальной чувствительности каждого организма и приводящим к улучшению результатов лечения детей с гнойными ранами.
Выводы
- При проведении сеансов лазеротерапии дети первого года жизни наиболее подвержены передозировке.
- Применение цитологического исследования экссудата из ран позволяет своевременно выявлять и корригировать передозировку лазерного воздействия.
Список литературы
- Белопольский А.А. Физико-химические способы коррекции резистентности организма при гнойно-воспалительных заболеваниях. Автореф. дисс. д.м.н.,Москва, 2007.
- Гаджиев Э.А., Елисеенко В.И. Лазерная медицина,2009,3, стр.35-39.
- Кару Т.И., Смольянинова Н.К., Андрейчук Т.Н. и др.Лазерная биофизика и новые применения лазеров в медицине. Тарту, 1990;68-83.
- Козлов В.И. Лазертерапия. М 1992,164.
- Корепанов В.И. Теория и практика лазерной терапии.М 1993,219.
- Ростомян М.С. Вопросы теоретической и практической медицины. Ереван, 2010; том 13, 2, с.30.
25.10.2010 Читайте также
Среди лицевых травм частота перломов костей средней зоны лица составляет 32,6% (переломы верхней челюсти - 5,5%, скуловой кости и дуги - 16,7%, костей носа - 6,8%, множественные травмы обеих челюстей - 3,6%) [13]...
29.10.2010 Активные формы кислорода (АФК), которые при повышенных концентрациях на клеточном уровне проявляют токсическое воздейстие и являются вторичными мессенджерами транскрипции различных генов...
28.10.2010 Среди лучевых методов диагностики особое место занимает компьютерная томография (КТ), которaя на современном этапе развития получила широкое применение в медицинской практике...
27.10.2010 Подавляющее большинство всех живых организмов, составляющих сложные экологические системфы, в своей жизнедеятельности не могут обходиться без потребления кислорода...
26.10.2010 Abstract. Background and objective: dimensional changes of impression materials after using disinfectants are one of the mailn problems in dentistry which caused some changes in integrity restoration and as a result failure of treatment...
22.10.2010 В настоящее время, в большинстве стран мира, наблюдается интенсивное внедрение лазерного излучения в биологические исследования и в практическую медицину. Уникальные свойства лазерного луча открыли широкие возможности его применения в различных областях: хирургии...
21.10.2010 Abstract. Back ground and purpose. The ability of a dowel-and-core restoration to survive masticatory forces and remain firmly sealed depends on retention of FRC to core material. If either the dowel and/or the core material fails, the crown will ultimately fail...
20.10.2010 Abstract. Back ground and purpose. The ability of a dowel-and-core restoration to survive masticatory forces and remain firmly sealed depends on retention of FRC to core material. If either the dowel and/or the core material fails,the crown will ultimately fail...
19.10.2010 Актуальным направлением научных исследований в области стоматологии является объективизация состояния твердых и мягких тканей полости рта с использованием методов, которые могут быть применены в клинической практике для диагностики...
18.10.2010 Диабетическая полинейропатия (ДИН) является одним из наиболее распространенных осложнений сахарного диабета (СД). Ио данным зарубежной и отечественной медицинской научной литературы распространенность ДИН составляет от 35 до 90% у пациентов с СД...
15.10.2010 К развитию патологии в тканях пародонта могут привести различные причины. Среди них отмечаются аномалии прикуса и отдельных зубов, что приводит к перегрузке пародонта и способствует частому возникновению патологического процесса в тканях (Хамитова Н.Х., 1999; Фомина О.Л., 2002)...
14.10.2010 Актуальность проблемы. Диабетическая полинейропатия (ДИН) является одним из наиболее распространенных осложнений сахарного диабета (СД). Ио данным зарубежной и отечественной медицинской научной литературы распространенность ДИН составляет от 0,1 до 55% у пациентов с СД...
13.10.2010 Нами было изучено влияние 120 факторов риска и более 350 их градаций на частоту заболеваний у детей дома ребенка. Более 50% (63 из 120) изученных факторов риска оказывали статистически достоверное влияние на частоту заболеваний у детей (Р‹0,05)...
12.10.2010 Актуальность проблемы
Попытка избежать радикального препарирования опорных зубов под традиционные мостовидные протезы привела к созданию адгезивных мостовидных протезов (АМП) [3]...
11.10.2010
Warning: mysqli::query(): (HY000/1): Can't create/write to file '/var/tmp/MYCjKNyN' (Errcode: 28 - No space left on device) in /sites/med-practic.com/classes/DatabaseManager_2.1.php on line 1381
Fatal error: Uncaught Error: Call to a member function fetch_assoc() on bool in /sites/med-practic.com/classes/DatabaseManager_2.1.php:1384 Stack trace: #0 /sites/med-practic.com/classes/article_class.php(102): TableManager->querySelectClassic('SELECT a.id, a....', Array) #1 /sites/med-practic.com/includes/include_footer_amen_kard_hod.php(5): Article->SelectAmenakardacvatsArticles(2) #2 /sites/med-practic.com/includes/include_bottom.php(9): require_once('/sites/med-prac...') #3 /sites/med-practic.com/bottom.php(7): require_once('/sites/med-prac...') #4 /sites/med-practic.com/article_more.php(151): require_once('/sites/med-prac...') #5 {main} thrown in /sites/med-practic.com/classes/DatabaseManager_2.1.php on line 1384















Научная медицина
Болезни
Традиционная медицина
Здоровый образ жизни
Косметология
Медицинское право
Алгоритмы, тесты
Цифры, факты, случаи
Историческая хроника
Афоризмы
Карьерная лестница
Дети
Женщина
Мужчина
Рейтинговая система






