Вопросы теоретической и клинической медицины 3.2010
Компьютерная томография с трехфазным контрастированием при гепатоцеллюлярной карциноме
Среди лучевых методов диагностики особое место занимает компьютерная томография (КТ), которaя на современном этапе развития получила широкое применение в медицинской практике и стала неотъемлемой частью диагностических исследований органов и систем при изучении их патологических изменений в анатомическом и молекулярном форматах [3,6,7]. Точное распознавание, определение характера многих заболеваний, особенно на ранних стадиях патологического процесса, оценка эф-фективности лечения стали возможными в настоящее время на основе КТ исследования. Чувствительность и точность КТ и МРТ в диагностике заболеваний многих органов превышает возможности других инструментальных методов исследования и состав-ляет более 90% [1,6,7]. Спиральное компьютерно-томографическое исследование с контрастированием позволяет определить васкуляризацию опухоли, а также может иметь дифференциальное диагностическое значение в определении морфопатии опу-холи. Одним из преимуществ КТ является возможность определения денситометрических показателей и,тем самым, проведение дифференциальной диа-гностики между различными объемными процесса-ми, особенно с использованием эффекта контрастно-го усиления изображения [4,5].
Целью настоящего исследования является оценка компьютерно-томографической характеристики при контрастусиленной КТ и определение васкуля- ризации опухоли.
Материал и методы
Нами проведен ретроспективный анализ ре-зультатов 27 КТ исследований, выполненных в Ме-дицинском центре “Наири” в 2008г. КТ исследования выполнялись на томографе Somatom Cardiac Sensation 64, Siemens, Германия. Во всех случаях проводилось болюсное контрастирование с внутри-венным введением препарата Омнипак в обьеме 5070 мл. Все больные прошли предварительно ультра-звуковое исследование на аппарате Siemens Sonoline 730. Возраст пациентов от 25 до 80 лет. Исследования выполнялись в плановом и неотложном порядке пациентам, находящимся на стационарном и амбулаторном лечении.
Гепатоцеллюлярная карцинома диагностирова-лась при комплексном ультразвуковом компьютерно-томографическом и морфологическом исследованиях у 27 больных с анамнезом и вирусологически под-твержденным хроническим вирусным гепатитом В и С.
Результаты исследования
КТ характеристика гепатоцеллюлярных карцином выглядела как неоднородная структура неправильной формы с нечеткими неоднородными контурами, с кальцинатами и некрозированными участка-ми, с радиарно направленными стромальными тяжами.
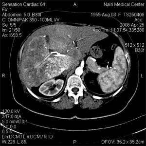
Большие ГЦР экспансивного типа имели четкие контуры, наблюдалось инкапсулирование и внутренняя мозаичная структура. Опухоли инфильтративно- го типа были часто сегментарные, гетерогенные и нечетко очерчены. Диффузный тип ГЦК наименее частый и проявлялся многочисленными мелкими узелками, рассеянными по печени. Более крупные гиперваскулярные опухоли часто были гетерогенными вседствие некроза и кровоизлияний (рис.1). При многослойной СКТ можно было обнаружить мелкие гиперваскулярные узелки. Гиповаскулярные узелки обнаруживались нередко и обычно представляли собой раннюю стадию, они лучше всего были видны без в/в контрастирования и не усиливались или слабо усиливались в артериальной фазе.
Рис.1 Гетерогенная ГЦК с участками некроза и кровоизлияний в нативной фазе
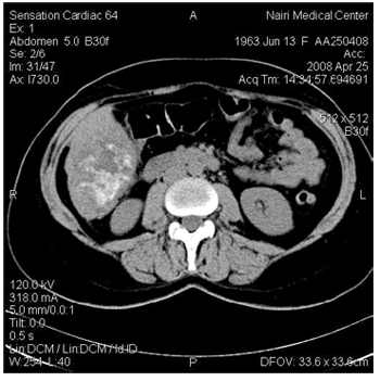
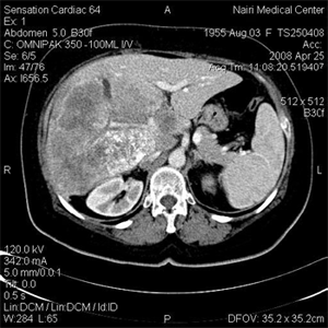
Многослойная КТ с тонкими срезами обычно позволяет решить такие проблемы при поражениях размером более 3-4мм, но может создать новые проблемы, отображая еще более мелкие очаги поражения. Однако сканирование в интерстициальной фазе позволило надежно отличить мелкие кисты от гиперваскулярных опухолей, так как последние в этой фазе выглядят изоденсивными [1.2]. После контрастирования может наблюдаться псевдоусиление (до 10 HU) вследствие частичного обьемного усреднения с окружающей печеночной тканью. Перибилли- арные кисты были множетственные и располагались в воротах печени. У 6 больных при КТ с контрастированием наблюдалось ослабленное кровоснабжение в артериальной фазе, по сравнению с окружающей печеночной тканью. В тех случаях, когда доминировала узловая КТ характеристика опухоли, центральная часть опухоли была гиперденсной, а пери-ферическая область - гиподенсной, как в замедленной (поздняя фаза, фаза вымывания) фазе (рис.2), так и в артериальной фазе (рис.3).
Рис. 2. Контрастусиленная КТ в венозной фазе: многоузловая ГЦК с гиперваскулярной структурой
Рис. 3. Контрастусиленная КТ в артериальной фазе: многоузловая ГЦК с гиперваскулярной структурой
Выводы
- Контрастусиленное КТ исследование имеет большую диагностическую значимость по сравнению с КТ без контрастирования у больных с гепатоцеллюлярной карциномой.
- Определение васкуляризации опухоли в различных фазах с помощью контрастусиленной КТ позволяет выявить гипо- и гиперденсные узелки, и конверсию ослабления внутри опухоли.
Список литературы
- Бабий Я.С., Виничук С.М., Ялынская Т.А. Укр. медичний часопис. 2005.1/45, с.106-111.
- Васильев А.Ю., Бахтиозин Р.Ф., Буланова Т.В. Рос.журнал гастроэнтерологии, гепатологии, колопроктологии. 2003.1. с.11-17.
- Габуния Р.И., Колесникова Е.К. Компьютерная томография в клинической диагностике. Москва. Медицина. 1995. 257 с.
- Матиас Прокоп, Михаэль Галански. Спиральная и многослойная компьютерная томография. Учебное пособие в двух томах. Москва. МЕД пресс – информ.2006. 413 с.
- Рогожин В.А., Розенфельд Л.Г., Пилипенко Н.П.Ж.АМН Украины. 2004.10(4). с.700-715.
- Терновой С.К., Синицын В.Е. Спиральная компьютерная и электронно-лучевая ангиография. Москва. Видар. 1998.144 с.
- Холин А.В. Магнитно-резонансная томография при заболеваниях центральной нервной системы. Руководство для врачей. Санкт-Петербург. Гиппократ.2000.191с.
27.10.2010 Читайте также
Среди лицевых травм частота перломов костей средней зоны лица составляет 32,6% (переломы верхней челюсти - 5,5%, скуловой кости и дуги - 16,7%, костей носа - 6,8%, множественные травмы обеих челюстей - 3,6%) [13]...
29.10.2010 Активные формы кислорода (АФК), которые при повышенных концентрациях на клеточном уровне проявляют токсическое воздейстие и являются вторичными мессенджерами транскрипции различных генов...
28.10.2010 Подавляющее большинство всех живых организмов, составляющих сложные экологические системфы, в своей жизнедеятельности не могут обходиться без потребления кислорода...
26.10.2010 Введение
Лечение гнойных ран и профилактика осложнений относятся к числу актуальных проблем как общей, так и детской хирургии. Широко применяемая антибактериальная терапия часто оказывается неэффективной...
25.10.2010 Abstract. Background and objective: dimensional changes of impression materials after using disinfectants are one of the mailn problems in dentistry which caused some changes in integrity restoration and as a result failure of treatment...
22.10.2010 В настоящее время, в большинстве стран мира, наблюдается интенсивное внедрение лазерного излучения в биологические исследования и в практическую медицину. Уникальные свойства лазерного луча открыли широкие возможности его применения в различных областях: хирургии...
21.10.2010 Abstract. Back ground and purpose. The ability of a dowel-and-core restoration to survive masticatory forces and remain firmly sealed depends on retention of FRC to core material. If either the dowel and/or the core material fails, the crown will ultimately fail...
20.10.2010 Abstract. Back ground and purpose. The ability of a dowel-and-core restoration to survive masticatory forces and remain firmly sealed depends on retention of FRC to core material. If either the dowel and/or the core material fails,the crown will ultimately fail...
19.10.2010 Актуальным направлением научных исследований в области стоматологии является объективизация состояния твердых и мягких тканей полости рта с использованием методов, которые могут быть применены в клинической практике для диагностики...
18.10.2010 Диабетическая полинейропатия (ДИН) является одним из наиболее распространенных осложнений сахарного диабета (СД). Ио данным зарубежной и отечественной медицинской научной литературы распространенность ДИН составляет от 35 до 90% у пациентов с СД...
15.10.2010 К развитию патологии в тканях пародонта могут привести различные причины. Среди них отмечаются аномалии прикуса и отдельных зубов, что приводит к перегрузке пародонта и способствует частому возникновению патологического процесса в тканях (Хамитова Н.Х., 1999; Фомина О.Л., 2002)...
14.10.2010 Актуальность проблемы. Диабетическая полинейропатия (ДИН) является одним из наиболее распространенных осложнений сахарного диабета (СД). Ио данным зарубежной и отечественной медицинской научной литературы распространенность ДИН составляет от 0,1 до 55% у пациентов с СД...
13.10.2010 Нами было изучено влияние 120 факторов риска и более 350 их градаций на частоту заболеваний у детей дома ребенка. Более 50% (63 из 120) изученных факторов риска оказывали статистически достоверное влияние на частоту заболеваний у детей (Р‹0,05)...
12.10.2010 Актуальность проблемы
Попытка избежать радикального препарирования опорных зубов под традиционные мостовидные протезы привела к созданию адгезивных мостовидных протезов (АМП) [3]...
11.10.2010
Warning: mysqli::query(): (HY000/1): Can't create/write to file '/var/tmp/MYpZTAYQ' (Errcode: 28 - No space left on device) in /sites/med-practic.com/classes/DatabaseManager_2.1.php on line 1381
Fatal error: Uncaught Error: Call to a member function fetch_assoc() on bool in /sites/med-practic.com/classes/DatabaseManager_2.1.php:1384 Stack trace: #0 /sites/med-practic.com/classes/article_class.php(102): TableManager->querySelectClassic('SELECT a.id, a....', Array) #1 /sites/med-practic.com/includes/include_footer_amen_kard_hod.php(5): Article->SelectAmenakardacvatsArticles(2) #2 /sites/med-practic.com/includes/include_bottom.php(9): require_once('/sites/med-prac...') #3 /sites/med-practic.com/bottom.php(7): require_once('/sites/med-prac...') #4 /sites/med-practic.com/article_more.php(151): require_once('/sites/med-prac...') #5 {main} thrown in /sites/med-practic.com/classes/DatabaseManager_2.1.php on line 1384















Научная медицина
Болезни
Традиционная медицина
Здоровый образ жизни
Косметология
Медицинское право
Алгоритмы, тесты
Цифры, факты, случаи
Историческая хроника
Афоризмы
Карьерная лестница
Дети
Женщина
Мужчина
Рейтинговая система


