Вопросы теоретической и клинической медицины 3.2010
Лечение травматических гаиморитов с применением мембраны из пчелиного воска
Среди лицевых травм частота перломов костей средней зоны лица составляет 32,6% (переломы верхней челюсти - 5,5%, скуловой кости и дуги - 16,7%, костей носа - 6,8%, множественные травмы обеих челюстей - 3,6%) [13]. Скуловая кость находится в непосредственной близости от верхнечелюстного синуса, поэтому ее смещение при переломе приводит к нарушению целостности стенок верхнечелюстной пазухи [14]. Переломы стенок глазницы у больных с повреждением лицевого скелета встречаются в 2080% наблюдений, причем они неизбежно сочетаются с повреждениями околоносовых пазух [15]. При анализе частоты и характера поражений ЛОР органов с тяжелыми контузиями глазницы выявлено повреждение верхнечелюстной пазухи в 77% случаев [11]. По данным В. А.Бельченко и Г.Н.Рыбальченко [2] повреждения дна глазницы - верхней стенки гайморовой пазухи, при изолированных повреждениях скулоглазничного комплекса, составляют 100%. Среди повреждений других костей лицевого скелета повреждения верхней челюсти составляют 3-4% [18]. Все переломы верхней челюсти принято считать открытыми и первично инфицированными, так как они сообщаются с придаточными пазухами носа и носовой полостью, причем верхнечелюстной синус повреждается в 100% случаев [18]. При огнестрельных ранениях лицевого скелета верхнечелюстные пазухи (ВЧП) травмируются в 66-72%[6], а по данным K.Раре [23] переломы стенок гайморовой пазухи являются характерными практически для всех повреждений средней зоны лицевого черепа. Сохраняется большой процент осложнений (11-22%), требующих длительного стационарного и амбулаторного лечения, с дополнительными экономическими затратами [1,10,19].
Таким образом, большинство литературных данных свидетельствуют о том, что при переломах костей средней зоны лица различной этиологии повреждения стенок верхнечелюстного синуса встречаются в подавляющем большинстве случаев [3,4,9,18,23]. Исходя из вышеуказанного, можно утверждать, что нарушение целостности верхнечелюстного синуса является широко распространенной самостоятельной патологией, сопровождаю-щей, в силу особенностей анатомического строения, различные типы переломов костей скуло-орбито- верхнечелюстного комплекса. Однако, в тактике лечения больных с травматическими повреждениями костей средней зоны лица, данная нозология часто отодвигается на второй план, а то и вовсе не учитывается.
Наличие гемосинуса при переломах костей средней зоны лица и образование кровяного сгустка всегда приводят к его нагноению, поэтому воз-можность развития травматического гайморита весьма велика [18]. В своих исследованиях M.Adgerton [20] и J.Fain et Я1. [22] отмечают значительную вероятность инфицирования верхнечелюстного синуса, поскольку в 20% случаев, даже в клинически здоровом синусе, имеется бактериальный рост. Наличие же микрофлоры при травме гайморовой пазухи, по данным Ф.И.Тарасовой [17], выявлено почти во всех исследованиях. Н.А.Рабухина и соавт. [16], при об-следовании больных с посттравматическими дефор-мациями средней и верхней трети лицевого черепа, обнаружили выраженные воспалительные изменения в ВЧП в 38% случаев. А.П. Лобатый [12] установил, что репозиция и фиксация костей средней зоны лицевого черепа, без ревизии ВЧП, сопровождались развитием посттравматического верхнечелюстного синусита у 14,6% пострадавших и даже после ре-визии он составлял 8,7%. Риск развития травматиче-ского остеомиелита, по мнению В.М.Гневшевой [5], колеблется в пределах от 1,7 до 15,6%. Факт развития травматического гайморита установлен также в эксперименте на крысах. Едранов С.С. [7], в результате проведенных морфологических и гистологических исследований выявил, что травматическое повреждение стенки ВЧП вызывает в выстилающей ее слизистой оболочке альтеративно-экссудативное воспаление, наиболее выраженное в зонах, непосредственно прилегающих к линии перелома. Перелом костных стенок ВЧП приводит к развитию острого посттравматического синусита, который незбежно переходит в хроническую форму воспаления. Недооценка этих факторов, как правило влечет за собой ошибки в диагностике и лечении больных с травмой средней зоны лица, что приводит к грубым деформациям и функциональным нарушениям [12,17,18,20,21].
Согласно этому, очевидна необходимость углубленного изучения проблемы травматических повреждений ВЧП в организационном плане и в совершенствовании лечебной тактики на различных этапах медицинской реабилитации, позволяющая повысить положительные исходы, получить более высокие функциональные и эстетические результаты, сократить сроки реабилитации больных.
Целью настоящего исследования явилась клиническая апробация мембраны из пчелиного воска при травматических гайморитах.
Материал и методы исследования
Под нашим наблюдением находились 69 больных с переломами скуловых костей и дуг, верхней челюсти, в возрасте от 18 до 56 лет, из них 62 мужчин, 7 женщин. Наиболее часто больные госпитализировались по поводу переломов скуловых костей (82,6%). Было выявлено 12 случаев переломов верхней челюсти (17,4%). По нашим материалам левая скуловая кость и дуга повреждаются в 2,6 раза чаще, чем правая. Сроки поступления больных, получивших травму были таковыми: в первые 3 суток поступили 25 больных, от 4 до 10 суток -10, позже 10 суток -12, только 30 больных поступили в первый день после травмы. Среди больных с переломами скуловых костей и верхней челюсти большинство (73,9%) составляли лица в возрасте от 21 до 40 лет (табл 1)
Таблица 1
|
Возраст больных |
Абсолютное число (%) |
|
до 20 лет |
4 (5,8%) |
|
21-30 лет |
20 (29,0%) |
|
31-40 лет |
31 (44,9%) |
|
41-50 лет |
11 (15,9%) |
|
51 и более |
3 (4,4%) |
Распределение больных с переломами скуловых костей и дуг, верхней челюсти по возрастным группам
Травматический гайморит нами диагностирован у 12 (17,4%) больных. У 8 больных, после перелома скуловой кости или верхней челюсти, развился острый гайморит, а в 4 случаях посттравматическая деформация средней зоны лица и хронический трав-матический гайморит. Вправление отломков и их закрепление в правильном положении осуществляли преимущественно внеротовым доступом, с применением крючка Лимберга. Для местного обезболивания, при оперативных вмешательствах по поводу переломов скуловых костей и дуг, использовали инфильтрацию крылонебной и подвисочной ямок для выключения второй ветви тройничного нерва по методике Л.В.Вишневского, либо местную инфильтрационную анестезию, вводя 10-15мл. 1% раствора лидокаина вокруг перелома скуловой дуги. Внутриротовой доступ применяли в пяти случаях, при переломах скуловой кости с мелкооскольчатым повреждением стенок ВЧП, дважды при переломах скуловой кости и дуги, при множественных оскольчатых пере-ломах дуг и в трех случаях, когда была показана ре-визия ВЧП.
Для ревизии передней стенки ВЧП производили разрез от бокового резца до второго моляра. После отслойки слизисто-надкостничного лоскута осво-бождали ущемленные между отломками мягкие тка-ни. С помощью лопатки Буяльского или ретрактора вправляли скуловую кость в правильное положение. Затем из пазухи удаляли мелкие свободнолежащие костные отломки и сгустки крови. Отломки дна глазницы вправляли указательным пальцем, введеным в пазуху. После санации пазухи формировали соустье через нижний носовой ход. Далее увлажненный в вазелиновом масле йодоформеный тампон туго вводили в пазуху. Образованный дефект передней стенки ВЧП закрывали мембраной из пчелиного воска, на который укладывали костные фрагменты передней стенки ВЧП, после их обработки в физиологическом растворе с антибиотиком, или на мембрану укладывали аллогенный деминерализованный костный ма-трикс (АДКМ). Рану зашивали узловыми швами. Тампон удаляли на 8-10 день после операции.
В 10 случаях, помимо ревизии ВЧП, производили остеосинтез скуловой кости костными швами. В качестве шовного материала использовали титановую проволку диаметром 0,4мм. В послеоперационном периоде, с целью предупреждения вторичного смещения косных фрагментов, больным рекомендовали спать на неповрежденной стороне лица, ограничить открывание рта, запретили разжевывать твердую пищу. При переломах верхней челюсти, после репозиции смещенных отломков, их фиксировали методом Фальтина-Адамса. При переломах скуловых костей, верхней челюсти различной локализации, когда больные своевременно не обращаются к специалистам, часто происходит неправильное сращение сместившихся отломков. Это может произой-ти также при неправильной иммобилизации. Пост-травматические деформации скуловых костей могут быть изолированными или сочетаться с деформациами носа и верхней челюсти. В таких случаях нами предприняты восстановительные операции для восстановления нарушенных функций и внешнего вида больного.
Для устранения деформаций скулоорбитальной области, связанных с грубым смещением отломков скуловых костей в различных направлениях, применяли метод перемещения отломков скуловой кости и их установления в правильном анатомотопографическом положении. Для достижения этой цели производили разрез в трех местах: в области наружнего угла глазницы размером 2,5-3см., в подглазничной области - 2,5см., в области скуловой дуги - 1-1,5см., освобождали скуловую кость от рубцовой контракруры и фиссурным бором разъединяли участки консолидации костных фрагментов. Затем производили репозицию и иммобилизацию скуловой кости, устанавливая ее в правильном анатомо- топографическом положении, фиксацию тремя проволочными швами в области наружней стенки глазницы, нижнего края глазницы и скуловой дуги. Рану ушивали послойно, на кожу накладывали швы из полиамидной нити 5,0.
При хроническом травматическом гайморите производили радикальную операцию на ВЧП. При этом, после удаления передней стенки пазухи или освобождения от рубцов и костных осколков, иссекали рубцовые и фиброзно измененные ткани, заполняющие пазуху, удаляли осколки костей, инородные тела. Отдельные полости соединяли в единную полость и накладывали широкое соустье между верхнечелюстной пазухой и нижним носовым ходом. Удаляли полипозно перерожденные участки слизистой оболочки пазухи. После промывания и высушивания, полость заполняли йодоформным тампоном, смоченным вазелиновым маслом, конец которого выводили наружу через соустье и укладывали в нижний носовой ход. Дефект передней стенки пазухи закрывали мембраной из пчелиного воска, на которую накладывали костные фрагменты передней стенки пазухи или АДКМ. Рану слизистой оболочки в полости рта зашивали наглухо. Всем больным в послеоперационном периоде вводился антибиотик широкого спектра в течение 5-и дней.
Результаты и обсуждение
Наблюдения за больными после операции гайморотомии, по нашей модификации, показали, что в течение 2-3 дней наблюдалась небольшая отечность мягких тканей в области соответствующей половины средней зоны лица, субфебрильное повышение температуры. Указанные явления постепенно исчезали в течение недели. Отсутствие чувствительности в области десны и соответствующей половины зубов верхней челюсти, которое наблюдалось после гайморотомии, постепенно исчезали. Отдаленные результаты прослежены у 8-и больных в сроки от 6 мес. до 2,5лет. Случаи рецедивов гайморита не были отмечены.
Для иллюстрации приводим следущее наблюдение.
Больной К., 29лет. поступил в челюстно-лицевое отделение МЦ Канакер-Зейтун 22.09.09. с жалобами на деформацию средней зоны лица справа, затрудненное носовое дыхание, закладывание носа, нарушение чувствительности кожи подглазничной области, верхней губы, крыла носа, нарушение обоня-ния. 4 месяца назад получил травму, по поводу чего была произведена репозиция правой скуловой кости. Однако результаты лечения были неудовлетворительными. При поступлении в клинику лицо больного ассиметрично за счет западения скуловой кости и нижнего края глазницы справа и смещения правой половины носовых костей (рис.1а).
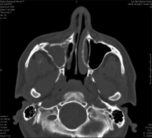
Рис 1. а. Больной до операции.б. КТ лицевого черепа.
Рис 2. КТ верхнечелюстной пазухи
Кожа данной области без видимых изменений. Открывание рта свободное. Слизистая оболочка в области преддверия полости рта справа без изменений. На КТ снимке виден застарелый перелом правой скуловой кости со смещением отломков, носовых костей и передней стенки ВЧП справа (рис.1б), картина хронического травматического гайморита (рис.2).
23.09.09 под общим обезболиванием произве-дена рефрактура неправильно сросшихся костных фрагментов, контурная пластика подглазничной области справа, ревизия гайморовой пазухи с пластикой передней стенки ВЧП. Произведен разрез мягких тканей, начиная с нижнего наружного края глазницы до носовой кости справа, далее, меняя направление разреза вниз, до наружного носового прохода справа (рис. 3.1). Ткани рассекали послойно до кости с помощью распатора, обнажали нижний край глазницы и переднюю стенку ВЧП (рис.3.2).
Обнаружили неправильно сросшиеся костные от-ломки, которые освободили от мягких тканей (рис.3.3), вскрыли переднюю стенку ВЧП (гис.3.4), произвели ревизию ВЧП, удалили инородные тела и патологические грануляционные ткани. Полость ВЧП промыли антисептическими растворами, соз-дали соустье между ВЧП и нижним носовым ходом. Произвели репозицию и фиксацию костных отломков костным швом (рис.3.5), нижний край глазницы восстановили АДКМ (рис.3.6), произвели тампонаду ВЧП. Дефект передней стенки ВЧП восстановили фрагментом кости передней стенки ВЧП (рис.3.7), который фиксировали на мембрану из пчелиного воска (рис.3.8). Костный фрагмент с пчелиным воском укладывали на дефект передней стенки ВЧП (рис.3.9). Мягкие ткани подглазничной области укладывали на свои места и прошивали узловыми швами полиамидной нитью 5,0, которые удаляли на 8-е сутки после операции (рис. 3.10).
Рис. 3. Этапы контурной пластики подглазничной области, ревизии правой гайморовой пазухи с пластикой передней стенки ВЧП.
1.линия разреза; 2. нижний край глазницы и передняя стенка ВЧП; 3. освобождение неправильно сросшихся костных фрагментов передней стенки ВЧП; 4. вскрытие передней стенки ВЧП; 5. репозиция и фиксация костных отломков костным швом; 6. восстановление нижнего края глазницы АДКМ-ом; 7. создание соустья между ВЧП и нижним носовым ходом; 8. костный фрагмент передней стенки ВЧП; 9. мембрана из пчелиного воска с костным фрагментом ВЧП; 10. тампонада ВЧП; 11. закрытие дефекта передней стенки ВЧП мембраной из пчелиного воска с костным фрагментом ВЧП; 12. мягкие ткани подглазничной области, уложенные на свое место и прошитые узловыми швами.
Больной К. через 3 месяца после операции жа-лоб не предъявляет, видна линия разреза после опе-ративного вмешательства (рис 4А). Прозрачность правой гайморовой пазухи почти идентична с левой (рис. 4Б).
Рис 4.
А. Больной К. чере 3 месяца после операции.
Б. Рентгенограмма в носо-подбородочной проекции.
Таким образом, причинами травматического гайморита являются неудовлетворительная диагно-стика и ошибки при проведении оперативного лечения больных с повреждениями средней зоны лица. Острый гайморит и тем более хронический верх-нечелюстной синусит у таких больных развивается лишь в тех случаях, когда в пазухе смещаются и остаются там костные отломки и осколки [19]. Для предупреждения развития травматического гайморита необходимо произведение ревизии ВЧП, удаление свободнолежащих костных отломков и сгустков крови. При хроническом травматическом гайморите необходимо освобождение отломков от окружающих рубцов и костных спаек, возможность их свободного перемещения в их топографических границах, надежная фиксация с помощью остеосинтеза, вскрытие и дренирование воспалительных очагов, удаление патологически измененных тканей. Результаты наших исследований показали высокую эффективность применения мембраны из пчелиного воска при операциях гайморотомиях, обусловленных повреж-дением средней зоны лица и травматическим гайморитом. Мембрана защищает аутотрансплантат и аллотрансплантат от инфицирования со стороны пазухи и является опорой для костных фрагментов передней стенки ВЧП.
Своевременная диагностика повреждения стенок гайморовых пазух и ревизия пазух при повреждениях средней зоны лица, адекватное хирургическое вмешательство и медикоментозное лечение могут предотвратить развитие возможных осложнений, в том числе травматического гайморита.
Список литературы
- Александров Н.М., Аржанцев П.З. Травмы челюстно-лицевой области. М.:Медицина, 1986. 448с.
- Бельченко В.А., Рыбальченко Г.Н. Новое в стоматологии. 2001.5. с.21-23.
- Бутюкова В.А. Клиника, диагностика и лечение травм глазницы мирного времени. Метод, рекомендации. М.,1979.16с.
- Бутюкова В.А. Травмы глазницы мирного времени.Автореф. дисс. д-ра мед. наук. М., 1977. 24с.
- Гневшева В.М. Клиника и лечение при переломах скуловой кости и дуги. Автореф. дисс. канд. мед. наук.Иркутск,1968.18с.
- Добромыльский Ф.И., Щербатов И.И. Придаточные пазухи носа и их связь с заболеваниями глазницы. М.МЕДГИЗ, 1955. 260с.
- Едранов С.С. Структурные изменения слизистой оболочки верхнечелюстного синуса при его механической травме. Дисс. канд. мед. наук. Владивостк, 2005.125с.
- Едранов С.С. Некоторые вопросы научной и практической медицины. Владивосток, 2005. с.30-32.
- Зуев В.П., Гусев Э.П. Стоматология. 1988. 3. с.63-65.
- Кабаков Б.Д., Малышев В.А. Перломы челюстей. М.,1981.176с.
- Киселев А.С. и соавт. Рос. Ринология. 1997. 1. с.32-35.
- Лобатый А.П. Новые технологии хирургического лечения повреждений скулового комплекса. Автореф.дисс. канд. мед. наук. Новосибирск, 1998. 22с.
- Малышев В.А. Травмы челюстно-лицевой области.М., 1986. с.12-13.
- Николаев М.П. О Вестн. оториноларингологии.1999.1.с.28-30.
- Панина О.Л. Сочетанная тяжелая травма глазницы.Автореф. дисс. канд. мед. наук. Л., 1986.23с.
- Рабухина Н.А. и соавт. Стоматология. Спец. вып. М.,1996. с.73.
- Тарасова Ф.И. Клиника, диагностика и лечение скуловерхнечелюстных переломов. Автореф. дисс.канд.мед. наук.Омск, 1983. 20с.
- Трунин Д.А. Травмы средней зоны лица. Сам.ГМУ,2001.164с.
- Швырков М.Б, Афанасьев В.В., Стародубцев В.С. Неогнестрельные переломы челюстей. М. Медицина,1999. 336с.
- Adgerton M. Plast. Reconstr. Surg. 1981.Vol. 67, N2.P.121-138
- Conover G.L., Crammond R.Z. J. Oral max-fac. Surg.1985.Vol.43, N4.P.292-294
- Fain J. et al. J. Oral max-fac. Surg. 1981.Vol. 9, N3. P.188-193
- Pape K. Traumatologie und Kifer-gesichts- bezeich. Leipzig,1969. S.345-361
29.10.2010 Читайте также
Активные формы кислорода (АФК), которые при повышенных концентрациях на клеточном уровне проявляют токсическое воздейстие и являются вторичными мессенджерами транскрипции различных генов...
28.10.2010 Среди лучевых методов диагностики особое место занимает компьютерная томография (КТ), которaя на современном этапе развития получила широкое применение в медицинской практике...
27.10.2010 Подавляющее большинство всех живых организмов, составляющих сложные экологические системфы, в своей жизнедеятельности не могут обходиться без потребления кислорода...
26.10.2010 Введение
Лечение гнойных ран и профилактика осложнений относятся к числу актуальных проблем как общей, так и детской хирургии. Широко применяемая антибактериальная терапия часто оказывается неэффективной...
25.10.2010 Abstract. Background and objective: dimensional changes of impression materials after using disinfectants are one of the mailn problems in dentistry which caused some changes in integrity restoration and as a result failure of treatment...
22.10.2010 В настоящее время, в большинстве стран мира, наблюдается интенсивное внедрение лазерного излучения в биологические исследования и в практическую медицину. Уникальные свойства лазерного луча открыли широкие возможности его применения в различных областях: хирургии...
21.10.2010 Abstract. Back ground and purpose. The ability of a dowel-and-core restoration to survive masticatory forces and remain firmly sealed depends on retention of FRC to core material. If either the dowel and/or the core material fails, the crown will ultimately fail...
20.10.2010 Abstract. Back ground and purpose. The ability of a dowel-and-core restoration to survive masticatory forces and remain firmly sealed depends on retention of FRC to core material. If either the dowel and/or the core material fails,the crown will ultimately fail...
19.10.2010 Актуальным направлением научных исследований в области стоматологии является объективизация состояния твердых и мягких тканей полости рта с использованием методов, которые могут быть применены в клинической практике для диагностики...
18.10.2010 Диабетическая полинейропатия (ДИН) является одним из наиболее распространенных осложнений сахарного диабета (СД). Ио данным зарубежной и отечественной медицинской научной литературы распространенность ДИН составляет от 35 до 90% у пациентов с СД...
15.10.2010 К развитию патологии в тканях пародонта могут привести различные причины. Среди них отмечаются аномалии прикуса и отдельных зубов, что приводит к перегрузке пародонта и способствует частому возникновению патологического процесса в тканях (Хамитова Н.Х., 1999; Фомина О.Л., 2002)...
14.10.2010 Актуальность проблемы. Диабетическая полинейропатия (ДИН) является одним из наиболее распространенных осложнений сахарного диабета (СД). Ио данным зарубежной и отечественной медицинской научной литературы распространенность ДИН составляет от 0,1 до 55% у пациентов с СД...
13.10.2010 Нами было изучено влияние 120 факторов риска и более 350 их градаций на частоту заболеваний у детей дома ребенка. Более 50% (63 из 120) изученных факторов риска оказывали статистически достоверное влияние на частоту заболеваний у детей (Р‹0,05)...
12.10.2010 Актуальность проблемы
Попытка избежать радикального препарирования опорных зубов под традиционные мостовидные протезы привела к созданию адгезивных мостовидных протезов (АМП) [3]...
11.10.2010
Warning: mysqli::query(): (HY000/1): Can't create/write to file '/var/tmp/MYaEPxAJ' (Errcode: 28 - No space left on device) in /sites/med-practic.com/classes/DatabaseManager_2.1.php on line 1381
Fatal error: Uncaught Error: Call to a member function fetch_assoc() on bool in /sites/med-practic.com/classes/DatabaseManager_2.1.php:1384 Stack trace: #0 /sites/med-practic.com/classes/article_class.php(102): TableManager->querySelectClassic('SELECT a.id, a....', Array) #1 /sites/med-practic.com/includes/include_footer_amen_kard_hod.php(5): Article->SelectAmenakardacvatsArticles(2) #2 /sites/med-practic.com/includes/include_bottom.php(9): require_once('/sites/med-prac...') #3 /sites/med-practic.com/bottom.php(7): require_once('/sites/med-prac...') #4 /sites/med-practic.com/article_more.php(151): require_once('/sites/med-prac...') #5 {main} thrown in /sites/med-practic.com/classes/DatabaseManager_2.1.php on line 1384















Научная медицина
Болезни
Традиционная медицина
Здоровый образ жизни
Косметология
Медицинское право
Алгоритмы, тесты
Цифры, факты, случаи
Историческая хроника
Афоризмы
Карьерная лестница
Дети
Женщина
Мужчина
Рейтинговая система





