Вопросы теоретической и клинической медицины 1.2010
Морфо-функциональная характеристика органов иммуннои системы в условиях иммобилизационного стресса
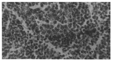
Известно, что стресс вызывает грубые изменения в органах иммунной системы. При этом, отмечаются выраженные структурные изменения в центральных и периферических органах иммуногенеза. Иммобилизационный стресс, как разновидность стресса, также вызывает морфо-функциональные изменения в исследуемых органах [1]. Важной функцией селезенки является участие в антителогенезе. Вместе с тем, селезенка является защитным органом, участвующим в процессах элиминации разрушенных эритроцитов и тромбоцитов, функционируя как своеобразный иммунологический фильтр кровотока. После иммобилизационного стресса в лимфатических фолликулах (белая пульпа) обнаруживаются изменения. Границы фолликул нечеткие, размеры уменьшены (рис.1).
Рис.1. Селезенка, нечеткие границы белой пульпы. Окраска гематоксилин-эозином, об. 20x10
Во всех фолликулах выявляются макрофаги, лимфобласты. При этом, в цитоплазме часто выявляется клеточный дендрит из разрушенных эритроцитов и других клеток. В паренхиме селезенки обнаруживается много лимфоцитов. На наш взгляд, иммобилизационный стресс вызывает в раннем периоде активацию иммунной системы организма. По структурным признакам были выявлены Т и В лимфоциты, которые концентрировались вокруг центральной артерии фолликул (Т-лимфоциты), а в фолликулах - В-лимфоциты. Т-лимфоциты отличались малым размером и малозаметной цитоплазмой.
В сосудах выраженное полнокровие и изменение строения эндотелия, который становится призматическим. Таким образом, в селезенке при иммобилизационном стрессе у подопытных животных имеет место гемостаз в кровеносных капилярах, а также обнаруживаются признаки активации реакции гуморального иммунитета. После трехдневного применения таурина в селезенке выявляются структурные признаки нормализации гистоструктуры органа в виде формирования фолликул с четко выраженными границами между белой и красной пульпой (рис.2).
Рис.2. Селезенка, формирования фолликул с четко выраженными границами между белой и красной пульпой. Окраска гематоксилин-эозином, об. 20x10
Основные структурно-функциональные изменения в селезенке при 5-и часовом иммобилизационном стрессе можно представить в виде следующих процессов: 1) деструкция клеточных элементов, преимущественно быстро пролиферирующих клеток- лимфоцитов, нейтрофилов, базофилов, а также стирание границ фолликул, 2) активация, трансформация и пролиферация лимфоретикулярной ткани с последующей плазматизацией и восстановлением границ фолликул.
После 5-и часовой иммобилизации корковое вещество долек тимуса представлено плотно прилегающими друг к другу лимфоцитами с круглыми ядрами содержащими крупные глыбки гетерохроматина и тонким ободком. Т-лимфоциты плотно прилежат друг к другу, контактируя своими плазмолеммами. Иногда среди них встречаются плазматические клетки. В норме в тимусе плазмоциты не встречаются, и выявленный признак свидетельствует о нарушении проницаемости гематотимусного барьера, в состав которого, как известно, входят эндотелиоциты стенки кровеносного капилляра, их непрерывная базальная мембрана, периваскулярное пространство, базальная мембрана эпителиоретикулоцита и его цитоплазма [2,3]. При изменении сосудов микроциркуляторного русла выявлены кровеносные капилляры с измененным эндотелием. Поверхность эндотелия содержит выросты, обнаруживаются участки истощения.
Таким образом, характер изменений в иммунокомпетентных органах селезенка, тимуса, в условиях иммобилизационного стресса обусловен непосредственным воздейстием фактора стресса на паренхиматозные и стромальные элементы. Кроме того, в данных экспериментальных условиях должно иметь место напряжение функционирования, а соответственно и более интенсивное изнашивание иммунокомпетентных клеток и компонентов стромы органа. При 3-х дневном применении таурина в дольках органа видны корковое и мозговое вещество. Отек и кровоизлияния отсутствуют, апоптотические тела не видны. Основной клеточный состав представлен Т-лимфоцитами, видны макрофаги. Просвет кровеносных капилляров зияет.
Таким образом, проведенные структурно-функциональные исследования селезенки и тимуса подопытных животных в условиях иммобилизационного стресса свидетельствуют о значительных изменениях в исследуемых органах. Вместе с тем, применение таурина в качестве корректора вызванных изменений дает основание предположить, что использованный препарат оказывает иммуномодулирующий эффект на указанные органы.
Список литературы
- Капитонова М.Ю., Загребин В.Д., Морозова З.Ч. Морфологические аспекты адаптации эндокринной системы к действию стресса в раннем постнатальном онтогенезе. Успехи современного естествознания, 2007, N1, с.63-64.
- Полякова В.О., Кветной И.М., Ярилин А.А. Нейроиммуноэндокринология тимуса. СПб., 2005.
- Gill J., Malin M., Hollander G. A., Boyd R. Nat. Immunol. 2002. Vol. 3, N 7,P. 635-642.
27.04.2010 Читайте также
По данным литературы, перфорации верхнечелюстной пазухи (ВЧП) в этиологии одонтогенных гайморитов занимают ведущее место - от 40 до 80% [1,2,4-6]. Патогенетическое лечение перфоративных гайморитов предполагает закрытие ороантрального сообщения дубликатурой слизистой оболочки...
30.04.2010 Как известно, иммобилизационный стресс является одним из тяжелых разновидностей стресса, который становится причиной возникновения раз-личных патологических состояний...
29.04.2010 В последние годы, в целях более успешного решения вопросов лечения и профилактики хронических заболеваний, во всем мире проводятся комплексные клинико-социальные исследования...
28.04.2010 Изменение формы и объема молочных желез субъективно или объективно может восприниматься женщиной как эстетический недостаток, а отсутствие груди - не только как физический недостаток...
26.04.2010 Актуальность темы. Болезни органов дыхания — одна из наиболее актуальных постнатальных проблем в педиатрии. К сожалению, распространенность бронхолегочной патологии у детей...
23.04.2010 Рак желудка остается одним из самых распространенных заболеваний в мире. Ежегодно в мире регистрируется почти 800 тысяч новых случаев и около 630 тысяч случаев смертей от этого заболевания...
22.04.2010 Введение
Понимание важности состояния мозгового кровообращения и возможности его регулирования стало обоснованеим для исследователей разных стран мира к проведению фундаментальных исследований церебральной гемодинамики при различных заболеваниях...
21.04.2010 У женщин репродуктивного возраста, страдаю-щих миомой матки, результаты исследования гормонального фона показали, что происходит существенное увеличение содержания гонадотропинов - ФСГ и ЛГ. Однако, при этом...
20.04.2010 Введение
Церебральный артериальный спазм (АС) является одним из грозных осложнений при заболеваниях головного мозга, сопровождающихся субарахноидальным кровоизлиянием (САК). По данным международного кооперативного исследования, это осложнение являлось ведущей причиной смерти...
19.04.2010 Маточные рецидивирующие кровотечения (меноррагии и метроррагии) на почве гиперплазии и полипов эндометрия, приводящие к анемии, часто становятся показанием к удалению матки...
16.04.2010 Стоматологическая имплантация позволяет повысить эффективность комплексного лечения больных с частичным и полным отсутствием зубов. На приживление имплантата влияет ряд факторов: особенности функционального состояния организма и обмена веществ...
15.04.2010 Состояние протеза, характеристика конструктивных и фиксирующих материалов имеет большое значение для оценки состояния слизистой оболочки полости рта, формирования микробиоценоза и развития кандидоза полости рта [2,3,4,7,8,19]. Доказано...
14.04.2010 Аутосомно-рецессивно наследуемая периодическая болезнь (ПБ) или Семейная средиземномор-ская лихорадка (Familial Mediterranean Fever - FMF: OMIM 249100) - архитипично-аутовоспалительное заболевание. Будучи исторически этническим для армянской популяции заболеванием...
13.04.2010
Warning: mysqli::query(): (HY000/1): Can't create/write to file '/var/tmp/MYIsYqIz' (Errcode: 28 - No space left on device) in /sites/med-practic.com/classes/DatabaseManager_2.1.php on line 1381
Fatal error: Uncaught Error: Call to a member function fetch_assoc() on bool in /sites/med-practic.com/classes/DatabaseManager_2.1.php:1384 Stack trace: #0 /sites/med-practic.com/classes/article_class.php(102): TableManager->querySelectClassic('SELECT a.id, a....', Array) #1 /sites/med-practic.com/includes/include_footer_amen_kard_hod.php(5): Article->SelectAmenakardacvatsArticles(2) #2 /sites/med-practic.com/includes/include_bottom.php(9): require_once('/sites/med-prac...') #3 /sites/med-practic.com/bottom.php(7): require_once('/sites/med-prac...') #4 /sites/med-practic.com/article_more.php(151): require_once('/sites/med-prac...') #5 {main} thrown in /sites/med-practic.com/classes/DatabaseManager_2.1.php on line 1384















Научная медицина
Болезни
Традиционная медицина
Здоровый образ жизни
Косметология
Медицинское право
Алгоритмы, тесты
Цифры, факты, случаи
Историческая хроника
Афоризмы
Карьерная лестница
Дети
Женщина
Мужчина
Рейтинговая система

