Вопросы теоретической и клинической медицины 1.2010
Новые способы пластики перфораций дна верхнечелюстной пазухи с применением мембраны из пчелиного воска и богатой тромбоцитами плазмы в комбинации с аллогенным костным матриксом
По данным литературы, перфорации верхнечелюстной пазухи (ВЧП) в этиологии одонтогенных гайморитов занимают ведущее место - от 40 до 80% [1,2,4-6]. Патогенетическое лечение перфоративных гайморитов предполагает закрытие ороантрального сообщения дубликатурой слизистой оболочки, с обеспечением оптимальных условий направленной костной регенерации [3]. В настоящее время известно много способов диагностики, пластического закрытия и реабилитации больных с перфорацией и инородными телами в верхнечелюстной пазухе (ВЧП) [1,5-11,14-16]. Однако данные литературы убеждают в том, что эта проблема до настоящего времени сохраняет актуальность. Существующие способы оперативного лечения больных с перфорацией и инородными телами в ВЧП не всегда обеспечивают благоприятный исход, часто возникают осложнения (в 32,4- 80,0%)[14].
Цель работы - клиническое обоснование применения мембраны из пчелиного воска и богатой тромбоцитами плазмы в комбинации с аллогенным костным матриксом при комплексном лечении перфоративных гайморитов.
Материал и методы исследования
Под нашим наблюдением находились 37 больных по поводу перфоративного гайморита (20 мужчин и 17 женщин в возрасте от 20 до 55 лет). Из общего числа больных у 28 (75,7%) наблюдалась перфорация дна ВЧП, у 19 (24,3%) -перфорация дна ВЧП и инородное тело (корень зуба) в синусе. К моменту обращения давность заболевания от 1-7 дней зарегистрирована у 11 (29,8%) больных, от 8 дней до месяца -у 9 (24,3%), до трех месяцев -у 8 (21,6%), более трех месяцев -у 9 (24,3%). По группам принадлежности зубов, удаление которых стало причиной перфорации дна ВЧП, распределялись следующим образом: первые моляры верхней челюсти (ВЧ) -16 (43,3%) наблюдений, вторые моляры ВЧ -9 (24,3%), третьи моляры ВЧ -3 (8,1%), первые премоляры ВЧ -3 (8,1%), вторые премоляры ВЧ -5 (13,5%), клыки ВЧ -1 (2,7%) наблюдений. Как видно, наиболее частыми причинами возникновения ороантрального сообщения являются удаления первых и вторых моляров ВЧ. Острое воспаление ВЧП наблюдалось у 6 (16,2%) больных, хроническое -у 23 (62,2%), неосложненная форма перфорации дна синуса зарегистрирована в 8 (21,6%) случаях. Больных обследовали по общепринятой схеме: изучали жалобы больного, историю болезни, проводили осмотр полости рта, рентгенологическое исследование придаточных пазух носа, рентгенограмму лунки удаленного зуба, а также общеклинические исследования.
Схема 1. Первый (А) и второй (Б) способы пластического закрытия ороантралъного сообщения:
1) слизистая оболочка ВЧП, 2) мембрана из пчелиного воска, 3) костная тканъ ВЧ и алъвеолярного отростка, 4) слизисто-надкостничный слой, 5) АДКМ в комбинации с БоТП
Мембрану толщиной 35-40 микрон изготовляли из пчелиного воска. Богатую тромбоцитами плазму (БоТП) мы получили по методике R. Marx, E. Carlson, R. Eichstaedt et al. [17]. Непосредственно в операционной, незадолго, до или в начале операции, проводили забор аутогенной крови через центральный венозный катетер. Количество необходимой крови для получения БоТП определяли с помощью составленной нами таблицы [12]. БоТП применяли в комбинации с размельченным аллогенным деминерализованным костным матриксом (АДКМ) в соотношении 1гр/мл. В тех случаях, когда перфорация дна ВЧП осложнялась острым гайморитом, проводилось промывание пазухи антисептическими растворами через зубную альвеолу, вводились в пазуху антибиотики и ферменты.
Схема 2. Третий способ пластического закрытия ороантралъного сообщения:
1) слизистая оболочка ВЧП, 2) мембрана из пчелиного воска, 3) костная тканъ ВЧ и алъвеолярного отростка, 4) слизисто-надкостничный слой, 5) АДКМ
Схема 3. Пластическое закрытие дефекта переднебоковой стенки ВЧП после радикальной гайморотомии с применением мембраны из пчелиного воска:
1) неизмененный участок слизистой оболочки ВЧП, 2) мембрана из пчелиного воска, 3) костная ткань ВЧ и альвеолярного отростка, 4) слизисто-надкостничный слой, 5) АКДМв комбинации с БоТП, 6) фрагмент костной ткани переднебоковой стенки ВЧП
Местно применялась УВЧ и лазерная терапия. Только после стихания острых явлений гайморита производилась пластика перфорационного отверстия. Способ оперативного закрытия перфорационного отверстия ВЧП был дифференцирован, с учетом давности перфорации, объема поражения слизистой оболочки синуса и особенностей лунки зуба. При свежих и неосложненных перфорациях мы мобилизовывали слизисто-надкостничный лоскут с вестибулярной стенки альвеолярного отростка. С целью мобилизации лоскута у основании рассекали надкостницу. При достаточно широком отверстии свища ВЧП формировали лоскут как с вестибулярной поверхности, так и на ножке с неба. Затем их состыковывали или создавали дубликатуру опрокидывающегося и небного лоскута. В зависимости от особенностей лунки, через которую образовалось сообщение с ВЧП, мы выбирали разные способы пластического закрытия свищевого хода.
Первый способ - если лунка зуба имела конусовидную форму, дно лунки корня зуба, которая сообщалась с ВЧП, закрывалось мембраной из пчелиного воска, далее лунка до уровня гребня альвеолярного отростка заполнялась размельченным аллогенным костным матриксом, в комбинации с БоТП (схема 1А).
Рис. 1. Рентгенограмма в носолобной проекции:
А) до операции, Б) через 3 месяца после операции
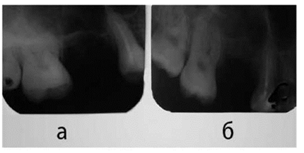
Рис. 2. Внутриротовая рентгенограмма альвеолярного отростка верхней челюсти справа:
а) до операции, б) через 3 месяца после операции
Второй способ - если отверстие на альвеолярном отростке было широким, высота альвеолярного отростка 5мм и более, в этом случае формировалась круглая мембрана, которая имела по бокам 2 ленточки. Круглая часть мембраны по своему размеру должна превышать размер отверстия примерно на 1-1,5мм. После формирования мембраны ее осторожно вводили в лунку до уровня дна лунки. Ленточкам придавали горизонтальное положение и пальцами левой руки плотно фиксировали по бокам отверстия. Свободное пространство до уровня гребня альвео-лярного отростка заполняли размельченным АДКМ в комбинации с БоТП (схема 1Б)
Третий способ - если высота альвеолярного отростка в области ороантрального сообщения менее 5мм, в этом случае сообщение закрывали мембраной, которая превышала размер дефекта на альвеолярном отростке на 4-5мм. На мембрану укладывали АДКМ, который по ширине и длине больше мембраны на 4-5мм или мембрану полностью покрывали слоем размельченного АДКМ в комбинации с БоТП толщиной 2-3мм (схема 2). Последнюю целесообразно использовать в тех случаях, когда имеется дефект альвеолярного отростка. Далее слизистонадкостничным лоскутом закрывали альвеолярный отросток в области лунки зуба и ушивали узловыми швами. Для наилучшей фиксации лоскута, кроме обычного ушивания тканей, следует наложить матрацный шов [10].
Четвертый способ - при диффузных полипоз- ных изменениях слизистой оболочки на значительной части стенок ВЧП, производили радикальную гайморотомию с пластическим закрытием дефекта на переднебоковой стенке ВЧП по нашей модификации (схема 3) [13] и пластикой ороантрального сообщения по одной из вышеописанных методик.
Результаты и обсуждение
По данным анализа результатов оперативного закрытия ороантрального сообщения по нашим модификациям и последующего комплексного лечения, у всех больных получен положительный результат. В течение первой недели после операции отмечена умеренная припухлость в области соответствующей стороны подглазничой области. В тех случаях, когда произведена также радикальная гайморотомия, наблюдалось также сукровичное отделяемое из носа. Операционные раны зажили первичным натяжением у 25 больных. У 2-х больных в раннем послеоперационном периоде произошло частичное расхождение швов, что мы связываем с недостаточной мобилизацией слизисто-надкостничного лоскута в пределах альвеолярного отростка верхней челюсти и тканей преддверия полости рта. В этих случаях не приходилось производить повторную операцию. Раны зажили вторичным натяжением. Швы удалялись на 7-9-ые сутки. Эффективность предлагаемых методик оценивали по клинико-рентгенологическим данным. Внутриротовую рентгенографию производили через 7 дней после операции, к концу первого месяца и через 3 и 6 месяцев. Первые рентгенологические признаки образования молодой кости в области перфорационного отверстия (лунка удаленного зуба) появляются к концу 1-ого месяца. Далее процесс регенерации продолжается, к концу 3-его месяца на месте имплантируемого матрикса в комбинации с БоТП
Рис.3. Этапы пластического закрытия ороантралного сообшения с радикальной гайморотомией:
3.1) лунка 13-ого зуба, 3.2)обнаженная переднебоковая стенка ВЧП, 3.3) формирование окна на переднобоковой стенке ВЧП, 3.4) окно на переднебоковой стенке ВЧП, 3.5) закрытие окна мембраной из пчелиного воска и костным фрагментом, 3.6) закрытие дна лунки мембраной из пчелиного воска, 3.7) заполнение лунки размельчённым АДКМ в комбинации с БоТП, 3.8) лунка зуба после закрытия слизистонадкостничным лоскутом и зашивания прослеживается органотипичная костная ткань. Для иллюстрации предложенного способа закрытия оро- антрального сообщения с применением мембраны из пчелиного воска приводим пример.
Больной Г. 20 лет, обратился в клинику с жалобами на наличие сообщения полости рта и носа после удаления 16-ого зуба 3 месяца назад. При объективном осмотре больного со стороны внутренних органов отклонений от нормы не выявлено. При осмотре полости рта выявлен свищевой ход в области лунки 16-ого зуба, через который ротовая полость сообщалась с гайморовой пазухой (рис 3.1). Выделение гноя из носа со стороны гайморовой пазухи не определялось. На рентгенограмме в носолобной проекции вы-являлось правостороннее затемнение ВЧП (рис 1А). На внутриротовой рентгенограмме альвеолярного отростка верхней челюсти справа лунка 16-ого зуба сообщается с ВЧП (рис 2а). На основании клиникорентгенологических исследований диагностирован правосторонний перфоративный гайморит. Под общим обезболиванием произведена радикальная опера-ция ВЧП, с пластическим закрытием ороантрального сообщения. Предварительно освежали края лунки 16-ого зуба, затем проводили радикальную гайморотомию.
После формирования слизисто-надкостничного щечно-десневого лоскута по Нейману-Заславскому и обнажения переднебоковой стенки ВЧП (рис 3.2), фиссурным бором резецировали кость (рис. 3.3) и на переднебоковой стенке ВЧП формировали окно размером 1,5x1,7см (рис 3.4). После вскрытия гайморовой пазухи обнаружили грануляционную ткань в области нижней и медиальной стенок. Остальные стенки пазухи представлялись неизмененными. Удалялась лишь патологически измененная часть слизистой оболочки пазухи. Формировали соустье ВЧП с полостью носа в области нижнего носового хода, создавая отверстие размером 1,5x1,5см. Хирургической ложкой выскабливали лунку, удаляя патологически измененные ткани. После промывания антисептическими растворами, гайморовую пазуху тампонировали тампоном, пропитанным йодоформной жидкостью, конец его выводили в полость носа через
Рис.4. Больной Г., слизистая оболочка преддверия полости рта по проекции удаленного 16-ого зуба через 3 месяца после операции
созданное соустье. Окно на переднебоковой стенке ВЧП закрывали мембраной из пчелиного воска, на которой был фиксирован фрагмент кости переднебоковой стенки ВЧП (рис 3.5). Дно лунки удаленного зуба закрывалось мембраной из пчелиного воска (рис 3.6). Лунку, до уровня гребня альвеолярного отростка, заполняли размельчённым АДКМ в комбинации с БоТП (рис 3.7). С целью наибольшей мобилизации, у основания формированного лоскута, рассекали надкостницу. Сформированным лоскутом закрывали лунку. Рану в полости рта зашивали наглухо (рис 3.8). Тампон из гайморовой пазухи удаляли на вторые сутки после операции, а швы -на 8-ые сутки. Рана зажила первичным натяжением. Больной выписан из больницы на 10-ые сутки после операции.
Контрольный осмотр больного Г. произведен через 3 месяца. Больной жалоб не предъявляет. Открывание рта свободное, слизистая оболочка преддверия полости рта по проекции удаленного зуба без особенностей, прослеживается тонкий послеоперационный рубец (рис 4). Пальпация безболезненна. На внутриротовой рентгенограмме в области лунки 16-ого зуба прослеживается новообразованная органотипичная костная ткань (рис 2.б). На рентгенограмме, произведенной в носолобной проекции, прозрачность правой ВЧП почти идентична с левой (рис 1Б). Интерес данного случая заключается в успешном пластическом закрытии ороантрального сообщения по предлагаемому нами способу.
Таким образом, способ закрытия перфорационного отверстия на ВЧП зависит от давности заболевания и возможных осложнений, после образования ороантрального сообщения. При свежих неосложненных формах перфорации ВЧП можно ограничиться закрытием сообщения мембраной из пчелиного воска и заполнением оставшегося пространства лунки размельченным АДКМ в комбинации с БоТП и пластическим закрытием перфорации ВЧП лоскутом, сформированным с вестибулярной стороны альвеолярного отростка. В тех случаях, когда высота альвеолярного отростка менее чем 5мм, после закрытия сообщения мембраной из пчелиного воска область, сообщения дополнительно покрывается аллоген- ным костным матриксом или слоем размельченного АДКМ в комбинации с БоТП. При неосложненных перфорациях ВЧП хирургическое лечение больных можно проводить в условиях поликлиники, без радикальной гайморотомии.
Предложенные нами новые способы хирургического лечения больных с одонтогенными перфоратив- ными гайморитами позволяет значительно сократить частоту послеоперационных осложнений. Помимо этого, они экономичны как для больного, так и для медицинского учереждения. Они могут применяться как метод выбора при закрытии ороантрального сообщения. Своевременная диагностика и закрытие перфораций дна ВЧП позволяет предотвратить развитие перфоративного гайморита и дальнейшие объемные операции на ВЧП. Следует напомнить, что для диагностики перфораций дна ВЧП во время операции удаления зуба (ОУЗ) необходимы: определенная настороженность врача на возможность, а иногда и неизбежность такого осложнения; расширение показаний для рентгенологического исследования ВЧ перед ОУЗ; щадящая ревизия послеоперационной раны; проведение носо-ротовой пробы при удалении моляров и премоляров верхней челюсти; соблюдение известной тактики лечения обнаруженной перфорации дна ВЧП и профессионального ухода за костной раной.
Список литературы
- Богатов А.И. Новые методы диагностики, лечения и реабилитации больных с перфорациями и инородными телами верхнечелюстных пазух. Автореф. дис. канд. мед. наук. Самара, 1991, 18 с.
- Говорун М.И. Острый рецидивирующий синусит у лиц молодого возраста в аспекте состояния иммунной системы. Автореф. дис. канд. мед. наук. Ст-Петербург, 1992, 18 с.
- Григорьянц Л.А., Рабухина Н.А., Бадалян В.А. Клин. стом., 1998. N3. с. 36-37.
- Ельков И.В. Новые принципы лечения воспалительных заболеваний верхнечелюстных пазух. Автореф. дис. канд. мед. наук. М.1996,13 с.
- Иванов В.А. Клинико-экспериментальное обоснование закрытия острой перфорации дна гайморовой пазухи дентальным имплантом. Автореф. дис. канд. мед. наук. М. 1998. 24 с.
- Козлов В.А., Шульман Ф.И. Всерос. съезд стоматоло- гогов. М. 2001.
- Коротких Н.Г., Лазутиков О.В., Ларина О.Е. Стомато-логия. 2003. N4. с. 40-42.
- Кручинский Г.В., Филиппенко В.И. Стоматология. 2004. N1. с. 51-52.
- Лаврентьев С.С. Применение в комплексном лечении одонтогенного перфоративного гайморита остеоаутопластики свищей дна верхнечелюстной пазухи. Авто-реф. дис. канд. мед. наук. 1996. 24 с.
- Лузина В.В., Мануйлов О.Е. Стоматология. 1995. N1. с. 41-42.
- Мухаметзянова Т.С. Комплексное лечение одонтогенных перфоративных гайморитов. Автореф. дис. канд. мед. наук. 1990. 23 с.
- Погосян Ю.М., Погосян Д.Э., Арутюнян А.С. и др. Вестник стоматологии и челюстно-лицевой хирургии 2003. том 2, вып. 3. с. 20-30.
- Погосян Ю.М., Сепян А.Г., Погосян А.Ю., Бурназян С.С. Вопросы теоретической и клинической медицины. 2009. N2. с. 43-44.
- Семаан-Аби-Халиль Ж. Оценка результатов опера-тивного лечения больных с хроническим одонтоген- ным гайморитом. Автореф. дис. канд. мед. наук. Ст- Петербург, 1992.19 с.
- Сепян А.Г. Новые подходы к хирургическому лечению гайморитов. Автореф. дис. канд. мед. наук. Ереван. 2006.18 с.
- Buchner H.J., Lessel W. Stomatol DDR, 1979; 28: 12: 883-887.
- Marx R., Carlson E., Eichstaedt R. et al., J. Oral Maxsil- lofac. Surg. 1998. vol. 85 p. 638-646.
30.04.2010 Читайте также
Как известно, иммобилизационный стресс является одним из тяжелых разновидностей стресса, который становится причиной возникновения раз-личных патологических состояний...
29.04.2010 В последние годы, в целях более успешного решения вопросов лечения и профилактики хронических заболеваний, во всем мире проводятся комплексные клинико-социальные исследования...
28.04.2010 Известно, что стресс вызывает грубые изменения в органах иммунной системы. При этом, отмечаются выраженные структурные изменения в центральных и периферических органах иммуногенеза...
27.04.2010 Изменение формы и объема молочных желез субъективно или объективно может восприниматься женщиной как эстетический недостаток, а отсутствие груди - не только как физический недостаток...
26.04.2010 Актуальность темы. Болезни органов дыхания — одна из наиболее актуальных постнатальных проблем в педиатрии. К сожалению, распространенность бронхолегочной патологии у детей...
23.04.2010 Рак желудка остается одним из самых распространенных заболеваний в мире. Ежегодно в мире регистрируется почти 800 тысяч новых случаев и около 630 тысяч случаев смертей от этого заболевания...
22.04.2010 Введение
Понимание важности состояния мозгового кровообращения и возможности его регулирования стало обоснованеим для исследователей разных стран мира к проведению фундаментальных исследований церебральной гемодинамики при различных заболеваниях...
21.04.2010 У женщин репродуктивного возраста, страдаю-щих миомой матки, результаты исследования гормонального фона показали, что происходит существенное увеличение содержания гонадотропинов - ФСГ и ЛГ. Однако, при этом...
20.04.2010 Введение
Церебральный артериальный спазм (АС) является одним из грозных осложнений при заболеваниях головного мозга, сопровождающихся субарахноидальным кровоизлиянием (САК). По данным международного кооперативного исследования, это осложнение являлось ведущей причиной смерти...
19.04.2010 Маточные рецидивирующие кровотечения (меноррагии и метроррагии) на почве гиперплазии и полипов эндометрия, приводящие к анемии, часто становятся показанием к удалению матки...
16.04.2010 Стоматологическая имплантация позволяет повысить эффективность комплексного лечения больных с частичным и полным отсутствием зубов. На приживление имплантата влияет ряд факторов: особенности функционального состояния организма и обмена веществ...
15.04.2010 Состояние протеза, характеристика конструктивных и фиксирующих материалов имеет большое значение для оценки состояния слизистой оболочки полости рта, формирования микробиоценоза и развития кандидоза полости рта [2,3,4,7,8,19]. Доказано...
14.04.2010 Аутосомно-рецессивно наследуемая периодическая болезнь (ПБ) или Семейная средиземномор-ская лихорадка (Familial Mediterranean Fever - FMF: OMIM 249100) - архитипично-аутовоспалительное заболевание. Будучи исторически этническим для армянской популяции заболеванием...
13.04.2010
Warning: mysqli::query(): (HY000/1): Can't create/write to file '/var/tmp/MYNuGRye' (Errcode: 28 - No space left on device) in /sites/med-practic.com/classes/DatabaseManager_2.1.php on line 1381
Fatal error: Uncaught Error: Call to a member function fetch_assoc() on bool in /sites/med-practic.com/classes/DatabaseManager_2.1.php:1384 Stack trace: #0 /sites/med-practic.com/classes/article_class.php(102): TableManager->querySelectClassic('SELECT a.id, a....', Array) #1 /sites/med-practic.com/includes/include_footer_amen_kard_hod.php(5): Article->SelectAmenakardacvatsArticles(2) #2 /sites/med-practic.com/includes/include_bottom.php(9): require_once('/sites/med-prac...') #3 /sites/med-practic.com/bottom.php(7): require_once('/sites/med-prac...') #4 /sites/med-practic.com/article_more.php(151): require_once('/sites/med-prac...') #5 {main} thrown in /sites/med-practic.com/classes/DatabaseManager_2.1.php on line 1384















Научная медицина
Болезни
Традиционная медицина
Здоровый образ жизни
Косметология
Медицинское право
Алгоритмы, тесты
Цифры, факты, случаи
Историческая хроника
Афоризмы
Карьерная лестница
Дети
Женщина
Мужчина
Рейтинговая система






