Вопросы теоретической и клинической медицины 2.2008
Морфофункциональная оценка состояния печени в условиях предварительного введения ишемизированным животным L-Аргинина
В повреждении печени при ее ишемии- реперфузии вовлечены многие механизмы. Маркерами повреждения печени при ишемии-реперфузии являются повышение количеств альфа-глутатион-S- трансферазы [1], АлАт, АсАт, гиалуроновой кислоты, провоспалительных цитокинов (фактор некроза опухоли -а, ИЛ-1, ИЛ-12), эндотелина-1 в крови, индекса апоптоза печеночных клеток [2, 3], активация и тканевая инфильтрация нейтрофилов [4, 5, 6], понижение количеств СОД, глутатионпероксидазы [5, 7], фрагментация ДНК [5]. Увеличение свободных радикалов в печени приводит к повышению содержания в крови АлАт, АсАт, увеличению воспалительных инфильтратов в синусоидах, ядерной фрагментации, сморщиванию клеток и массы хроматина с образова-нием апоптозных тел в апоптозных клетках [8]. В процессе повреждения клеток при ишемии-реперфузии печени участвуют цитокины - ИЛ-1, ИЛ-12, фактор некроза опухоли-а, которые активируют нейтрофилы, увеличивают микротромбообразование в сосудах печени [6]. Уменьшение интенсивности процессов свободнорадикального окисления приводит к сни-жению активности цитолитических процессов (по критерию АлАТ и АсАТ). Считается общепризнанным, что оба фермента рассматриваются в качестве объективных критериев функционального состояния печени. АлАт и АсАт рассматриваются в качестве весьма информативных тестов, характеризующих состояние проницаемости цитоплазматических мембран гепатоцитов. Как правило, высокий уровень указанных трансфераз в сыворотке крови свидетельствует о возникающих в печени дистрофических и/ или воспалительных процессах, сопровождающихся распадом гепатоцитов. При ишемии-реперфузии печени происходят также характерные гистологические изменения, степень проявления которых зависит от длительности ишемии и реперфузии. Препараты, оказывающие положительное действие при ишемии-реперфузии, как правило, улучшают также гистологическую картину печени. L-аргинин во многих исследованиях продемонстрировал положительный эффект на разные маркеры повреждения печени при ишемии-реперфузии [9, 10, 13]. Однако влияние L-аргинина на гистологическую картину печени при данном повреждении печени недостаточно изучено, поэтому оно представляет собой научный интерес в плане подтверждения позитивного влияния L-аргинина при ишемии-реперфузии печени.
Целью работы являлось выявление гистологических изменений печени, колебаний активностей АлАт, АсАт при ее ишемии-реперфузии. Нами осуществлялась морфофункциональная оценка состояния печени, в условиях предварительного введения ишемизированным животным L-аргинина, путем изучения структурных изменений и определения в сыворотке крови органоспецифических ферментов печени - АлАт и АсАт.
Материал и методы
Белые беспородные крысы были разделены на 4группы (по 8 животных): животные первой контрольной группы не подвергались каким-либо манипуляциям; животные второй контрольной группы подвергались воздействию наркоза; животные первой группы (ОГ-1) подвергались тотальной ишемии печени в течение 40 минут и реперфузии печени в течение 3,5 часов; животные второй группы (ОГ-2) за 10мин до начала ишемии получали внутривенно (путем медленной инфузии в бедренную вену) 400 мг/ кг L-аргинина фирмы “Ликвор”, растворенного в 1мл физ. раствора. Затем крыс декапитировали, в сыворотке крови определялись АлАт и АсАт, печень животных подвергалась гистологическому изучению.
Кусочки из ткани печени, после соответствующей фиксации и обработки в спиртах возрастающей концентрации и ксилолом, заливались в парафин. Срезы окрашивались гематоксилинэозином. Описание препаратов и получение фотоснимков проводили при помощи светового микроскопа “Micros” (Австрия) и добавленной на нем видеомикроскопической насадки. Определение активности АлАт и АсАт в сыворотке крови осуществлялось при помощи стандартизированных наборов производства фирмы ‘‘Дельта’’ (Армения). Активность обоих трансфераз выражали в ед./л. Статистический анализ осуществляли при помощи критериев Стьюдента по компьютерной программе.
Результаты и обсуждение
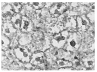
Как показали результаты морфологических исследований, у животных контрольной группы вы-раженных структурных изменений в печени обнаружить не удалось. Цитоангиоархитектоника печеночной ткани повсеместно была сохранена. Так, весьма четко контурированы границы между соседними пе-ченочными дольками. В каждой печеночной дольке сохранена балочная ориентация гепатоцитов. В то же время имелась умеренная отечность стромы, как в центральных, так и в периферических отделах дольки и умеренное расширение межбалочных капилляров (рис. 1а). В отдельных гепатоцитах, расположенных в непосредствнной близости от v. centralis, наблюдались признаки дискомплексации печеночных клеток, с умеренной вакуолизацией их цитоплазмы. В подобных гепатоцитах ядра выглядели гипохромными, контурировались нечетко и располагались эксцентрично, на периферии клетки (рис. 2б).
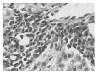
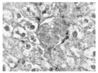
У крыс ОГ-1, в условиях индукции ишемии на фоне наркоза цитоангиоархитектоника печени была резко нарушена. Повсеместно дольчатое строение было нарушено. Гепатоциты теряли способность формировать белки, цитоплазма выглядела оптически светлой. В целом, во всех участках доминировали катаболические процессы, которые структурно выражались процессом вакуольной дистрофии (рис. 2а). В отдельных смежно расположенных гепатоцитах происходила резкая вакуолизация цитоплазмы, цитоплазматическая мембрана была фрагментро- вана, встречались признаки распада печеночных клеток, вплоть до появления очагов микронекроза (рис. 2б).
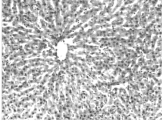
У крыс ОГ-2 в печени выявлены структурные изменения, характеризующиеся чередованием анабо-лических и катаболических реакций. Следует особо отметить, что в печени животных этой группы весьма четко прослеживается тенденция, направленная на восстановление цитоангиоархитектоники органа (рис. 3а). Повсеместно структурная перестройка со-провождалась активацией репаративных процессов. Так, гепатоциты вновь приобретали способность формировать характерные белки, располагались ра-диально по отношению к центральной вене.
На значительном протяжении прослеживались признаки упорядочения структуры органа, прояв-ляющиеся в наличии многочисленных печеночных долек.
Необходимо отметить и следующее обстоятельство. В участках, в которых четко прослеживаются репаративные процессы вокруг центральной вены и микрососудов триад, выявляются умеренные клеточные инфильтраты, представленные преимущественно клетками лимфоцитарного и макрофагального ряда (рис. 3б). Подобная клеточная реакция нами была зарегистрирована только в ОГ-2. Учитывая характер клеточного инфильтрата, не исключено, что в условиях введения подопытным животным L-аргинина происходит структурная перестройка печени, сопро-вождающаяся процессами модуляции региональных иммунологических реакций. В пользу данного обстоятельства, правда косвенно, свидетельствуют и литературные данные, согласно которым L-аргинин. дозозависимым путем оказывает избирательное модулирующее влияние на иммунокомпетентные клетки - в плане направленной активации синтеза антивоспалительных цитокинов [11, 12]. На основании полученных нами морфологических результатов, не представляется возможным в должной мере оценить биологическую значимость данного факта. С этой целью необходимо провести специальные иммуномор- фологические и иммуноферментные исследования, направленные на установление принадлежности обнаруженных в клеточном инфильтрате лимфоцитов к Т и/или В популяциям. Только, после проведения указанных исследований представится возможным в должной степени оценить биологическую значимость установленного нами факта - в плане роли ре-гиональных иммунологических реакций в восстано-вительных процессах в печени животных ОГ-2.
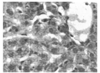
Следует также отметить, что у животных ОГ-2 продолжали обнаруживаться отдельные участки, в которых удалось зарегистрировать как наличие восстановительных процессов, так и признаки дистрофии. Так, встречались отдельные печеночные дольки, в отдельных фрагментах которых прослеживались признаки восстановления их балочного строения и, одновременно процесс вакуольной дистрофии гепатоцитов (рис. 4). В участках печеночной дольки, где доминировали катаболические процессы, как правило, прослеживались явления гиперемии центральных вен и признаки вакуольной дистрофии периваскулярно ориентированных гепатоцитов (рис 4б).
Таким образом, введение L-аргинина, на фоне вызванной ишемии у подопытных животных, сопро-вождается интенсификацией региональных анаболических реакций, которые в печени проявляются тенденцией, направленной на восстановление структурной организации органа.
![]() |
![]() |
| а | б |
Рис. 1. Структурные сдвиги в печени подопытных животных, подвергнутых наркозу. Контрольная группа. Гематоксилин-эозин
а.Цитоангиоархитектоника печеночной дольки сохранена. Четко контурируется структурная организация печеночных балок. Наблюдается умеренная отечность межбалочных пространств и расширение просвета межбалочных капилляров. Об. 10, ок. 10.
б.Признаки дискомплексации отдельных периваскулярно ориентированных (вокруг v centralis) гепато-цитов. Об. 40, ок. 10.
![]() |
![]() |
| а | б |
Рис. 2. Структурные сдвиги в печени подопытных животных, подвергнутых ишемии. ОГ-1. Гематоксилин- эозин.
а. Цитоангиоархитектоника печеночных долек резко нарушена. Гепатоциты теряют способность балочной ориентации и формировать характерные дольки. Картина диффузной вакуольной дистрофии. Об.10, ок. 10.
б.Деталь препарата а. Резкая вакуолизация цитоплазмы с признаками распада отдельных гепатоци- тов. Об. 40, ок. 10.
![]() |
![]() |
| а | б |
Рис. 3. Структурные сдвиги в печени подопытных животных, подвергнутых ишемии, в условиях введения L-аргинина. ОГ-2. Гематоксилин-эозин.
а. Четко прослеживается тенденция, направленная на восстановление структурной организации смежных печеночных долек. Гепатоциты вновь приобретают способность формировать характерные балки. Признаки умеренной периваскулярной клеточной инфильтрации. Об. 10, ок. 10.
б.Выраженная клеточная лимфоцитарная и макрофагальная инфильтрация стромы в регионе микро-сосудов триад печени. Об. 40, ок. 10.
![]() |
![]() |
| а | б |
Рис. 4. Структурные изменения в печени подопытных животных, подвергнутых ишемии в условиях введения L-аргинина, ОГ-2. Гематоксилин-эозин.
а. Очаги, в которых прослеживается тенденция, направленная в сторону структурного упорядочения цитоархитектоники печеночной дольки, чередуется с участками, в которых прослеживаются признаки вакуольной дистрофии гепатоцитов. Об. 10, ок. 10.
б.Резкая гиперемия v centralis, с признаками вакуо-лизации цитоплазмы периваскулярно ориентированных гепатоцитов. Об. 40, ок. 10.
Как показали результаты проведенных биохимических исследований, у подопытных животных, находящихся под наркозом (контрольная группа), в сыворотке крови активность АлАт и АсАт заметно повышалась по сравнению с аналогичными показателями, определяемыми у интактных животных в сыворотке крови (таблица 1). Так, активность АлАт и АсАт в сыворотке крови возрастала соответственно в 1,6 и 1,3 раза.
У животных ОГ-1 (в условиях индуцированной ишемии на фоне наркоза) нами были зарегистрированы наиболее высокие показатели активности обоих ферментов в сыворотке крови. Так, показатели активности АлАт и АсАт в сыворотке крови данной иссле-дуемой группы превышали показатели контрольной группы в 1,8 раза.
У животных ОГ-2 (при предварительном введении L-аргинина подопытным животным, подвергнутым ишемии в условиях наркоза) определялась сравнительно высокая активность обоих изучаемых ферментов. Так, показатели активности АлАт и АсАт в сыворотки крови у животных данной группы превышали показатели активности обоих ферментов в сыворотке крови интактных животных соответственно 1,2 и 1,6 раза. Следует отметить, что показатели активности обоих изучаемых ферментов в сыворотке крови в ОГ-2 в целом были идентичны таковым, определенным у животных контрольной группы.
В то же время, при сравнении изучаемых показателей ОГ-2 с ОГ-1, нами получены достоверные результаты, свидетельствующие в пользу заметного понижения уровня АлАт и АсАт в сыворотке крови подопытных животных контрольной группы (таблица 3).
Таблица 1. Активность АлАт и АсАт в сыворотке крови подопытных животных у интактных животных (контроль 1), у крыс, подвергшихся наркозу (контроль 2), после 40 мин ишемии и 3,5 часов реперфузии печени крыс, подвергшихся ишемии-реперфузии в отсутствии (ОГ-1) и присутствии 400 мг/кг Ь-аргинина (ОГ-2).
|
Группы |
АлАт (в ед/л) |
АсАт (в ед/л) |
|
Контроль I (интактные животные), n=8 |
26,4+/-4,4 |
32,8+/-1,9 |
|
Контроль II, n=8 |
42,35+/-2,15 0.01>p,>0.002 |
43,1+/-1,9 0.002>p,>0,001 |
|
ОГ-1, n=8 |
78,7+/-3,3, p,2<0,001 |
76,8+/-3,7 p,2<0,001 |
|
ОГ-2, n=8 |
54,2+/-3,7, p,p2>0,01, p3<0,001 |
52,9+/-4,6, 0,002>p,>0,001, 0,05>p2>0,02, p3<0,001 |
Примечание: р1 - при сравнении II контрольной группы, ОГ-1 и ОГ-2 с I контрольной группой р2 - при сравнении ОГ-1 и ОГ-2 со II контрольной группой, р3 - при сравнении ОГ-1 с ОГ-2
Таким образом, на основании проведенных био-химических исследований нам удалось установить, что наркоз у интактных животных сопровождается повышением активности АлАт и АсАт в сыворотке крови. Индукция ишемии на фоне наркоза вызывает значительное повышение уровня обоих ферментов в сыворотке крови подопытных животных. Введение L-аргинина ишемизированным животным, на фоне наркоза, приводит к заметному понижению активности обоих ферментов в сыворотке крови, что свидетельствует о протективном действии L-аргинина в отношении стабилизации цитоплазматических мембран гепатоцитов. Во всех изучаемых группах установлена прямая корреляционная зависимость между АлАт, АсАт в сыворотке крови и структурными сдвигами в печени подопытных животных. В частности, активация репаративных процессов в печени сопровождается заметным понижением активности АлАт и АсАт, что в совокупности свидетельствует в пользу намечавшейся тенденции, направленной на восстановление структуры и функции печени.
Список литературы
- Chouker A, Martignoni A, Schauer RJ, Dugas M, Schacht- ner T, Kaufmann I, Setzer F, Rau HG, Lohe F, Jauch KW, Peter K, Thiel M. Alpha-gluthathione S-transferase as an early marker of hepatic ischemia/reperfusion injury after liver resection. World J.Surg., 2005, 29 [4], p. 528-534
- Zhu WH, Leng XS, Zhu JY. Effect of Shenfu injection on ischemia-reperfusion injury of rat liver graft. Hepatobiliary Pancreat Dis Int., 2006 May; 5(2):205-9.
- Scommotau S, Uhlmann D, Loffler BM, Breu V, Spiegel HU. Involvement of endothelin/nitric oxide balance in hepatic ischemia/reperfusion injury. Langenbecks Arch Surg., 1999 Feb; 384(1):65-70.
- Karaman A, Fadillioglu E, Turkmen E, Tas E, Yilmaz Z. Protective effects of leflunomide against ischemia- reperfusion injury of the rat liver.Pediatr Surg Int., 2006 May;22(5):428-34. Epub 2006 Mar 24.
- Sanchez GM, Rodriguez H MA, Giuliani A, Nunez Selles AJ, Rodriguez NP, Leon Fernandez OS, Re L. Protective effect of Mangifera indica L. extract (Vimang) on the in-jury associated with hepatic ischaemia reperfusion. Phy- tother Res., 2003 Mar;17(3):197-201.
- Kenji Okajima, Naoaki Harada and Mitsuhiro Uchiba. Ranitidine Reduces Ischemia/Reperfusion-Induced Liver Injury in Rats by Inhibiting Neutrophil Activation. The journal of pharmacology and experimental therapeutics. Vol. 301, Issue 3, 1157-1165, June 2002
- Demirbilek S, Karaman A, Gurunluoglu K, Tas E, Akin M, Aksoy RT, Turkmen E, Edali MN, Baykarabulut A. Polyenylphosphatidylcholine pretreatment protects rat liver from ischemia/reperfusion injury. Hepatol Res., 2006 Feb;34(2):84-91. Epub 2006 Jan 6.
- Chang E. J. ; Lee S. H.; Mun K. C.; Suh S. I.; Bae J. H.; Kim S. P.; Choi H. J.; Cho K. B.; Hwang J. S.; Effect of artificial cells on hepatic function after ischemia- reperfusion injury in liver.Transplant. Proc., 2004, Vol. 36, №7, P. 1959-1961.
- Galen FX, Cottart CH, Souil E, Dinh-Xuan AT, Vaubour- dolle M, Nivet V, Clot JP. Role of nitric oxide synthase III and guanosine 3’:5’- cyclic monophosphate in the protection exerted by nitric oxide on hepatic ischemia-reperfu- sion injury. R Acad Sci III, 1999 Oct; 322(10):871-7.
- Li SQ, Liang LJ. Protective mechanism of L-arginine against liver ischemic-reperfusion injury in rats. Hepatobiliary Pancreat Dis Int.2003 Nov; 2(4): 549-552.
- Boisvert, F. M.; Richard, S. Arginine methylation regulates the cytokine response. Mol. Cell. 2004; 15: 492-494.
- Mowen KA, Schurter BT, Fathman JW, David M, Glimcher LH. Arginine methylation of NIP45 modulates cytokine gene expression in effector T lymphocytes.
- Ходосовский М. Н., Зинчук В. В. Участие L-Аргинин- NO системы в развитии реперфузионных повреждений печени. Экспериментальная и клиническая фармакология.- 2003.- Т.66, №3.- С.39-43.
17.07.2008 Читайте также
Артериальная гипертония (АГ) - самое распространенное сердечно-сосудистое (СС) заболевание во всем мире. Как следует из проспективных исследований, она является главным независимым фактором риска СС осложнений и смерности [1]...
31.07.2008 Ишемия-реперфузия печени - широко распространенный синдром, с которым часто сталкиваются при различных клинических ситуациях, включая травмы, геморрагический шок, резекцию печени и ее трансплантацию...
30.07.2008 Введение
Эпилепсия является одним из наиболее часто встречающихся хронических неврологических заболеваний. По данным различных исследований распространенность составляет от 4 до 10 на 1000 населения [3,8]...
29.07.2008 Введение.
Любому специалисту для корректного проведения тщательно спланированной работы необходимо иметь определенный набор материалов и инструментария [1, 3]. Однако, нередко, в пародонтальной хирургии приходится менять тактику спланированной операции, или производить дополнительные разрезы...
28.07.2008 Нарушения микрофлоры кишечника отмечаются при различных заболеваниях. Возникший как симптом какой-либо патологии, дисбиоз, в дальнейшем отягощает его течение...
25.07.2008 Лекарственное обеспечение - проблема социальная, которая выражается в наиболее полном удовлетворении потребностей населения в фармацевтической продукции, и может быть решена через активное формирование цивилизованного фармацевтического рынка (ФР) [1,2,3]...
24.07.2008 Одним из методов хирургического лечения зубов, поврежденных хроническим периодонтитом, является гемисекция или ампутация корней [1,2,3,4]. Большинство врачей стоматологов владеют этой методикой и успешно выполняют эти операции на многокорневых зубах...
23.07.2008 Длительная тампонада сетчатки силиконовым маслом используется уже много лет в лечении осложненных отслоек сетчатки (1, 2, 3). В основном рекомендуется удаление силиконового масла по возможности в ранние сроки...
22.07.2008 Экссудативные заболевания желтого пятна являются одной из причин стойкого снижения или потери зрения у людей. К сожалению, различные методы лазерного лечения только у 15-20% больных с хроническим отеком макулы приводят к положительному результату...
21.07.2008 Актуальность
Все возрастающий поток информации, касающийся физиологических эффектов и биологических основ действия магнитных полей на организм человека и животных, обусловлен множеством причин...
18.07.2008
Warning: mysqli::query(): (HY000/1): Can't create/write to file '/var/tmp/MYZ7dXqe' (Errcode: 28 - No space left on device) in /sites/med-practic.com/classes/DatabaseManager_2.1.php on line 1381
Fatal error: Uncaught Error: Call to a member function fetch_assoc() on bool in /sites/med-practic.com/classes/DatabaseManager_2.1.php:1384 Stack trace: #0 /sites/med-practic.com/classes/article_class.php(102): TableManager->querySelectClassic('SELECT a.id, a....', Array) #1 /sites/med-practic.com/includes/include_footer_amen_kard_hod.php(5): Article->SelectAmenakardacvatsArticles(2) #2 /sites/med-practic.com/includes/include_bottom.php(9): require_once('/sites/med-prac...') #3 /sites/med-practic.com/bottom.php(7): require_once('/sites/med-prac...') #4 /sites/med-practic.com/article_more.php(151): require_once('/sites/med-prac...') #5 {main} thrown in /sites/med-practic.com/classes/DatabaseManager_2.1.php on line 1384















Научная медицина
Болезни
Традиционная медицина
Здоровый образ жизни
Косметология
Медицинское право
Алгоритмы, тесты
Цифры, факты, случаи
Историческая хроника
Афоризмы
Карьерная лестница
Дети
Женщина
Мужчина
Рейтинговая система







