Вопросы теоретической и клинической медицины 2.2008
Оптимизация репаративного остеогенеза в области костного дефекта челюстей после гемисекции или ампутации корней зубов с хроническими очагами одонтогенной инфекции
Одним из методов хирургического лечения зубов, поврежденных хроническим периодонтитом, является гемисекция или ампутация корней [1,2,3,4]. Большинство врачей стоматологов владеют этой методикой и успешно выполняют эти операции на многокорневых зубах. Следует отметить, что репаративные процессы после гемисекции или ампутации корня зуба протекают в условиях инфицирования операционной раны, на фоне нарушения микроциркуляции крови и тканевой гипоксии, когда остеопла- стическая функция костной ткани челюстей резко снижена. Это обусловлено, как известно, во-первых, торможением ангиогенеза, во-вторых, снижением активности остеогенных клеток. Замедление репаративных процессов в костной ране часто приводит к рецидиву хронических периапикальных очагов одонтогенной инфекции (ХПООИ), развитию остеомиелита челюстей, патологическим переломам нижней челюсти, развитию злокачественных новообразований на месте послеоперационного дефекта, а также значительно увеличивает сроки восстановления формы альвеолярных отростков, что отрицательно сказывается на результатах зубного протезирования [2].
Цель данной работы - оптимизация репаратив- ного остеогенеза в образовавшемся костном дефекте после гемисекции и ампутации зубов по поводу ХПО- ОИ, путем применения размельченного аллогенного или ксеногенного костного матрикса (КМНП).
Материал и методы.
Изучены результаты клинико-рентгенологического обследования 89 пациентов (47 женщин и 42 мужчин в возрасте от 18 до 63 лет), находящихся на амбулаторном лечении с хроническими периодонтитами. Отдаленные результаты прослежены у 61 пациента.
При диагностике формы периодонтита основывались на клиническую картину и данные рент-генографии. Для гранулематозного периодонтита характерно наличие очага деструкции в околоверху- шечной области до одного сантиметра в диаметре, наличие “венца” остеосклероза по периферии. Для гранулирующего периодонтита рентгенологически, наряду с наличием очага деструкции без четких границ, имела место и картина остеопороза кости в око- локорневой области.
Критериями эффективности лечения служили: функционирование зуба до 2 лет, отсутствие обострений, восстановление трабекулярного рисунка в области костного дефекта. Все оперативные вмеша-тельства проведены под проводниковым, в сочетании с инфильтрационным, обезболиванием.
Гемисекция и ампутация нами проводились при глубоких внутрикостных карманах в области одного из корней моляра нижней челюсти, одного из двух щечных корней или небного корня моляра верхней челюсти, при резорбции костного вещества межкорневой перегородки, перфорации в области бифуркации корней. Гемисекция и ампутация корней нами не проводились при значительной резорбции костной ткани у всех корней, наличии сросшихся корней, не поддающихся разъединению, наличии непроходимых каналов в корнях, подлежащих сохранению.
До гемисекции или ампутации, в обязательном порядке, нами проводилась эндодонтическая терапия и пломбирование коронки зуба. Гемисекция или ампутация осуществлялись с помощью фиссурного алмазного бора, алмазного диска, используемого для сепарации зубов в ортопедической стоматологии.
Корень удалялся щипцами или элеватором. Межкорневую перегородку, а также костную ткань, окружающую оставшийся сегмент зуба сохраняли. Ампутация корня проводилась после отслойки слизисто-надкостничного лоскута со щечной или небной поверхности и иссечения соответствующей костной стенки альвеолы. Корень рассекали алмазным фиссурным бором и удаляли элеватором или зубными щипцами. Острые костные края альвеолы удаляли костными кусачками, зуботехнической фрезой, затем, после антисептической обработки послеоперационные костные полости заполняли размельченным костным аллогенным или ксеногенным (костный матрикс новорожденных поросят) матриксом с антибиотиком, с целью стимуляции репаративного остеогенеза. Слизисто-надкостничный лоскут укладывали на место и фиксировали швами из полиамида или кетгута.
Для уменьшения послеоперационного отека и кровоизлияния в мягких тканях лица на 5-7 часов на-кладывали давящую повязку и рекомендовали больному удерживать поверх повязки пузырь со льдом. Кроме того, больному были даны наставления по соблюдению правил гигиены полости рта и питания, а также были назначены анальгетики по 0.5 г 3 раза в день и димедрол по 0.5 г на ночь. Швы удаляли на 7-ой день.
Результаты и обсуждение.
Как показали наши наблюдения, первые 2-3 дня после операции гемисекции и ампутации корней зубов, у 80% пациентов отмечались умеренные боли в области операционной раны и ограниченный отек. Эти симптомы в конце первой недели постепенно уменьшались. Выраженный отек имел место только у 4пациентов. У этих пациентов было также повышение температуры до 38,2-38,6oС. Рентгенологические исследования, проведенные через 1 неделю после операции гемисекции и ампутации, позволили дать оценку выполненного оперативного вмешательства. На снимках были видны костные дефекты в области удаленных корней. У 6 пациентов обнаружено нару-шение чувствительности слизистой оболочки раны в области верхних моляров. В 10 случаях отмечена подвижность зубов (1-11 степени). Как нарушение чувствительности слизистой оболочки раны, так и подвижность зубов в течение 1,5-2 месяца исчезали. Рентгенологические исследования, проведенные через 3 мес., показали активность регенерации костной ткани от периферии послеоперационного дефекта к его центру. Небольшие костные дефекты в течение 6 месяцев полностью заполнялись регенератом. Через 3месяца на месте оперативного вмешательства только был виден безболезненный рубец.
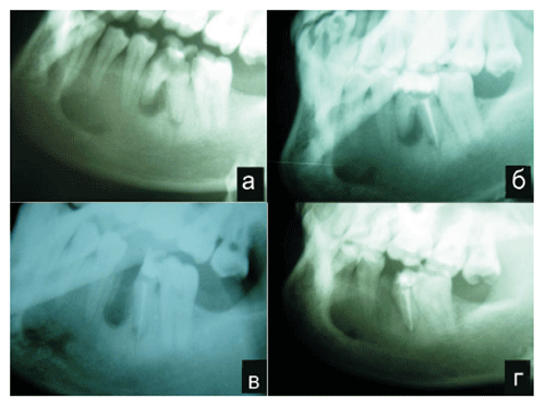
Для иллюстрации приводим следующий пример: Пациент Н., 29 лет, обратился в челюстнолицевое отделение РМЦ “Армения” 14 февраля 2004 г. с жалобами на боли в области правой половины нижней челюсти, которые иррадировали в ухо, висок, глаз и припухлость по проекции тела нижней челюсти. Себя считает больным уже третые сутки. Отмечает, что в начале болел 46 зуб, а через сутки появилась припухлость на правой половине лица. После клинико-рентгенологического исследования, установлен диагноз “Острый гнойный периостит нижней челюсти справа, обострение хронического гранулематозного периодонтита”. В тот же день после рентгенологического исследования, под местным обезболиванием провели вскрытие гнойного очага и дренирование раны. Была назначена антибактериальная и симптоматическая терапия, полоскание полости рта антисептиками. На боковой рентгенограмме нижней челюсти под мезиальным корнем 46 зуба видна кистогранулема размером 0,6 х 0,8 см (рис. 1).
Было принято решение, после пломбирования корневых каналов 46 зуба, провести гемисекцию.
После стихания острых воспалительных явлений на 10 сутки после вскрытия гнойного очага произведены пломбирование и гемисекция мезиального корня 46 зуба. После удаления мезиального корня с помощью острой ложечки удалена грануляционная ткань, проведены промывание полости антисептическими растворами и заполнение костного дефекта размельченным КМНП. Сверху лунка корня закры-валась тампоном смазанным мазью прополиса с об-лепихой, который менялся дважды (на 3 и 7 сутки). Произведено динамическое наблюдение через 1, 3, 6 мес.. Как видно на рентгенограмме, произведенной через 6 мес., лунка 46 зуба и околокорневой дефект не определяются. Видна органотипичная кость, которая по своей структуре практически не отличается от соседних участков.
Рис. 1. Пациент Н., 29 лет. Хронический гранулема-тозный периодонтит 46 зуба.
а) до пломбирования, б) после пломбирования, в) через 10 дней после гемисекции, г) через 6 мес. после гемисекции.
Таким образом, наши клинические наблюдения свидетельствуют о целесообразности применения костноматричных трансплантатов в сочетании с антибиотиками для заполнения костных дефектов, образующихся после удаления корней зубов и околокорневых патологических тканей. Применением этих остеостимулирующих материалов процессы репаративной регенерации в области костных дефектов значительно активизируются, в связи с чем образование органотипичной кости происходит в более короткие сроки.
Список литературы
- Бернадский Ю.И. Основы челюстно-лицевой хирургии и хирургической стоматологии. М., 2003. – 406с.
- Иорданишвили А.К. Хирургическое лечение зубов с хроническими периапикальными очагами одонтогенной инфекции (анатомическое, экспериментальное и клиническое исследование): Дис. канд. мед. наук. – СПб: ВМедА. 1993-215с.
- Левкович А.Н. Хирургическое лечение околокорневых кист и хронического периодонтита с сохранением анатомической формы с функцией зуба: Авторы дис.д-ра мед. наук – Киев, 1991. – 21с.
- Робустова Т.Г., Имплантация зубов, хирургические аспекты. М.- Медицина 2003. – 560с.
23.07.2008 Читайте также
Артериальная гипертония (АГ) - самое распространенное сердечно-сосудистое (СС) заболевание во всем мире. Как следует из проспективных исследований, она является главным независимым фактором риска СС осложнений и смерности [1]...
31.07.2008 Ишемия-реперфузия печени - широко распространенный синдром, с которым часто сталкиваются при различных клинических ситуациях, включая травмы, геморрагический шок, резекцию печени и ее трансплантацию...
30.07.2008 Введение
Эпилепсия является одним из наиболее часто встречающихся хронических неврологических заболеваний. По данным различных исследований распространенность составляет от 4 до 10 на 1000 населения [3,8]...
29.07.2008 Введение.
Любому специалисту для корректного проведения тщательно спланированной работы необходимо иметь определенный набор материалов и инструментария [1, 3]. Однако, нередко, в пародонтальной хирургии приходится менять тактику спланированной операции, или производить дополнительные разрезы...
28.07.2008 Нарушения микрофлоры кишечника отмечаются при различных заболеваниях. Возникший как симптом какой-либо патологии, дисбиоз, в дальнейшем отягощает его течение...
25.07.2008 Лекарственное обеспечение - проблема социальная, которая выражается в наиболее полном удовлетворении потребностей населения в фармацевтической продукции, и может быть решена через активное формирование цивилизованного фармацевтического рынка (ФР) [1,2,3]...
24.07.2008 Длительная тампонада сетчатки силиконовым маслом используется уже много лет в лечении осложненных отслоек сетчатки (1, 2, 3). В основном рекомендуется удаление силиконового масла по возможности в ранние сроки...
22.07.2008 Экссудативные заболевания желтого пятна являются одной из причин стойкого снижения или потери зрения у людей. К сожалению, различные методы лазерного лечения только у 15-20% больных с хроническим отеком макулы приводят к положительному результату...
21.07.2008 Актуальность
Все возрастающий поток информации, касающийся физиологических эффектов и биологических основ действия магнитных полей на организм человека и животных, обусловлен множеством причин...
18.07.2008 В повреждении печени при ее ишемии- реперфузии вовлечены многие механизмы. Маркерами повреждения печени при ишемии-реперфузии являются повышение количеств альфа-глутатион-S- трансферазы [1], АлАт, АсАт, гиалуроновой кислоты, провоспалительных цитокинов (фактор некроза опухоли -а, ИЛ-1, ИЛ-12)...
17.07.2008
Warning: mysqli::query(): (HY000/1): Can't create/write to file '/var/tmp/MYfHlszH' (Errcode: 28 - No space left on device) in /sites/med-practic.com/classes/DatabaseManager_2.1.php on line 1381
Fatal error: Uncaught Error: Call to a member function fetch_assoc() on bool in /sites/med-practic.com/classes/DatabaseManager_2.1.php:1384 Stack trace: #0 /sites/med-practic.com/classes/article_class.php(102): TableManager->querySelectClassic('SELECT a.id, a....', Array) #1 /sites/med-practic.com/includes/include_footer_amen_kard_hod.php(5): Article->SelectAmenakardacvatsArticles(2) #2 /sites/med-practic.com/includes/include_bottom.php(9): require_once('/sites/med-prac...') #3 /sites/med-practic.com/bottom.php(7): require_once('/sites/med-prac...') #4 /sites/med-practic.com/article_more.php(151): require_once('/sites/med-prac...') #5 {main} thrown in /sites/med-practic.com/classes/DatabaseManager_2.1.php on line 1384















Научная медицина
Болезни
Традиционная медицина
Здоровый образ жизни
Косметология
Медицинское право
Алгоритмы, тесты
Цифры, факты, случаи
Историческая хроника
Афоризмы
Карьерная лестница
Дети
Женщина
Мужчина
Рейтинговая система
