Медицинская наука Армении 4.2012
Морфогистохимическое исследование сосудов сенсомоторной коры головного мозга крыс в условиях хронической алкогольной интоксикации
Ключевые слова: алкогольная интоксикация, гистохимия, микроциркуляторное русло
Актуальность медицинских и социальных проблем, связанных с употреблением алкоголя и алкоголизмом, постоянно возрастает. Согласно прогнозам Всемирной Организации Здравоохранения, по своей значимости, а также по социально-экономическим аспектам указанные проблемы окажутся на первом месте в начале нынешнего тысячелетия [4]. Морфологические изменения таких органов-мишеней для алкоголя, как печень, поджелудочная железа и сердце, в достаточной степени изучены. Однако природа и специфичные для действия алкоголя изменения мозговых структур известны далеко не полностью. При хронической алкоголизации происходит перестройка ряда физиологических процессов, затрагивающих в первую очередь кровоснабжение наиболее кислородзависимых тканей, а именно головного мозга. Общеизвестно, что в кровоснабжении мозга ведущее место занимает микроциркуляторное русло, важнейшим компонентом которого являются капилляры, через стенку которых происходит обмен между кровью и внутритканевой средой, то есть транскапиллярный обмен [6]. Состояние микроциркуляторного русла может служить показателем интенсивности обменных процессов в органе. Нарушение в регуляции этой системы может привести к ряду патологических состояний. Поэтому выявление изменений в микроциркуляции является одной из ключевых проблем в исследовании патологического и нормально работающего органа.
Исходя из этого, целью наших исследований было изучение состояния мозгового кровообращения, в частности, изменения среднего диаметрa капилляров сенсомоторной коры головного мозга как наиболее уязвимого участка при хронической алкоголизации.
Материал и методы
Эксперименты проведены на 57 половозрелых крысах, массой 220-250 г. Девять интактных крыс служили в качестве контроля. Животные были разделены на три экспериментальные группы. Крысы находились на сухом корме и в качестве единственного источника жидкости получали алкоголь в разных концентрациях: первая группа получала 5%, вторая – 10%, третья – 15% этанол. Каждая группа была также разделена на подгруппы в зависимости от сроков приема алкоголя от 3 дней до 6 месяцев. Животные были наркотизированы нембуталом (40 мг/кг). Мозг животных фиксировался в 5% растворе нейтрального формалина в течение 24 часов на холоду, a дальнейшая обработка материала проводилась согласно гисто-ангиологическому методу Чилингаряна [7]. На готовых препаратах мозга интактных животных и подопытных групп проводилось измерение диаметра капилляров окулярным микрометром под светооптическим микроскопом (ок.7, об.40). Морфометрия проводилась в сенсомо-торной области коры больших полушарий. Средний диаметр капилляров выводили из 100 измерений, выполненных на срезах мозга толщиной 50 мкм. Статистическая обработка цифровых данных проводилась с использованием t-критерия Стьюдента.
Результаты и обсуждение
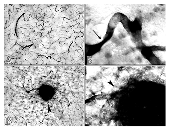
По полученным результатам, благодаря избирательному осаждению коричневого осадка фосфата свинца на эндотелии сосудов обеспечивалось избирательное, четкое и контрастное выявление микроциркуляторного русла мозга: артериол, венул и капилляров (рис. 1А).
Рис. 1. А – капиллярное русло сенсомоторной коры мозга крысы;
Б – суженный участок капилляра; В, Г – область кровоизлияния (стрелки).
Увеличение: ок. 10 (А-Г), об.10 (А,В); 40 (Г); 100 ( Б)
Диаметр капилляров может варьировать в довольно широких пределах – от 1.15 до 10-14 мкм. Анализ морфометрических данных показал, что в контроле средний диаметр капилляров сенсомоторной области коры больших полушарий составляет 3.75 мкм.
У подопытных животных при алкоголизации 5% этиловым спиртом средний диаметр капилляров варьирует от 3.15 мкм на третьи сутки до 2.3 мкм через 6 месяцев (табл.). Как видно из приведенных данных, по сравнению с интактными животными при динамическом наблюдении происходит постепенное уменьшение диаметра просвета капилляров на 38.7% (рис. 2). Плавное сужение можно объяснить низкой концентрацией этанола.
При алкоголизации 10% этиловым спиртом сужение просвета капилляров носило переменный характер. Наиболее выраженный спазм сосудов приходился на 7-е сутки, когда диаметр сосудов уменьшился до 2.57 мкм (табл.), что соответствует 68.4% по сравнению с контролем (рис.3). Далее наблюдалось постепенное расширение диаметра капилляров до 3.05мкм, (81% через 3 месяца) с последующим сужением до 2.67 мкм (71%) на 5-м месяце. Так, уменьшение диаметра сосудов при 10% алкоголизации через 5 месяцев наблюдения по сравнению с контролем составило 29% (рис. 3).
![]() |
![]() |
|
Рис. 2. Алкоголизация крыс 5% этиловым спиртом (Р‹0,001) |
Рис. 3. Алкоголизация крыс10% этиловым спиртом (Р‹0,001) |
При исследованиях с 15% этиловым спиртом первой реакцией на введение алкоголя явилось резкое сужение просвета капилляров на третьи сутки до 2.25 мкм (59.9%) с последующей умеренной дилатацией сосудов до 2.7 мкм (71.9%) (рис. 4), что можно, скорее всего, интерпретировать за счет адаптативно-компенсаторного механизма, срабатывающего при высоких концентрациях этанола.
Рис. 4. Алкоголизация крыс 15% этиловым спиртом (Р‹0,001)
Кроме вышеописанных изменений в микроциркуляторном русле коры головного мозга, при поздних сроках алкоголизации как 5%, так и, особенно, 10% и 15% растворами этилового спирта, нами наблюдались множественные очаги кровоизлияний (рис.1 В, Г).
Последнее соответствует результатам исследований Suzuki K, Izumi [21], согласно которым алкоголь является фактором риска для кровоизлияния в мозг.
Таблица
Средний диаметр капилляров сенсомоторной коры мозга крыс в условиях хронической этанольной интоксикации (мкм)
|
Условия опыта |
5% этанол |
|||||||||||
|
Контроль |
3 дня |
7 дней |
1 месяц |
2 месяца |
3 месяца |
6 месяцев |
||||||
|
3.75± 0.09 n = 3 |
3.15 ± 0.09 Р<0.001 84% к контролю n = 3 |
2.87± 0.1 Р<0.001 76.8% к контролю n = 3 |
2.5±0.12 Р<0.001 66.7% к контролю n = 3 |
2.45±0.12 Р<0.001 63.3% к контролю n = 3 |
2.35±0.1 Р<0.001 62.7% к контролю n = 3 |
2.3±0.07 Р<0.001 61.3% к контролю n = 3 |
||||||
|
Условия опыта |
10% этанол |
|||||||||||
|
Контроль |
3 дня |
7 дней |
1 месяц |
3 месяца |
5 месяцев |
|||||||
|
3.7±50.09 n = 3 |
3.0±0.08 Р<0.001 79.6% к контролю n = 3 |
2.57±0.08 Р<0.001 68.4% к контролю n = 3 |
2.82±0.07 Р<0.001 74.9% к контролю n = 3 |
3.05±0.09 Р<0.001 81% к контролю n = 3 |
2.67±0.07 Р<0.001 71% к контролю n = 3 |
|||||||
|
Условия опыта |
15% этанол |
|||||||||||
|
Контроль |
3 дня |
7 дней |
1 месяц |
2 месяца |
4 месяца |
|||||||
|
3.7±50.09 n = 3 |
2.25±0.078 Р<0.001 59.9% к контролю n = 3 |
2.57±0.08 Р<0.001 68.6% к контролю n = 3 |
2.52±0.08 Р<0.001 67.3% к контролю n = 3 |
2.67±0.075 Р<0.001 71.3% к контролю n = 3 |
2.7±0.07 Р<0.001 71.9% к контролю n = 3 |
|||||||
Примечательно, что в норме при подсчете 100 капилляров использовалось 8-10 полей зрения, а после воздействия алкоголя число полей зрения, необходимых для подсчета, увеличилось до 10-12, что указывает на возможное уменьшение числа функционирующих капилляров.
В литературе есть данные,что у пациентов с алкоголь-вызванной деменцией (alcohol-related dementia, ARD) наблюдалось резкое сокращение регионального мозгового кровотока в лобной коре, базальных ганглиях и таламусе. Результаты показывают, что ARD связана с гипоперфузией в обоих корковых и подкорковых областях [8].
Значительное усиление васкуляризации было замечено в мозге, сердце и скелетных мышцах у крыс в течение 2 недель, начиная с приема алкоголя [15]. Было показано, что этанолиндуцированное повышение плотности кровеносных сосудов может быть вовлечено в механизм ограждения от ишемии и реперфузии путем усиления кровоснабжения через фактор роста эндотелия сосудов. Однако одновременно отмечено торможение ангиогенеза, индуцированное умеренными дозами этанола, нейтрализующее фактор роста эндотелия.
Количественное морфометрическое изучение нейронов и макроглиоцитов, проводимое в III и V слоях соматосенсорной коры мозга у пациентов с этанольным отравлением, алкогольной абстиненцией и хронической алкогольной интоксикацией [10] демонстрировало более выраженный отек нейронов III слоя коры у пациентов с отравлением этанолом.
В наших исследованиях в вышеотмеченные сроки алкогольного отравления были обнаружены дегенерированные гипертрофированные нейроны, окруженные межклеточным отеком, во всех слоях сенсомоторной коры головного мозга (неопубликованные данные).
Межклеточный отек мозга обусловливает сужение борозд и выпячивание мозговой ткани, и нарушение контактов между нейронами и нервными окончаниями в PVN, а также между боковыми поверхностями клеток эпендимы III желудочка мозга [2]. Другой причиной развития отека может быть активирование гистамином H1 и H2 рецепторов мозговых эндотелиальных клеток [13,17].Установлено, что гистамин регулирует проницаемость эндотелия и функцию гемато-энцефалического барьера (Blood-brain barrier, BBB). Предполагается, что мозговые эндотелиальные клетки не синтезируют гистамин, но захватывают его из циркулирующей крови [14]. Мозговой отек снижается или предотвращается под влиянием различных факторов, что может свидетельствовать о повышении адап-тивных возможностей организма.
Исходя из вышеописанного, можно предположить, что одной из причин уменьшения диаметра капилляров при хронической алкогольной интоксикации является механическое сдавливание вследствие отека мозга.
Значительный интерес представляет изучение нейрогуморальных механизмов регуляции микроциркуляции. В нервно-гуморальном меxанизме регуляции микроциркуляции исследователи уделяют особое внимание действию медиаторов, выяснению значения нервной и гормональной регуляции для разных уровней организации управления кровообращением, уточнению роли физиологически активных веществ в регуляции регионарного кровообращения в микроциркуляции[5].
Гистамин является одним из самых активных вазодилататоров. Основные запасы эндогенного гистамина в организме локализуются в базофильных лейкоцитах и тучных клетках соединительной ткани, разбросанных по всему спинному мозгу, а также в компартментах внутренней поверхности гемато-энцефало-спинномозговой жидкости [18].
Высвобождение гистамина из тучных клеток происходит в результате действия на них эндогенных гистамин-либераторов, таких как тубокурарин, холиномиметические агенты 48/80, вещества Р [16] и кардиоактивный нейрогормон «С», выделенный из гипоталамо-гипофизарной системы млекопитающих [1]. Однако гистамин, с одной стороны, оказывает вазодилататорное действие на капилляры, а с другой – вазоконстрикторное действие на артериолы[3].
Наблюдаемая при 10% и 15% концентрации постстенотическая дилатация капилляров, возможно, является следствием действия гистамина, а также активации кортикотропин нейротензина и субстанции Р [20].
Известно, что для поддержания общего гомеостаза в организме функционируют физиологически активные вещества, медиаторы и нейропептиды с противоположными функциональными свойствами. Установлено, что симпатические нейроны содержат не только классический нейротрамсмиттер норэпинефрин, но и различные нейропептиды, такие как энкефалины и нейропептид Y (NPY), которые контролируют друг друга, ингибируя синтез в пресинаптических участках и потенцируя сосудосуживающее действие на постсинаптическом уровне [11,22].
NPY является распространенным пептидом с множественным влиянием на энергетический метаболизм, размножение, нейрогенез и эмоции. NPY оказался ключевым при поддержании многих стрессовых реакций [12]. Значительное потенцирование NPY сокращения большинства кровеносных сосудов (артерий и вен) у крыс, вызванное рецептором H1 гистамина при одноразовом введении гистамина, приведено в работе Piao H. et al. [19]. Показано также упразднение этого временного сокращения антагонистами гистаминовых H1 рецепторов. Повышенная сосудистая сокращаемость может быть приписана как к эндотелиальной дисфункции, так и повышенной сокращаемости гладких мышц кровеносных сосудов [9].
Для подтверждения роли приведенных выше физиологически активных соединений в механизме регулирования микроциркуляторного русла при хронической алкогольной интоксикации нами намечается дальнейшее проведение иммуногистохимических исследований.
Таким образом, полученные нами морфометрические данные указывают на компенсаторно-приспособительные изменения капиллярного звена микроциркуляторного русла после алкогольной интоксикации. Учитывая анатомические, физиологические и биохимические исследования, подтверждающие возможность нейронального контроля функции капилляров, можно предположить, что разница в дисфункции капилляров мозга при различных концентрациях алкоголя во многом зависит от степени расстройства нервно-гуморальной системы.
Литература
- Абрамян С.С., Галоян А.А. Регуляторное взаимодействие кардиопептидов гипоталамуса и тучных клеток сердца. Нейрохимия, 1997, т.14, 3, с. 248-262.
- Королев Ю. Н., Гениатулина М.С. Ультраструктура гипоталамуса при профи-лактическом применении питьевых минеральных вод в условиях радиационного облучения. Вопросы курортологии, физиотерапии и лечебной физической культуры, 2002, 4, с.41-43.
- Мелешин С.В., Плейшаков В.П. Морфологические и клинические аспекты микроциркуляции. Науч. тр. Новосибирского мед. ин -та .1974, т. 75, с.59-61.
- Солонский А.В., Логвинов С.В., Кутепова Н.А., Данилец А.В. Количественная динамика синаптогенеза и васкулогенеза мозга эмбрионов и плодов человека в условиях пренатального воздействия этанола . Сибирский вестник психиатрии и наркологии. 2008, 1, с.79–83.
- Чазов В.И., Елисеев О.М. Кардиология. 1976, т.16, 12, с. 10-15.
- Чернух А .М., Александров П.Н., Алексеев О.В. Микроциркуляция. М., 1984.
- Чилингарян А.М. Новый кальций-аденозинтрифосфатный метод для выявления внутриорганного микроциркуляторного русла у кошек. ДАН Арм. ССР, 1986, т.82, с. 66-71.
- Chung Y.A., Choi S.W., Joe K.H., Jeong J., Cheon Y., Kim D.J. Regional cerebral blood flow in patients with alcohol-related dementia: a SPECT study. Int. J. Neurosci., 2009, vol.119(11), p.2100-11.
- Dahlof C., Dahlof P., Tatemoto K., Lundberg J.M. Neuropeptide Y reduces field stimulation evoked release of noradrenalin and enhances force of contraction in the rat portal vein. Nanvin-Schmiedeberger’s Arch. Pharm., 1985, vol.328, p. 327-330.
- Droblenkov A.V. Differential diagnosis of ethanol poisoning, alcohol withdrawal, and chronic alcoholic intoxication from the changes in neurons and macroglyocytes in the cerebral cortex. Sud. Med. Ekspert., 2010, vol. 53(4), p. 28-32.
- Greif K. Expression of preproenkephalin mRNA in rat superior cervical ganglion during postnatal development. Neurosci. Lett.,1994, vol. 180, p. 203-208.
- Hirsch D., Zukowska Z. NPY and stress 30 years later: the peripheral view. Cell. Mol. Neurobiol., 2012 , vol. 32(5), p.645-59.
- Joo F., Kovacs J., Szerdahelyi P., Temesvari P., Tosaki A. The role of histamine in brain oedema formation. Acta Neurochir., 1994,vol. 60, p. 76-80.
- Karlstedt K., Sallmen T., Eriksson K.S.,Lintunen M., Couraud P.-O., Joo F., Panula P. Lack of histamine synthesis and down- regulation of H1 and H2 receptor mRNA levels by dexamethasone in cerebral endothelial cells. J. Cereb. Blood Flow Metab., 1999, vol.19, p.321-330.
- Louboutin J.P., Marusich E., Gao E., Agrawal L., Koch W.J., Strayer D.S. Ethanol protects from injury due to ischemia and reperfusion by increasing vascularity via vascular endothelial growth factor.Alcohol, 2012, vol. 46(5), p.441-54.
- Marone G., de Crescenzo G., Adt M., Patella V., Arbustini E., Genovese A. Immunological characterization and functional importance of human heart mast cells. Immunopharmacology,1995, v.31.p.1-18.
- Mohanty S., Dey P.K., Sharma H.S., Singh S., Chansouria J.P., Olsson Y. Role of histamine in traumatic brain edema. An experimental study in the rat. J. Neurol. Sci., 1989,vol. 90, p. 87-97.
- .Palkovits M., Toth Zs., Gallatz K., Buzas E., Falus A. Activity of brain histaminergicneurons in response to stress. In situ hybridization histochemical studies on rats and transgenic mice. Biochemical and molecular-biological aspects of the brain immune system, Proced. of the International Conference, 2001, p. 211-221.
- Piao H., Nagai S., Tsurumaki T., Niki T., Higuchi H. Potentiation by neuropeptide Y of histamine H1 receptor-mediated contraction in rat blood vessels. Vascul. Pharmacol., 2007, vol. 46(4), p.260-70.
- Singh L.K., Pang X., Alexacos N., Letourneau R., Theoharides T.C. Acute immobilization stress triggers skin mast cell degranulation via corticotropin releasing hormone, neurotensin, and substance P: A link to neurogenic skin disorders. Brain Behaiv. Immun., 1999, vol.13(3), p. 225-239.
- Suzuki K., Izumi М. Alcohol is a Risk Factor not for Thalamic but for Putaminal Hemorrhage: The Akita Stroke Registry. J. Stroke Cerebrovasc. Dis., 2012 Aug 29. [Epub ahead of print]
- Wahlestedt C., Hakanson R. Vaz C.A., Zukovska-Grojec Z. Norepinephrine and neuropeptide Y: vasoconstrictor cooperation in vivo and in vitro. Am. J. Physiol., 1990, vol. 258, p.736-742.
25.01.2013 Читайте также
Ключевые слова: остеоартрит, гиалиновый хрящ, хондроцит, коллаген
Остеоартрит является ведущей причиной инвалидности населения в возрасте 60 лет и выше. Предполагается, что у 80% населения к возрасту 65 лет обнаруживаются радиографические признаки остеоартрита...
31.01.2013 Ключевые слова: периодическая болезнь, интерлейкин-6, растворимый рецептор ИЛ-6 (sIL-6R), артропатии, аутовоспалительные заболевания
Периодическая болезнь (ПБ), или семейная средиземноморская лихорадка (Familial Mediterranean Fever FMF; MIM 249 100), – наследственное аутовоспалительное системное заболевание с аутосомно-рецессивным типом наследования...
30.01.2013 Ключевые слова: атриопептид, коронароактивность, ключевой регулятор, гемокоагуляция, нейрогормон
Проблема регуляции – одна из центральных в биологии, поскольку она непосредственно связана со становлением и поддержкой гомеостаза, обеспечивающего относительное постоянство организма при непрерывно меняющихся условиях его внутренней и внешней среды...
29.01.2013 Ключевые слова: потепление климата, климатические сценарии, малярия, восприимчивость территории, районирoвание, элементы малярийного сезона
В последние годы проблема глобального потепления климата находится в центре внимания правительственных, научных и деловых кругов многих стран, выражающих обеспокоенность климатическими изменениями планеты...
28.01.2013 Ключевые слова: клещевой энцефалит, лихорадка Западного Нила, комары, мошки,полимеразная цепная реакция
Арбовирусные инфекции в связи с их полиэтиологичностью, широкой распространенностью, тенденцией к возникновению новых нозоформ находятся в центре внимания исследователей во всем мире...
24.01.2013 Ключевые слова: атопический дерматит, эпидемиология, бронхиальная астма, аллергический ринит, профилактика
Аллергия – это варианты иммунного ответа, в основе которых лежит гиперчувствительность немедленного или замедленного типов...
23.01.2013 Ключевые слова: гендерные различия, вариабельность сердечного ритма, гемодинамика, функциональное состояние, умственная и физическая нагрузка, вариационная пульсометрия, спектральный анализ
Показатели вариабельности сердечного ритма (ВСР) и гемодинамики при умственной и физической нагрузке имеют некоторые особенности, обусловленные гендерными факторами...
22.01.2013 Ключевые слова: вирусный гепатит В, генотип,клинические формы, серологические маркеры
В настоящее время вирусные гепатиты продолжают занимать одну из ведущих позиций среди важнейших медицинских проблем современности, что определяется прежде всего широчайшим распространением этих инфекций...
21.01.2013 Ключевые слова: периферические витреохориоретинальные дистрофии, решетчатая дистрофия, дистрофия по типу «след улитки», гемодинамика
Актуальность работы обусловлена тем, что патология сетчатки в молодом возрасте является причиной 4–9 % инвалидизирующих зрительных расстройств [4] и занимает 2-3-е ранговые места среди всех причин полной потери трудоспособности [2, 3]...
18.01.2013 Ключевые слова: вирус Эпштейна-Барр, герпес-вирусы, хронические обструктивные болезни легких, противовирусные препараты, гроприносин, IgG
В последние годы наблюдается рост числа больных, страдающих хроническими рецидивирующими герпес-вирусными инфекциями...
17.01.2013 Ключевые слова: эхинококкоз, перекисное окисление липидов, оксид азота
Эхинококкоз – паразитарное заболевание, распространенное во многих странах мира и продолжающее оставаться серьезной медицинской и народно-хозяйственной проблемой...
16.01.2013 Ключевые слова: безоар, эвакуаторные нарушения, кишечная непроходимость, инородное тело
Безоары представляют собой шарообразные плотные конгломераты из растительных волокон. Безоары – это совершенно исключительные инородные тела, которые локализуются в желудке...
15.01.2013
САМЫЕ ЧИТАЕМЫЕ СТАТЬИ
-
Нормы роста и веса детей – данные ВОЗ
-
Зеленые выделения из влагалища: причины и лечение
- Анатомо-физиологические особенности дыхательной системы у детей
-
Насморк с кровью: причины симптома и способы лечения
- Анатомо-физиологические особенности сердечно-сосудистой системы у детей
- Анатомо-физиологические особенности пищеварительной системы у детей
- Анатомо-физиологические особенности мочевыделительной системы у детей
- Сравнительная характеристика параметров функции внешнего дыхания (обзор литературы)
- Современные представления о норме и патологических отклонениях размеров восходящей аорты при приобретенных пороках сердца
- Анатомо-физиологические особенности детей
- Анатомо-физиологические особенности костно-мышечной системы у детей
- Паллиативная химиотерапия рака: основные понятия и особенности (oбзор литературы)
-
Что можно и что нельзя делать после удаления аппендицита
-
Увеличенные яичники: симптомы, причины и лечение
-
Новейшие достижения онкологии в МЦ «Наири»: интервью с Артемом Степаняном. nairimed.com
-
О чем говорит головная боль за ухом? Причины, симптомы и лечение
-
Как снизить риск инсульта. erebunimed.com
-
Характер мужчины проявляется в выборе позы для секса
-
Армянская ассоциация медицинского туризма (ААМТ)
-
Желтые выделения из влагалища: причины и лечение
-
Рвота у ребенка без температуры: возможные причины
- Применение летрозола для стимуляции овуляции
- Врожденные аномалии и пороки развития
-
КАТИОНОРМ – представитель нового поколения искусственных слез для симптоматической терапии синдрома “сухого глаза”
-
Арам Бадалян: Родинку трогать нельзя?
- Применение противоспаечных средств в профилактике спаечной болезни живота (oбзор литературы)
-
Как избавиться от лямблий — 25 эффективных рецептов народной медицины
-
Вздутие живота при месячных: 7 способов справиться с неприятным ощущением
-
Компресс при ангине: будет ли полезным прогревание горла?
-
Онкология является самой быстроразвивающейся отраслью медицины: интервью с Левоном Бадаляном
-
Лечение марганцовкой
- Некоторые новые подходы к системной терапии метипредом больных ревматоидным артритом
- Медицинские информационные системы.Информационная система для интегрального фармацевтического и здравоохранного мониторинга
-
Фармацевтическая опека
- Подходы к оперативному лечению костно-хрящевых экзостозов
- Повреждения при родах
- Инциденталома надпочечников
-
Курение марихуаны влияет на потенцию
-
Почему противозачаточные увеличивают грудь?
- Применение индинола и эпигаллата при аденомиозе













Научная медицина
Болезни
Традиционная медицина
Здоровый образ жизни
Косметология
Медицинское право
Алгоритмы, тесты
Цифры, факты, случаи
Историческая хроника
Афоризмы
Карьерная лестница
Дети
Женщина
Мужчина
Рейтинговая система



