НОВОСТИ. Лабораторные исследования
В журнале Oncotarget было представлено новое исследование, выводы которого гласят, что РНК мочи выступает в роли раннего диагностического маркера при раке мочевого пузыря...
12.07.2021
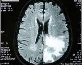
Недавнее исследование ученых Нагойского университета, Япония показало, что микроРНК в моче можно использовать как биомаркер для диагностики опухолей головного мозга. Свои результаты они представили в журнале...
18.06.2021
В новом исследовании, проведенном междисциплинарной группой ученых был определен единственный белок, присутствующий в крови, который связан с повышенным риском послеоперационного делирия. Открытие, опубликованное...
22.02.2021
Помимо того, что перед прохождением вакцинации от коронавируса не рекомендуется употреблять спиртные напитки, есть ещё несколько моментов, которые стоит учитывать. О них изданию "Ура.ру" рассказала заведующая...
23.12.2020
Уникальная технология скоро будет испытана на 165 тысячах пациентов государственных клиник Англии. Речь об анализе крови, проверяющем наличие сразу 50 злокачественных новообразований...
01.12.2020
Тесты на коронавирус могут показать неправильный результат, если при их прохождении допустить какие-либо ошибки. Об этом сообщил РБК со ссылкой на опрошенных экспертов...
25.11.2020
Согласно исследованию, проведенному учеными из Школы общественного здравоохранения Джонса Хопкинса в Блумберге, простой анализ крови, не требующий ночного голодания, оказался точным инструментом скрининга для выявления молодежи...
24.08.2020
Микроцитоз – состояние, при котором эритроциты становятся аномально небольшими, может быть индикатором рака. К такому выводу пришло исследование, проведенное Эксетерским университетом...
07.05.2020
Как передает РИА "Новости", датские ученые из Копенгагенского университета установили: низкая концентрация лимфоцитов в крови коррелирует с повышенным риском ранней смерти. Лимфоциты входят в группу клеток...
15.01.2020
САМЫЕ ЧИТАЕМЫЕ СТАТЬИ
-
Нормы роста и веса детей – данные ВОЗ
-
Зеленые выделения из влагалища: причины и лечение
- Анатомо-физиологические особенности дыхательной системы у детей
-
Насморк с кровью: причины симптома и способы лечения
- Анатомо-физиологические особенности сердечно-сосудистой системы у детей
- Анатомо-физиологические особенности пищеварительной системы у детей
- Анатомо-физиологические особенности мочевыделительной системы у детей
- Сравнительная характеристика параметров функции внешнего дыхания (обзор литературы)
- Современные представления о норме и патологических отклонениях размеров восходящей аорты при приобретенных пороках сердца
- Анатомо-физиологические особенности детей
- Анатомо-физиологические особенности костно-мышечной системы у детей
- Паллиативная химиотерапия рака: основные понятия и особенности (oбзор литературы)
-
Что можно и что нельзя делать после удаления аппендицита
-
Увеличенные яичники: симптомы, причины и лечение
-
Новейшие достижения онкологии в МЦ «Наири»: интервью с Артемом Степаняном. nairimed.com
-
О чем говорит головная боль за ухом? Причины, симптомы и лечение
-
Как снизить риск инсульта. erebunimed.com
-
Характер мужчины проявляется в выборе позы для секса
-
Армянская ассоциация медицинского туризма (ААМТ)
-
Желтые выделения из влагалища: причины и лечение
-
Рвота у ребенка без температуры: возможные причины
- Применение летрозола для стимуляции овуляции
- Врожденные аномалии и пороки развития
-
КАТИОНОРМ – представитель нового поколения искусственных слез для симптоматической терапии синдрома “сухого глаза”
-
Арам Бадалян: Родинку трогать нельзя?
- Применение противоспаечных средств в профилактике спаечной болезни живота (oбзор литературы)
-
Как избавиться от лямблий — 25 эффективных рецептов народной медицины
-
Вздутие живота при месячных: 7 способов справиться с неприятным ощущением
-
Компресс при ангине: будет ли полезным прогревание горла?
-
Онкология является самой быстроразвивающейся отраслью медицины: интервью с Левоном Бадаляном
-
Лечение марганцовкой
- Некоторые новые подходы к системной терапии метипредом больных ревматоидным артритом
- Медицинские информационные системы.Информационная система для интегрального фармацевтического и здравоохранного мониторинга
-
Фармацевтическая опека
- Подходы к оперативному лечению костно-хрящевых экзостозов
- Повреждения при родах
- Инциденталома надпочечников
-
Курение марихуаны влияет на потенцию
-
Почему противозачаточные увеличивают грудь?
- Применение индинола и эпигаллата при аденомиозе













Научная медицина
Болезни
Традиционная медицина
Здоровый образ жизни
Косметология
Медицинское право
Алгоритмы, тесты
Цифры, факты, случаи
Историческая хроника
Афоризмы
Карьерная лестница
Дети
Женщина
Мужчина
Рейтинговая система