Медицинская наука Армении 2.2011
Ультраструктурные повреждения почек белых крыс при синдроме длительного раздавливания и протекторная роль ПБП
Ключевые слова: СДР, почки, ПБП, электронная микроскопия
За последние десятилетия во всем мире отмечается тенденция к росту количества чрезвычайных ситуаций (природных, техногенных, социальных и других катастроф), сопровождающихся значительным числом человеческих жертв. Землетрясения являются наиболее масштабными и опасными природными катаклизмами, несчастные случаи при этом составляют 90% [12,17]. В течение последних 20 лет значительно возрос арсенал знаний и выбор подходов в таких случаях [13,14].
Травма, в отличие от других заболеваний, как например, сердечно-сосудистых или эндокринных, является более разрешимой проблемой, поскольку общество имеет большие резервы для предупреждения травм и для борьбы с их последствиями. В структуре травматических поражений синдром длительного раздавливания (СДР) составляет от 15 до 24% и представляет собой наиболее сложную и тяжелую категорию травматических патологий, которая с трудом поддается лечению даже в условиях специализированных и хорошо оснащенных клиник. СДР является особым видом травматического повреждения организма со своеобразной клинической картиной развития патогенеза с высокой летальностью (до 70 %) [31].
При СДР имеет место развитие иммобилизационного стресса, активатором которого являются токсические пептиды, образующиеся в ишемизированной мышце [26,29].
В самой начальной стадии СДР развивается гипоксия органов, обусловленная повышенным выделением в кровь катехоламинов, с последующими микроциркуляторными расстройствами [1]. В период декомпрессии токсические продукты, «выброшенные» ишемизированными почками и мышцами, проникают в сосуды и еще более усугубляют тяжелое состояние организма. Развитие расстройства микроциркуляции приводит к развитию острой гипоксии, которая ведет к функциональной недостаточности эпителиоцитов нефрона почек, гепатоцитов ацинуса в печени, что выражается в виде повреждения этих клеток [1]. Развивается острая почечно-печеночная недостаточность с летальным исходом [14, 23, 27, 28].
После длительного сдавливания конечностей по возможности раннее применение антиоксидантов может существенно снизить степень заболеваемости и инвалидности.
В данной модели в качестве протектора нами был выбран пролином богатый пептид (ПБП-1), который является иммуномодулятором и нейропротектором широкого профиля действия [21]. Поскольку при СДР мы имеем дело с токсическими продуктами, вырабатываемыми собственно организмом (в ишемизированной мышце) в период компрессии и выбрасываeмые в ток крови в период декомпрессии, то в данной модели мы посчитали целесообразным использование ПБП-1, учитывая все его свойства и, в частности, нейропротекцию против многих токсических продуктов, вырабатываемых в организме, мощное антимикробное и антивирусное действие [4-6,8,18], торможение проапоптотических каспаз 3 и 9, активацию каспаз 2 и 6 [19], стимуляцию иммуннокомпетентных клеток (Т, В и макрофагов) [4-6, 18-20], участие в механизмах экспрессии интерлейкинов (TNF, IL-1, IL-6) в фибробластах, макрофагах и астроцитах [8].
Экспериментально доказано, что находящиеся под компрессией белые крысы, получившие внутрибрюшинно ПБП перед снятием компрессии, выживали почти на 100% (без ПБП гибель животных составляла 25-30%), а повреждения были скорректированы ПБП, в некоторых случаях вплоть до интактного уровня [12].
Целью данной работы является выявление динамики ультрастуктурных изменений почек белых крыс при синдроме длительного раздавливания в эксперименте, а также роль ПБП как возможного протектора.
Материал и методы
Материалом для данного исследования послужили биоптаты почек белых крыс линии Wistar. Исследования проводились на белых крысах-самцах массой 180-200 г, содержащихся на обычном пищевом рационе.
Экспериментальную модель СДР вызывали путем раздавливания бедренной мышцы на специальной установке с силой давления 100 кгּкг-1 массы животного, площадью сдавливания 7см2 и продолжительностью 2ч [9, 24]. Животные были разделены на следующие группы: I– интактная, II–контроль: компрессия в течение 2 ч – декомпрессия – декапитация; III–опытная: 1) компрессия в течение 2 ч – декомпрессия в течение 4 ч – декапитация; 2) компрессия в течение 2 ч – внутрибрюшинное введение ПБП-1 (10 мкг на каждые 100г массы животного) – декомпрессия в течение 4 ч – декапитация.
Биоптаты почек крыс, взятые непосредственно после декапитации животных, были подвергнуты обработке в целях трансмиссионного электронномикроскопического исследования по следующей схеме: 1–обработка (префиксация в смеси альдегидов: параформальдегид-глутаральдегид по методике [22]; постфиксация с помощью 2 % раствора четырехокиси осмия на какодилатном буфере не менее 1 ч; обезвоживание биообразцов проводилось в восходящем ряду этанола и ацетона, с последующей заливкой смесью эпоксидных смол и полимеризацией при 60º С в течение 48 ч; 2–ультрамикротомирование – получение ультратонких срезов в целях трансмиссионной электронной микроскопии осуществлялось на ультратоме “Reichard” (Австрия); 3–контрастирование–ультратонкие срезы, полученные на ультратоме контрастировали спиртовым раствором уранил ацетата и лимоннокислым свинцом по Рейнолдс [30]; 4–просмотр и съемка проводились под электронным микрос-копом фирмы “TESLA – BS 500” (Чехословакия).
Результаты и обсуждение
Так как почки относятся к числу первых органов-мишеней, страдающих при СДР, то нами была поставлена задача изучить воздействие токсинов на их ультраструктуру, провести сравнительный анализ изменений при 2 ч компрессии и 4 ч декомпрессии с целью выявления степени влияния катехоламинов как таковых, а также в сочетании последних с токсинами, образованными в ишемизированных мышцах, и, наконец, рассмотреть ПБП как потенциальное протекторное вещество.
Как показали результаты проведенного нами исследования, почки интактных белых крыс, эпителиальные клетки, почечное тельце, проксимальные и дистальные отделы нефрона, собирательные трубочки, артериолы почечного тельца, кровеносные капилляры почечных клубочков в целом имели типичную для почечного тельца и нефрона картину.
Полученные результаты указывают на то, что повышение уровня катехоламинов в крови при 2 ч компрессии мягких тканей находит свое отражение как на функции, так и на структурной целостности структурно-функциональной единицы почки. В период компрессии бедренной мышцы в течение 2 ч ультраструктурные изменения почки белых крыс имеют следующий характер: просвет капилляров расширен, наблюдается вакуолизация цитоплазмы эндотелия и ряд изменений в ультраструктуре органелл эпителиоцитов почечного тельца. Гладкий эндоплазматический ретикулум (ГЭР) представлен расширенными канальцами, имеет место вакуолизация цитоплазмы, а также маргинация гетерохроматина в ядрах (рис.1а,б).
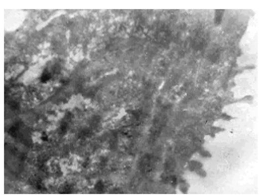
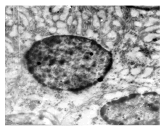
Структурные изменения почки белых крыс обусловлены как выбросом катехоламинов в период 2 ч компрессии в ответ на боль и стресс, так и группой токсических пептидов, образовавшихся в результате протеолиза миоглобина в ишемизированной мышце в период компрессии и выброшенных в кровь в период декомпрессии. Как известно, пептиды, образованные в ишемизированной мышце, являются крайне токсичными и с попаданием в кровяное русло в результате реперфузии вызывают ряд серьезных нарушений. К числу последних относятся серьезные нарушения в микроциркуляции крови, в результате чего развивается гипоксия и , как следствие последней, ишемия различных тканей и органов. Как показали результаты наших исследований, ультраструктурные изменения почки крыс при 4ч декомпрессии имеют следующий характер: просвет капилляров нефрона расширен с явными признаками полнокровия, эритроциты находятся в процессе агрегации, наблюдается вариация их форм (рис.2а). Имеет место выраженный отек, а также разрушение цитотрабекул клетки дистального отдела нефрона (рис.2б). Наряду с перечисленными ультраструктурными изменениями необходимо отметить наличие планктонных форм и микроколонии грамотрицательных бактерий в дистальном отделе нефрона (рис.2 в).
Подобные структурные изменения в эпителии несут мозаичный характер, что объясняет наличие, наряду с деструктивными клетками, клеток без видимых изменений.
Анализ полученных данных касательно повреждения клеточных структур нефрона почек 2 ч СДР и 4 ч декомпрессии–полнокровие ка-пилляров, транслокация эритроцитов через поврежденную эндотелиальную выстилку в субэндотелиальную зону, а также отек эпителия подоцитов, разрушение цитотрабекул, изменения в митохондриях, в гранулярном эндоплазматическом ретикулуме, расширение канальцев гладкого эндоплазматического ретикулума, вакуолизация цитоплазмы, наличие бесструктурных масс в просвете нефрона и маргинация гетерохроматина в ядрах, показал, что по характеру ультраструктурные изменения кровеносных капилляров и эпителиальных клеток напоминают картину гипоксии и рассматриваются как основные звенья в патогенезе СДР [2,7].
![]() |
![]() |
|
|
Рис.2а. Полнокровие в капиллярах нефрона-гемостаз через 4ч после декомпрессии. Масштаб 1 мкм |
Рис.2б. Ультраструктура клетки дистального отдела нефрона через 4 ч после декомпрессии.Масштаб 1 мкм |
Рис.2в. Микроколонии бактерий в дистальном отделе нефрона.
Масштаб 1 мкм
В качестве протектора нами был использован ПБП-1. Последний является естественным гипоталамическим пептидом, обладающим многосторонними выраженными свойствами регуляции метаболизма, регулирует реакции клеточного и гуморального иммунитета. Как показали результаты наших исследований, картина наблюдений сильно отличается от таковой при 2 ч компрессии и 4 ч декомпрессии. Практически на уровне всех внутриклеточных органелл наблюдается положительный сдвиг. Ярко выраженных ультраструктурных изменений не наблюдается, однако состояние клеток несколько отличается от такового у интактных животных. Как показали результаты, при введении ПБП на фоне 2 ч компрессии деструктивных изменений, присущих 4 ч декомпрессии, не выявляется, параллельно наблюдается тенденция к коррекции изменений, обусловленных 2 ч компрессией (рис. 3 а, б, в).
Рис.3в. Ультраструктура эпителиальной клетки дистального отдела трубочки через 4ч после декомпрессии на фоне ПБП. Масштаб 1 мкм
Как показал ультраструктурный анализ биообразцов почек, при 4-часовой декомпрессии после введения ПБП, планктонных форм и микроколоний грамотрицательных бактерий в дистальном отделе нефрона не выявляется, что указывает на бактериостатическое действие препарата на бактериальную флору и находит свое подтверждение в имеющихся в литературе данных об иммуномодулирующем и бактериостатическом свойствах ПБП [10,11,25].
Учитывая токсемию, полиорганную недостаточность, нарушения иммунного статуса [3,10,11,15,25] при СДР и иммуномодулирующее, протективное свойство ПБП, проведенное нами электронномикроскопическое исследование нефрона почек белых крыс на фоне действия ПБП установило процесс внутриклеточного частичного восстановления ультраструктурных компартментов (митохондрий, цитоплазматических мембранных структур ретикулума) (рис. 3а, б, в), составляющих нефрона под действием ПБП.
Проведя сравнительный анализ литературных данных с резуль-татами проведенного нами исследования, мы пришли к выводу, что ПБП препятствует развитию глубоких деструктивных изменений в структурной единице почки и стимулирует внутриклеточные репаративные процессы в клетках нефрона при СДР.
Поступила 18.05.11
Литература
- Азнаурян А. В. Патогенетические аспекты синдрома длительного раздавливания в свете ультраструктурного анализа. Мед. наука Армении НАН РА, 2000, т.XL,3, с. 65-69.
- Азнаурян А.В., Мартиросян Н.Р., Хачатрян А.М. Изменения в почках при синдроме длительного раздавливания в свете светооптического и ультраструктурного анализа. Вопросы теоретической и клинической медицины. 2003, т. 6, 1(27), с.24-26.
- Азнаурян А.В.и др. Кардиотоксическая активность экстракта тканей и сыворотки крови при экспериментальном синдроме длительного раздавливания(СДР).Вестник хирургии Армении,1999, 1/2(20), с.134-137.
- Априкян В.С., Галоян А.А. Иммунопротективные свойства нового гипоталамического полипептида при бактериальных патологиях. Мед. наука Армении НАН РА, 1999а, т.XXXIX , 2, с.23-29.
- Априкян В.С., Галоян А.А. Иммунокорригирующие свойства нового гипоталамического полипептида при макрофагассоциированных бактериальных дисфункциях. Мед. наука Армении НАН РА, 1999б, т. XXXIX, 4, с.29-36.
- Априкян В.С., Галоян А.А. Гипоталамический полипептид предохраняет от гибели мышей при их заражении грамотрицательными бактериями. Нейрохимия, 2000, т. 17, 1, с. 60-63.
- Бардахчьян Э.А., Кардашьян Г.Х., Бочков Н.И. Ультраструктурные изменения в нефроне, вызванные длительным раздавливанием тканей. Ж. экспер. и клин. мед. 1979, т. 19, 3, с. 48-55.
- Галоян А.А., Априкян В.С.,Маркосян К.А., Гурвиц Б.Я. Нейросекреция цитокинов магноцеллюлярными клетками гипоталамуса. Нейрохимия, 1998, т.15, 4, с. 361-372.
- Дзись Е.И. Коагулирующие аспекты патогенеза повреждений ультраструктуры почек в раннем периоде синдрома длительного раздавливания. Автореф. дис… канд. мед. наук., Львов, 1983.
- Дургарян А.А. и др. Протекторный эффект богатых пролином полипептидов –галармина и его аналога D-15 галармина при генерализованной стафилококковой инфекции, вызванной метициллин-резистентным Staphylococcus aureus в условиях in vivo. Биол. журн. Армении, 2011, 1 (63), с.72-77.
- Зильфян А.В. и др. Возможные иммунологические механизмы индукции синдрома полиорганной недостаточности при острых панкреатитах, краш-синдроме и меха-нической желтухе.Сб.научных трудов ЕГМУ, посвящ. 75-лет. ЕГМУ, Ереван, 2005, с.90-165.
- Мелконян Л.Г., Галоян А.А., Айрапетян Р.Л., Барсегян К.А., Геворкян А.Г., Геворкян Г.А. Нарушения уровня синтеза белка в ультраструктурных компонентах кардиомио-цитов при синдроме длительного раздавливания и их корреция пролином богатым пеп-тидом. Мед. наука Армении НАН РА, 2009, т. XLIX,1, с. 31-39.
- Ованесян Р.А., Шердукалова Л.Ф., Хачатрян С.А. Некоторые вопросы патогенеза, клиники и лечения синдрома длительного сдавливания. Мед. наука Армении НАН РА, 1996, т. XXXVI, 3-4, с. 33-45.
- Ованесян Р.А., Шердукалова Л.Ф. Патогенетические аспекты синдрома длительного сдавливания. Мат. межд. Симпозиума «Медицинские аспекты последствий землетря-сения в Армении», 1998, Ереван, с.130-131.
- Пшенникова М.Г., Егорова И.А., Шимкович М.В., Виницкий Л,И. Меерсон Ф.З. Миоглобнн как показатель стрессового повреждения. Бюл., эксперим. биол. и мед. 1995, т. CXV, 1, с. 25-26.
- Ashkenazi I., Isakovich B., Kluger Y., Alfici R., Kessel B., Better O.S. Prehospital management of earthquake causalities buried under rubble. Prehospital and Disaster Medicine, 2005, 20, 2, p. 122-133.
- Briggs S.M. Earthquakes. Surg. Clin. North Am., 2006 Jun; 86(3): 537-44.
- Galoyan A.A. Neurochemistry of brain neuroendocrine immune system: signal molecules. Neurochem. Res., 2000, 25, p. 1343-1355.
- Galoyan A.A., Terio T., Berg M., Marks N. Effects of proline-rich peptide derived from Neurophysin-II on caspases of murine neuroblastoma: evidences for caspase-2 and -6 activation. Neurochemistry (RAS and NAS RA), 2000 b, 17, p. 185-188.
- Galoyan A.A., Aprikian V.S. A new hypothalamic polypeptide is a regulator of myelopoesis. Neurochem. Res., 2002, 27, p. 305-312.
- Galoyan A.A. Neurochemistry of brain neuroendocrine immune system: signal molecules. In: Galoyan A.A. (ed) Proceeds of the Intern. Conf. on Bioch. and Molec.-Biol., Aspects of the Brain Immune System. Sep. 15-19, Yerevan-Tsakhkadzor, Enciclopedia Armenica, Armenia, 2001, p. 22-34.
- Graham R.C. Jr., Karnovsky M.J. The early stages of absorption of injected horseradish peroxidase in the proximal tubules of mouse kidney: ultrastructural cytochemistry by a new technique. J. Histochem. Cytochem., 1966 Apr; 14(4): 291-302.
- Ismailov R.M., Shevchuk N.A., Khusanov H. Mathematical model describing erythrocyte sedimentation rate. Implications for blood viscosity changes in traumatic shock and crush syndrome. Biomed. Eng., Online, 2005, 4, 1,p.24.
- Kevorkian G.A., Kanayan A.S., Voskanian L.H., Khachatrian H.F. Disorders of the level of white rat brain protein synthesis during crush-syndrome. J. of Neurochem., 1998, 71, p.70.
- Kevorkian G.A., Marukhyan G.L., Arakelyan L.N. et al. Influence of hypothalamic proline-rich peptide on the level of 14C. glucose utilization during crush syndrome. Neurochem. Res., 2001, 26, 7, p. 829-832.
- Kevorkian G., Kanayan A., Hayrapetyan H., Guevorkian A., Melkonyan L. and Galoyan A.. Necrotic injury of a myocardium at the experimental crush syndrome and an opportunity of its treatment. The FEBS Journal, 2006, 273, p. 255.
- Lameire N.H., De Vrise A.S., Vanholder R. Prevention and nondialytic treatment of acute renal failure. Curr. Opin. Crit. Care, 2003, 9, 6, p.481-490.
- Malinoski D.J., Slater M.S., Mullins R.J. Crush injury and rhabdomyolysis. Crit. Care Clin., 2004, 20, 1, p.171-192.
- Rawlins M., Gullichsen E., Kuttila K., Peltala O., Niinikoski J. Central hemodynamic changes in experimental muscle crush injury in pigs. Europ. Surg. Res., 1999, 31, 5, p.9-18.
- Reynolds E.S. The use of lead citrate at high pH as an electron-opaque stain in electron microscopy. J. Cell. Biol.,1963 Apr., 17, p. 208-212.
- Wang L., He Q., Li G.S. The prevention of crush syndrome related medical problems after earthquake. Zhongua Nei Ke Za Zhi., 2008 Sep;47(9):711.
25.07.2011 Читайте также
Ключевые слова: агрегатные свойства клеток крови, агрегация тром-боцитов, агрегация эритроцитов, атеротромбоз, деформация эритроцитов, рестеноз, тромбоз, чрезкожное коронарное вмешательство
Атеросклеротический и тромботический процессы тесно взаимо-связаны и поэтому в настоящее время объединены термином “атеро-тромбоз” [4, 6, 11, 14, 26, 27, 46, 52, 54, 56]...
29.07.2011 Ключевые слова: табакокурение, химический состав табака, онкогены, поражение органов и систем человека
На современном этапе доказано и показано, что курение (активное и пассивное) является основной причиной возникновения и прогрессирования таких патологий...
28.07.2011 Ключевые слова: депрессия, митохондрии, мозг, синтаза оксида азота, хронический стресс, цитозоль
На сегодняшний день накоплены многочисленные данные, свидетельствующие о том, что дисфункция митохондрий способствует развитию стойких нарушений когнитивно-мнестических функций в ЦНС и участвует в патогенетических механизмах психических расстройств [7, 31]...
27.07.2011 Ключевые слова: фоновая импульсная активность, вибрация, ядро солитарного тракта
Современный уровень развития науки и техники предъявляет растущие требования к оценке возможностей функционирования вестибулярной системы в сложных условиях...
26.07.2011 Keywords: hemorphin, streptozotocin-induced diabetes, calcineurin, TNFа, corticosterone
LVVYPW (myelopeptide-2, LVV-hemorphin-3, LVV-H3) is a member of hemorphins family, the endogenous nonclassical opioid peptides, derived from hemoglobin (Hb) [for review see Ref. 21]...
22.07.2011 Ключевые слова: патогенные и условнопатогенные микроорганизмы, чувствительность, хлораминорезистентность, дезинфицирующие средства, четвертичные аммониевые соединения, бактерицидная активность
Широкое распространение острых кишечных и внутрибольничных инфекций, вызываемых патогенными и условнопатогенными микроорганизмами...
21.07.2011 Ключевые слова: трихинелла, иммуностимулятор, фитопрепараты, РНК, гликоген, естественная резистентность
Основной метод лечения паразитарных инвазий – специфическая химиотерапия. Вместе с тем остается ряд гельминтозов, химиотерапия которых практически не разработана...
20.07.2011 Ключевые слова: экстракция, фотометрия, реагент-краситель, экстрагент, тиазин, экспресс-метод, молярный коэффициент светопоглощения
Пенициллины являются первыми антимикробными препаратами (АМП), разработанными на основе продуктов жизнедеятельности микроорганизмов...
19.07.2011 Ключевые слова: инфаркт миокарда, левый желудочек, правый желу-дочек, индекс Tei, прогноз
Ремоделирование миокарда после острого инфаркта миокарда (ОИМ) левого желудочка (ЛЖ) – прогрессирующий процесс дилатации ЛЖ, который приводит к систолической и диастолической дисфункции ЛЖ и развитию сердечной недостаточности [23]...
18.07.2011 Ключевые слова: нестабильная стенокардия, маркеры, модуляторы РААС
По современным представлениям, воспаление играет ключевую роль в патофизиологии ИБС и ее обострений [2]. У пациентов с нестабильной стенокардией (НС) чаще находят активированные воспалительные клетки...
15.07.2011 Ключевые слова: кесарево сечение, флебэктомия, абдоминальное родоразрешение, варикозная болезнь, роженицы
Основной задачей акушерства является снижение материнской и младенческой заболеваемости и смертности. Большая роль в решении этой задачи отводится своевременному и правильному выбору метода родоразрешения...
14.07.2011 Ключевые слова: язвенная болезнь, пробиотик “Нарине”, терапия
В настоящее время проведение антихеликобактерной терапии и тест-контроль за эрадикацией Н. pylori являются стандартом для лечения язвенной болезни (ЯБ)...
13.07.2011 Ключевые слова: постменопаузальный остеопороз, остеопения, ультразвуковая диагностика, ультрасонометр Sahara
Постменопаузальный остеопороз (ПО) – системное заболевание скелета многофакторной природы, возникающее у женщин в период постменопаузы как следствие дефицита половых гормонов...
12.07.2011
Warning: mysqli::query(): (HY000/1): Can't create/write to file '/var/tmp/MYamfPAI' (Errcode: 28 - No space left on device) in /sites/med-practic.com/classes/DatabaseManager_2.1.php on line 1381
Fatal error: Uncaught Error: Call to a member function fetch_assoc() on bool in /sites/med-practic.com/classes/DatabaseManager_2.1.php:1384 Stack trace: #0 /sites/med-practic.com/classes/article_class.php(102): TableManager->querySelectClassic('SELECT a.id, a....', Array) #1 /sites/med-practic.com/includes/include_footer_amen_kard_hod.php(5): Article->SelectAmenakardacvatsArticles(2) #2 /sites/med-practic.com/includes/include_bottom.php(9): require_once('/sites/med-prac...') #3 /sites/med-practic.com/bottom.php(7): require_once('/sites/med-prac...') #4 /sites/med-practic.com/article_more.php(151): require_once('/sites/med-prac...') #5 {main} thrown in /sites/med-practic.com/classes/DatabaseManager_2.1.php on line 1384















Научная медицина
Болезни
Традиционная медицина
Здоровый образ жизни
Косметология
Медицинское право
Алгоритмы, тесты
Цифры, факты, случаи
Историческая хроника
Афоризмы
Карьерная лестница
Дети
Женщина
Мужчина
Рейтинговая система







