НОВОСТИ. Дыхательная система
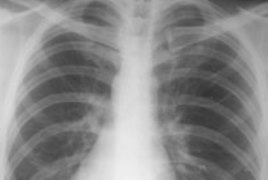
Британия пытается побороть неожиданный всплеск заболеваемости пневмонией
Европейские эпидемиологи выступили с предупреждением: в Британии бродит убийственный штамм пневмонии, который поражает в целом здоровых людей средних лет, заразившихся гриппом, пишет The Telegraph. Всего за один месяц врачи насчитали рекордное число заболевших.
Люди, заразившиеся штаммом, могут умереть за 3-4 часа. Поэтому наличие эффективных антибиотиков не всегда спасает. На данный момент насчитывается четверо погибших. С 6 декабря по 7 января были зафиксированы 18 случаев внебольничной пневмонии. Обычно же за весь год регистрируется 30-40 случаев. В чем причина подъема заболеваемости, специалисты сказать не могут.
Инфекцию вызывает ПВЛ-положительный стафилококк. Он отличается повышенной агрессивностью. Его переносят на коже примерно 3% населения. Обычно он провоцирует болезни кожи и фурункулы. Однако патоген способен проникать в кровоток, добираясь до легких. Развитие инфекции протекает бурно (возможен кашель с кровью, затрудненное дыхание).
Известно, что всем 18 заразившимся британцам (возраст от 4 до 63 лет; пятеро подхватили инфекцию от родных) требовалась интенсивная терапия. А некоторых даже пришлось подключить к системе ЭМО (экстракорпоральная мембранная оксигенация, предполагающая насыщение крови кислородом вне тела и ее обратное введение).
29.01.2013 Читайте также
Результаты клинического исследования III фазы, опубликованные в New England Journal of Medicine, показывают, что спустя пять лет после окончания лечения у пациентов с раком...
04.06.2025
Управление по контролю качества пищевых продуктов и лекарственных средств США (FDA) одобрило применение препарата Дупиксент от Sanofi и Regeneron для лечения...
01.10.2024
Минздрав подготовил стандарт диагностики и лечения внебольничной пневмонии у детей. Помощь им оказывают амбулаторно и в стационаре. Срок лечения законченного...
21.06.2024
Недавний эксперимент ученых из Пермского государственного медицинского университета имени Е.А. Вагнера показало, что простые профилактические меры могут значительно улучшить...
03.06.2024
Доктор Зайцев: при чихании в себя кроме травмы трахеи возможны осложнения
При чихании в себя повышается давление в дыхательной системе. Это может привести к различного рода...
09.01.2024
Геномный анализ показал, что большая часть мутаций, с которыми связан рак легких у некурящих людей, не связана с внешними воздействиями. Исследование опубликовано в Nature Genetics...
20.04.2023
Наличие мокроты при кашле, особенно, если сопровождается температурой – это тревожный признак, который требует обращения к врачу. Расскажем, что означает желтая мокрота при кашле, и как ее лечить...
16.03.2023
Рак легких на ранних стадиях не вызывает симптомов, пока он не прогрессирует. Когда это происходит, человек может испытывать дисфагию во время еды...
13.02.2023
САМЫЕ ЧИТАЕМЫЕ СТАТЬИ
-
Нормы роста и веса детей – данные ВОЗ
-
Зеленые выделения из влагалища: причины и лечение
- Анатомо-физиологические особенности дыхательной системы у детей
-
Насморк с кровью: причины симптома и способы лечения
- Анатомо-физиологические особенности сердечно-сосудистой системы у детей
- Анатомо-физиологические особенности пищеварительной системы у детей
- Анатомо-физиологические особенности мочевыделительной системы у детей
- Сравнительная характеристика параметров функции внешнего дыхания (обзор литературы)
- Современные представления о норме и патологических отклонениях размеров восходящей аорты при приобретенных пороках сердца
- Анатомо-физиологические особенности детей
- Анатомо-физиологические особенности костно-мышечной системы у детей
- Паллиативная химиотерапия рака: основные понятия и особенности (oбзор литературы)
-
Что можно и что нельзя делать после удаления аппендицита
-
Увеличенные яичники: симптомы, причины и лечение
-
Новейшие достижения онкологии в МЦ «Наири»: интервью с Артемом Степаняном. nairimed.com
-
О чем говорит головная боль за ухом? Причины, симптомы и лечение
-
Как снизить риск инсульта. erebunimed.com
-
Характер мужчины проявляется в выборе позы для секса
-
Армянская ассоциация медицинского туризма (ААМТ)
-
Желтые выделения из влагалища: причины и лечение
-
Рвота у ребенка без температуры: возможные причины
- Применение летрозола для стимуляции овуляции
- Врожденные аномалии и пороки развития
-
КАТИОНОРМ – представитель нового поколения искусственных слез для симптоматической терапии синдрома “сухого глаза”
-
Арам Бадалян: Родинку трогать нельзя?
- Применение противоспаечных средств в профилактике спаечной болезни живота (oбзор литературы)
-
Как избавиться от лямблий — 25 эффективных рецептов народной медицины
-
Вздутие живота при месячных: 7 способов справиться с неприятным ощущением
-
Компресс при ангине: будет ли полезным прогревание горла?
-
Онкология является самой быстроразвивающейся отраслью медицины: интервью с Левоном Бадаляном
-
Лечение марганцовкой
- Некоторые новые подходы к системной терапии метипредом больных ревматоидным артритом
- Медицинские информационные системы.Информационная система для интегрального фармацевтического и здравоохранного мониторинга
-
Фармацевтическая опека
- Подходы к оперативному лечению костно-хрящевых экзостозов
- Повреждения при родах
- Инциденталома надпочечников
-
Курение марихуаны влияет на потенцию
-
Почему противозачаточные увеличивают грудь?
- Применение индинола и эпигаллата при аденомиозе













Научная медицина
Болезни
Традиционная медицина
Здоровый образ жизни
Косметология
Медицинское право
Алгоритмы, тесты
Цифры, факты, случаи
Историческая хроника
Афоризмы
Карьерная лестница
Дети
Женщина
Мужчина
Рейтинговая система