Вопросы теоретической и клинической медицины 2.2010
Повышенная сосудистая проницаемость сосудов капсулы щитовидной железы при фолликулярной карциноме
Фолликулярный рак составляет 2—5% всех опухолей щитовидной железы и чаще представляет собой единичную опухоль щитовидной железы, более или менее инкапсулированную. Отмечают его склонность к прорастанию кровеносных сосудов (но не лимфатических). В зависимости от степени прорастания окружающих тканей выделяют опухоли с минимальной (инкапсулированные) или со значительной инвазией. Это подразделение имеет большое клиническое значение, так как прогноз хуже при значительной инвазии. В целом нет затруднения в подразделении двух гистологических типов. Более 50% случаев всех фолликулярных опухолей составляют опухоли с минимальной инвазией [1]. Макроскопически фолликулярный рак с минимальной инвазией неотличим от фолликулярной аденомы. Диагноз злокачественности базируется на наличии сосудистой инвазии и/или инвазии всей толщины капсулы. Часто необходимо исследование множества срезов с периферии опухоли для исключения или подтверждения инвазии. В случаях со значительной инвазией видна инфильтрация ткани щитовидной железы, поэтому возникает меньше диагностических трудностей [2].
Целью исследования явилось изучение состояния сосудистой проницаемости в капсуле щитовидной железы при фолликулярном раке.
Материал и методы
С этой целью мы из собственного гистологического материала (50 случаев фолликулярного рака щитовидной железы), фиксированного нейтральным формалином, приготовили парафиновые срезы толщиной 4мкм. Срезы окрашивались по способу Шуенинова, толуидиновым синим. Микроскопическое исследование осуществляли при помощи световой микроскопии в 400 - 1000 раз.
Результаты и обсуждение
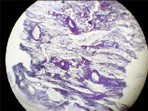
Во всех гистологических препаратах фолликулярного рака щитовидной железы при окраске толудиновым синим обнаруживался феномен метахромазии, стенки сосудов капсулы окрашивались в сиреневый и розовый цвета. Коллагеновые волокна стенок сосудов были подвергнуты фибриллярному разволокнению. В стенках большинства вен обнаружива-лось скопление фибрина темно-синего цвета (рис.1).
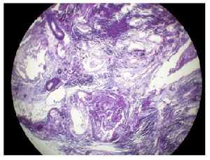
В случае инвазии вен отмечалась деструкция эластических волокон, обнаруживались интраваскулярные скопления опухолевых клеток, покрытые эндотелием или же имелись опухолевые тромбы, прикрепленные к сосудистой стенке (рис.2).
Рис 1. Скопление фибрина в стенках сосудов капсулы щитовидной железы. Окраска фибрина по Шуенинову. Фолликулярная карцинома щитовидной железы.
Рис 2. Инвазия сосудов капсулы щитовидной железы. Окраска фибрина по Шуенинову. Фолликулярная кар-
цинома щитовидной железы.
Очаги васкулярной инвазии дифференцировали от субэндотелиального скопления опухолевых клеток, ложных скоплений опухолевых клеток, которые могут присутствовать в пределах сосудистых пространств и очагов интраваскулярной эндотелиальной пролиферации. Ложные скопления опухолевых клеток в сосудах имели неправильные очертания, не были прикреплены к эндотелию, а сосудистые пространства не были выстланы эндотелием.
Таким образом, инвазия вен капсулы при фолликулярной карциноме объясняется не только агрессивными свойствами злокачественных фолликулярных тиреоцитов, способствующим фоном этого процесса является также повышенная сосудистая проницаемость.
Список литературы
- Е.А. Трошина, Н.В. Мазурина, И.А. Абесадзе, П.В. Юшков, Е.К. Егорычева. Фолликулярная неоплазия щитовидной железы. Проблемы эндокринологии, 2008г, т. 52, N1, с. 22 – 25.
- World Health Organization Classification of Tumors. Pathology and Genetics of Tumors of Endocrine Organs. Edited by Ronald A. DeLellis. Lyon 2004, p.320.
08.07.2010 Читайте также
Мёд и другие продукты пчеловодства занимают достойное место в традиционной медицине в течение многих столетий. В последние годы возобновился интерес к поиску и исследованию различных видов мёда...
30.07.2010 Мезиальная окклюзия является сложным по своей сути видом аномалии зубочелюстной системы, полиэтиологична и имеет в основе своей морфологические, функциональные и эстетические нарушения зубочелюстной системы...
29.07.2010 Введение
Здоровье, как медико-демографическая и социальная категория, является одним из важных показателей, характеризующих развитие общества. Каждый человек мечтает сохранить здоровье, продлить возраст высокой работоспособности...
28.07.2010 Период школьного обучения, являясь стрессонасыщенным этапом жизнедеятельности, вносит свои коррективы в процесс онтогенетического развития учащихся, главным индикатором которого являются показатели здоровья [9,11,12]...
27.07.2010 Большое разнообразие этиологических факторов мезиальной окклюзии, нарушения функций зубочелюстной системы у пациентов с этой патологией, аномалия строения костей лицевого отдела черепа...
26.07.2010 Введение
В настоящее время вопрос раннего выявления врожденной тугоухости и глухоты, а также своевре-менного проведения реабилитационных мероприятий является важной задачей, затрагивающей не только интересы отечественного здравоохранения, но также социальной и экономической сферы...
23.07.2010 Проблема профилактики, диагностики и лечения стоматологических заболеваний у детей и подростков продолжает оставаться одной из самых актуальных и полностью не разрешенных задач современной медицины Влияние факторов риска возникновения основных стоматологических заболеваний...
22.07.2010 Около 10 лет в клинике детской хирургии Университетской больницы №1, в комплексном лечении гнойно-септических заболеваний, мы применяем низкоинтенсивное лазерное излучение (НИЛИ), получая значительное улучшение состояния больных, что проявляется укорочением времени выздоровления на 30%...
21.07.2010 За последнее время в отечественной ортодонтии произошли существенные перемены. Если раньше съемные аппараты применяли в 90% случаев, то сегодня у 84% пациентов проводят лечение с использованием несъемной аппаратуры. В связи с этим, проблема профилактики кариеса зубов и заболеваний пародонта...
20.07.2010 Выбор ортодонтического метода лечения аномалий зубной дуги, проявляющихся тесным положением зубов у детей, подростков и взрослых, всегда представляет определенные трудности...
19.07.2010 По данным разных авторов, одонтогенный гайморит (ОГ) составляет от 3 до 7% от общего числа хирургических стоматологических заболеваний [3,16,23,25]. Среди воспалительных заболеваний верхнечелюстной пазухи (ВПЧ) одонтогенный гай-морит составляет от 10 до 40% [3,16,20,26,28]...
16.07.2010 Введение. Поражение сонных артерий, как мар-кер повреждения органов-мишеней у больных арте-риальной гипертензией (АГ), влияет главным обра-зом на прогноз заболевания и включёно в систему стратификации риска субъектов с АГ [16]...
15.07.2010 В комплексе методов немедикаментозной терапии дискогенной пояснично-крестцовой радикуло- патии важное место занимают методы неинвазивной декомпрессии межпозвонковых дисков [4, 5, 9, 11]...
14.07.2010 Иммуногистохимическим методом выявлена экспрессия цит b558 в лимфоидной опухолевой ткани, используя два специальных антигена для цитохрома b558, а цит b558 представляется как новый агент для дифференциации лимфоцитов. Этим путем обнаружено присутствие цит b558 в опухолевой ткани [1]...
13.07.2010 Методология и критериальные подходы современной доказательной медицины выдвигают вопрос необходимости оценки степени эффективности проведенного лечения на основании т.н. «конечных точек» (endpoint measures)...
12.07.2010
Warning: mysqli::query(): (HY000/1): Can't create/write to file '/var/tmp/MYvAjL2i' (Errcode: 28 - No space left on device) in /sites/med-practic.com/classes/DatabaseManager_2.1.php on line 1381
Fatal error: Uncaught Error: Call to a member function fetch_assoc() on bool in /sites/med-practic.com/classes/DatabaseManager_2.1.php:1384 Stack trace: #0 /sites/med-practic.com/classes/article_class.php(102): TableManager->querySelectClassic('SELECT a.id, a....', Array) #1 /sites/med-practic.com/includes/include_footer_amen_kard_hod.php(5): Article->SelectAmenakardacvatsArticles(2) #2 /sites/med-practic.com/includes/include_bottom.php(9): require_once('/sites/med-prac...') #3 /sites/med-practic.com/bottom.php(7): require_once('/sites/med-prac...') #4 /sites/med-practic.com/article_more.php(151): require_once('/sites/med-prac...') #5 {main} thrown in /sites/med-practic.com/classes/DatabaseManager_2.1.php on line 1384















Научная медицина
Болезни
Традиционная медицина
Здоровый образ жизни
Косметология
Медицинское право
Алгоритмы, тесты
Цифры, факты, случаи
Историческая хроника
Афоризмы
Карьерная лестница
Дети
Женщина
Мужчина
Рейтинговая система

