Вопросы теоретической и клинической медицины 2.2010
Клинико-цитологическая оценка эффективности низкоинтенсивного Лазерного облучения гнойных ран у детей
Около 10 лет в клинике детской хирургии Университетской больницы №1, в комплексном лечении гнойно-септических заболеваний, мы применяем низкоинтенсивное лазерное излучение (НИЛИ), получая значительное улучшение состояния больных, что проявляется укорочением времени выздоровления на 30%. Однако низкоинтенсивный лазер имеет одно коварное свойство - узкий диапазон благоприятно влияющей дозы. Длительность воздействия, опре-деляемая по весу больного и применяемая в клинике, не всегда дает положительный эффект. У 17% больных мы не получали ожидаемого результата от применяемого НИЛИ. Эта проблема отмечалась и в доступной нам литературе. Мы считаем, что отсутствие эффекта лазерного воздействия у этих больных обусловлено неадекватной экспозицией лазерного облучения или особенностями индивидуальной чувствительности пациентов к лазеротерапии (ЛТ). Такая ситуация во многом обусловлена отсутствием методов контроля адекватности проводимого НИЛИ. В связи с этим, мы попытались исправить ситуацию, контролируя цитологические изменения, происходящие в ране на доклиническом этапе раневого процесса.
С марта 2009г. по апрель 2010г. в клинике проведены цитологические исследования экссудата из гнойных ран у 60 больных, получающих стационарное и амбулаторное лечение в клинике детской хирургии (зав. лабораторией А.Р.Давтян). Девочек было 24, мальчиков - 36. По возрасту больные распределились следующим образом: до 1 мес - 10 детей, от 1 мес. до 1 года – 7, от 1 года до 3 лет -10, от 3 до 7 лет - 3, старше 7 лет - 30 детей. Больные были разделены на две группы (по 30 детей в каждой). Первая группа детей, наряду с общепринятым комплексным лечением, получала ЛТ. Вторая группа была контрольной и получала только общепринятое лечение. По наиболее важным прогностическим признакам (таким как нозология, возраст, сочетание микроб-антибиотик) обе группы были сопоставимы. ЛТ проводилась, начиная со 2-ого дня после вскрытия гнойного очага, каждый день в количестве 5-и сеансов. При сравнении клинических критериев выздоровления в исследуемой и контрольной группах полученные нами результаты приведены в таблице1.
Результаты исследования и их обсуждение
Как видно из таблицы, продолжительность лечения в исследуемой группе составила 8.1 дня. По сравнению с контрольной группой (12.9 к/д), имеется сокращение длительности лечения на 38%. Мы отмечали также выраженное ускорение нормализации температуры и показателей крови. Нормализация температуры у больных, получивших ЛТ, происходила к середине 2-ых суток, а у больных в контрольной группе - к концу 3-их. Что касается сроков нормализации показателей крови, то в исследуемой группе они сократились в два раза по сравнению с контрольной.
Клиническая оценка эффективности ЛТ. Таблица 1.
При цитологическом изучении мазков- отпечатков экссудата из ран больных мы выявили закономерности количественных изменений клеточных элементов. Забор экссудата из ран проводился у всех больных на 2-ой и 4-ый день после вскрытия гнойного очага, а у исследуемой группы на 2-ой день перед началом ЛТ и на 4-ый день после двукратного ЛВ. В мазках-отпечатках подсчитывалось количество полиморфноядерных нейтрофильных лейкоцитов, их дегенеративных форм и лимфоцитов. Анализ их количественных изменений на 4-ый день, при обяза-тельном сравнении со 2-ым днем, дает возможность судить об адекватности проводимого лечения. Коли-чественные изменения клеточного состава в экссудате из ран больных контрольной группы представлены на диаграмме 1.
Диаграмма 1. Изменение клеточного состава цитограмм в контрольной группе.
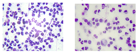
Как видно из диаграммы 1, на 4-ые сутки в экссудате из ран имеется повышение количества полиморфноядерных нейтрофилов и их дегенеративных форм, тогда как количество лимфоцитов снижается незначительно. На фотографиях цитограмм 2-го и 4-го дня отчетливо видна указанная динамика клеточных изменений (рис.1,2).
Рис.1. Контрольная группа, 2-ой день
Рис.2.Контрольная группа, 4-ой день
В группе детей, получавших ЛТ, мы обнаружили следующие клеточные изменения.
Диаграмма 2. Динамика цитологических изменений у больных, получавших ЛТ.
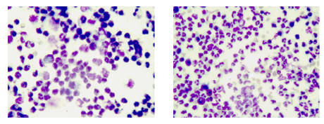
В цитограммах больных, получивших ЛТ, выявлено снижение количества полиморфноядерных нейтрофилов и их дегенеративных форм с заметным повышением количества лимфоцитов к 4-ому дню. На фотографиях цитограмм отображены наиболее характерные изменения клеточного состава при адекватных дозах лазеротерапии на 2-ой и 4-ый день (рис 3,4).
Рис.3. Адекватная ЛТ, 2-ой день
Рис.4.Адекватная ЛТ, 4ый день
Следует отметить, что в группе больных, получивших ЛТ, на основании цитологических данных было выявлено 5 случаев неадекватной экспозиции лазерного облучения. У 4 из них на основании анализа экспериментальных данных была проведена коррекция экспозиции лазерного облучения. В результате коррекции экспозиции с 3-го сеанса лазерного облучения, у этих больных получены удовлетворительные клинические показатели, соответствующие при-менению ЛТ. Ниже приводится динамика цитологи-ческих изменений больных с передозировкой лазерного воздействия (ЛВ).
Диаграмма 3. Динамика цитологических изменений у больных с передозировкой ЛВ.
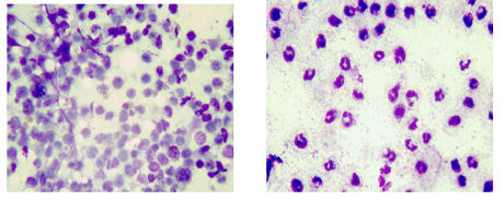
Видно снижение количества всех исследуемых клеточных элементов на 4-ый день. На фотографиях цитограмм отображены наиболее характерные изме-нения клеточного состава при передозировке ЛВ на 2-ой и 4-ый день (рис.5,6).
Рис.5. Передозировка ЛВ, 2-ой день
Рис.6. Передозировка ЛВ, 4-ый день
При исследовании же цитологической картины у больного с недостаточной экспозицией лазерного воздействия выявлены изменения, показанные на ди-аграмме 4.
Диаграмма 4. Динамика цитологических изменений у больного с недостаточной экспозицией ЛВ.
Картина динамики клеточных элементов похожа на цитологические изменения ран контрольной груп-пы. Ниже приведены цитограммы данного больного (рис.7,8).
Рис.7. Недостаточная экспозиция ЛВ, 2-ой день
Рис.8. Недостаточная экспозиция ЛВ, 4-ый день
Необходимо отметить, что цитологические исследования ран у детей, получающих ЛТ в клинике, продолжаются в связи с их высокой информативностью.Обобщая сказанное, хотим напомнить, что расчет доз ЛВ по весу больного существует давно. Но как показывает опыт, такие величины доз ориентировочны и иногда нуждаются в коррекции. В связи с этим, попытка повышения эффективности лечения гнойных ран с применением НИЛИ, под контролем цитологической характеристики мазков, оказалась достаточно успешной, благодаря своевременному выявлению и коррекции неадекватной дозы ЛВ. Сокращение сроков выздоровления больных, получающих ЛТ, на 38% за период проводимого исследования,вместо 30%, говорит об эффективности цитологического контроля.
Список литературы
- Александров М.Т., Егоркина Н.С., Черкасов А.С. Проблемы реализации основных принципов лазерной медицины в клинической практике. Лазеры и аэроионы в медицине: сб. докл., статей, сообщений и исследований.Калуга-Обнинск, 1997. c.13-18.
- Байбеков И.М., Байбекова М.И. Клеточные основы лазерных воздействий на биоткани. Лазер и здоровье – 99: материалы Междунар. Конгр., М., 1999. c. 422-423.
- Белопольский А.А. Физико-химические способы коррекции резистентности организма при гнойно-воспалительных заболеваниях. Автореф. дисс. д.м.н., Москва, 2007.
- Владимиров Ю.А. Три гипотезы о механизме действия лазерного облучения на клетки и организм человека. В сб. Эфферентная медицина М:ИБМХ РАМН, 1994:51-67.
- Клебанов Г.И., Крейнина М.В. Лазеротерапия: клиническая эффективность и молекулярно-клеточные механизмы.Москва-Новосибирск, 2003.
- Кузин М.И. Раны и раневая инфекция. Москва, Медицина,1990.
- Покровская М.П., Макаров М.С. Цитология раневого экссудата как показатель процесса заживления раны. МЕДГИЗ,1942.
21.07.2010 Читайте также
Мёд и другие продукты пчеловодства занимают достойное место в традиционной медицине в течение многих столетий. В последние годы возобновился интерес к поиску и исследованию различных видов мёда...
30.07.2010 Мезиальная окклюзия является сложным по своей сути видом аномалии зубочелюстной системы, полиэтиологична и имеет в основе своей морфологические, функциональные и эстетические нарушения зубочелюстной системы...
29.07.2010 Введение
Здоровье, как медико-демографическая и социальная категория, является одним из важных показателей, характеризующих развитие общества. Каждый человек мечтает сохранить здоровье, продлить возраст высокой работоспособности...
28.07.2010 Период школьного обучения, являясь стрессонасыщенным этапом жизнедеятельности, вносит свои коррективы в процесс онтогенетического развития учащихся, главным индикатором которого являются показатели здоровья [9,11,12]...
27.07.2010 Большое разнообразие этиологических факторов мезиальной окклюзии, нарушения функций зубочелюстной системы у пациентов с этой патологией, аномалия строения костей лицевого отдела черепа...
26.07.2010 Введение
В настоящее время вопрос раннего выявления врожденной тугоухости и глухоты, а также своевре-менного проведения реабилитационных мероприятий является важной задачей, затрагивающей не только интересы отечественного здравоохранения, но также социальной и экономической сферы...
23.07.2010 Проблема профилактики, диагностики и лечения стоматологических заболеваний у детей и подростков продолжает оставаться одной из самых актуальных и полностью не разрешенных задач современной медицины Влияние факторов риска возникновения основных стоматологических заболеваний...
22.07.2010 За последнее время в отечественной ортодонтии произошли существенные перемены. Если раньше съемные аппараты применяли в 90% случаев, то сегодня у 84% пациентов проводят лечение с использованием несъемной аппаратуры. В связи с этим, проблема профилактики кариеса зубов и заболеваний пародонта...
20.07.2010 Выбор ортодонтического метода лечения аномалий зубной дуги, проявляющихся тесным положением зубов у детей, подростков и взрослых, всегда представляет определенные трудности...
19.07.2010 По данным разных авторов, одонтогенный гайморит (ОГ) составляет от 3 до 7% от общего числа хирургических стоматологических заболеваний [3,16,23,25]. Среди воспалительных заболеваний верхнечелюстной пазухи (ВПЧ) одонтогенный гай-морит составляет от 10 до 40% [3,16,20,26,28]...
16.07.2010 Введение. Поражение сонных артерий, как мар-кер повреждения органов-мишеней у больных арте-риальной гипертензией (АГ), влияет главным обра-зом на прогноз заболевания и включёно в систему стратификации риска субъектов с АГ [16]...
15.07.2010 В комплексе методов немедикаментозной терапии дискогенной пояснично-крестцовой радикуло- патии важное место занимают методы неинвазивной декомпрессии межпозвонковых дисков [4, 5, 9, 11]...
14.07.2010 Иммуногистохимическим методом выявлена экспрессия цит b558 в лимфоидной опухолевой ткани, используя два специальных антигена для цитохрома b558, а цит b558 представляется как новый агент для дифференциации лимфоцитов. Этим путем обнаружено присутствие цит b558 в опухолевой ткани [1]...
13.07.2010 Методология и критериальные подходы современной доказательной медицины выдвигают вопрос необходимости оценки степени эффективности проведенного лечения на основании т.н. «конечных точек» (endpoint measures)...
12.07.2010
Warning: mysqli::query(): (HY000/1): Can't create/write to file '/var/tmp/MYZn4qi8' (Errcode: 28 - No space left on device) in /sites/med-practic.com/classes/DatabaseManager_2.1.php on line 1381
Fatal error: Uncaught Error: Call to a member function fetch_assoc() on bool in /sites/med-practic.com/classes/DatabaseManager_2.1.php:1384 Stack trace: #0 /sites/med-practic.com/classes/article_class.php(102): TableManager->querySelectClassic('SELECT a.id, a....', Array) #1 /sites/med-practic.com/includes/include_footer_amen_kard_hod.php(5): Article->SelectAmenakardacvatsArticles(2) #2 /sites/med-practic.com/includes/include_bottom.php(9): require_once('/sites/med-prac...') #3 /sites/med-practic.com/bottom.php(7): require_once('/sites/med-prac...') #4 /sites/med-practic.com/article_more.php(151): require_once('/sites/med-prac...') #5 {main} thrown in /sites/med-practic.com/classes/DatabaseManager_2.1.php on line 1384















Научная медицина
Болезни
Традиционная медицина
Здоровый образ жизни
Косметология
Медицинское право
Алгоритмы, тесты
Цифры, факты, случаи
Историческая хроника
Афоризмы
Карьерная лестница
Дети
Женщина
Мужчина
Рейтинговая система









