Ախտաբանական անատոմիա
Երեխաների ստամոքսի լորձաթաղանթի ախտաբանական կազմափոխությունները պարբերական հիվանդության ժամանակ
Բանալի բառեր: պարբերական հիվանդություն, երեխաներ, ստամոքսաբորբ, Helicobacter pylori
Պարբերական հիվանդությունը (ՊՀ), կամ միջերկրածովային դողերոցքը, բնորոշվում է օրգանիզմի շճաթաղանթների համակարգային ասեպտիկ բորբոքմամբ, որն ուղեկցվում է նոպայաձև ցավերով որովայնում, կրծքավանդակում, կամ տարածված ցավերով միաժամանակ այդ երկու խոռոչներում՝ վերջիվերջո բերելով խրոնիկական երիկամային անբավարարության զարգացման։
Անհրաժեշտ է ընդգծել, որ այս տարածված և ծանր ախտաբանական կենսընթացներով ուղեկցվող հիվանդությունը հանգամանալից հետազոտվել է մի շարք հեղինակների կողմից [1,3,8,10,13,19]։
Երեխաների շրջանում առավել հաճախ հանդիպում է հիվանդության խառը (50.3%), այնուհետև՝ որովայնային (43.1%), ապա՝ կրծքային (6.6%) ձևերը [3]։
Երեխաների ստամոքսաղիքային խրոնիկական ախտաբանական կենսընթացների մեջ ներկայումս առաջնակարգ տեղ են զբաղեցնում ստամոքսի և 12-մատնյա աղու բորբոքային հիվանդությունները, որոնք կազմում են այդ ախտաբանության 70-75% [9]։ Անհանգստացնող է ծանր և բարդացած ձևերի աճը, որոնք ուղեկցվում են ստամոքսի լորձաթաղանթի տարբեր աստիճանի վնասումներով՝ էրոզիաներ, սուր խոցեր [4,7]։
ՊՀ կլինիկական ախտորոշումը դժվարություններ է ներկայացնում հատկապես երեխաների շրջանում, քանի որ վերջիններս լավ չեն պարզաբանում իրենց գանգատները՝ ցավերի տեղակայումը, բնույթը, հաճախականությունը և այլն։ Այդ իսկ պատճառով, ստամոքսի լորձաթաղանթի կենսազննուկների (բիոպտատ) համալիր հետազոտումը ձեռք է բերում չափազանց կարևոր նշանակություն հիվանդության ճիշտ ախտորոշման և բուժման արդյունավետության բարձրացման տեսակետից։
Վերջին տասնամյակում այս բնագավառի հետազոտողները հատուկ տեղ են հատկացնում Helicobacter pylori (HP) մանրէին, որը հայտնաբերվում է մարդկության 30-50%-ի մոտ [5,27]։Ուշագրավ է, որ այս առեղծվածային մանրէների մասնակցությունը կլինիկաձևաբանական տեսանկյունից ՊՀ ժամանակ ընդհանրապես չի հետազոտված։ Առհասարակ հելիկոբակտերի հայտնագործումը իսկական հեղափոխություն առաջացրեց այնպիսի տարածված հիվանդությունների պատճառագիտության ուսումնասիրման բնագավառում, ինչպիսիք են խրոնիկական գաստրիտը, խոցային հիվանդությունը, քաղցկեղը [9,22,25]։
Պարզաբանվել են այս հիվանդությունների և մարդու օրգանիզմի փոխհարաբերությունների միանգամայն նոր մեխանիզմներ [2]։Ստամոքսի էպիթելին կպած հարուցիչների ախտածին շտամները առաջացնում են իմունային բորբոքում, հատկապես խորշային գեղձերում։ Սակայն որոշ դեպքերում նրանք հայտնաբերվում են նաև առողջ մարդկանց մոտ՝ չառաջացնելով որևէ ախտահարում [21]։
Գտնում են, որ HP մարդու օրգանիզմում կարող է հանդես գալ ինչպես կոմենսալ, այնպես էլ սապրոֆիտ կամ ախտածին տեսքով։ Սա բացատրվում է ոչ միայն միկրոօրգանիզմի տարբեր շտամների առկայությամբ, այլ նաև նրանց զանազան դրսևորմամբ՝ կախված անհատի ժառանգական առանձնահատկություններից և շրջակա միջավայրի գործոններից [24]:
HP յուրահատուկ ախտածին է, որն առաջացնում է խրոնիկական գաստրիտ։ Վերջինս երբեմն ընթանում է առանց ախտանիշների և հազվադեպ է բերում խոցային հիվանդության կամ քաղցկեղի զարգացման [23]։ Շնորհիվ ֆերմենտների HP հաղթահարում է ստամոքսի պաշտպանական պատնեշը և, կպչելով (ադհեզիա) էպիթելային բջիջներին՝ առաջացնում է խրոնիկական բորբոքում [14]։ Այս ախտածնի գոյատևման համար առավել նպաստավոր պայմաններ կան ստամոքսի խորշային հատվածում, սակայն այն կարող է հայտնաբերվել նաև ստամոքսի մարմնում և հատակում [16,17]։
HP-ի ախտածին ազդեցությունը ստամոքսի լորձաթաղանթի նկատմամբ առավել ուժեղանում է ցիտոտոքսինների ներկայությունից։ Վիրուլենտության գործոններից կարևոր է նաև այսպես կոչված Cag. Pathogeniciti island-ը, որը պատասխանատու է մանրէների ստամոքսի լորձաթաղանթին կպչելու համար [26]։
HP օրգանիզմ է թափանցում մանկական տարիքում՝ բնական ճանապարհով, և բուժական միջոցառումների բացակայության դեպքում, պահպանվում է ողջ կյանքի ընթացքում։ Այն հայտնաբերվում է մանուկների 35 և պատանիների 50%-ի մոտ։ Ավելի ավագ տարիքային խմբերում վարակվածությունը գնալով մեծանում է [11,20]:
Որոշ հեղինակներ ցույց են տվել, որ HP-ի տևական առկայությունը օրգանիզմում առաջացնում է ցածր ակտիվության բորբոքային պատասխան, հատկապես որովայնային ցավերով ընթացող նոպաների ժամանակ [21,25]։ Հայտնի է նաև, որ ՊՀ երեխաներն առավել հակված են ստամոքսի և 12-մատնյա աղու բորբոքային հիվանդություններին։
Վերջիններիս ճշգրիտ ախտորոշման նպատակով անհրաժեշտ է կատարել ստամոքսի կենսազննուկների ախտակազմաբանական ուսումնասիրություն, որը համարվում է հետազոտման պարտադիր եղանակների ոսկե միջինը [12,15]։
Այսպիսով, գրականության վերլուծությունը ցույց տվեց, որ երեխաների մոտ բավարար չէ ուսումնասիրված ՊՀ (հատկապես որովայնային ձևի) հետ զուգակցվող ստամոքսի և 12-մատնյա աղու բորբոքային հիվանդությունների զարգացման հարցում հելիկոբակտերային վարակի դերը և զարգացման մեխանիզմները։
Ուսումնասիրության նյութը և մեթոդները
Կատարվել է 72 երեխաների ստամոքսի խորշային (անտրալ) հատվածից, առանձին դեպքերում՝ նաև ստամոքսի մարմնից և 12-մատնյա աղուց վերցրած կենսազննուկների ախտակազմաբանական համալիր հետազոտություն։
Նրանցից 57-ը տառապում էին ՊՀ, իսկ 15-ը՝ միայն ստամոքսաղիքային տրակտի խրոնիկական բորբոքային հիվանդություններով։Տղաների քանակը կազմում էր 54 (75%), իսկ աղջիկներինը՝ 18 (25%)։ Հիվանդների տարիքը տատանվում էր 4-ից 17 տարեկանի սահմաններում։ Թիվ 1 աղյուսակում ներկայացված է հիվանդների բնութագիրը՝ կախված տարիքից և հիվանդության ձևից։
Աղյուսակ 1

Ինչպես երևում է աղյուսակից, ՊՀ առավել հաճախ (n=48) հանդիպել է 8-17 տարեկան հասակում։
Հիմնականում կենսազննուկները վերցվել են լորձաթաղանթի բորբոքման առավել ցայտուն արտահայտված դաշտերից և անմիջապես ֆիքսվել մաքուր ֆորմալինի 10% լուծույթում։ 5-6մկմ հաստությամբ կտրված պարաֆինային հատվածները ներկվել են հեմատոքսիլին-էոզինով, ալցիան կապույտով, դրվել է PAS-ռեակցիան, իսկ H.P-ի հայտնաբերման համար օգտագործվել է Գիմզայի ընդունված եղանակը։ Ստամոքսի լորձաթաղանթի ախտաբանական փոփոխությունները գնահատվել են ըստ Սիդնեյան դասակարգման, իսկ խրոնիկական գաստրիտի ակտիվությունը և PH մանրէների տարածվածությունը որոշվել է Վ.Ի.Արուինի (1998) կենսաքանակական հաշվարկով։ Մի խումբ հիվանդներից վերցված կենսազննուկներում կատարվել է նաև բջջաբանական հետազոտություն, դրվել է ուրեազային փորձ, ուսումնասիրվել մանրադիտակային և կենսաքիմիական եղանակներով։ Բորբոքման ծանրության աստիճանը և HP տարածվածությունը որոշվել է տեսահամանմանության սանդղակով։
Արդյունքները և դրանց քննարկումը
ՊՀ տառապող 47 երեխաների էնդոսկոպիկ հետազոտության արդյունքում հայտնաբերվել են հետևյալ ախտաբանական վիճակները՝
- մակերեսային անտրալ գաստրիտ – 16 հիվանդ;
- էրոզիվ գաստրիտ, մակերեսային դուոդենիտ – 3 հիվանդ;
- մակերեսային գաստրիտ, էրոզիվ դուոդենիտ – 18 հիվանդ;
- հատիկային գաստրիտ, էրոզիվ դուոդենիտ – 8 հիվանդ;
- 12-մատնյա աղու խոց, էրոզիվ դուոդենիտ – 2 հիվանդ։
Փաստորեն գերակշռել են ստամոքսի և 12-մատնյա աղու լորձաթաղանթի մակերեսային, էրոզիվ և հատիկային գաստրիտը, դուոդենիտը։Նույն հիվանդներից վերցված կենսազննուկների համալիր ախտաձևաբանական հետազոտությունների ամփոփիչ արդյունքները ներկայացված են թիվ 2 աղյուսակում։
Աղյուսակ 2

Գաստրիտի ակտիվությունը կախված է HP-ի տարածվածության աստիճանից։Ինչպես երևում է թիվ 2 աղյուսակից, առաջին աստիճանի ակտիվության գաստրիտ դիտվել էր 15 երեխաների մոտ։ Այս դեպքերում լորձաթաղանթը ծածկված էր լորձի բարակ շերտով, տեղ-տեղ այն պոկված էր, էպիթելիոցիտների մեծ մասը՝ հիդրոպիկ և լորձային սնուցախանգարման ենթարկված, հյուսվածքային կառուցվածքը՝ խանգարված։ Դիտվում էր փոսիկավզիկային և գեղձային էպիթելի բազմացում (նկ. 1)։

PAS - դրական ռեակցիա, X 400
Լորձաթաղանթի հիմնաթիթեղում նկատվում էին տարբեր մեծության գեղձային տարրեր, լիմֆոհիստոցիտային ծծանցումներ, այտուց, էպիթելի թեփոտում (նկ. 2), իսկ ծածկող փոսիկային էպիթելում, հավելյալ բջիջների բջջապլազմայում և ստամոքսի փոսիկների լուսանցքում՝ չեզոք պոլիսախարիդներ։

Նկ. 2. Ստամոքսի խորշային հատվածի լորձաթաղանթի սուր բորբոքում թեփոտմամբ։ Հեմատոքսիլին – Էոզին, X 400
Գիմզայի եղանակով ներկված կենսազննուկների գրեթե կեսում հայտնաբերվել էին քիչ քանակով HP (մոտավորապես 18-20 մանրէ տեսադաշտում)։ Սակայն անհրաժեշտ է նկատի ունենալ, որ մանրէների քանակը զգալի կարող է տատանվել նույն դեպքի տարբեր հատվածներում։
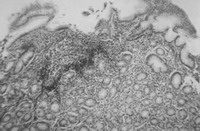
Երկրորդ աստիճանի ակտիվության գաստրիտի պայմաններում (18 կենսազննուկ) լորձաթաղանթը օջախային կամ տարածուն ծծանցված էր լիմֆոցիտներով, մակրոֆագերով, դիտվում էր գեղձային կառուցվածքների բազմաձևություն, թելակազմ շարակցական հյուսվածքի աճ, գեղձերի ապաճում և գերգոյացում (նկ. 3)։ Այսպիսի դեպքերում HP-ի քանակը տեսադաշտում հասնում էր 35-45-ի։

Նկ. 3. Խրոնիկական ատրոֆիկ գաստրիտ, գեղձերի ապաճում, ֆիբրոզ հյուսվածքի աճ։ Հեմատոքսիլին – Էոզին, X 100
Երրորդ աստիճանի գաստրիտի ակտիվության պայմաններում (13 դեպք) բորբոքման կենսաընթացները բավականին արտահայտված էին, լորձաթաղանթը ներսփռված էր 50 և ավելի մանրէներով, որոնք շղթայաձև և տեղ-տեղ գաղութներ առաջացնելով՝ լորձի հետ պոկվում էին (նկ. 4)։

Նկ. 4. HP-ի մեծ քանակները գաղութների տեսքով ստամոքսի խորշային հատվածի լորձաթաղանթում։ Գիմզայի եղանակ, X 1000
Գեղձերի էպիթելում նրանց քանակը նույնպես շատ էր (կպչած էպիթելին՝ ադհեզիա) (նկ. 5)։

Նկ. 5. HP՝ կպած ստամոքսի խորշային հատվածի գեղձային էպիթելին։
Գիմզայի եղանակ, X 1000
Առանձին դեպքերում մակերեսային էպիթելը պոկվում էր՝ առաջացնելով տարբեր խորության և մեծության էրոզիաներ, լիմֆոհիստոցիտար ծծանցումներ (նկ. 6)։ Նմանատիպ բջջային ռեակցիան խոսում է հարմարողական և հատուցողական խանգարումներով ուղեկցվող խրոնիկական բորբոքման մասին, որն բերում է էրոզիաների, իսկ երբեմն էլ՝ խոցերի առաջացմանը։

Նկ. 6. Էրոզիվ գաստրիտ լորձաթաղանթի թեփոտմամբ, լիմֆոհիստոցիտային ծծանցումով։ Հեմատոքսիլին -Էոզին, X 400
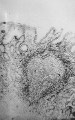
Առանձին դեպքերում առկա էին մակերեսային շերտի էպիթելային բջիջների բազմացման հատվածներ և ոչ բնորոշ փոսիկային էպիթելային կառուցվածքներ։ Սրանց առկայությունը խոսում էր հարմարողական և վերականգնման կենսընթացների խանգարման մասին, որոնք ընթանում էին ստամոքսի խրոնիկական բորբոքման ֆոնի վրա զարգացող դիսռեգեներացիայի տեսքով։ Չափազանց կարևոր էին լորձաթաղանթի սեփական շերտում հայտնաբերվող, խոշոր լուսավոր կենտրոններով, ավշային կուտակումները՝ սփռված լիմֆոհիստոցիտային և պլազմային բջիջներով (նկ.7)։

Նկ. 7. Ֆոլիկուլանման գոյացություն, խրոնիկական հելիկոմարէային գաստրիտ խորշային հատվածի լորձաթաղանթում։ Գիմզայի եղանակ, X 400
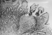
Այդպիսի դեպքերում, լորձաթաղանթի վընասման հետևանքով, զարգանում էին էրոզիաներ, իսկ երբեմն էլ՝ սուր խոցեր (նկ. 8)։

Նկ. 8. Ավշային ֆոլիկուլանման գոյացություն լորձաթաղանթի պոկմամբ, խոցոտում։ Գիմզայի եղանակ, X 400
Ստամոքսի խորշային հատվածում նման ավշային ֆոլիկուլների գերգոյացումը տեղային իմուն պատասխանի լարվածության արտացոլումն է, որն բնորոշ է HP-ի վարակին։ Լիմֆոիդ կուտակումների այսպիսի մեծությունը համապատասխանում է ստամոքսաբորբի ակտիվության աստիճանին [18]։ Անհրաժեշտ է հիշել, որ նորմալ լորձաթաղանթից վերցված կենսազննուկներում նման ֆոլիկուլներ չեն հայտնաբերվում։
ՊՀ ժամանակ մանրէաբանական հետազոտությամբ HP հայտնաբերվել է 94.8% դեպքերում։ Ընդ որում, հիվանդության նոպայի ժամանակ, երբ երեխայի ջերմությունը բարձրանում էր (380-390 և ավելի), HP մանրէների զգալի մասը ոչնչանում էր, իսկ մի մասն էլ վերափոխվում կոկային ձևերի։
Այսպիսով, կարելի է եզրակացնել, որ ՊՀ տառապող երեխաների ստամոքսի լորձաթաղանթում հայտնաբերվում են խրոնիկական բորբոքմանը բնորոշ ախտակազմաբանական փոփոխություններ՝ սկսած լորձաթաղանթի մակերեսային թեփոտումից, սնուցախանգարումներից մինչև սուր պեպտիկ խոցերի առաջացումը և վերականգնման կենսաընթացների խանգարումները։
Բորբոքային կենսընթացի ակտիվության աստիճանը և նրա խրոնիկական ընթացքը պայմանավորված են ստամոքսի խորշային հատվածում HP-ի առկայությամբ։ Լորձաթաղանթի էպիթելի անջատումը, էրոզիաները, մակերեսային խոցերը, դիսռեգեներացիան ավելի հաճախ դիտվում են բորբոքային կենսընթացի աշխուժացման ընթացքում՝ պայմանավորված նախահարձակ մանրէների առկայությամբ, որը հանգեցնում է միջբջջային կապերի թուլացման և էպիթելիոցիտների սնուցախանգարման [6]։
Լորձաթաղանթի սեփական թիթեղիկում մեծ լուսավոր կենտրոններով ֆոլիկուլների առկայությունը՝ լիմֆոհիստոցիտային կուտակումների գերգոյացման պատճառով, բերում է լորձաթաղանթի շերտազատման, որը խոսում է տեղային իմունային կենսընթացի լարվածության մասին։
Կենսազննուկներում նման ֆոլիկուլների սահմանափակ քանակը պայմանավորված է նրանով, որ էնդոսկոպիստները հաճախ խուսափում են նյութը վերցնել էրոզիայի ենթարկված դաշտերից։ Բացի այդ, 1-2 կենսազննուկի առկայությունը միշտ չէ, որ բավարար է, եթե հաշվի առնենք HP-ի տեղակայման օջախային սահմանափակ բնույթը։
Ներդիտակային և հյուսվածքների ախտաբանական կազմափոխությունները համապատասխանում են HP-ի վարակին, որի տարբեր շտամների ագրեսիվությունը պայմանավորված է դրանց ժառանգական նախատրամադրվածությամբ, լորձաթաղանթում սփռվածության աստիճանով, ինչպես նաև հիվանդության տևողությամբ և իմունային պատասխանով։ Այսպիսով, ստամոքսի կառուցվածքային-ֆունկցիոնալ հավասարակշռության, իմունաբանական և հոմեոստազի խանգարումները ձեռք են բերում կրկնվող տևական ընթացք։ Պարբերական հիվանդությունը ստեղծում է օրգանիզմի ընդհանուր իմունոժառանգական նախատրամադրվածություն, որը HP-ի առկայության պայմաններում նպաստում է նշված կենսընթացների խորացմանը։
Ստամոքսի կենսազննուկների ախտակազմաբանական համալիր հետազոտությունը (հյուսվածքաբանական, բջջաբանական, մանրէաբանական) մեր կարծիքով, պարտադիր է ախտորոշման ճշգրտման և բուժման արդյունավետության բարձացման նպատակով։
Գրականություն
- Айвазян А.А. Периодическая болезнь. Ереван: Айастан, 1982, 216 с.
- Аруин Л.И., Капуллер Л.Л., Исаков В.А. Морфологическая диагностика болезней желудка и кишечника. М., 1998, 483 с.
- Аствацатрян В.А., Торосян Е.Х. Периодическая болезнь у детей. Ереван, 1989, 249 с.
- Баранова АА, Клименская Е.В.Римарчук Г.В. Детская гастроэнтерология. М., 2002, 529 с.
- Баранская Е.К. Язвенная болезнь и инфекция Helicobacter pylori. Болезнь органов пищеварения, 2000, N 1, с. 8-14.
- Бардахчян Э.А., Ломов С.Ю., Харламова Н.Г. и др. Ультраструктурные изменения клеток поверхностного эпителия желудка при хроническом хеликобактерном гастрите. Архив патологии, 2002, N 3, с. 11-16.
- Бельмер С.В., Гасилина Т.В. Функциональные нарушения пищеварительной системы у детей. Сб. мат. 7-й конф.: Акт. проб. абдом. пат. детей, М., 2000, с. 69-75.
- Виноградова О.М. Периодическая болезнь. М.: Медицина, 1973, 200 с.
- Ивашкин В.Т., Лапина Т.Л. Гастроэнтерология XXI века. Рос. мед. журн., 2000, N 17, с. 697-703.
- Ибоян С.Р., Петросян Р.А., Армаганян С.М. Клиническая характеристика ПБ у детей. III съезд пед. Армении, Ереван, 1979, с. 227.
- Коренко А.Е., Антонов П.В. и др. О причинах вариабельности НР ассоциированных гастродуоденальных заболеваний у детей. Рус. мед. жур., т. 11, 2003.
- Морозов И.А. Проблемы морфологической диагностики НР в желудке. Рос. жур. гастроэнт., гепатол. и колопрокт., 1999, N 2, с. 46-48.
- Назаретян Э.Е., Акопян Г.С. Периодическая болезнь, 1993.
- Окароков А.И. Диагностика болезней внутренних органов. Т.I., М.: Мед. лит., 1999.
- Печкуров Д.В., Щербаков П.Л. и др. Диагностика хронического гастрита у детей: Какой метод ближе к золотому стандарту. Педиатрия, 2004, N6, с. 4-8.
- Пиманов С.И. Эзофагит, гастрит и язвенная болезнь. М.: Мед. кн., 2000.
- Склянская О.А., Лапина Т.Л. Атрофический гастрит, вызванный НР, как предраковое заболевание. Архив патологии., 2004, N 6, с. 57-60.
- Сосюра В.Х., Новикова А.В. и др. Лимфофоликулярная гиперплазия антрального отдела желудка при хроническом гастрите у детей. Педиатрия, 2006, N 6, с. 27-32.
- Тер-Каспарова М.Р. Органопатология периодической болезни. Ереван, 2002, 163 с.
- Цимерман Я.С., Зинатулин М.Р. Концепция взаимоотношения организма человека и Helicobacter pylori. Клин. мед., 1999, N 2, с. 52-56.
- Шелехова К.В. Морфогенез хронического гастрита типа В: Соврем. сост. вопроса. Архив патологии, 2004, N 4, с. 55-58.
- Шкитина В.А., Шпирина А.И. и др. Роль Helicobacter pylori в патологии человека. Смоленская гос. мед. академия, Смоленск, КМАХ, 2002, т.4, N 2.
- Blaser M.J. Ecology of Helicobacter pylori in human stomach, J. Clin. Invest., 1997, 10, p. 759-762.
- Feldman R.A., Ecerseli A.S.P., Hardies S.M. Brit. Med. Bull., 1998, 54, p. 39-53.
- Marshall B.J., Warren J.R. Unidentified curved bacilli in the stomach of patients with gastritis and peptic ulceration, Lancet, 1983, p. 1273-75.
- Mirushima N., Sugiyama T., Kobayashi T. et al. Decreased adherence of CagG-releted Helicobacter pylori to gastric epithelial cells in Japanese clinical isolates, Helicobacter, 2002, 7, p. 22-29.
- Ozaltin F., Bakkaloglu A. et al. Helicobacter pylori infection in Turkish children with familial Mediterranean fever: is it cause of persistent inflammation? Clin. Rheumatol., 2004, p. 186.
17.02.2008 Կարդացեք նաև
Շագանակագեղձի բարորակ հիպերպլազիան (ՇԲՀ) համարվում է տարեց տղամարդկանց շրջանում ամենատարածված ուրոլոգիական հիվանդությունը: Ռուսաստանի Դաշնությունում և Եվրոպական մի շարք երկրներում ՇԲՀ-ն ախտորոշվում է 11,3% տղամարդկանց մոտ 40-49տ. հասակում և 81,4% տղամարդկանց մոտ` 80տ. հասակում [11]...
ՈՒռուցքներում առաջացող գենային փոփոխությունները հայտնաբերելու նպատակով ժամանակակից օնկոմորֆոլոգիայում լայն կիրառություն է ստացել ֆլյուորեսցենտային in situ հիբրիդացման (FISH) և քրոմոգենային...
07.07.2011 Բանալի բառեր. պարբերական հիվանդություն, սրտային և թոքային ամիլոիդոզ, ձևաբանություն
Պարբերական հիվանդությունը (ՊՀ) կլինիկորեն արտահայտվում է պարբերական տենդի նոպաներով, որովայնամզի, թոքամզի, սինովիալ թաղանթների...
Բանալի բառեր. կրծքագեղձի քաղցկեղ, կոկորդի քաղցկեղ, քիթ-ըմպանի քաղցկեղ, ավշային հանգույց, մետաստաթիկ ախտահարում, հիպերպլազիա, ճարպային կազմափոխում, բորբոքում, գերձայնային հետազոտություն...
Բանալի բառեր. պարբերական հիվանդություն, շիճուկային ամիլոիդ A սպիտակուց (SAA), պիրին, ամիլոիդոգենեզ, ամիլոիդոզ, հյուսվածաբանական ախտորոշում
Պարբերական հիվանդությունը (ՊՀ) կամ ընտանեկան միջերկրածովյան տենդը (ԸՄՏ), որը աուտոսոմ-ռեցեսիվ ժառանգվող հիվանդություն է, կլինիկորեն արտահայտվում է...
Տարբեր ախտաբանական պրոցեսների ժամանակ նեյրոբլաստոմային ծագման բջիջների տրանսկրիպցիոնալ ակտիվության փոփոխությունները վաղուց հայտնի են: Ողնաշարավորների նյարդային համակարգի նորմալ վիճակը բնութագրվում է...
27.01.2010 Ներածություն: Վերջույթագոտկային մկանային դիստրոֆիան հետերոգեն հիվանդություն է, որի կլինիկական արտահայտությունները պայմանավորված են տարբեր գեների արատների հետ...
15.10.2009
ԱՄԵՆԱԸՆԹԵՐՑՎԱԾ ՀՈԴՎԱԾՆԵՐԸ
-
Ժողովրդական դեղամիջոցներ
-
Հղիություն. 4-րդ ամիս
-
Հղիություն. 7-րդ ամիս
-
Կոճապղպեղ նույնն է՝ իմբիր, Ginger եւ Zingiber Officinale
-
«Արագիլ» հիմնադրամը ստեղծված է՝ օգնելու անպտղությամբ տառապող զույգերին. Կարինե Թոխունց
-
Հղիություն. 6-րդ ամիս
-
Հղիություն. 2-րդ ամիս
-
Ամուսնական առաջին գիշերը
- 4-7 ամսական երեխաների սնուցումը
-
Ընկերության մասին
-
Խնձորը` պզուկների դեմ. ազատվիր նրանցից 1 գիշերվա ընթացքում
-
Ինչպես ազատվել անցանկալի մազերից
-
Պարզվում է ապագա երեխայի սեռը կախված է մայրիկի սնունդից
-
Դդում
-
Հիվանդություն, որը փոխում է մեր կյանքը` կրծագեղձի քաղցկեղ
-
Կոճապղպեղ՝ նիհարելու համար (կոճապղպեղի թեյ)
-
Սեռական գրգռում
-
Արգանդի միոմա. նախանշանները, պատճառներն ու բուժումը
-
Հղիություն. 1-ին ամիս
-
Երիցուկ դեղատնային - Ромашка аптечная - Matricaria chamomilla L.
-
Չիչխանի օգտակար հատկությունները
-
Քարավուզ (նույն ինքը՝ նեխուր)
-
Ինչպես ազատվել բերանի վատ հոտից`պարզ միջոց
-
Դիմակներ` մազերի համար
-
Կրծքի ցավե՞ր ունեք. ինչ անել
-
Հեշտոցային արտադրության պատճառները. մասնագետի անդրադարձը
-
Ընդհանուր տեղեկություններ մարմնի համակարգերի մասին
- Բերանի խոռոչի լորձաթաղանթի ախտահարումը սովորական բշտախտի ժամանակ (սկիզբը` նախորդ համարում)
-
Հիվանդություն, որի համար պետք չէ ամաչել (թութք)
-
Ընտրություն ըստ հորոսկոպի
- Խոսենք այդ մասին. ձեռնաշարժություն
-
Հղիությունը և նախապատրաստվելը դրան
-
Երբ գլխացավն ախտանիշ է: Հանճարեղ և օժտված մարդկանց հիվանդություն
-
Լեղաքարային հիվանդություն. բուժման մեթոդները
-
Սեռական թուլության առաջին նախանշանները. news.am
-
Ուլտրաձայնային դոպլերոգրաֆիա (երկակի (դուպլեքս) անոթների)
-
Էկզեմայի տեսակները և բուժումը
-
Իրիդիոսքրինինգ
-
ՈւՆԱԲԻ: Արևելյան բժշկության գաղտնիքները
-
Գամմա-դանակը նշտարի փոխարեն















Գիտական բժշկություն
Հիվանդություններ
Ավանդական բժշկություն
Առողջ ապրելակերպ
Կոսմետոլոգիա
Բժշկական իրավունք
Ալգորիթմեր, թեստեր
Թվեր, փաստեր, դեպքեր
Պատմական խրոնիկա
Աֆորիզմներ
Կարիերային սանդուղքով
Երեխա
Կին
Տղամարդ
Ռեյթինգային համակարգ