Վիրաբուժություն
Մորֆոլոգիական և բակտերիոլոգիական փոփոխությունները աղիքային անբավարարության համախտանիշի ժամանակ
Բանալի բառեր. աղիքային անբավարարության համախտանիշ, միկրոօրգանիզմներ, ախտածնություն, միկրոշրջանառություն
Տարածուն պերիտոնիտով տառապող հիվանդների բուժման արդյունքները միշտ չէ, որ գոհացնում են կլինիցիստներին: Չնայած տեսականու գործնական բժշկագիտության լուրջ հաջողություններին` այս հիվանդների մահացությունը կազմում է 11-83% [1,3,4], իսկ բազմաօրգանային անբավարարության զարգացման պայմաններում հասնում է 80-90%-ի [2,3]: Հիվանդության կլինիկական ընթացքն առավել ծանր է հետվիրահատական տարածուն պերիտոնիտի (ՀՊ) ժամանակ, երբ միանում է աղիքային անբավարարության համախտանիշը (ԱԱՀ), որն արտահայտվում է աղիներից ու իրենց պարունակությունից ծագող ծանր ներթունավորմամբ՝ պայմանավորված բարակ աղիների շարժողական, հյութազատական, ներծծողական և այլ ֆունկցիաների խորը ընկճմամբ:
Տվյալ աշխատանքի նպատակն է ՀՊ-ի ժամանակ ԱԱՀ պայմաններում ուսումնասիրել միկրոօրգանիզմների բաղադրությունն ու ախտածնությունը բարակ աղիներում, ինչպես նաև վերջիններիս մորֆոլոգիական փոփոխությունները:
Նյութը և մեթոդները
Ուսումնասիրվել են 54 հիվանդներ, որոնք կրկնակի վիրահատվել են ՀՊ-ի կապակցությամբ՝ բարդացած նաև աղիքային անբավարությամբ. մորֆոքննության համար նյութը վերցվել է արտաքին տեսքով չփոփոխված բարակ աղեգալարից մասնահատումների, էնտերոստոմիաների ժամանակ; վերցվել է նաև արյուն, որովայնի հեղուկ, պարունակություն նազոգաստրալ զոնդից, էնտերոստոմից:
Արդյունքները և դրանց քննարկումը
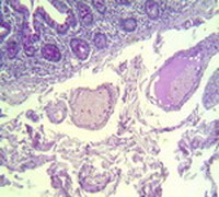
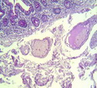
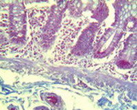
Աղիքի լորձաթաղանթի հետազոտությամբ հայտնաբերվում է ծածկող էպիթելի դեսքվամացիայի մասեր, որոնք երևում են էրոզիաների տեսքով՝ մերկացնող լայնացած մազանոթային ցանցով ենթալորձային շերտը (նկ. 1):
|
|
|
|
|
Նկար 1. Աղիների ծածկող էպիթելի դեոքվամացիա` էրոզիվ մակերեսների առաջացմամբ: Հեմատոքսիլին և էոզին |
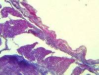
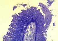
Նկար 2. Լիբերկյունի կրիպտաները (դրանցից երկուսում նշմարվում են ֆուքսիֆիլգրանուլաներ, իսկ մյուսներում՝ ոչ): Պիկրո-Մալորի 200 | Նկար 3. Ենթալորձային շերտի լայնացած երակիկներ, որոնք պարունակում ենդրական հիալինային թրոմբեր: PAS-ռեակցիան լրացուցիչ Մայերիհեմատոքսիլինով ներկված: PAS |
Աղիների լորձաթաղանթի տարբեր հատվածներում բակտերիոցիդ հյութի քանակությունը տարբեր է, որի մասին էն վկայում Պաննետի բջիջների ուսումնասիրության տվյալները. կան էպիթելային խորշիկներ, որտեղ այս բջիջների քանակությունը բավարար է, ինչը վկայում էֆուքսինոֆիլ հյութի բարձր պարունակության մասին: Սրա հարևանությամբ նկատվում են նաև Պաննետի բջիջներ չպարունակող խորշեր, ինչը մատնանշում է լորձաթաղանթի տեղային մանրեասպան հնարավորությունների անկարողությունը (նկ. 2):
Միկրոցիրկուլյատոր հունի լայնացած անոթների (հիմնականում երակիկների) լուսանցքում PAS-ռեակցիայով հայտնաբերվում է էրիթրոցիտների ագրեգացիա՝հոմոգենացմամբ և հիալինային թրոմբոգոյացմամբ (նկ. 3), ինչը վկայում է խորըդիսցիրկուլյատոր փոփոխությունների, տեղային թրոմբոհեմոռագիկ համախտանիշիմասին:
Աղիքի մկանային շերտի ուսումնասիրությունը հայտնաբերում է դիսցիրկուլյատոր ևդիստրոֆիկ-դեգեներատիվ ոփոխություններ: Դիսցիրկուլյատոր փոփոխություններն արտահայտվում են միջմկանաթելային այտուցի տեսքով, որի հետևանքով հարթմ կանաթելային տարրերն իրարից հեռանում են: Բացի այտուցից նշմարվում ենլայնացած ու գերարյուն անոթներ հարանոթային արտահայտված ներսփրանքով, որը հասնում է մինչև լայնացած միջմկանային տարածությունները (նկ. 4): Պիկրո-Մալորիով ներկմամբ նկարագրվում են ֆիբրինոիդ փոփոխությունների մասեր, միոցիտոլիզի օջախներ (նկ. 5):
|
|
|
|
| Նկար 4. Արտահայտված միջմկանային այտուց, հարանոթային և հենքայինլիմֆոցիտար ներսփրանք: Հեմատոքսիլին - էոզին: | Նկար 5. Մկանաթելերում ֆիբրինոիդ փոփոխություններ Պիկրո-Մալորիով: | Նկար 6. Աղիքի շճաթաղանթում կոլագենի ֆիբրինոիդ փոփոխությունների օջախներ: Պիկրո-Մալորի: |
Բացի վերը նշված փոփոխություններից, աղիների շճաթաղանթում հայտնաբերվում են կոլագենի ֆիբրինոիդ փոփոխությունների օջախներ, որոնք վկայում են շարակցական հյուսվածքում խորը ախտահարումների մասին (նկ. 6):
Այսպիսով, բարակ աղիների հետազոտություններից ստացված ձևաբանական փոփոխությունները վկայում են միկրոցիրկուլյացիայի համակարգի խորը խանգարումների մասին, ինչն արտահայտվում է աղիքի պատի բոլոր շերտերում այտուցով, տեղային թրոմբոհեմոռագիկ համախտանիշի զարգացմամբ, անոթներիդիստրոֆիկ-դեգեներատիվ փոփոխություններով՝ նրանց թափանցելիության բարձրացմամբ, ներանոթային հեմոլիզի, հեմոսիդերոզի զարգացմամբ, ենթալորձային շերտի ավշուղիների լայնացմամբ:
Այս պրոցեսի ակտիվությունը պահպանվում է պարարտ բջիջների կողմից արտադրվող կենսաբանական ակտիվ նյութերի օգնությամբ, ինչի շնորհիվ էլ պահպանվում և խորանում է աղիքի տարբեր շերտերում բորբոքային պրոցեսը: Տեղային արյունաշրջանառության խանգարումները բերում են լորձաթաղանթի ծածկող էպիթելում դիստրոֆիկ-դեսկվամատիվ փոփոխությունների՝ ենթալորձային շերտի մերկացմամբ:
Մորֆոլոգիական այս փոփոխությունները վկայում են աղիների լորձաթաղանթի նաև ֆունկցիոնալ ախտահարման մասին՝արտահայտվող թերլորձարտադրմամբ, Պանետի բջիջների կողմից մանրէասպան նյութերի թերարտադրությամբ ու տեղային պաշտպանական ֆունկցիայի անբավարարությամբ: Այս պայմաններում Լիբերկյունի խորշիկներում միկրոօրգանիզմների աճի ու բազմացման համար բարենպաստ պայմաններ են ստեղծվում, որոնք էլ խորացնում են տեղային բորբոքումն ու ներթունավորումը: Մկանային շերտի հենքային այտուցն ու ֆիբրինոիդ փոփոխությունները վկայում են աղիների շարժողական ֆունկցիայի խանգարումների մասին, ինչն իր հերթին ամրապնդվում է տեղային նյարդային ապարատում բորբոքային ուդիստրոֆիկ խանգարումներով: Վերջապես, շճաթաղանթի անվերադարձ ֆիբրինոիդ փոփոխությունները վկայում են տեղային շճային պերիտոնիտի զարգացման մասին: Ասվածից երևում է, որ ԱԱՀ-ի զարգացման ընթացքում տոքսիկ նյութերի առաջացման, ներծծման համարստեղծվում են բարենպաստ պայմաններ, որը բերում է օրգանիզմի ընդհանուր ներթունավորմանը:
Կրկնակի վիրահատությունների ժամանակ և դրանցից հետո վերցված կենսանյութի (արյուն, որովայնամզի, ստամոքսի ևաղիների պարունակություն) բակտերիոլոգիական հետազոտություններով հայտնաբերվում է պաթոգեն միկրոօրգանիզմների աճ 100%՝ էնտերոտոքսինի դեպքում, 71,4%՝ որովայնային հեղուկի դեպքում, 61,1%՝ ստամոքսային պարունակության դեպքում և 58,3%՝արյունից: Ընդհանուր առմամբ հայտնաբերվել են միկրոօրգանիզմների 312 շտամներ. ֆակուլտատիվ-անաէրոբներ՝ 108 շտամներ (գրամ-բացասական Escherichia coli, Enterobacter spp և այլն՝ 84, գրամ-դրական и Staphylococcus aureus՝ 21); պարտադիր-անաէրոբներ (Clostridium spp., Bacteroides spp., Peptostreptococc spp.)՝ 112 շտամներ. գրամ-բացասական՝ 60 և գրամ-դրական՝ 52: Հայտնաբերվել են, իհարկե, նաև Candida խմբիսնկեր՝ 109 շտամներ: Միկրոօրգանիզմների տարածվածությունը ներկայացված է նկ. 7-ում:
|
|
Նկար 7. Հայտանաբերված պաթոգեն միկրոօրգանիզմները |
Այսպիսով, աղիքային անբավարարության համախտանիշով բարդացած ՀՊ-ի կապակցությամբ վիրահատված հիվանդների մոտ զարգանում են արտահայտված ձևաբանական փոփոխություններ բարակ աղիների պատում՝ ուղղեկցվող բազմաբնույթ միկրոբային կանտամինացիայով՝ նրանց պարտադիր պրոքսիմալացումով, արտահայտված ներթունավորումով, ինչը և խթանում է բազմաօրգանային անբավարարությունը:
Գրականություն
- Алексеев С.А. Абдоминальный хирургический сепсис. Минск.: Юнипак, 2005, 256 с.
- Гаин Ю.М., Леонович С.И., Алексеев С.А. Энтеральная недостаточность при перитоните: теоретические ипрактические аспекты, диагностика и лечение. Минск: Молодечно, 2001, 265 с.
- Гельфанд Б.Р., Филимонов М.И., Бурневич С.З. Абдоминальный сепсис. Русский медицинский журнал, 1999, 5/7, с.6.
- Гринев М.В., Громов М.И., Комраков В.Е. Хирургический сепсис. СПб.-М.: ОАО Типография Внешторгиздат, 2001, 315 с.
- Ермолов А.С., Попова Т.С., Пахомова Г.Е., Утешев Н.С. Синдром кишечной недостаточности в неотложнойабдоминальной хирургии. М.: Медэкспресс, 2005.
- Завада Н.В., Гаин Ю.М., Алексеев С.А. Хирургический сепсис: Учебное пособие. Минск: Новое знание, 2003, 237 с.
- Кочеровец В.И., Перегудов С.И., Ханевич М.Д. Синдром избыточной колонизации тонкой кишки. Антибиот. ихимиотер. 1992, т.. 37, 3, с.39-44.
20.05.2009 Կարդացեք նաև
Ողնաշարային խողովակի նեղացումը առավել հաճախ հանդիպում է գոտկասրբանային հատվածում:Այս ախտահարման կլինիկական դրսևորման և բուժման մասին առաջին տվյալները գրականության մեջ նկարագրվել են...
21.01.2019
Ս.Ա.Ստեփանյան1,2, Ա.Ա.Պետրոսյան1,2, Դ.Ս.Գրիգորյան1,2, Ի.Յու.Գևորգյան1,2, Հ.Խ.Բատիկյան1,2, Ռ.Ն.Մեսրոպյան1,2, Ռ.Գ.Մուրադյան1,2, Ս.Ա.Աքշելյան1,2...
31.10.2017 Բանալի բառեր. անաստամոզ, անաստամոզիտներ, կանխարգելում, բուժում
Ստամոքսի մասնահատումից հետո հետվիրահատական շրջանում հանդիպող բարդությունների մեջ առաջին տեղերից մեկն է զբաղեցնում անաստամոզիտը [1,5,10]...
Բանալի բառեր. «Ռեպերեն-2», աճուկային ճողվածքներ, սինթետիկ էնդոպրոթեզ
Ճողվածքների վիրահատական բուժումն ինչպես բժշկական, այնպես էլ սոցիալ-տնտեսական նշանակություն ունի: Դա պայմանավորված է ճողվածքների լայն տարածվածությամբ, հատկապես աճուկային կրկնվող մեծ...
24.01.2012 Ներմիզուկային վիրահատությունների պատմությունը սկսվում է XVI դարից, երբ ֆրանսիացի վիրաբույժ Ambruise Pare-ն վերականգնեց նեղացած միզուկի անցանելիությունը` կիրառելով կյուրետ և սրած լուսնացքավոր բուժ...
25.07.2011 Բանալի բառեր. ֆիտոբեզոար, բարակաղիքային անանցանելիություն
Ներածություն: Բարակաղիքային մեխանիկական անանցանելիությունը բարակ աղիքի վիրաբուժական միջամտություն պահանջող և առավել հաճախ հանդիպող ախտաբանական վիճակ է...
Սոնոգրաֆիկ հսկողության տակ իրականացվող շագանակագեղձի տրանսռեկտալ բիոպսիան ներկայում հանդիսանում է շագանակագեղձի քաղցկեղի ախտորոշման և վաղ հայտնաբերման «ոսկե ստանդարտ»...
Բանալի բառեր. վնասվածք, ներորովայնային հիպերտենզիա, թոքային բարդություններ
Վերջին տարիներին ծանր հիվանդների մոտ ներորովայնային ճնշման նկատմամբ անշեղորեն հետաքրքրությունը աճում է...
26.04.2011 Դեպքերից մեկը տեղի է ունեցել 2008թ.-ի հունիսին: Ավտովթարից հետո մեր հիվանդանոց է տեղափոխվել Ա.Լ., ազգությամբ կորեացի, ԱՄՆ քաղաքացի...
Ներկայում սուր պանկրեատիտը անհետաձգելի վիրաբուժության ամենակարևոր և հետագա ուսումնասիրություններ պահանջող խնդիրներից մեկն է : Վերջին տարիներին նկատվում է պանկրեատիտով...
Սուր դեստրուկտիվ պանկրեատիտի բուժման պատմությունն իրենից ներկայացնում է բազմամյա երկխոսությունների պատմություն` կոնսերվատիվ բուժման և ակտիվ վիրաբուժական մեթոդների կողմնակիցների միջև...
Այսօր արդեն ակնհայտ է, որ միայն կլինիկական հետազոտությունների վրա հիմնված պրոֆիլակտիկ քննությունների մակարդակը չի կարող համապատասխանել առողջապահության արդի պահանջներին...
Բանալի բառեր. էնդոսկոպիկ վիրաբուժություն, ներորովայնային, տրանսլումինալ (միջլուսանցքային), որովայնի խոռոչի դիտում, լեղապարկի հեռացում
Բնական բացվածքով տրանսլումինալ էնդոսկոպիկ վիրաբուժությունը (ԲԲՏԷՎ) ներառում է ներքին օրգաններից (օր.` ստամոքս, ուղիղ աղիք, հեշտոց, միզապարկ) մեկի մտածված ծակումը էնդոսկոպի միջոցով` որովայնի խոռոչ մտնելու...
Դեռևս հազարամյակներ առաջ աջ զստափոսում տեղակայված, այսպես կոչված` բորբոքային ուռուցքներից սովորաբար հիվանդները մահանում էին ծանր տառապանքներից: Բուժման դեպքեր հազվադեպ էին գրանցվում: XVI դարում պարզվեց, որ այդ տառապանքների պատճառը...
13.10.2009 Բանալի բառեր. լիկվորեա, միջողնային աճառների ճողվածքներ, վիրաբուաժական բուժում, ներվիրահատական բարդություններ
Վիրաբուժական հիվանդությունների բուժման բարդությունների քննարկումն ունի մեծ գործնական նշանակություն: Բաց գոտկային դիսկէկտոմիայի բարդությունները կարելի է պայմանականորեն բաժանել...
ԱՄԵՆԱԸՆԹԵՐՑՎԱԾ ՀՈԴՎԱԾՆԵՐԸ
-
Ժողովրդական դեղամիջոցներ
-
Հղիություն. 4-րդ ամիս
-
Հղիություն. 7-րդ ամիս
-
Կոճապղպեղ նույնն է՝ իմբիր, Ginger եւ Zingiber Officinale
-
«Արագիլ» հիմնադրամը ստեղծված է՝ օգնելու անպտղությամբ տառապող զույգերին. Կարինե Թոխունց
-
Հղիություն. 6-րդ ամիս
-
Հղիություն. 2-րդ ամիս
-
Ամուսնական առաջին գիշերը
- 4-7 ամսական երեխաների սնուցումը
-
Ընկերության մասին
-
Խնձորը` պզուկների դեմ. ազատվիր նրանցից 1 գիշերվա ընթացքում
-
Ինչպես ազատվել անցանկալի մազերից
-
Պարզվում է ապագա երեխայի սեռը կախված է մայրիկի սնունդից
-
Դդում
-
Հիվանդություն, որը փոխում է մեր կյանքը` կրծագեղձի քաղցկեղ
-
Կոճապղպեղ՝ նիհարելու համար (կոճապղպեղի թեյ)
-
Սեռական գրգռում
-
Արգանդի միոմա. նախանշանները, պատճառներն ու բուժումը
-
Հղիություն. 1-ին ամիս
-
Երիցուկ դեղատնային - Ромашка аптечная - Matricaria chamomilla L.
-
Չիչխանի օգտակար հատկությունները
-
Քարավուզ (նույն ինքը՝ նեխուր)
-
Ինչպես ազատվել բերանի վատ հոտից`պարզ միջոց
-
Դիմակներ` մազերի համար
-
Կրծքի ցավե՞ր ունեք. ինչ անել
-
Հեշտոցային արտադրության պատճառները. մասնագետի անդրադարձը
-
Ընդհանուր տեղեկություններ մարմնի համակարգերի մասին
- Բերանի խոռոչի լորձաթաղանթի ախտահարումը սովորական բշտախտի ժամանակ (սկիզբը` նախորդ համարում)
-
Հիվանդություն, որի համար պետք չէ ամաչել (թութք)
-
Ընտրություն ըստ հորոսկոպի
- Խոսենք այդ մասին. ձեռնաշարժություն
-
Հղիությունը և նախապատրաստվելը դրան
-
Երբ գլխացավն ախտանիշ է: Հանճարեղ և օժտված մարդկանց հիվանդություն
-
Լեղաքարային հիվանդություն. բուժման մեթոդները
-
Սեռական թուլության առաջին նախանշանները. news.am
-
Ուլտրաձայնային դոպլերոգրաֆիա (երկակի (դուպլեքս) անոթների)
-
Էկզեմայի տեսակները և բուժումը
-
Իրիդիոսքրինինգ
-
ՈւՆԱԲԻ: Արևելյան բժշկության գաղտնիքները
-
Գամմա-դանակը նշտարի փոխարեն















Գիտական բժշկություն
Հիվանդություններ
Ավանդական բժշկություն
Առողջ ապրելակերպ
Կոսմետոլոգիա
Բժշկական իրավունք
Ալգորիթմեր, թեստեր
Թվեր, փաստեր, դեպքեր
Պատմական խրոնիկա
Աֆորիզմներ
Կարիերային սանդուղքով
Երեխա
Կին
Տղամարդ
Ռեյթինգային համակարգ






