Ուրոլոգիա
Սուր պերիպրոստատիկ հեմատոման որպես շագանակագեղձի տրանսռեկտալ բիոպսիայի հազվադեպ հանդիպող բարդություն (կլինիկական 2 դեպքի նկարագրություն)
Սոնոգրաֆիկ հսկողության տակ իրականացվող շագանակագեղձի տրանսռեկտալ բիոպսիան ներկայում հանդիսանում է շագանակագեղձի քաղցկեղի ախտորոշման և վաղ հայտնաբերման «ոսկե ստանդարտ»: Բարդությունները, որոնք հանդիպում են բիոպսիայից հետո, բաժանվում են 2 խմբի` փոքր բարդություններ, որոնք հանդիպում են բավականին հաճախ և չեն պահանջում հոսպիտալային բուժում (60%-79%) և նշանակալի լուրջ բարդություններ, որոնք պահանջում են հոսպիտալային բուժում(0,4%-3,4%):
Ավելի հաճախ հանդիպող բարդությունները ներկայացված են ստորև (աղյուսակ 1):
Աղյուսակ 1 Բարդությունների հանդիպման հաճախականությունը
|
Բարդություն |
% |
|
Հեմատոսպերմիա |
37,4 |
|
Արյունամիզություն մեկ օրից ավել տևողությամբ |
14,5 |
|
Արյունահոսություն հետանցքից, 2 օրից պակաս տևողությամբ |
2,2
|
|
Պրոստատիտ |
1,0 |
|
Ջերմություն >38,5°C |
0,8 |
|
Արյունահոսություն հետանցքից` 2 օրից ավել տևողությամբ, կամ պահանջում է վիրահատական միջամտություն |
0,7
|
|
Միզակապություն |
0,2 |
|
Այլբարդություններ, որոնքպահանջումենհոսպիտալացում |
0,3 |
Պայմանավորված լուրջ բարդությունների հանդիպման ցածր հաճախականությամբ`սոնոգրաֆիկ հսկողությամբ իրականացված շագանակագեղձի տրանսռեկտալ բիոպսիան հիմնականում կիրառվում է ամբուլատոր պայմաններում: Այնուամենայնիվ, անհրաժեշտ է միշտ նկատի ունենալ կյանքին սպառնացող հնարավոր լուրջ բարդությունների առաջացման վտանգը, ինչը կախված չի վերցրած նմուշների քանակից և պահանջում է իրականացնել հոսպիտալային բուժում: Բարդություններից ամենավտանգավորը և կյանքին սպառնացողը հանդիսանում է իհարկե սեպսիսը: Արյունահոսության հետ կապված բարդությունները հանդիպում են բավականին հաճախ և արտահայտվում են հեմատոսպերմիայի, արյունամիզության և հետանցքից կարճատև արյունահոսության ձևով` այսպիսով հանդիսանալով գերազանցապես հոսպիտալային բուժում չպահանջող բարդություններ: Ստորև քննարկվում է Էրեբունի ԲԿ-ի ուրոլոգիական կլինիկայում դիտարկված, սոնոգրաֆիկ հսկողությամբ իրականացված շագանակագեղձի տրանսռեկտալ բիոպսիայից հետո հանդիպած հազվադեպ բարդության, այն է` սուր պերիպրոստատիկ հեմատոմայի երկու դեպք, որոնք պահանջել են իրականացնել հոսպիտալային բուժում: Բոլոր տեսակի տեղեկատվական աղբյուրների մեջ մենք հանդիպեցինք նմանատիպ բարդության նկարագրության ոչ ավել քան վեց դեպք:
Կլինիկական դեպքերի նկարագրությունը
Ա–Հիվանդ Ա.Վ., 68 տարեկան, կլինիկա էր դիմել` կապված էպիցիստոստոմիկ խողովակի առկայության, բնական ճանապարհով միզելու անհնարինության հետ: Անամնեզում` Ռուսաստանի Դաշնությունում հիվանդի մոտ մեկ ամիս առաջ զարգացել էր սուր միզակապություն, միզուկային կաթետր անցկացնելու փորձերը հաջողութայմբ չէին պսակվել, ի հայտ էր եկել ուրեթրոռագիա և տեղադրվել էր էպիցիստոստոմիկ դրենաժ: Մատնային քննությամբ` շագանակագեղձը չափերով սիմետրիկ մեծացած, միջբլթային ակոսը հարթված, պինդ-էլաստիկ կոսիստենցիայի, անհարթություններ և թմբիկներ չէին շոշափվում: Սոնոգրաֆիկ` վերին միզուղիներն առանց պաթոլոգիայի, առկա էր շագանակագեղձի հիպերպլազիա, հանգույցի ընդհանուր չափը 5 x 4,5 x 4սմ: Արյան ընդհանուր և կենսաքիմիական քննությամբ, կոագուլոգրամայով շեղումներ չեն հայտնաբերվել, ՊՍԱ-ն կազմում էր 12,5 նգ/մլ: Մեզի ընդհանուր քննությամբ առկա էր էրիթրոցիտուրիա, մեզի ցանքսով մանրէային աճ չկար: Հիվանդը չէր ստանում որևէ դեղորայք, որը կարող էր ազդել մակարդելիության համակարգի վրա: Հիվանդին համապատասխան նախապատրաստությունից հետո (մաքրող հոգնա, հակաբակտերիալ պրեպարատների պերօրալ ընդունում) կատարվեց տրանսռեկտալ սոնոգրաֆիա և բիոպսիա: Ակնհայտ կասկածելի օջախներ չհայտնաբերվեցին, ուստի և կատարվեց ստանդարտ տաս նմուշանի բիոպսիա` հինգական յուրաքանչյուր բլթից` օգտագործելով 18G բիոպսիոն ասեղ: Բիոպսիայի ընթացքում արյունահոսություն և այլ բարդություններ չեն արձանագրվել: Բիոպսիայից մեկ ժամ անց հիվանդի մոտ ի հայտ եկավ հետանցքի և շեքի շրջանի ցավ, որի ինտենսիվությունը գնալով արագ աճեց: Արյունային արտադրություն հետանցքից, ինչպես նաև արյունամիզություն չկար: Կատարվեց տրանսաբդոմինալ, այնուհետև տրանսռեկտալ սոնոգրաֆիաներ, հայտնաբերվեց հեղուկի (ենթադրաբար արյան) կուտակում պերիպրոստատիկ հատվածում: Որովայնում ազատ հեղուկ չկար: Ոչ նարկոտիկ ցավազրկող դեղորայքը արդյունավետ չէր, օպիոիդային ցավազրկողները թողնում էին կարճատև, ոչ բավարար արդյունք:
Հիվանդի մոտ ցավային սիմպտոմատիկան հանգստացնելու և ցավային շոկի զարգացումը կանխելու նպատակով տեղադրվեց էպիդուրալ կաթետր: Կատարվեց ռեկտոսկոպիա` անուսի առաջնային պատը թեթևակի հիպերեմիկ, թեթևակի արտափքված դեպի լուսանցքը, արյունային արտադրություն չկար: Հիվանդին նշանակվեց հակաբակտերիալ, ինֆուզիոն թերապիա, կատարվեց ուղիղ աղիքի տամպոնադա սառցեպարկերով և տամպոններով: Հեմոդինամիկ ցուցանիշները կայուն էին, 3 ժամ անց նկատվեց հեմոգլոբինի իջեցում մինչև 103 գ/լ, (նախնականը 127 գ/լ): Հեմոգլոբինի հետագա անկում չնկատվեց, հաջորդ օրը շեքի շրջանում առաջացան արյունազեղման օջախներ: Էպիդուրալ կաթետրով ցավազրկման կիրառումը պահանջեց տեղադրելուց ոչ ավել քան 18 ժամ ինչի արդյունքում ցավային ախտանիշները էականորեն նվազեցին և անցան հաջորդ օրերի ընթացքում: Աղիները գործեցին նորմալ, առանց որևէ էական դժվարության: Պաթոհիստոլոգիական եզրակացությամբ առկա էր շագանակագեղձի բարորակ հիպերպլազիա: Հիվանդը դուրս գրվեց ամբուլատոր հսկողության: Մեկուկես ամիս անց հեմատոման լրիվ ներծծվել էր, և հիվանդին կատարվեց շագանակագեղձի տրանսուրեթրալ ռեզեկցիա: Ինքնուրույն միզարձակությունը վերականգնվեց, էպիցիստոստոմիկ դրենաժը հեռացվեց:
Բ – հիվանդ Ռ.Բ., 57 տարեկան, դիմել էր ուրոլոգիական կլինիկա` գանգատվելով դիզուրիկ երևույթներից, որոնք արտահայտվում էին մեզի շիթի թուլացման, հաճախամիզության ձևով: Սոնոգրաֆիկ` վերին միզուղիներն առանց պաթոլոգիայի, առկա էր շագանակագեղձի հիպերպլազիա, հանգույցի ընդհանուր չափը 2,5 x 2,0սմ: Մնացորդային մեզը` մոտ 40մլ: Արյան ընդհանուր և կենսաքիմիական քննությամբ, կոագուլոգրամայով շեղումներ չեն հայտնաբերվել, ՊՍԱ-ն կազմում էր 7,8նգ/մլ: Մեզի ընդհանուր քննությամբ շեղում չկար, մեզի ցանքսով մանրէային աճ չկար: Հիվանդը չէր ստանում որևէ դեղորայք, որը կարող էր ազդել մակարդելիության համակարգի վրա: Հիվանդին համապատասխան նախապատրաստությունից հետո (մաքրող հոգնա, հակաբակտերաիլ պրեպարատների պերօրալ ընդունում) կատարվեց տրանսռեկտալ սոնոգրաֆիա և բիոպսիա: Կատարվեց 8 նմուշանի բիոպսիա` չորսական յուրաքանչյուր բլթից` օգտագործելով 18G բիոպսիոն ասեղ: Բիոպսիայի ընթացքում արյունահոսություն և այլ բարդություններ չհայտնաբերվեցին: Բիոպսիայից մոտ 2 ժամ անց հիվանդի մոտ ի հայտ եկավ հետանցքի, շեքի շրջանի և միզուկի չափազանց ինտենսիվ ցավ, որը գնալով արագ աճեց: Արյունային արտադրություն հետանցքից, ինչպես նաև արյունամիզություն չկար: Կատարվեց տրանսաբդոմինալ, այնուհետև տրանսռեկտալ սոնոգրաֆիաներ, հայտնաբերվեց հեղուկի (ենթադրաբար արյան) կուտակում պերիպրոստատիկ հատվածում` գերազանցապես հետպրոստատիկ շրջանում:Որովայնում ազատ հեղուկ չկար: Համանման նախորդ դեպքին` ոչ նարկոտիկ ցավազրկող դեղորայքը էֆֆեկտիվ չէր, օպիոիդային ցավազրկողները թողնում էին կարճատև, ոչ բավարար ազդեցություն:
Հիվանդի մոտ ցավային ախտանշանները հանգստացնելու և ցավային շոկի զարգացումը կանխելու նպատակով տեղադրվեց էպիդուրալ կաթետր: Միզարձակությունը էականորեն դժվարացավ, ինչը պահանջեց միզուկային կաթետրի տեղադրում: Վերջինս հեռացվեց երեք օր անց: Հիվանդին նշանակվեց հակաբակտերիալ, ինֆուզիոն թերապիա, կատարվեց ուղիղ աղիքի տամպոնադա` սառցե պարկերով և տամպոններով: Հեմոդինամիկ ցուցանիշները կայուն էին, նկատվեց հեմոգլոբինի իջեցում մինչև 90գ/լ (նախնականը 138գ/լ): Հեմոգլոբինի հետագա անկում չնկատվեց, հաջորդ օրը շեքի շրջանում նկատվեցին արյունազեղման օջախներ: Էպիդուրալ կաթետրով ցավազրկման կիրառումը պահանջեց տեղադրելուց ոչ ավել քան 10 ժամ` մինչև ցավային ախտանիշները էականորեն նվազեցին և անցան հաջորդ օրերի ընթացքում: Նկատվեց քրոնիկ փորկապություն. պահանջվեց կատարել մաքրող հոգնաներ բիոպսիայից երեք օր անց, դիետայի և լուծողականների կիրառում հետագա 20 օրվա ընթացքում: Պաթոհիստոլոգիական եզրակացությամբ առկա էր շագանակագեղձի բարորակ հիպերպլազիա: Հիվանդը դուրս գրվեց ամբուլատոր հսկողության, հեմատոմայի ներծծումը պահանջեց մոտ երկու ամիս: Ներկայում հիվանդը ստանում է ալֆա բլոկատորներ, միզարձակությունը էականորեն բարելավվել է:
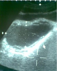
Նկար 1. Բ հիվանդի մոտ տրանսռեկտալ սոնոգրաֆիայի պատկերը բիոպսիայից 2 օր անց: Հաստ սլաքով նշված է հեմատոման, բարակ սլաքով` շագանակագեղձը

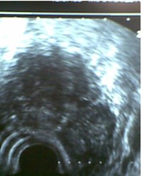
Նկար 2. Նույն հիվանդի մոտ տրանսաբդոմինալ սոնոգրաֆիայի պատկերը բիոպսիայից 5 օր անց, հաստ սլաքով նշված է հեմատոման, բարակ սլաքով` շագանակագեղձը
Քննարկում և եզրակացություն
Թեև սոնոգրաֆիկ հսկողությամբ իրականացված շագանակագեղձի տրանսռեկտալ բիոպսիան ունի լուրջ բարդությունների զարգացման ցածր հավանականություն, և այդ բարդությունները հիմնականում ինֆեկցիոն բնույթի են (սեպսիս, պրոստատիտ), այնուամենայնիվ, չպետք է մոռանալ նաև պերիպրոստատիկ հեմատոմայի առաջացման հավանականության մասին, ինչը մեր դիտարկմամբ կլինիկորեն արտահայտվում է բիոպսիայից հետո առաջիկա մեկ-երկու ժամվա ընթացքում ի հայտ եկող միզուկի և շեքի շրջանի չափազանց ուժեղ ցավերով (երկու դեպքերում էլ ցավազրկման նպատակով պահանջվեց տեղադրել էպիդուրալ կաթետր), շեքի շրջանում արյունազեղման օջախներով, և պահանջում է հոսպիտալային բուժում: Մեր դիտարկած դեպքերում հոսպիտալացումը կազմեց 3 և 5օր : Չնայած ընդամենը երկու կլինիկական դեպքի վերլուծությանը, այնուամենայնիվ, նշված բարդության զարգացման ռիսկի ակնհայտ գործոններ չհայտնաբերվեցին:
Գրականություն
-
Norberg M., Holmberg L., Haggman M., Magnusson A.. Determinantsof complications after multiple transrectal core biopsies ofthe prostate. Eur Radiol 1996; 6: 457-46
-
Rodriguez L.V., Terris M.K.. Risks and complications of transrectal ultrasound guided prostate needle biopsy: a prospective studyand review of the literature. J Urol 1998; 160: 2115 – 212
-
EAU Guiedelines. Prostate cancer. 2011, 15-16
-
Anjum M.. Pelvic haematoma following trucut biopsy of the prostate. Int Urol Nephrol 1996; 28: 781 – 785.
-
Saad A., Hanbury D.C., McNicholas T.A., Boustead G.B.. Case Report Acute periprostatic haematoma following a transrectal ultrasound-guided needle biopsyof the prostate Prostate Cancer and Prostatic Diseases (2002) 5, 63–64
19.07.2011 Կարդացեք նաև
Շագանակագեղձի բարորակ հիպերպլազիան (ՇԲՀ) համարվում է տարեց տղամարդկանց շրջանում ամենատարածված ուրոլոգիական հիվանդությունը: Ռուսաստանի Դաշնությունում և Եվրոպական մի շարք երկրներում ՇԲՀ-ն ախտորոշվում է 11,3% տղամարդկանց մոտ 40-49տ. հասակում և 81,4% տղամարդկանց մոտ` 80տ. հասակում [11]...
Բանալի բառեր. միզապարկի քաղցկեղ, բիպոլյար ներմիզուկային մասնահատում
Առաջին հիշատակումները ներմիզուկային մասնահատման (ՆՄՄ) կիրառման վերաբերյալ հանդիպում են 16-րդ դարից: Հետագայում, գիտատեխնիկական առաջընթացին զուգընթաց...
Բանալի բառեր. շագանակագեղձի բարորակ հիպերպլազիա, էրեկտիլ դիսֆունկցիա, ֆոսֆո-դիէսթերազա 5-ի ինհիբիտորներ, ստորին միզուղիների ախտանիշներ
Տարեց տղամարդկանց շրջանակներում լայն տարածում ունեցող էրեկտիլ դիսֆունկցիան (ԷԴ) և շագանակագեղձի բարորակ հիպերպլազիայի (ՇԲՀ) հետևանքով առաջացող ստորին միզուղիների ախտանիշները (ՍՄԱ) սովորաբար ի հայտ են գալիս կյանքի 5-րդ և 6-րդ տասնամյակներում [11,15,24]...
Բանալի բառեր. միզաքարային հիվանդություն, պիելոլիթոտոմիա
Միզաքարային հիվանդությունը` իր տարածվածության (մինչև 5%), բուժման համար պահանջվող ծախսերի շարունակական մեծացման պատճառով համարվում է ոչ միայն ժամանակակից ուրոլոգիայի այլ նաև առողջապահական լուրջ հիմնախնդիր...
Բանալի բառեր. ամորձու նորագոյացություն, Լեյդիգոմա, ամորձու ինտերստիցիալ բջիջների ուռուցք
Հայտնաբերվել է 193 հրատարակում (Medline) մեծահասակների շրջանում Լեյդիգոմայի 480 դեպքի վերաբերյալ, այդ թվում 3 աշխատանք՝ ընդհանուր առմամբ 90 հիվանդի վրա կատարված հետազոտությունների վերաբերյալ [1-6]...
Բանալի բառեր. շագանակագեղձ, կարցինոմա, նեյորէնդոկրին
Վերջին երկու տասնամյակում շագանակագեղձի քաղցկեղը դարձել է լուրջ բժշկական և սոցիալական խնդիր: Արևմտյան Եվրոպայում և ԱՄՆ-ում շագանակագեղձի քաղցկեղը զբաղեցնում է տղամարդկանց մոտ բոլոր չարորակ նորագոյացությունների շարքում 2- րդ տեղը` իր տեղը զիջելով թոքերի քաղցկեղին...
Բանալի բառեր. միզապարկ, շագանակագեղձ, հիպերպլազիա
Մի շարք կլինիկական դիտարկումներ ցույց են տվել, որ շագանակագեղձի բարորակ հիպերպլազիայով (ՇԲՀ) զգալի թվով հիվանդների մոտ ինֆրավեզիկալ օբստրուկցիայի (ԻՎՕ) ախտանիշները զուգորդվում են գերակտիվ միզապարկի (ԳԱՄ) ախտանիշներով...
Բանալի բառեր. միզապարկի քաղցկեղ, բիպոլյար ներմիզուկային մասնահատում
Միզապարկի մակերեսային ուռուցքների վիրահատական բուժման հիմնական եղանակ է համարվում ներմիզուկային մասնահատումը (ՆՄՄ) [7,21,22]: Ներմիզուկային վիրահատությունների պատմական սկիզբը համարվում է 16-րդ դարը...
Բանալի բառեր. միզապարկի քաղցկեղ, ֆլյուորեսցենցիա, բիպոլյար ներմիզուկային մասնահատում
Միզապարկի մակերեսային ուռուցքների վիրահատական բուժման ստանդարտ է համարվում ուռուցքի ներմիզուկային մասնահատումը (ՆՄՄ)...
24.09.2012 Շագանակագեղձի քաղցկեղը լուրջ խնդիր է ներկայացնում և տարեցտարի ավելի մեծ ուշադրություն է գրավում: Վերջին տարիներին, հատկապես զարգացած երկրներում նկարագրվում է շագանակագեղձի քաղցկեղով հիվանդացության աճ...
Պրոստատ սպեցիֆիկ անտիգենը 34ԿԴ մոլեկուլյար զանգվածով գլիկոպրոտեիդ է, որը գրեթե գերազանցապես արտադրվում է շագանակագեղձի էպիթելում [1,2]: ՊՍԱ-ի որոշումը օգտակար է շագանակագեղձի քաղցկեղի վաղ հայտնաբերման համար...
28.07.2011 Ամորձիների ուռուցքներով հիվանդացությունը եվրոպական երկրներում կրկնապատկվում է յուրաքանչյուր 20 տարին մեկ: Միջին ցուցանիշը կազմում է 6,3 հիվանդ 100000 տղամարդ բնակչության: Մինչդեռ մահացությունը ամորձիների քաղցկեղի ժամանակ մնում է...
Հիվանդ Ա.Վ., տղամարդ, 43տ, Ուռուցքաբանության ազգային կենտրոնի ուրոլոգիայի բաժանմունք էր ընդունվել` գանգատվելով շեքի շրջանի ուռուցքային գոյացության առկայությունից, ցավերից և դժվարամիզությունից: Հիվանդության...
Ներմիզուկային վիրահատությունների պատմությունը սկսվում է XVI դարից, երբ ֆրանսիացի վիրաբույժ Ambruise Pare-ն վերականգնեց նեղացած միզուկի անցանելիությունը` կիրառելով կյուրետ և սրած լուսնացքավոր բուժ...
Միզապարկի մակերեսային ուռուցքների էնդոսկոպիկ բուժման ոսկե ստանդարտ է համարվում ներմիզուկային մասնահատումը (ՆՄՄ) [3]: Այն հետագա մորֆոլոգիական ախտորոշման հետ միասին հանդիսանում է փուլավորման առավել տեղեկատվական եղանակ...
ԱՄԵՆԱԸՆԹԵՐՑՎԱԾ ՀՈԴՎԱԾՆԵՐԸ
-
Ժողովրդական դեղամիջոցներ
-
Հղիություն. 4-րդ ամիս
-
Հղիություն. 7-րդ ամիս
-
Կոճապղպեղ նույնն է՝ իմբիր, Ginger եւ Zingiber Officinale
-
«Արագիլ» հիմնադրամը ստեղծված է՝ օգնելու անպտղությամբ տառապող զույգերին. Կարինե Թոխունց
-
Հղիություն. 6-րդ ամիս
-
Հղիություն. 2-րդ ամիս
-
Ամուսնական առաջին գիշերը
- 4-7 ամսական երեխաների սնուցումը
-
Ընկերության մասին
-
Խնձորը` պզուկների դեմ. ազատվիր նրանցից 1 գիշերվա ընթացքում
-
Ինչպես ազատվել անցանկալի մազերից
-
Պարզվում է ապագա երեխայի սեռը կախված է մայրիկի սնունդից
-
Դդում
-
Հիվանդություն, որը փոխում է մեր կյանքը` կրծագեղձի քաղցկեղ
-
Կոճապղպեղ՝ նիհարելու համար (կոճապղպեղի թեյ)
-
Սեռական գրգռում
-
Արգանդի միոմա. նախանշանները, պատճառներն ու բուժումը
-
Հղիություն. 1-ին ամիս
-
Երիցուկ դեղատնային - Ромашка аптечная - Matricaria chamomilla L.
-
Չիչխանի օգտակար հատկությունները
-
Քարավուզ (նույն ինքը՝ նեխուր)
-
Ինչպես ազատվել բերանի վատ հոտից`պարզ միջոց
-
Դիմակներ` մազերի համար
-
Կրծքի ցավե՞ր ունեք. ինչ անել
-
Հեշտոցային արտադրության պատճառները. մասնագետի անդրադարձը
-
Ընդհանուր տեղեկություններ մարմնի համակարգերի մասին
- Բերանի խոռոչի լորձաթաղանթի ախտահարումը սովորական բշտախտի ժամանակ (սկիզբը` նախորդ համարում)
-
Հիվանդություն, որի համար պետք չէ ամաչել (թութք)
-
Ընտրություն ըստ հորոսկոպի
- Խոսենք այդ մասին. ձեռնաշարժություն
-
Հղիությունը և նախապատրաստվելը դրան
-
Երբ գլխացավն ախտանիշ է: Հանճարեղ և օժտված մարդկանց հիվանդություն
-
Լեղաքարային հիվանդություն. բուժման մեթոդները
-
Սեռական թուլության առաջին նախանշանները. news.am
-
Ուլտրաձայնային դոպլերոգրաֆիա (երկակի (դուպլեքս) անոթների)
-
Էկզեմայի տեսակները և բուժումը
-
Իրիդիոսքրինինգ
-
ՈւՆԱԲԻ: Արևելյան բժշկության գաղտնիքները
-
Գամմա-դանակը նշտարի փոխարեն















Գիտական բժշկություն
Հիվանդություններ
Ավանդական բժշկություն
Առողջ ապրելակերպ
Կոսմետոլոգիա
Բժշկական իրավունք
Ալգորիթմեր, թեստեր
Թվեր, փաստեր, դեպքեր
Պատմական խրոնիկա
Աֆորիզմներ
Կարիերային սանդուղքով
Երեխա
Կին
Տղամարդ
Ռեյթինգային համակարգ