Ուրոլոգիա
Շեքի շրջանի արտաօրգանային սարկոմա (կլինիկական դեպքի նկարագրություն)
Հիվանդ Ա.Վ., տղամարդ, 43տ, Ուռուցքաբանության ազգային կենտրոնի ուրոլոգիայի բաժանմունք էր ընդունվել` գանգատվելով շեքի շրջանի ուռուցքային գոյացության առկայությունից, ցավերից և դժվարամիզությունից: Հիվանդության անամնեզը` մոտ 5 ամիս է, երբ նկատել է գոյացություն շեքի շրջանում, վերջին ամսում նշել է գոյացության ինտենսիվ մեծացում, ցավեր և դժվարամիզություն: Մաշկը և տեսանելի լորձաթաղանթները նորմալ գունավորման են, լեզունմաքուր է, խոնավ: Զ/Ճ – 120/80մմ ս.ս., պուլս – 80զ/ր, ռիթմիկ, ջերմություն – 36,70C:
Զննման տվյալներով` արտաքին սեռական օրգանները զարգացած են արական տիպի, շեքի` առավելապես միզասեռական շրջանում, առկա էր մոտ 12,0 x 7,0սմ չափերի, անհարթ մակերեսով, պինդ-էլաստիկ կոնսիստենցիայի, համեմատաբար հստակ եզրագծերով, սահմանափակ շարժունակությամբ ուռուցքային գոյացություն, որի պրոյեկցիայով մաշկնանփոփոխ էր, շարժունակությունը` պահպանված: Ամորձիների չափերը և կոնսիստենցիան պահպանված են` հրված վեր: Աճուկային շրջանների շոշափումը մեծացած ավշահանգույցներ չի հայտնաբերել (նկ.1):
![]() |
![]() |
| Նկար 1 | |
Ռեկտալ մատնային հետազոտությամբ` ուղիղ աղու առաջային պատի պրոյեկցիայով նշված գոյացությունը անհարթ մակերեսով է, պինդ-էլաստիկ կոնսիստենցիայի, շարժունությունը` սահմանափակ, վերին սահմանը չի որոշվում, ուղիղ աղու լորձաթաղանթն անփոփոխ:
Կատարված հետազոտություններով` արյան ընդհանուր, կենսաքիմիական, սերոլոգիական հետազոտությունների տվյալները նորմայի սահմաններում են, ԷՍԳ – սինուսային ռիթմ, 80զ/ր: Կրծքավանդակի օրգանների ռենտգենաբանական հետազոտություն` կրծքավանդակի օրգանները ռենտգեն նորմայի սահմաններում են:
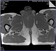
ՈւՁՀ – որովայնի և կոնքի օրգաններն անփոփոխ են, հետորովայնամզային մեծացած ավշահանգույցներ չկան: Շեքի շրջանում առկա է մոտ 12,0 x 7,0սմ չափերի, անհարթ մակերեսով, համեմատաբար հստակ եզրագծերով ուռուցքային գոյացություն: Կոմպյուտերային տոմոգրաֆիա ն/ե կոնտրաստավորմամբ և ՄՌՏ – նշված 12,0 x 7,0սմ չափերի հյուսվածքային գոյացություննարտաօրգանային է, չի բացառվում հպում առնանդամի աջ ոտիկին և միզուկի սպունգանման հատվածի հետ (նկ. 2):
![]() |
![]() |
| Նկար 2 | |
Կատարվել է գոյացության միջշեքային տրեպան-բիոպսիա: Բիոպտատի հյուսվածաբանական հետազոտություն` նկարագրվել են չարորակ բջիջներ, սակայն հյուսվածաբանորեն գոյացության պատկանելիությունը հնարավոր չի եղել որոշել:
Ախտորոշվել է շեքի շրջանի արտաօրգանային գոյացություն:
Նախավիրահատական համապատասխան պատրաստումից հետո ընդհանուր անզգայացման պայմաններում կատարվել է շեքի գոյացության լայն հեռացում (նկ. 3): Ներվիրահատական ռևիզիայի տվյալներով` գոյացությունը մասնակիորեն զբաղեցնում էր m. bulbospongiosus-ը, m. ishchiocavernosus-ը, m. transversus perinei superficialis-ը: Գոյացությունը հպված էր առնանդամի ոտիկներին և միզուկի սպունգային հատվածին, դեպի վեր ճնշում էր m. transversus perinei profundus-ին, դեպի հետ` հետանցքային եռանկյան մկաններին, սակայն ներաճի նշաններ չկային (նկ. 3,4):

Նկար 3
Հյուսվածքային գոյացությունը հեռացվեց առողջ հյուսվածքների սահմաններում, մեկ ամբողջականությամբ` պահպանելով աբլաստիկայի կանոնները: Վիրահատության ընթացքում արյան կորուստը` մոտ 50մլ:
![]() |
![]() |
|
Նկար 4 |
|
Հյուսվածաբանական հետազոտություն – լիմֆոսարկոմա (նկ. 5):
![]() |
![]() |
|
Նկար 5 |
|
Հետվիրահատական շրջանում վերքը լավացել է առաջնային ձգումով, միզուկային կատետրը հեռացնելուց հետո միզարձակությունը ազատ է, անցավ:
Մենք չհայտնաբերեցինք գրականության մեջ լիմֆոսարկոմաների համար փուլավորման և տարբերակման դասակարգման պատշաճ համակարգ: Ընդհանուր առմամբ տվյալ դեպքում կիրառելի կարելի է համարել փափուկ հյուսվածքային սարկոմաներին վերաբերող հայտնի դասակարգման համակարգերը: Նմանատիպ գոյացությունների տեղային կրկնողության համար կարևորագույն կանխորոշիչ գործոն հանդիսանում է վիրաբուժական սահմանների վիճակը, իսկ մետասթազավորման համար` տարբերակման աստիճանը: Չկա միանշանակ կարծիք նաև նեոադյուվանտ կամ ադյուվանտ ճառագայթային և քիմիաթերապիայի վերաբերյալ: Կան տվյալներ ադյուվանտ ճառագայթային թերապիայի վերաբերյալ ոչ ադեկվատ վիրաբուժական սահմանների դեպքում: Տվյալ դեպքում ուռուցքի վիրաբուժական սահմանները եղել են ուռուցքային հյուսվածքից զերծ: Քիմիաթերապիան (դօքսոռուբիցին իֆոսֆամիդ սխեմայով) առաջարկվում է հիվանդության մետասթատիկ փուլոււմ: Բարձր դիֆերենցված ուռուցքների և տեղային կրկնողության դեպքերում քիմիաթերապիայի արդյունավետությունը ցածր է: Բուժման ավարտից հետո սահմանվել է դինամիկ հսկողություն (ընդհանուր կլինիկական և ՄՌՏ` տարեկան 2 անգամ մոտակա 5 տարում, իսկ այնուհետև տարեկան մեկ անգամ 5 տարի շարունակ):
Այսպիսով, շեքի շրջանի լիմֆոսարկոման համարվում է հազվադեպ հանդիպող չարորակ նորագոյացություն, որի նախավիրահատական ռադիոլոգիական ախտորոշումը վճռորոշ պետք է համարել դասակարգման և արմատական բուժում կազմակերպելու համար: Վիրահատությունը համարվում է բուժման հիմնական եղանակ ինչպես ոչ մետասթատիկ, այնպես էլ մետասթատիկ ուռուցքների դեպքում, իսկ վիրահատական սահմանների վիճակը վճռորոշ է որպես կրկնողության կանխորոշիչ գործոն (ըստ գրականության տվյալների): Հյուսվածաբանական կառուցվածքը և տարբերակման աստիճանը կարևորագույն դեր ունեն լիմֆոսարկոմայի մետասթատիկ պոտենցիալի որոշման գործում:
26.07.2011 Կարդացեք նաև
Շագանակագեղձի բարորակ հիպերպլազիան (ՇԲՀ) համարվում է տարեց տղամարդկանց շրջանում ամենատարածված ուրոլոգիական հիվանդությունը: Ռուսաստանի Դաշնությունում և Եվրոպական մի շարք երկրներում ՇԲՀ-ն ախտորոշվում է 11,3% տղամարդկանց մոտ 40-49տ. հասակում և 81,4% տղամարդկանց մոտ` 80տ. հասակում [11]...
Բանալի բառեր. միզապարկի քաղցկեղ, բիպոլյար ներմիզուկային մասնահատում
Առաջին հիշատակումները ներմիզուկային մասնահատման (ՆՄՄ) կիրառման վերաբերյալ հանդիպում են 16-րդ դարից: Հետագայում, գիտատեխնիկական առաջընթացին զուգընթաց...
Բանալի բառեր. շագանակագեղձի բարորակ հիպերպլազիա, էրեկտիլ դիսֆունկցիա, ֆոսֆո-դիէսթերազա 5-ի ինհիբիտորներ, ստորին միզուղիների ախտանիշներ
Տարեց տղամարդկանց շրջանակներում լայն տարածում ունեցող էրեկտիլ դիսֆունկցիան (ԷԴ) և շագանակագեղձի բարորակ հիպերպլազիայի (ՇԲՀ) հետևանքով առաջացող ստորին միզուղիների ախտանիշները (ՍՄԱ) սովորաբար ի հայտ են գալիս կյանքի 5-րդ և 6-րդ տասնամյակներում [11,15,24]...
Բանալի բառեր. միզաքարային հիվանդություն, պիելոլիթոտոմիա
Միզաքարային հիվանդությունը` իր տարածվածության (մինչև 5%), բուժման համար պահանջվող ծախսերի շարունակական մեծացման պատճառով համարվում է ոչ միայն ժամանակակից ուրոլոգիայի այլ նաև առողջապահական լուրջ հիմնախնդիր...
Բանալի բառեր. ամորձու նորագոյացություն, Լեյդիգոմա, ամորձու ինտերստիցիալ բջիջների ուռուցք
Հայտնաբերվել է 193 հրատարակում (Medline) մեծահասակների շրջանում Լեյդիգոմայի 480 դեպքի վերաբերյալ, այդ թվում 3 աշխատանք՝ ընդհանուր առմամբ 90 հիվանդի վրա կատարված հետազոտությունների վերաբերյալ [1-6]...
Բանալի բառեր. շագանակագեղձ, կարցինոմա, նեյորէնդոկրին
Վերջին երկու տասնամյակում շագանակագեղձի քաղցկեղը դարձել է լուրջ բժշկական և սոցիալական խնդիր: Արևմտյան Եվրոպայում և ԱՄՆ-ում շագանակագեղձի քաղցկեղը զբաղեցնում է տղամարդկանց մոտ բոլոր չարորակ նորագոյացությունների շարքում 2- րդ տեղը` իր տեղը զիջելով թոքերի քաղցկեղին...
Բանալի բառեր. միզապարկ, շագանակագեղձ, հիպերպլազիա
Մի շարք կլինիկական դիտարկումներ ցույց են տվել, որ շագանակագեղձի բարորակ հիպերպլազիայով (ՇԲՀ) զգալի թվով հիվանդների մոտ ինֆրավեզիկալ օբստրուկցիայի (ԻՎՕ) ախտանիշները զուգորդվում են գերակտիվ միզապարկի (ԳԱՄ) ախտանիշներով...
Բանալի բառեր. միզապարկի քաղցկեղ, բիպոլյար ներմիզուկային մասնահատում
Միզապարկի մակերեսային ուռուցքների վիրահատական բուժման հիմնական եղանակ է համարվում ներմիզուկային մասնահատումը (ՆՄՄ) [7,21,22]: Ներմիզուկային վիրահատությունների պատմական սկիզբը համարվում է 16-րդ դարը...
Բանալի բառեր. միզապարկի քաղցկեղ, ֆլյուորեսցենցիա, բիպոլյար ներմիզուկային մասնահատում
Միզապարկի մակերեսային ուռուցքների վիրահատական բուժման ստանդարտ է համարվում ուռուցքի ներմիզուկային մասնահատումը (ՆՄՄ)...
24.09.2012 Շագանակագեղձի քաղցկեղը լուրջ խնդիր է ներկայացնում և տարեցտարի ավելի մեծ ուշադրություն է գրավում: Վերջին տարիներին, հատկապես զարգացած երկրներում նկարագրվում է շագանակագեղձի քաղցկեղով հիվանդացության աճ...
Պրոստատ սպեցիֆիկ անտիգենը 34ԿԴ մոլեկուլյար զանգվածով գլիկոպրոտեիդ է, որը գրեթե գերազանցապես արտադրվում է շագանակագեղձի էպիթելում [1,2]: ՊՍԱ-ի որոշումը օգտակար է շագանակագեղձի քաղցկեղի վաղ հայտնաբերման համար...
28.07.2011 Ամորձիների ուռուցքներով հիվանդացությունը եվրոպական երկրներում կրկնապատկվում է յուրաքանչյուր 20 տարին մեկ: Միջին ցուցանիշը կազմում է 6,3 հիվանդ 100000 տղամարդ բնակչության: Մինչդեռ մահացությունը ամորձիների քաղցկեղի ժամանակ մնում է...
Ներմիզուկային վիրահատությունների պատմությունը սկսվում է XVI դարից, երբ ֆրանսիացի վիրաբույժ Ambruise Pare-ն վերականգնեց նեղացած միզուկի անցանելիությունը` կիրառելով կյուրետ և սրած լուսնացքավոր բուժ...
Միզապարկի մակերեսային ուռուցքների էնդոսկոպիկ բուժման ոսկե ստանդարտ է համարվում ներմիզուկային մասնահատումը (ՆՄՄ) [3]: Այն հետագա մորֆոլոգիական ախտորոշման հետ միասին հանդիսանում է փուլավորման առավել տեղեկատվական եղանակ...
ԱՄԵՆԱԸՆԹԵՐՑՎԱԾ ՀՈԴՎԱԾՆԵՐԸ
-
Ժողովրդական դեղամիջոցներ
-
Հղիություն. 4-րդ ամիս
-
Հղիություն. 7-րդ ամիս
-
Կոճապղպեղ նույնն է՝ իմբիր, Ginger եւ Zingiber Officinale
-
«Արագիլ» հիմնադրամը ստեղծված է՝ օգնելու անպտղությամբ տառապող զույգերին. Կարինե Թոխունց
-
Հղիություն. 6-րդ ամիս
-
Հղիություն. 2-րդ ամիս
-
Ամուսնական առաջին գիշերը
- 4-7 ամսական երեխաների սնուցումը
-
Ընկերության մասին
-
Խնձորը` պզուկների դեմ. ազատվիր նրանցից 1 գիշերվա ընթացքում
-
Ինչպես ազատվել անցանկալի մազերից
-
Պարզվում է ապագա երեխայի սեռը կախված է մայրիկի սնունդից
-
Դդում
-
Հիվանդություն, որը փոխում է մեր կյանքը` կրծագեղձի քաղցկեղ
-
Կոճապղպեղ՝ նիհարելու համար (կոճապղպեղի թեյ)
-
Սեռական գրգռում
-
Արգանդի միոմա. նախանշանները, պատճառներն ու բուժումը
-
Հղիություն. 1-ին ամիս
-
Երիցուկ դեղատնային - Ромашка аптечная - Matricaria chamomilla L.
-
Չիչխանի օգտակար հատկությունները
-
Քարավուզ (նույն ինքը՝ նեխուր)
-
Ինչպես ազատվել բերանի վատ հոտից`պարզ միջոց
-
Դիմակներ` մազերի համար
-
Կրծքի ցավե՞ր ունեք. ինչ անել
-
Հեշտոցային արտադրության պատճառները. մասնագետի անդրադարձը
-
Ընդհանուր տեղեկություններ մարմնի համակարգերի մասին
- Բերանի խոռոչի լորձաթաղանթի ախտահարումը սովորական բշտախտի ժամանակ (սկիզբը` նախորդ համարում)
-
Հիվանդություն, որի համար պետք չէ ամաչել (թութք)
-
Ընտրություն ըստ հորոսկոպի
- Խոսենք այդ մասին. ձեռնաշարժություն
-
Հղիությունը և նախապատրաստվելը դրան
-
Երբ գլխացավն ախտանիշ է: Հանճարեղ և օժտված մարդկանց հիվանդություն
-
Լեղաքարային հիվանդություն. բուժման մեթոդները
-
Սեռական թուլության առաջին նախանշանները. news.am
-
Ուլտրաձայնային դոպլերոգրաֆիա (երկակի (դուպլեքս) անոթների)
-
Էկզեմայի տեսակները և բուժումը
-
Իրիդիոսքրինինգ
-
ՈւՆԱԲԻ: Արևելյան բժշկության գաղտնիքները
-
Գամմա-դանակը նշտարի փոխարեն















Գիտական բժշկություն
Հիվանդություններ
Ավանդական բժշկություն
Առողջ ապրելակերպ
Կոսմետոլոգիա
Բժշկական իրավունք
Ալգորիթմեր, թեստեր
Թվեր, փաստեր, դեպքեր
Պատմական խրոնիկա
Աֆորիզմներ
Կարիերային սանդուղքով
Երեխա
Կին
Տղամարդ
Ռեյթինգային համակարգ







