Համակարգային հիվանդություններ
Պարբերական հիվանդությամբ պայմանավորված սրտի և թոքերի ախտահարման ձևաբանական առանձնահատկությունները
Բանալի բառեր. պարբերական հիվանդություն, սրտային և թոքային ամիլոիդոզ, ձևաբանություն
Պարբերական հիվանդությունը (ՊՀ) կլինիկորեն արտահայտվում է պարբերական տենդի նոպաներով, որովայնամզի, թոքամզի, սինովիալ թաղանթների, սրտապարկի բորբոքումով և հաճախ` ամիլոիդոզի զարգացմամբ [1,6,7-9]։
Երիկամների ախտահարումը ՊՀ հաճախակի և առավել ծանր բարդություններից է։ Սակայն որոշ դեպքերում համեմատաբար քիչ ախտահարվող օրգանների ամիլոիդոզը կարող է գերակշռել` հանգեցնելով գործառական անբավարարության և մահվան մինչև երիկամային անբավա-րարության և ուրեմիայի զարգացումը [3,7]։ ՊՀ պայմանավորված սրտային ամիլոիդոզը, որը կարող է հանգեցնել մահվան սրտային անբավարարությունից, հիմնականում կլինի-կորեն դրսևորվում է ՊՀ տառապող հիվանդի երիկամի հաջող փոխպատվաստումից տարիներ անց միայն [9]։
ՊՀ պայմանավորված սրտի ամիլոիդոզը, որպես խրոնիկական հարաճուն ախտա-հարում, դրսևորվում է սրտի ռիթմի և հաղորդականության խանգարումներով։ Սրտի ամիլոիդոզի ախտորոշման դժվարությունները կայանում են նրանում, որ հիվանդությանը բնորոշ է երկարատև անախտանիշ ընթացքը, ՊՀ պայմանավորված այլ օրգանների ամիլոիդային ախտահարումների գերակշռումը, ինչպես նաև այլ պատճառագիտության սրտային ախտահարումների առկայությունը [2,5]։
Սրտային ամիլոիդոզի ախտորոշման նպատակով մի շարք հեղինակների կողմից կիրառվում է էնդոմիոկարդային բիոպսիոն եղանակը [4]։ Հաստատված է, որ հոգե-հուզական և ֆիզիկական սթրեսը, ինչպես նաև M694V մուտացիայի հոմոզիգոտ վիճակը ՊՀ պայմանավորված սրտի ամիլոիդային ախտահարման վճռորոշ ռիսկի գործոններ են [1]։
Աշխատանքում իրականացված է ՊՀ օրգանային ախտահարումների ձևաբանական առանձնահատկությունների ուսումնասիրություն դիահերձման նյութի վերլուծության հիման վրա` տանատոգենեզի կառուցվածքում գերակայող ամիլոիդային ախտահարումների հայտնաբերման, կլինիկական դրսևորումների հետ համեմատական գնահատման, հատկապես ՊՀ պայմանավորված համեմատաբար հազվադեպ կամ ոչ տիպիկ հանդիսացող սրտային և թոքային ամիլոիդոզի ձևաբանական առանձնահատ-կությունների բացահայտման նպատակով։
Նյութը և մեթոդները
Կատարված կլինիկաձևաբանական վերլուծության համար որպես ուսումնասիրման նյութ ծառայել են պարբերական հիվանդության բարդություններից մահացածների 45 դիակ։ Սեկցիոն նյութը բաշխվել է ըստ հիվանդության ախտորոշման` կլինիկական ձևերի, ըստ հիվանդության շրջանների, ըստ տարիքային խմբերի։ Հիվանդության մանի-ֆեստացիայի տարիքը 16 դեպքերում եղել է մինչև 5, 22 դեպքերում` մինչև 20 և 7 դեպքե-րում` 20 տարեկան և ավելի։
Հյուսվածաբանական նյութը վերցվել է սրտի աջ և ձախ փորոքներից` սրտամկանի հյուսվածքից էնդոկարդի շերտի հետ միասին, միջփորոքային միջնապատից, աջ և ձախ նախասրտերից, շնչափողից, բրոնխներից, թոքերից։ Հյուսվածքային կտորները ֆիքսվել են 10% ֆորմալինի լուծույթում, ենթարկվել են պարաֆինային ներծծման, այնուհետև պատրաստվել են հատածներ` 3-4 միկրոն հաստությամբ։ Պարաֆինային հատածները ներկվել են հեմատոքսիլին - էոզինով, կոնգո կարմիրով, մեթիլ վիոլետով։
Արդյունքներն ու դրանց քննարկումը
ՊՀ բարդություններից մահացածների դիահերձման տվյալները վկայել են, որ հաճախ համակարգային ամիլոիդոզը ներքին օրգաններում բնորոշվել է ամիլոիդի առավել արտահայտված կուտակումներով երիկամներում, փայծաղում, գեղձերում, ավելի նվազ` լյարդում, աղիներում, սրտում, թոքերում և այլ օրգաններում։
Երիկամային ամիլոիդոզը որպես ՊՀ առավել հաճախ հանդիպող բարդություն, հան-գեցրել է երիկամների ամիլոիդային կնճռոտման և երիկամային անբավարարության, որն էլ մեր կողմից ուսումնասիրված դեպքերում ՊՀ հիվանդների մեծամասնության մահվան պատճառն է հանդիսացել։
Մեր կողմից ուսումնասիրված սեկցիոն նյութում` 4 դեպքերում տանատոգենեզում ձևաբանորեն գերակայել է հարաճուն ձախ կամ աջփորոքային անբավարարությունը։ Կլինիկորեն 3 դեպքերում դիտվել է ձախ փորոքի ֆունկցայի թուլացում` ընդհուպ արտահայտված փորոքային անբավարարությունը։ 1 դեպքում հիվանդությունն ուղեկցվել է սրտի խրոնիկական իշեմիկ հիվանդությամբ։ Ուսումնասիրված սեկցիոն նյութում, որտեղ մակրո- և միկրոսկոպիկ քննությամբ հաստատվել է սրտի ամիլոիդային ախտահարում, դեպքերից ոչ մեկում կատարված չի եղել երիկամի փոխպատվաստում։
Մակրոսկոպիան հայտնաբերել է սրտի չափերի մեծացում (կարդիոմեգալիա)։ Փա-կանները հավասարաչափ հաստացած են եղել, պնդացած, փայլուն։ Ամիլոիդը միկրոս-կոպիկ քննությամբ հայտնաբերվել է էնդոկարդում, սրտամկանի հենքում և տարբեր տիպի և տրամաչափի անոթների պատերում։ Սրտամկանի միջմկանային հյուսվածքում ամիլոիդը բնորոշվել է էոզինոֆիլ, կոնգո-դրական և մետաքրոմատիկ կարմրամանու-շակագույն կուտակումների ձևով։ Ամիլոիդային զանգվածները ճնշել են սրտամկանա-բջիջները, որոնք ենթարկվել են ապաճման, և զբաղեցրել նրանց տեղը։ Առանձին մկա-նային խրձեր ենթարկվել են գերաճի և հայտնաբերվել են անմիջապես ամիլոիդային զանգվածներին կից (նկ. 1)։ Որոշ տեղամասերում սրտամկանաբջիջները ենթարկված են դիստրոֆիկ փոփոխությունների։ Ամիլոիդային զանգվածների շուրջ հայտնաբերվել է թելակազմ շարակցական հյուսվածքի մանրօջախային աճակալում։ Սրտամկանի հենքում հայտնաբերվել են լիմֆոպլազմոցիտային ներսփռանքներ։

Նկ. 1. Ամիլոիդային զանգվածներ սրտամկանի հենքում, մկանաբջիջների գերաճ,
hեմատոքսիլին-էոզին, x400

Նկ. 2. Սրտամկանի ինտրամուրալ զարկերակների ամիլոիդոզ,
կոնգո կարմիր, x400
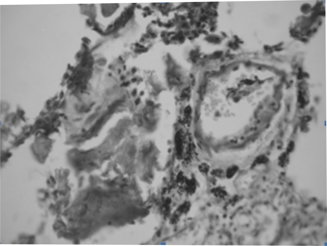
Ամիլոիդը հայտնաբերվել է և զարկերակների, և երակների պատերում (նկ. 2, 3), թեև գերակշռել է փոքր տրամաչափի զարկերակների ամիլոիդային ախտահարումը։ Խոշոր տրամաչափի զարկերակների պատը հաստացած է` նուրբ ամիլոիդային դեպոզիտնե-րով։ Որոշ տեղամասերում զարկերակիկների լուսանցքը խիստ նեղացած է, կամ ամբող-ջապես փակված։ Հաճախ ամիլոիդը հայտնաբերվել է անոթի ադվենտիցիայում կամ շուրջադվենտիցիալ հյուսվածքում, երբեմն բավականին արտահայտված զանգվածների ձևով շրջապատելով անոթը։ Որոշ տեսադաշտերում խոշոր տրամաչափի անոթների պատը հավասարաչափ հաստացած է, նրանցում ամիլոիդային դեպոզիտների հետ մեկտեղ դիտվել է նաև էլաստոզ և էլաստոֆիբրոզ, որը հանգեցրել է նրանց լուսանցքի նեղացման և սկլերոտիկ փոփոխությունների սրտամկանի հենքում։ Վերջինս էլ հաճախ սրտում ամիլոիդոզի դասական մակրոսկոպիկ նշանների բացակայության պատճառ է հանդիսացել։

Նկ. 3. Ամիլոիդոզ սրտամկանի երակի պատում,
մեթիլ վիոլետ, x400։
Սրտային ամիլոիդոզը բոլոր 4 դեպքերում զուգակցվել է թոքային ախտահարումներով։ ՊՀ պայմանավորված թոքային ամիլոիդոզը կլինիկորեն դրսևորվել է թոքաբորբի ձևով։ Սեկցիոն նյութում հայտնաբերվել են կպումներ թոքամզի թերթիկների միջև, թոքամզի հաստացում` ամիլոիդ նյութի կուտակումներով։ Ամիլոիդը հայտնաբերվել է միջալվեոլային խտրոցներում, անոթների պատերում, ալվեոլյար ուղիներում, բրոնխիոլների և բրոնխների պատերում (նկ. 4)։ Ամիլոիդային կուտակումներ առկա են եղել նաև շնչափողի լորձաթաղանթի սեփական թիթեղիկի, ենթալորձային գեղձերի հիմային թաղանթների տակ` ուղեկցվելով վերջիններիս ապաճմամբ։ Ծածկող էպիթելը տեղ-տեղ դեսկվամացիայի էր ենթարկված։ Դիտվել են կրային աղերի կուտակումներ թոքահյուսվածքում (նկ. 5)։

Նկ. 4. Թոքի ալվեոլային ուղիների ամիլոիդոզ,
հեմատոքսիլին էոզին, x400։

Նկ. 5. Անոթի պատի ամիլոիդոզ, կրային աղերի բյուրեղանման կուտակումներ թոքահյուսվածքում, կոնգո կարմիր, x400։
Հյուսվածաբանական ուսումնասիրությունը պարզեց նաև, որ դեպքերի մեծամաս-նությունում թոքերում դիտվել է թոքաբորբի պատկեր։ Այն սովորաբար կրել է շճային, թարախային, ֆիբրինային կամ արյունահոսական բրոնխաթոքաբորբի բնույթ` ալվեոլների լուսանցքում առատ լեյկոցիտների, էրիթրոցիտների, ինչպես նաև սի-դերոցիտների առկայությամբ։ Բրոնխների և բրոնխիոլների պատերում արտահայտված են եղել լիմֆոլեյկոցիտային ներսփռանքները։ Երբեմն արտահայտված են եղել թոքա-հյուսվածքի ֆիբրոզի տեղամասերը։ Բոլոր դեպքերում արտահայտված է եղել թոքերի այտուցը։
11 դեպքերում թոքային ամիլոիդոզը կլինիկորեն արտահայտվել է թոքային հիպերտեն-զիայի ձևով արդեն իսկ առկա երիկամային անբավարարության շրջանում։
Այսպիսով` ՊՀ պայմանավորված սիրտ-թոքային ամիլոիդոզի ձևաբանական ուսումնա-սիրությունները և կլինիկական տվյալների հետ համադրումը պարզեց, որ սրտում և թոքերում դիտվում են էական փոփոխություններ։ Ամիլոիդը հայտնաբերվում է սրտա-մկանի հենքում և անոթների պատերում։ Մկանաբջիջները ենթարկվում են ատրոֆիկ, դիստրոֆիկ, նույնիսկ մեռուկային փոփոխությունների։ Հայտնաբերվում է տարբեր աս-տիճանի արտահայտվածության կարդիոսկլերոզ։ Անոթների ադվենտիցիայում և շուրջադվենտիցիալ հյուսվածքում զանգվածային ամիլոիդային կուտակումները վկայում են ՊՀ պայմանավորված ամիլոիդոզի նաև պերիկոլագենային բնույթի մասին։ Սրտի փականների ամիլոիդոզը հանգեցնելով նրանց ձևախախտման` սրտի արատի կլինիկա-ձևաբանական պատկեր կարող է ստեղծել։ Իսկ սրտային անբավարարությունը, որպես սրտի ամիլոիդային ախտահարման ելք, զարգանալով երիկամային ախտահարումներին զուգահեռ` մահվան պատճառ կարող է դառնալ մինչև ուրեմիայի զարգացումը։
Մեծ հետաքրքրություն է առաջացնում նաև այն փաստը, որ սրտի և թոքերի ամիլոիդոզն առավելաչափ արտահայտված է եղել այն դեպքերում, որտեղ մենք հայտնա-բերել ենք երիկամների ոչամիլոիդային բնույթի ախտահարումներ, կամ վերջիններս` զուգակցված առանձին կծիկների ոչ մեծ ամիլոիդային կուտակումներով։
Այսպիսով` թեև ուսումնասիրված բոլոր դեպքերում առկա են եղել երիկամների ամիլոիդային ախտահարումներ, սակայն ՊՀ պայմանավորված ամիլոիդոզի բացառապես նեֆրոպաթիկ բնույթի մասին պատկերացումները ճիշտ չեն։ Ուսումնասիրված դեպքերի ճնշող մեծամասնությունում կլինիկորեն գերակայել է երիկամային ամիլոիդոզը, իսկ ձևաբանորեն մի շարք դեպքերում սիրտ-թոքային (ինչպես նաև մակերիկամների, վահանագեղձի) ամիլոիդային ախտահարումները գերակշռող բնույթ են կրել` հան-գեցնելով գործառական անբավարարության և մահվան մինչև երիկամային անբավա-րարության և ուրեմիայի զարգացումը։
Գրականություն
- Назаретян Э.Е., Гаспарян А.Ю. Поражение сердца при ПБ., Мед. Наука Армении НАН РА, 2000, 1, с.53-56.
- Ayvazyan A.A. Frequency of myocardial infarction at familial Mediterranean fever in Armenia. Science-practical Rheumatology, 2004; (2)։ 95, abstr. 100.
- Erdem H., Simsek I., Pay S., Dinc A., Deniz O., Ozcan A. Diffuse pulmonary amyloidosis that mimics interstitial lung disease in a patient with familial Mediterranean fever. J Clin Rheumatol. 2006;12(1)։34-36.
- Fealey Me., Edwards W.D., Grogan M., Dispenzieri A. Primary cardiac amyloidosis. Cardiovasc. Pathol. 2006; 15(6); p. 331-335.
- Langewitz P., Livneh A., Neumann L., Buskila D., Shemer J., Amolsky D., Pras M. Prevalence of ischemic heart disease in patients with familial Mediterranean fever. Isr. Med. Assoc. J., 2001, Vol. 3, p. 9-12.
- Lechmann H.J., Sengul B., Yavuzsen T.U., Booth D.R., Booth S.E., Bybee A. Clinical and subclinical inflammation in patients with Familial Mediterranian Fever and in heterozygous carriers of MEFV mutations. Rheumatol., 2006, 45, p.746-750.
- Sahan C., Cengiz K. Pulmonary amyloidosis in familial Mediterranean fever. Acta Clin Belg. 2006, 61(3)։147-51.
- Touitou I., Sarkisian T., Medlej-Hasim M., Tunca M., Livneh A. et al. Country as the primary risk factor for renal amyloidosis in familial Mediterranean fever. Arthritis & Rheum. 2007; 56 (11)։ 3879-3880.
- Yildiz A., Akkaya V., Kilicaslan I., Turkmen A., Gorcin B., Atilgan D., Sever MS. Cardiac and intestinal amyloidosis in a renal transplant recipient with Familial Mediterranian fever. J. Nephrol., 2001, 14(2)։125-127.
27.04.2011 Կարդացեք նաև
Բանալի բառեր` ռևմատոիդ արթրիտ, աուտոհակամարմիններ, ցիտրուլինացիա, լատեքս-ագլյուտինացիա, ռևմատոիդ գործոն, հակամարմիններ մոդիֆիկացված ցիտրուլինացված վիմենտինի հանդեպ (anti-MCV)...
16.01.2013 Երբ կոլխիցինի որոշակի դեղաչափի ֆոնի վրա պարբերական հիվանդության բուժումից բավարար կլինիկական արդյունք չի ստացվում, ապա կարելի է կիրառել համալիր բուժում...
26.07.2010 Բանալի բառեր. էնդոթելաին դիսֆունկցիա, բորբոքում, աթերոսկլերոզ, պարբերական հիվանդություն
Սրտի իշեմիկ հիվանդության (ՍԻՀ) տարածվածությունը և դրանից մահացությունը այլ հիվանդությունների համեմատ ամենաբարձրն է ողջ երկրագնդում: Այն հանդիսանում է մահացության թիվ մեկ պատճառը...
Բանալի բառեր. պարբերական հիվանդություն, շիճուկային ամիլոիդ A սպիտակուց (SAA), պիրին, ամիլոիդոգենեզ, ամիլոիդոզ, հյուսվածաբանական ախտորոշում
Պարբերական հիվանդությունը (ՊՀ) կամ ընտանեկան միջերկրածովյան տենդը (ԸՄՏ), որը աուտոսոմ-ռեցեսիվ ժառանգվող հիվանդություն է, կլինիկորեն արտահայտվում է...
Բանալի բառեր. Բեխչետի հիվանդություն, կլինիկական առանձնահատկություններ, աշխարհագրական գործոն
Բեխչետի հիվանդությունը (ԲՀ) համակարգային վասկուլիտների խմբին պատկանող անհայտ էթիոլոգիայի պոլիմորֆ ախտանշակոմպլեքս է, որն արտահայտվում է բերանի խոռոչի լորձաթաղանթի...
29.07.2009 Բանալի բառեր: պարբերական հիվանդություն, երեխաներ, ստամոքսաբորբ, Helicobacter pylori
Պարբերական հիվանդությունը (ՊՀ), կամ միջերկրածովային դողերոցքը, բնորոշվում է օրգանիզմի շճաթաղանթների համակարգային ասեպտիկ բորբոքմամբ, որն ուղեկցվում է նոպայաձև ցավերով...
Բանալի բառեր. պարբերական հիվանդություն, տարածուն թարախային որովայնամզաբորբ
Պարբերական հիվանդությունը (ՊՀ), լինելով ժառանգական հիվանդություն, շատ տարածված է հայերի մոտ, ախտահարելով Երևանի բնակչության մոտ 1-2%-ը [2,4]: ՊՀ որովայնային նոպաների կլինիկական պատկերը` այսպես կոչված սուր որովայնը, հաճախ պատճառ է դառնում...
16.02.2008 Բանալի բառեր. պարբերական հիվանդություն, երկրորդային ամիլոիդոզ, շրջանառու իմունային կոմպլեքսներ, կոլխիցին
Պարբերական հիվանդությամբ (ՊՀ) կամ Միջերկրածովյան ընտանեկան տենդով (Familial Mediterranean fever; FMF; MIM294100) տառապող հիվանդների թվի արագ աճը...
15.10.2007 Բանալի բառեր. պարբերական հիվանդություն, համակարգային կարմիր գայլախտ
Համաձայն Իսրայելի մեր գործընկերների հետազոտությունների, պարբերական հիվանդության (ՊՀ) ժամանակ դիտվել է համակարգային կարմիր գայլախտի (ՀԿԳ) ցածր հաճախություն և թեթև ընթացք: P. Langevitz-ը և համահեղինակները մոտ 6000 ՊՀ հիվանդներից ՀԿԳ-ը նկատել են միայն երեքի մոտ: Նրանցից երկուսի մոտ հղիության ֆոնի վրա ՀԿԳ-ն ընթանում էր բավականին թեթև (ցան, հոդաբորբ, հականեյտրոֆիլային հակամարմինների առկայություն, թրոմբոցիտոպենիա)...
Բանալի բառեր: պարբերական հիվանդություն, սուր աղիքային անանցանելիություն, կպումային հիվանդություն, ընտանիք, Հայաստան, հիվանդության ընթացք...
Բանալի բառեր. պարբերական հիվանդություն, դեղնուկ, լյարդ
Մեծահասակների մոտ դեղնուկը կարող է առաջանալ բազմաթիվ ինչպես բարորակ, այնպես էլ կյանքին սպառնացող հիվանդությունների ժամանակ: Դեղնուկը կարող է լինել նախալյարդային, ներլյարդային և արտալյարդային: Դեղնուկի նախալյարդային պատճառներն են արնալուծը (hemolysis), մեծ հեմատոմայի ներծծումը, որոնք բերում են արյան մեջ չկոնյուգացված (անուղղակի) բիլիրուբինի մակարդակի բարձրացմանը: Ներլյարդային հիվանդությունները բերում են արյան մեջ ինչպես չկոնյուգացված, այնպես էլ կոնյուգացված բիլիրուբինի մակարդակների բարձրացմանը...
Բանալի բառեր. պարբերական հիվանդություն, ամիլոիդոզ, կանխատեսում, ուղեկցող հիվանդություններ
Տարբեր հիվանդությունների և/կամ համախտանիշների ազդեցության ուսումնասիրությունները պարբերական հիվանդությամբ տառապողների մոտ կյանքի առանձին տասնամյակների ընթացքում ամիլոիդոզի հրովարտակման (մանիֆեստացիայի) հավանականության վրա ցույց տվեցին, որ ՊՀ հիմնական շճաթաղանթաբորբային նոպաների հետ համատեղ մեկուսացած պարբերական տենդային նոպաներ ունեցող հիվանդների մոտ նկատվում է ամիլոիդոզի հրովարտակման համեմատաբար ցածր հավանականություն...
Բանալի բառեր. պարբերական հիվանդություն, նոպաների հաճախականություն, կլինիկական ձև, սեռ, տարիք, ծագում, գենոտիպ
Պարբերական հիվանդությունը (ՊՀ)՝ լինելով ժառանգական հիվանդություն, զարմանալիորեն տարածված է հայերի մոտ, ախտահարելով Երևանի բնակչության մոտ 1%-ը [5]: Հատկանշական է, որ դեռ 20 տարի առաջ կատարված ժառանգաբանական հետազոտություններում հիվանդության տարածվածությունը գնահատվում էր 0.5 %-ի սահմաններում [4], այսինքն, մոտ 2 անգամ ավելի ցածր...
Հաղորդում Ա: Առանձին ընդհանուր համախտանիշների, հենաշարժական, շնչական և սիրտ-անոթային համակարգերի և համակարգային բնույթի տարբեր պաթոլոգիաների ազդեցությունը
Բանալի բառեր. պարբերական հիվանդություն, ամիլոիդոզ, կանխատեսում, ուղեկցող հիվանդություններ...
ԱՄԵՆԱԸՆԹԵՐՑՎԱԾ ՀՈԴՎԱԾՆԵՐԸ
-
Ժողովրդական դեղամիջոցներ
-
Հղիություն. 4-րդ ամիս
-
Հղիություն. 7-րդ ամիս
-
Կոճապղպեղ նույնն է՝ իմբիր, Ginger եւ Zingiber Officinale
-
«Արագիլ» հիմնադրամը ստեղծված է՝ օգնելու անպտղությամբ տառապող զույգերին. Կարինե Թոխունց
-
Հղիություն. 6-րդ ամիս
-
Հղիություն. 2-րդ ամիս
-
Ամուսնական առաջին գիշերը
- 4-7 ամսական երեխաների սնուցումը
-
Ընկերության մասին
-
Խնձորը` պզուկների դեմ. ազատվիր նրանցից 1 գիշերվա ընթացքում
-
Ինչպես ազատվել անցանկալի մազերից
-
Պարզվում է ապագա երեխայի սեռը կախված է մայրիկի սնունդից
-
Դդում
-
Հիվանդություն, որը փոխում է մեր կյանքը` կրծագեղձի քաղցկեղ
-
Կոճապղպեղ՝ նիհարելու համար (կոճապղպեղի թեյ)
-
Սեռական գրգռում
-
Արգանդի միոմա. նախանշանները, պատճառներն ու բուժումը
-
Հղիություն. 1-ին ամիս
-
Երիցուկ դեղատնային - Ромашка аптечная - Matricaria chamomilla L.
-
Չիչխանի օգտակար հատկությունները
-
Քարավուզ (նույն ինքը՝ նեխուր)
-
Ինչպես ազատվել բերանի վատ հոտից`պարզ միջոց
-
Դիմակներ` մազերի համար
-
Կրծքի ցավե՞ր ունեք. ինչ անել
-
Հեշտոցային արտադրության պատճառները. մասնագետի անդրադարձը
-
Ընդհանուր տեղեկություններ մարմնի համակարգերի մասին
- Բերանի խոռոչի լորձաթաղանթի ախտահարումը սովորական բշտախտի ժամանակ (սկիզբը` նախորդ համարում)
-
Հիվանդություն, որի համար պետք չէ ամաչել (թութք)
-
Ընտրություն ըստ հորոսկոպի
- Խոսենք այդ մասին. ձեռնաշարժություն
-
Հղիությունը և նախապատրաստվելը դրան
-
Երբ գլխացավն ախտանիշ է: Հանճարեղ և օժտված մարդկանց հիվանդություն
-
Լեղաքարային հիվանդություն. բուժման մեթոդները
-
Սեռական թուլության առաջին նախանշանները. news.am
-
Ուլտրաձայնային դոպլերոգրաֆիա (երկակի (դուպլեքս) անոթների)
-
Էկզեմայի տեսակները և բուժումը
-
Իրիդիոսքրինինգ
-
ՈւՆԱԲԻ: Արևելյան բժշկության գաղտնիքները
-
Գամմա-դանակը նշտարի փոխարեն















Գիտական բժշկություն
Հիվանդություններ
Ավանդական բժշկություն
Առողջ ապրելակերպ
Կոսմետոլոգիա
Բժշկական իրավունք
Ալգորիթմեր, թեստեր
Թվեր, փաստեր, դեպքեր
Պատմական խրոնիկա
Աֆորիզմներ
Կարիերային սանդուղքով
Երեխա
Կին
Տղամարդ
Ռեյթինգային համակարգ