Գաստրոէնտերոլոգիա, լյարդաբանություն
Փորձարարական կենդանիների լեղապարկի կառուցվածքագործառնական փոփոխությունները հետվիրահատական միջանկյալ և ուշ շրջաններում ցլի պերիկարդով իմպլանտացիայից հետո
Բանալի բառեր. տրանսպլանտատ, ցլի պերիկարդ, լեղուղի, լեղապարկ, մորֆոլոգիական վերլուծություն
XXI դարի բժշկագիտության արագընթաց նվաճումները առայժմ չեն տվել լեղաքարային հիվանդությունից և դրանից բխող հետևանքներից վերջնականորեն խուսափելու հնարավորություն: Վիրաբույժների համար լեղուղիների հետվիրահատական ստրիկտուրաների բուժումը շարունակում է մնալ առաջնահերթ ու բարդ խնդիր: Լեղուղիների ստրիկտուրաների ժամանակակից բուժումը ընդգրկում է ռեկոնստրուկտիվ վիրահատությունների տարբեր մոդիֆիկացիաների կիրառումը: Սակայն վերջիններս հղի են հետվիրահատական շրջանում զանազան բարդությունների (վերընթաց խոլանգիտ, բերանակցման նեղացում և այլն) առաջացմամբ: Ակնհայտ են վերականգնողական վիրահատությունների առավելությունները, քանի որ այս դեպքում պահպանվում են լեղու ֆիզիոլոգիական հոսքն ու Օդիի սեղմանի ֆունկցիան: Վերականգնողական վիրահատությունների արդյունավետությունն ապահովելու անհրաժեշտ գործոններից շատ կարևոր է ճիշտ տրանսպլանտատի ընտրությունը: Այն ոչ միայն կենսահամատեղելիություն պետք է ցուցաբերի շրջակա հյուսվածքների նկատմամբ, այլև պետք է ամուր և երկարակյաց լինի, ինչպես նաև չունենա կանցեռոգեն և ալերգեն հատկություններ:
Գրականության մեջ նկարագրված են բազմաթիվ կլինիկական և փորձարարական հետազոտություններ, որտեղ որպես լեղուղիների տրանսպլանտատ կիրառվել են տարբեր նյութեր (դակրոն, ակրիլադամիդ, պոլիուրետան, տեֆլոն, աուտոերակ և այլն): Սակայն դրանցից և ոչ մեկը չկարողացավ ամբողջությամբ բավարարել վերը նշված բոլոր պահանջներին: Այդ դեպքերում նկարագրվեցին տարաբնույթ բարդություններ [3, 9]:
Անցյալ դարի 80-ական թվականներից ցլի պերիկարդը (քսենոպերիկարդ) լայն կիրառում գտավ սիրտ-անոթային վիրաբուժության մեջ, որպես կենսաբանական պլաստիկ նյութ: Ինչպես ֆերմենտային, այնպես էլ գլյուտար ալդեհիդով (PH=7,4) մշակված ցլի պերիկարդը օգտագործվեց ոչ միայն սրտի միջնապատերի և մագիստրալ անոթների պլաստիկայի, այլև սրտի պատերի և պերիկարդի հետվիրահատական դեֆեկտների վերացման նպատակով [4, 6, 8]:
Պեյրոնի հիվանդության դեպքում վիրահատական միջամտությունը քսենոպերիկարդի կիրառմամբ բուժման արդյունավետությունը հասցրեց 96 – 100%[5, 7]:
Մեր հանրապետությունում 2007թ.-ից ցլի պերիկարդը վիրաբույժների կողմից կիրառվում է որովայնի առաջային պատի ճողվածքների պլաստիակայի ժամանակ: Այդ դեպքում հետվիրահատական շրջանը բնորոշվում է մեղմ ընթացքով, բարդությունների ցածր հաճախականությամբ և հիվանդների արագ վերադարձով ակտիվ կենսագործունեության [1]:
Ինչ վերաբերվում է լեղաքարային հիվանդության ժամանակ` որպես բիոլոգիական պլաստիկ նյութ ցլի պերիկարդի օգտագործմանը, ապա դեռ կարելի է երկմտել: Այս դեպքում գործ ունենք բավականին ռեակտիվ նյութի` լեղու հետ, որը կարող է իր բացասական ազդեցությունը թողնել հետվիրահատական ընթացքի վրա:
Մեր կողմից արդեն իսկ ուսումնասիրվել և մորֆոլոգիական հետազոտության են ենթարկվել ճագարների լեղապարկերի հետվիրահատական վաղ շրջանի փոփոխությունները քսենոպերիկարդի օգտագործման դեպքում: Այն հուսադրող գործընթացները, որոնք նկատելի էին արդեն հետվիրահատական 14-րդ օրը, որոշեցին աշխատանքի հետագա ընթացքի անհրաժեշտությունը [2]:
Նյութն ու մեթոդները
Հետազոտության են ենթարկվել 12 էգ ճագարներ, որոնց քաշը տատանվում էր 2,5-3,5 կգ-ի սահմաններում: Ընդհանուր անզգայացման պայմաններում կատարվել է որովայնահատում. լեղապարկի հատակի վրա ստեղծվել է պատուհանաձև դեֆեկտ 0,5 սմ չափերով, որն այնուհետև փակվել է ցլի պերիկարդի լաթով` օգտագործելով միաշերտ անընդհատ կար: Վիրահատված կենդանիներից 6-ը ընդգրկվել են I խմբի մեջ, որոնց լեղապարկերը մորֆոլոգիական հետազոտության են ենթարկվել հետվիրահատական 3-րդ ամսում (միջանկյալ շրջ.): II խմբի մեջ ընդգրկված 6 կենդանիների լեղպարկերը ուսումնասիրվել են հետվիրահատական 6-րդ ամսում (ուշ շրջան):
Նախորդ գիտափորձի ժամանակ չվիրահատված կենդանիների առողջ լեղապարկերը, որպես ստուգիչ, համեմատական վերլուծության են ենթարկվել նաև այս դեպքում:
Հյուսվածաբանական վերլուծության նպատակով վիրահատված ճագարների լեղապարկի տարբեր հատվածներից կտորները ֆիքսվել են 10%-անոց ֆորմալինի լուծույթի մեջ, որից հետո պարաֆինացվել են: Պարաֆինային հատածները 4մկմ հաստությամբ ներկվել են հեմատոքսիլին-էոզինով, ինչպես նաև շարակցական և մկանային հյուսվածքների տարբերակումը համադրելու համար, պարաֆինային հատածները ներկվել են պիկրոֆուքսինով ըստ Վան-Գիզոնի, Պիկրո-Մալլորիի և Իեներ-Գիմզայի մեթոդներով:
Արդյունքներն ու դրանց քննարկումը
Փորձարարական կենդանիների որովայնահատման ժամանակ և´ որովայնի պատը, և´ խոռոչը երկու խմբերում էլ առանց տեսանելի փոփոխությունների էին:
Անզեն աչքով չէր հայտնաբերվում լեղապարկի որևէ ախտաբանական փոփոխություն: Այն ուներ փայլուն շճային թաղանթ և տեսանելի արյունատար անոթներ: Լեղապարկի հատման դեպքում հեշտությամբ հոսում էր մածուցիկ, դեղնականաչավուն լեղի, որը վկայում էր լյարդի կողմից անխափան լեղարտադրման գործընթացի մասին: Լորձաթաղանթի մակերևույթի ծալքավորումը պահպանված էր, առանց ցայտուն փոփոխությունների:
Միջանկյալ շրջանում (3-րդ ամիս) մանրադիտակային հետազոտության ժամանակ վիրահատական դաշտի եզրերից դուրս լորձաթաղանթի ծալքավորումը պահպանված էր: Այն պաստառված էր գլանաձև էպիթելով: Վերջինիս ամբողջականությունն ու բևեռացումը նույնպես պահպանված էին: Էպիթելի տակ հստակ երևում էր փուխր շարակցական հյուսվածքով ներկայացված լորձաթաղանթի սեփական թիթեղը, որտեղ, ի տարբերություն վաղ շրջանի, այլևս այտուց չէր հայտնաբերվում: Սակայն շուրջանոթային տարածություններում հայտնաբերվում էին հատուկենտ բջջային կուտակումներ` ներկայացված նեյտրոֆիլներով, էոզինոֆիլներով և պլազմատիկ բջիջներով:
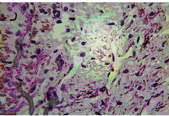
Մկանային շերտում այտուց, արյան շրջանառության խանգարումներ` կանգ, արյունազեղում, թրոմբագոյացում չեն հայտնաբերվել (նկ. 1): Սակայն Վան-Գիզոնի մեթոդով ներկված հյուսվածաբանական հատածներում հայտնաբերվում էին առանձին մկանաթելեր` սնուցախանգարման նշաններով` բջջաթաղանթի վատ ուրվագծմամբ և քրոմատինային նյութի թերգունակավորմամբ: Այս հանգամանքը բացատրվում էր հետվիրահատական վաղ շրջանի արյան և ավշի շրջանառության խանգարումներով, որոնք էլ պատճառ էին հանդիսացել միոցիտների դեռևս չվերականգնված սնուցախանգարումների:
Լեղապարկի ադվենտիցիալ թաղանթը, որը ճագարների մոտ բավական լավ է արտահայտված, նույնպես զերծ էր արյան, ավշի շրջանառության և սնուցախանգարման նշաններից: Այդ մասին էին վկայում վերը նշված մեթոդներով հյուսվածաբանական հատածների ներկման արդյունքները:
Նկ. 1 Լորձաթաղանթի ծալքավորումը պահպանված է: Լորձաթաղանթի սեփական թիթեղում, ինչպես նաև մկանային և ադվենտիցիալ շերտերում այտուցը, շրջանառական խանգարումները բացակայում են:
Հեմատոքսիլին-էոզին, x 400
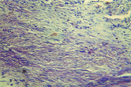
Ինպլանտատի եզրերով և նրանում նկատվում էր երիտասարդ շարակցական հյուսվածքի հասունացում, որի հիմքում ընկած է բջիջների, թելակազմ կառուցվածքների, ինչպես նաև անոթների տարբերակումը և զարկերակիկների ու երակիկների ձևավորումը, ի տարբերություն հետվիրահատական վաղ շրջանի, որի դեպքում նկարագրվում էին բազմաթիվ բարակ պատերով մանր անոթներ: Արյունածին տարրերը հատուկենտ էին հայտնաբերվում: Այդ երևույթին հակառակ նկատելիորեն ավելանում էին կոլագենային թելերի քանակը և դրանց խրձավորումը: Վերջինս անմիջականորեն կապված է ֆիբրոբլաստների քանակի կտրուկ ավելացման հետ:
Հայտնի է, որ ֆիբրոբլաստներին է վերապահված ինչպես գլիկոզամինոգլիկանների, այնպես էլ տրոպոկոլագենի սինթեզը: Վերջինով էլ պայմանավորված է միջբջջային ամորֆ նյութի և կոլագենային թելերի կազմավորումը (նկ. 2):
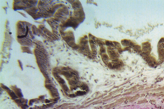
Համեմատական վերլուծություն կատարելու նպատակով ստուգիչ հատածները Վան-Գիզոնի տարբերակիչ մեթոդով ներկելիս հայտնաբերվում էր հասուն շարակցական հյուսվածքի ֆուքսինոֆիլիա, իսկ առանձին վերականգնված մկանաթելերի` պիկրինոֆիլիա (նկ. 3), որն իր հաստատումն էր գտնում Իեներ-Գիմզայի և Պիկրո-Մալլորիի մեթոդներով ներկելիս (նկ. 4,5): Այդ հատվածում լորձաթաղանթի ծալքավորումը հիմնականում հարթված էր, իսկ պաստառող էպիթելը` խորանարդաձև ու տափակ: Վերը նշվածը վկայում է գլանաձև էպիթելի տափակ-բջջային
Նկ. 2 Բիոտրանսպլանտատում ֆիբրոբլաստների, միջբջջային ամորֆ նյութի և կոլագենային թելերի առաջացում:
Հեմատոքսիլին-էոզին, x 1000
Նկ. 3 Բիոտրանսպլանտատի փոխարինումը շարակցական հյուսվածքով, մկանաթելերի պիկրինոֆիլիա, շարակցական հյուսվածքի ֆուքսինոֆիլիա:
Վան-Գիզոն, x 200
Նկ. 4 Բիոտրանսպլանտատի փոխարինումը շարակցական հյուսվածքով
Իեներ-Գիմզա, x 400
Նկ. 5 Բիոտրանսպլանտատի փոխարինումը շարակցական հյուսվածքով
Պիկրո-Մալլորիի, x 200
Նկ. 6 Լորձաթաղանթի ծալքավորման հարթեցում, պաստառող էպիթելը խորանարդաձև է, տեղ-տեղ էլ մերկացած:
Վան-Գիզոն x 200
մետապլյազիայի ենթարկվելու մասին: Տեղ-տեղ էլ լորձաթաղանթը մերկացած էր (նկ. 6):
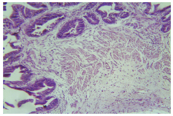
Հետվիրահատական 6-րդ ամսում լեղապարկի պատը, վիրահատական դաշտի եզրերից դուրս, իր կառուցվածքով մոտենում էր նորմալ լեղապարկի պատին: Հյուսվածաբանական հատածները պիկրոֆուքսինով ներկելիս հստակ երևում էր լորձաթաղանթի ծալքավորումը, պաստառող էպիթելի գլանաձևությունն ու ամբողջականությունը, ինչպես նաև բևեռականությունը:
Ենթալորձային, մկանային և շճային շերտերում ախտաբանական գործընթացները բացակայում էին: Շարակցական հյուսվածքը ցուցաբերում էր ֆուքսինոֆիլիա, իսկ մկանայինը` պիկրինոֆիլիա (նկ. 7): Այս ժամկետում քսենոպերիկարդը ամբողջությամբ ՙկենդանանում էր՚ և փոխարինվում շարակցական հյուսվածքով:
Այսպիսով, վերը նշված մեթոդներով վիրահատված փորձարարական ճագարների լեղապարկի մանրադիտակային հետազոտության արդյունքները վկայում են, որ ցլի պերիկարդը կարելի է դիտարկել որպես ճիշտ ընտրված բիոտրանսպլանտատ: Այն, նույնիսկ լեղու ռեակտիվ ազդեցության պայմաններում, 6 ամսվա ընթացքում` շրջակա հյուսվածքների հետ ակտիվ ինտեգրացիայի շնորհիվ «կենդանանում է» և փոխարինվում է շարակցական հյուսվածքով:
Կարելի է ենթադրել, որ մկանաթելերի վերականգնումը պայմանավորված է ինչպես ոչ հասուն մեզենքիմայի (գրանուլյացիոն հուսվածք) տարբերակմամբ, այնպես էլ հարևան մկանային բջիջների պրոլիֆերացմամբ:
Նկ. 7 Տրանսպլանտատի եզրերից դուրս լորձաթաղանթի ծալքավորումը պահպանված է, ծածկող էպիթելը ամբողջական է և գլանաձև: Շարակցական հյուսվածքը ֆուքսինոֆիլ, մկանայինը` պիկրինոֆիլ:
Վան-Գիզոն x 400
Ինչ վերաբերվում է վիրահատված կենդանիների վարքային առանձնահատկություններին, ապա վերջիններս չէին տարբերվում չվիրահատված ճագարներից: Որոշ ճագարների մոտ 6-րդ ամսում նկատվեց նույնիսկ քաշի չնչին ավելացում, որը վկայում էր նյութափոխանակության կանոնավոր ընթացքի մասին:
Գրականություն
- Մանուկյան Հ. Վ. Ցլի պերիկարդի կիրառումը որովայնի առաջային պատի ճողվածքների վիրահատական բուժման ժամանակ: Բժշկական գիտութ. թեկն. ատենախոս.,Երևան, 2007:
- Барсегян А.А., Авагян Т.Г., Варжапетян А.М. Морфофункциональные изменения желчного пузыря и печени при использовании имплантата из бычьего перикарда в ранние сроки эксперимента. Вестник хирургии Армении им. Г.С. Тамазяна,1(66), 3-9, 2009.
- Майстеренко Н.А., Нечай А.И. Гепатобилиарная хирургия. С-Пб.,“СЛ”,1999.
- Шатахян М.П. Эллипсовидный биопротез трикуспидального клапана на функционально гибком каркасе. Дисс. канд. мед. наук., Ереван, 2007, л. 113.
- Egydio P. H., Lucon A. M., and Arap S. Treatment of Peyronie’s disease by incomplete circumferential incision of the tunica albuginea and plaque with bovine pericardium graft. Urology, 2002, 59, 4, p. 570–574.
- Okwulehie V., Kumar Dharmapuram A., Kumar Swain S., Ramdoss N., Sundararaghavan S., Murthy Kona S. Experience with autologous pericardial patch closure of ventricular septal defect.Ind. J. Thorac. Cardiovasc. Surg., 2006; 22: 212-214.
- Tornehl C. K., Carson C. C. Surgical alternatives for treating Peyronie’s disease. BJU International, 2004, v. 94 , p. 774–783.
- Yakirevich V. S., Abdulali S. A., Abbott C. R. and Ionescu M. I. Reconstruction of the pericardial sac with glutaraldehyde-preserved bovine pericardium.Texas Heart Institute Journal, 1984, v. 11, 3, p.238-242.
- Xu J. et al. Experiment for a polyurethane replacement of the common bile duct. Chin. Med. J. (Engl.), 1998; 111: 86-87.
30.07.2009 Կարդացեք նաև
Բանալի բառեր. անաստամոզիտներ, ախտորոշում, կանխարգելում, բուժում
Չնայած գիտական և գործնական բժշկության նվաճումներին, խոցային հիվանդությունը (ԽՀ) մնում է ժամանակակից գաստրոէնտերոլոգիայի առավել արդիական խնդիրներից մեկը...
10.01.2013 Բանալի բառեր. անաստամոզ, անաստամոզիտներ, կանխարգելում, բուժում
Ստամոքսի մասնահատումից հետո հետվիրահատական շրջանում հանդիպող բարդությունների մեջ առաջին տեղերից մեկն է զբաղեցնում անաստամոզիտը [1,5,10]...
Բանալի բառեր. փայծաղի, լյարդի վնասումներ, ուլտրաձայնային հետազոտություն, համակարգչային շերտագրություն
Համակցված վնասումների ախտորոշումը շարունակում է մնալ ժամանակակից անհետաձգելի վիրաբուժության արդի խնդիրներից մեկը...
28.09.2012 Բանալի բառեր. փայծաղի վնասում, օրգանպահպան վիրահատություններ, սպլենէկտոմիա, որովայնային բարդություններ
Պոլիտրավմայի ժամանակ որովայնի խոռոչի օրգաններից ամենահաճախը վնասվում է փայծաղը, որի դեպքում սպլենէկտոմիան նախկինում համարվում էր բուժման միակ մեթոդը...
27.09.2012 Բանալի բառեր. ֆիտոբեզոար, բարակաղիքային անանցանելիություն
Ներածություն: Բարակաղիքային մեխանիկական անանցանելիությունը բարակ աղիքի վիրաբուժական միջամտություն պահանջող և առավել հաճախ հանդիպող ախտաբանական վիճակ է...
Ներկայում սուր պանկրեատիտը անհետաձգելի վիրաբուժության ամենակարևոր և հետագա ուսումնասիրություններ պահանջող խնդիրներից մեկն է : Վերջին տարիներին նկատվում է պանկրեատիտով...
29.04.2010 Սուր դեստրուկտիվ պանկրեատիտի բուժման պատմությունն իրենից ներկայացնում է բազմամյա երկխոսությունների պատմություն` կոնսերվատիվ բուժման և ակտիվ վիրաբուժական մեթոդների կողմնակիցների միջև...
28.04.2010 Այսօր արդեն ակնհայտ է, որ միայն կլինիկական հետազոտությունների վրա հիմնված պրոֆիլակտիկ քննությունների մակարդակը չի կարող համապատասխանել առողջապահության արդի պահանջներին...
22.04.2010 Վիրուսային հեպատիտները շարունակում են մնալ ժամանակակից բժշկության հրատապ խնդիրներից մեկը` պայմանավորված այս վարակների լայն տարածվածությամբ (նաև զարգացած երկրներում) և համաճարակաբանական բարձր ներուժով[6,9]...
Ներկայում սուր պանկրեատիտը անհետաձգելի վիրաբուժության ամենակարևոր և հետագա ուսումնասիրություններ պահանջող խնդիրներից մեկն է : Վերջին տարիներին նկատվում է պանկրեատիտով հիվանդների քանակի աճի միտում ամբողջ աշխարհում...
Սուր դեստրուկտիվ պանկրեատիտի բուժման պատմությունն իրենից ներկայացնում է բազմամյա երկխոսությունների պատմություն` կոնսերվատիվ բուժման և ակտիվ վիրաբուժական մեթոդների կողմնակիցների միջև։ Դա պատմություն է մշտական անցումների...
Համաճարակային գործընթացի պարբերականության վրա ազդող հիմնական գործոններից են բնակլիմայական, սոցիալ-տնտեսական, բժշկաաշխարհագրական ազդակները, որոնց համալիր ազդեցության ֆոնի վրա վարակիչ...
11.10.2009 Ինչպես ցույց են տալիս վերջերս կատարված հետազոտությունները [1], Արևելյան Եվրոպայի տարածքում ներերակային թմրանյութեր օգտագործող անձանց թվի շարունակական աճը և, միևնույն ժամանակ, բժշկական հաստատություններում աշխատանքի անվտանգության...
10.10.2009 Բանալի բառեր. աղիքային անբավարարության համախտանիշ, միկրոօրգանիզմներ, ախտածնություն, միկրոշրջանառություն
Տարածուն պերիտոնիտով տառապող հիվանդների բուժման արդյունքները միշտ չէ, որ գոհացնում են կլինիցիստներին: Չնայած տեսականու գործնական բժշկագիտության...
ԱՄԵՆԱԸՆԹԵՐՑՎԱԾ ՀՈԴՎԱԾՆԵՐԸ
-
Ժողովրդական դեղամիջոցներ
-
Հղիություն. 4-րդ ամիս
-
Հղիություն. 7-րդ ամիս
-
Կոճապղպեղ նույնն է՝ իմբիր, Ginger եւ Zingiber Officinale
-
«Արագիլ» հիմնադրամը ստեղծված է՝ օգնելու անպտղությամբ տառապող զույգերին. Կարինե Թոխունց
-
Հղիություն. 6-րդ ամիս
-
Հղիություն. 2-րդ ամիս
-
Ամուսնական առաջին գիշերը
- 4-7 ամսական երեխաների սնուցումը
-
Ընկերության մասին
-
Խնձորը` պզուկների դեմ. ազատվիր նրանցից 1 գիշերվա ընթացքում
-
Ինչպես ազատվել անցանկալի մազերից
-
Պարզվում է ապագա երեխայի սեռը կախված է մայրիկի սնունդից
-
Դդում
-
Հիվանդություն, որը փոխում է մեր կյանքը` կրծագեղձի քաղցկեղ
-
Կոճապղպեղ՝ նիհարելու համար (կոճապղպեղի թեյ)
-
Սեռական գրգռում
-
Արգանդի միոմա. նախանշանները, պատճառներն ու բուժումը
-
Հղիություն. 1-ին ամիս
-
Երիցուկ դեղատնային - Ромашка аптечная - Matricaria chamomilla L.
-
Չիչխանի օգտակար հատկությունները
-
Քարավուզ (նույն ինքը՝ նեխուր)
-
Ինչպես ազատվել բերանի վատ հոտից`պարզ միջոց
-
Դիմակներ` մազերի համար
-
Կրծքի ցավե՞ր ունեք. ինչ անել
-
Հեշտոցային արտադրության պատճառները. մասնագետի անդրադարձը
-
Ընդհանուր տեղեկություններ մարմնի համակարգերի մասին
- Բերանի խոռոչի լորձաթաղանթի ախտահարումը սովորական բշտախտի ժամանակ (սկիզբը` նախորդ համարում)
-
Հիվանդություն, որի համար պետք չէ ամաչել (թութք)
-
Ընտրություն ըստ հորոսկոպի
- Խոսենք այդ մասին. ձեռնաշարժություն
-
Հղիությունը և նախապատրաստվելը դրան
-
Երբ գլխացավն ախտանիշ է: Հանճարեղ և օժտված մարդկանց հիվանդություն
-
Լեղաքարային հիվանդություն. բուժման մեթոդները
-
Սեռական թուլության առաջին նախանշանները. news.am
-
Ուլտրաձայնային դոպլերոգրաֆիա (երկակի (դուպլեքս) անոթների)
-
Էկզեմայի տեսակները և բուժումը
-
Իրիդիոսքրինինգ
-
ՈւՆԱԲԻ: Արևելյան բժշկության գաղտնիքները
-
Գամմա-դանակը նշտարի փոխարեն















Գիտական բժշկություն
Հիվանդություններ
Ավանդական բժշկություն
Առողջ ապրելակերպ
Կոսմետոլոգիա
Բժշկական իրավունք
Ալգորիթմեր, թեստեր
Թվեր, փաստեր, դեպքեր
Պատմական խրոնիկա
Աֆորիզմներ
Կարիերային սանդուղքով
Երեխա
Կին
Տղամարդ
Ռեյթինգային համակարգ






