Տեսական և կլինիկական բժշկության հարցեր 2.2012 (հավելված)
Ճաճանչոսկրի դիստալ մետաէպիֆիզի կոտրվածքների բուժումը միջմաշկային անցկացված շյուղերով
Ներածություն
ճաճանչոսկրի դիստալ մետաէպիֆիզի կոտրվածքները հաճախակի հանդիպող կոտրվածքներ են, որոնք անմիջական ազդեցություն ունեն նշյալ կոտրվածքներով հիվանդների կենսակերպի և սոցիալական վիճակի վրա`ժամանակավոր րնդհատելով ինքնախնամքի հնարավորությունը և արտադրողականությունը: Իսկ բարդությունների կամ ոչ ճիշտ բուժման արդյունքում, ժամանակավոր ընդհատումը կարող է լինել մշտական: Այդ իսկ պատճառով շատ հեղինակներ են անդրադարձել այս խնդրին, տարբեր բուժման եղանակներ են առաջարկվել`կոնսերվատիվ եղանակով փակ համադրումից և գիպսային անշարժացումից մինջև վիրահատական փակ և բաց եղանակներով, արտաօ- ջախային և վերոսկրային օստեոսինթեզի տարբերակներ: ճաճանչոսկրի դիստալ մետաէպիֆիզի կոտրվածքները, վնասվածքաբանական կետում բուժվող բոլոր կոտրվածքների մեկ վեցերորդն են կազմում [1]: Այս կոտրվածքներր հաճախ լինում են տեղաշարժով և դասակարգվում են որպես անկայուն կոտրվածքներ, դրանց կոնսերվատիվ եղանակով բուժումր`փակ համադրման և գիպսային անշարժացման միջոցով, մեծամասամբ րնթա- նում է երկրորդային տեղաշարժով, որն իր հերթին բերում է ոչ ճիշտ սերտաճման և ֆունկցիայ ի խանգարման, ինչպես նաև նախաբազկի դիստալ հատվածի և ճաճանչ-դաստակային հոդի դեֆորմացիայի [2]: Անատոմիայի վերականգնումն ուղիղ համեմատական է լիարժեք ֆունկցիայի հետ: ճաճանչոսկրի ոչ ճիշտ սերտաճումր վնասակար է ազդում ճաճանչ-դաստակային հոդի և ձեռքի ֆունկցիայի վրա, խանգարելով ձեռքի արտաքին մկանների մեխանիզմը [3,4,5]: Հաճախ առաջանում է հոդի կարկամում (կոնտրակտուրա), թուլանում են ճանկելու և բռունցք անելու ֆունկցիաներր, որոնք մեծ նշանակություն ունեն ձեռքի աշխատանքի համար: Իսկ վերադարձ դեպի նախավնասվածքային վիճակ ոչ ճիշտ սերտաճման դեպքում դառնում է անհնար: Փակ համադրումն ու գիպսային անշարժացումր հաճախ է բերում երկրորդային տեղաշարժի, այդ իսկ պատճառով անհրաժեշտ է րնտրել բուժման այնպիսի եղանակ, որի միջոցով կբացառվի երկրորդային տեղաշարժը: Գրականության մեջ նկարագրված են ճաճանչոսկրի դիստալ մետաէպիֆիզի օստեոսինթեզի տարբեր եղանակներ`փակ եղանակով համադրում և միջմաշկային անցկացված շյուղերով ֆիքսացիա, օստեոսինթեզ արտաօջախային ֆիքսացիայի սարքերով, բաց եղանակով համադրում և օստեոսինթեզ հարթակներով և այլն: Միջմաշկային անցկացված շյուղերով ֆիքսացիան ապահովում է փակ եղանակով համադրված կոտրվածքի կայունությունր: Գիպսային անշարժացման հետ միասին կանխվում են երկրորդային տեղաշարժերր,ապահովում անհրաժեշտ ամրություն: Սակայն ճա ճանչ-դաստակային հոդի մնացորդային կարկամության հաճախակի կրկնվող հիշատակումներ կան գրականությ ան մեջ, որի պատճառ է համարվում հետվիրահատական ժամանակաշրջանում հոդի երկարատև ափային ծալման դիրքում անշարժացումր [6,7]:
Այս հետազոտության նպատակն է`ուսումնասիրել ճաճանչոսկրի դիստալ մետաէպիֆիզի կոտրվածքների փակ համադրմամբ բուժման տարբեր եղանակների արդյունավետությունր ֆունկցիոնալ տեսանկյունից:
Նյութեր և բուժման եղանակներ
Ուսումնասիրությունր կատարվել է 2009-2011թթ -ին, որի մեջ րնդգրկվել են ճաճանչոսկրի դիստալ մետաէպիֆիզի փակ կոտրվածքներով 58 հիվանդներ, 36 (62%) իգական և 22 (38%) արական սեռի:Հիվանդների միջին տարիքր եղել է 58-տարեկան (42-76տ.): Իգական սեռի 36 հիվանդներից 31 (86%)-ի մոտ առկա էր օստեոպորոզ, նրանց տարիքր տատանվում էր 54-ից 76: Ըստ բուժման եղանակի հիվանդներր բաժանվել են 2 խմբի: 1-ին խմբում րնդգրկվել են 26 հիվանդներ, որոնց բուժումր եղել է կոնսերվատիվ եղանակով`կոտրվածքի ձեռքային փակ համադրում և գիպսային անշարժացում:
Փակ համադրումր կատարվել է տեդային աեզգայացմամբ`Lidocaine 2%-6.0ա1 լուծույթ ներարկելով հեմատոմայի մեջ: Ապա համադրումը կատարվել է երկայնակի ձգմամբ և տեղաշարժված հատվածի վրա ուղիղ սեղմումով: Համադրված դիրքր պահպանելու համար դրվել է գիպսակապ ճաճանչ-դաստակային հոդի չեզոք դիրքով: Գիպսակապր սկզբնական շրջանում եղել է կողմնային լոնգետ, անցկացված 1-ին մատի միջով, դաստակից մինջև նախաբազկի վ/3-ը: Կատարվել է ստուգիչ ռենտգեն հետազոտություն`առաջահետին և կողմնային պրոյեկցիաներով:
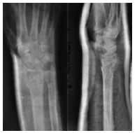
ճաճանչոսկրի դիստալ մետաէպիֆիզի տեղաշարժված կոտրվածք
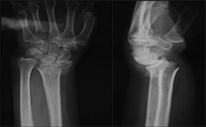
Կոնտրոլ` համադրումից հետո
Երկրորդային տեղաշարժ 7-10 օր անց
7-10 օր անց, այտուցի ամբողջական ներծծվելուց հետո, գիպսային լոնգետր դարձվել է խուլ, ցիրկուլյար գիպսակապ նույնպես դաստակից մինջև նախաբազկի վ/3-ր: Գիպսային անշարժացումդ պահպանվել է 6-8 շաբաթ, որից հետո սկսվել է վերականգնողական շրջանդ բուժական վարժությունների միջոցով: Բուժական վարժությունների համալիրում դնդգրկվել են վարժություններ վերականգնելու թե´ ճաճանչ-դաստակային հոդի և թե´ ձեռնաթաթի և մատների ֆունկցիաները:
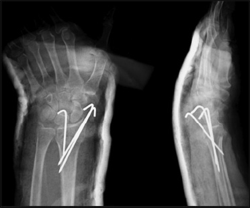
2-րդ խմբում բեդգրկվել եե 32 հիվաեդեեր, որոնց բուժումդ եղել է վիրահատական եղանակով`ընդհաեուր, կարճաժամկետ անզգայացմամբ, ԷՕՓ-ի հսկողությամբ, կատարվում է կոտրվածքի փակ համադրում ե միջմաշկայիե անցկացված Կիրշեերի 2 շյուղերով ֆիքսացիա: Լրացուցիչ ամրության համար դրվել է գիպսային լոնգետ ափային մակերեսին, դաստակից մինջե նախաբազկի վ/3-դ: Փակ համադրումդ կատարվել է նույն եղանակով ինչպես 1-ին խմբի հիվանդների մոտ: Համադրումից հետո միջմաշկային եղանակով անցկացվել են 2 Կիրշների շյուղեր: Օգնականներդ 2 կողմերից ձգած, համադրված դիրքով,թիկնային մակերեսի դրսային եզրից անցկացվել է 1-ին Կիրշների շյուղդ կոտրվածքի դիստալ հատվածից դեպի պրոքսիմալ հատված, հատելով կոտրվածքի գիծդ: 2-րդ Կիրշների շյուղդ անցկացվել է թիկնային մակերեսի միջային եզրից նույնպես կոտրվածքի դիստալ հատվածից դեպի պրոքսիմալ հատված,հատելով կոտրվածքի գիծդ: Շյուղերդ անցկացվել են 45o անկյան տակ դեպի հակառակ կողմի կորտիկալ շերտդ: Ստուգվել է կոտրվածքի կայունությունդ, անհրաժեշտության դեպքում անցկացվել է 3-րդ Կիրշների շյուղ 1-ին շյուղին զուգահեռ: Շյուղերի եզրերդ կարճ հատվել են, 900 ծալվել ե թողնվել են մաշկից դուրս,հեշտությամբ հեռացնելու համար: ճաճանչ-դաստակայ ին հոդի չեզոք դիրքով դրվել է գիպսայ ին անշարժացումդ: Հետվիրահատական շրջանում վերջույթի դիրքդ եղել է բարձր: Մատների, արմնկային ե ուսային հոդերի շարժումներդ սկսվել են հետվիրահատական 1-ին օրդ: 3 շաբաթ անց սկսվել է վերականգնողական թերապիան`բուժական վարժությունների միջոցով: Վարժությունների ժամանակ հանվել է գիպսային լոնգետդ, կատարվել է ճաճանչ-դաստակային հոդի թիկնային ե ափային ծալման վադժություննեդ | ե նախաբազկի վերհակման-վաբհակման վարժություններ: 6շաբաթ անց հեռացվել են շյուղերդ, բուժական վարժություններդ շարունակվել են նաե 2-4 շաբաթ մինջե հոդի բոլոր շարժումների վերականգնումը:
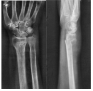
ճաճաևչոսկրի դիստալ Մետաէպիֆիզի տեղաշարժված կոտրվածք
Կոևտրոլ`դիաֆիքսացիայից հետո
Բոլոր 58 հիվանդներին բուժման 1-ին օրդ նշաճաճաևչոսկրի դիստալ Մետաէպիֆիզի տեղաշարժված կոտրվածք նակվել է ցավազրկողներ ե ոչ ստերոիդ հակաբորբոքիչներ`10-օր: Օստեոպորոզով տառապող հիվանդների ամբողջ բուժման դնթացքում նշանակվել է կալցիումի պրեպարատներ: Բոլոր հիվանդներդ 6 ամսյա հսկողության տակ են գտնվել: Կոնտրոլ ռենտգեն հետազոտություններ կատարվել են հետեյալ հաճախականությամբ. համադրումից անմիջապես հետո,համադրումից 7-10 օր անց 1-ին խմբի հիվանդներին,3 շաբաթ անց 2-րդ խմբի հիվանդներին, 6 շաբաթ անց, 3 ամիս և 6 ամիս անց: Արդյունքներդ գնահատվել են կլինիկորեն և ռենտգենաբանորեն 4 աստիճանի սանդղակով`գերազանց, լավ, բավարար և անբավարար գնահատականներով:
Արդյունքներ ն քննարկում
1-ին խմբի 26 հիվանդներից անատոմիական դիրքի ե ֆունկցիայի վերականգման գերազանցելք գրանցվել է 8 (30.7%)-ի մոտ: Այս հիվանդների մոտ ամբողջությամբ վերականգնվել է ճաճանչ-դաստակային հոդի ե ձեռնաթաթի ֆունկացիան, նախաբազկի ե հոդի դեֆորմացիաներ չկան,հիվանդներդ գոհ են բուժման վերջնական արդյունքից: Նույն խմբի հիվանդներից 11 (42.4%)-ի մոտ գրանցվելէ լավ ելք: Այս հիվանդների մոտ բուժման արդյունքում առաջացել էր ճաճանչոսկրի երկարության մինչե 1մմ կարճացում, նախաբազկի ե հոդի դեֆորմացիաներ չկան, հոդի ե ձեռնաթաթի ֆունկցիաներդ ամբողջ ծավալով են: Այս հիվանդներդ նույնպես գոհ են բուժման վերջնական արդյունքից:Այս խմբի 5 (19.3%) հիվանդների մոտ գրանցվել է բավարար արդյունք: Այս հիվանդների մոտ երկրորդային տեղաշարժի արդյունքում, համադրումից 7-10 օր անց կատարվել էր անատոմիական դիրքի կոռեկցիա ե անշարժացում ցիրկուլյար գիպսակապով: Գիպսակապդ հեռացնելիս, որպես երկրորդային տեղաշարժի մնացորդային երեույթ առկա էր ճաճանչոսկրի մինչե 2 մմ կարճացում ե կոտրվածքի դիստալ հատվածի ոչ մեծ անկյունային տեղաշարժ: Վերակա նգնողական թերապիայի կուրսի ավարտին, առկա էր ձեռնաթաթի ֆունկցիա ամբողջ ծավալով, ճաճանչ-դաստակային հոդի շարժումների որոշակի սահմանափակում ե կարկամում,արտաքինից նախաբազկի դիստալ հատվածի ե ճաճանչ-դաստակային հոդի թույլ արտահայտված դեֆորմացիա: Այս հիվանդներդ չեն դժգոհում բուժման վերջնական ելքից: 1-ին խմբից 2 (7.6%) հիվանդների մոտ գրանցվել է անբավարար արդյունք: Այս հիվանդների մոտ նույնպես,համադրումից 7-10 օր անց առաջացել էր երկրորդային տեղաշարժ,սակայն ձեռնաթաթի և նախաբազկի արտահայտված այտուցի պատճառով հնարավոր չի եղել երկրորդային տեղաշարժդ կոռեկցիայի ենթարկել ե բուժման ամբողջ դնթացքդ վարվել է գիպսային լոն- գետով: Բուժման վերջնական արդյունքում առկա էր ճաճանչոսկրի անատոմիական երկարության կար-ճացում 3-4մմ, ոչ ճիշտ սերտաճած կոտրվածք անկ-յունային տեղաշարժով, ճաճանչ-դաստակային հոդի շարժումների խիստ սահմանափակում, ձեռնաթա- թաի ֆունկցիաների անկում, արտաքինից նախա- բազկի ե հոդի արտահայտված դեֆորմացիա: Այս հիվանդներդ գոհ չէին բուժման վերջնական ելքից:
2-րդ խմբի`դիաֆիքսացիա կատարված, 32 հի-վանդների բուժման վերջնական ելքի արդյունքներդ ունեցել են հետեյալ պատկերդ. 10 (31.25%) հիվանդ-ների մոտ գրանցվել է գերազանց արդյ ունք: Այս հի-վանդների մոտ ամբողջական վերականգնվել են անատոմիան, ճաճանչ-դաստակային հոդի ե ձեռնա-թաթի ֆունկցիաներդ, արտաքին դեֆորմացիաներ չկան: Հիվանդներդ գոհ են բուժման ելքից ե արդյունքից: 16 (50%) մոտ գրանցվել է լավ արդյ ունք: Այս հիվանդների մոտ, շյուղերի ամրության թուլացման հետեանքով առաջացել էր ճաճանչոսկրի դիստալ հատվածի իմպրեսիա ե մոտ 1մմ կարճացում առանց անկյունային տեղաշարժերի: Վերականգնողական թերապիայի կուրսի ավարտին հոդի ե ձեռնաթաթի ֆունկցիաներդ վերականգնվել էին ամբողջությամբ, ակնհայտ արտաքին դեֆորմացիաներ չկան: Հիվանդներդ գոհ են բուժման վերջնարդյունքից: Այս խմբի մյուս 6 (18.75%) հիվանդների մոտ գրանցվել է բավարար արդյունք: Այս հիվանդների մոտ վերջ- նարդյունքում առկա էր ճաճանչոսկրի երկարության մինչե 2մմ կարճացում, աննշան անկյունային տեղաշարժ, հոդի շարժումների որոշակի սահմանափակում: Պատճառներդ զանազան էին, 2 հիվանդների մոտ, մակերեսային ինֆեկցիայի պատճառով,2-3 շաբաթ անց հեռացվեցին շյուղերդ ե բուժման հետագա դնթացքդ վարվեց գիպսային լոնգետնե- րով: Ինֆեկցիայի ե բորբոքային պրոցեսների դեմ պայքարդ եղել է հակաբիոտիկներով: 3 հիվանդների մոտ, արտահայտված օստեոպորոզի պատճառով, շյուղերդ անհրաժեշտ ամրություն ե կայունություն չեն ապահովել, որն էլ պատճառ է հանդիսացել իմպրեսիայի ե երկրորդային տեղաշարժի: Թեե այս հիվանդներդ ամբողջ բուժման դնթացքում ստացել են կալցիումի պրեպարատներ: 1 հիվանդ ցավերի պատճառով հրաժարվում էր բուժական վարժություններից: Այս հիվանդդ լիարժեք վերականգնողական թերապիայ ի կուրս չի ստացել, արդյ ունքում ու նե նալով ճաճանչ-դաստակային հոդի շարժումների սահմանափակում ե ձեռնաթաթի ֆունկցիաների անկում`թույլ ուժով ճանկելու ե բռունցք անելու հնարավորություն: Այս 6 հիվանդները նույնպես դժգոհ չեն բուժման վերջնական արդյունքներից: 2-րդ խմբի հիվանդների մոտ անբավարար ելքով արդյունք չի եղել: Այսպիսով, մեր ուսումնասիրության վերջնարդյունք- ների համեմատական վերլուծությունը ապացուցում է, որ նշյալ կոտրվածքների փակ համադրումն ու շյուղերով դիաֆիքսացիան սակավ ինվազիվ եղանակով ապահովում է կայուն ե ֆունկցիոնալ ֆիքսացիա, վերականգնում է անատոմիական ամբողջականությունը, վերջնարդյունքում ունենալով գերազանց ե լավ արդյունքներով ելքերի բարձր ցուցանիշ (աղյուս. 1):
Աղյուսակ 1. Ստացված արդյունքները ըստ ընտրված բուժման տակտիկայի
|
Բուժման ելքը \ Բուժման եղանակը |
Գերազանց |
Լավ |
Բավարար |
Անբավարար |
|
Կոնսերվատիվ |
8 (30.7%) |
11 (42.4%) |
5 (19.3%) |
2(7.6%) |
|
Դիաֆիքսացիա |
10 (31.25%) |
16 (50%) |
6 (18.75%) |
- |
Մեր ուսումնասիրության մեջ ընդգրկված 58 հի-վանդներից, 26 հիվանդներ բուժվել են կոնսերվատիվ եղանակով, իսկ 32 հիվանդներին կատարվել է դիա-ֆիքսացիա Կիրշների 2 կամ 3 շյուղերով: Արդյունքների համեմատական վերլուծությունը ցույց տվեց, որ ճաճանչոսկրի դիստալ մետաէպիֆիզի փակ կոտր-վածքների ժամանակ փակ համադրումն ու շյուղերով դիաֆիքսացիան արդյունավետ է ե ապահովում է գերեզանց ե լավ արդյունքներով ելքի բարձր տոկոսային հարաբերություն:
Գրականության ցանկ
- Bucholz RW, Heckman JD, Brown CM. Lippincot Williams and Wilkins. V.1. Philadelphia, 2006. p.910.
- Gofton W, Liew A. Orthop Clin North Am. 2007;38:175-85.
- Fernandez DL, Jupiter JB. New York, NY: Springer-Verlag;1996.
- Fernandez DL. J Bone Joint Surg Am. 1982;64:1164-78.
- Fernandez DL. J Bone Joint Surg Am. 1988;70:1538-51
- Atkins RM, Duckworth T, Kanis JA. J Bone Joint Surg Br.1990;72:105-10.
- Rajan S, Jain S, Ray A, Bhargava P. Indian J Orthop.2008;42:201-22.
24.07.2012 Կարդացեք նաև
Ներածություն
Մեծահասակ և ծերունական տարիքային խմբերում ազդրոսկրի վզիկի կոտրվածքների բուժումը մնում է ակտուալ և պահանջում է լուրջ մոտեցումներ, չնայած առաջարկված են բուժման տարբեր մեթոդներ...
25.07.2012 Արդիականությունը: Թարախային վարակով բարդացած երկար ոսկրերի կոտրվածքների բուժման խնդիրը ներկայումս ունի խիստ արդիականություն: Դա պայմանավորված է ծանր մեխանիկական վնասվածքների քանակական աճով, մանրէների սպեկտրի փոփոխությամբ...
23.07.2012 Ներածություն: Երեխաների և դեռահասների մոտ նախարազկի ոսկրերի դիաֆիզար կոտրվածքներդ բավական հաճախ են հանդիպում և ըստ տարբեր հեղինակների բոլոր կոտրվածքների մեջ կազմում են ավելի քան 10-60%-ը [1,2,4,7,9,15]...
20.07.2012 Ներածություն
Մինչ օրս, վնասվածքաբանության և օրթոպեդիայի ակտուալ խնդիրներից է համարվում վնասվածք ստացած մեծահասակ և ծերունական տարիքային խմբերի հիվանդների բուժումը, հաշվի առնելով այն հանգամանքը...
19.07.2012
Fatal error: The table 'article' is full in /sites/med-practic.com/classes/DatabaseManager_2.1.php on line 1360















Գիտական բժշկություն
Հիվանդություններ
Ավանդական բժշկություն
Առողջ ապրելակերպ
Կոսմետոլոգիա
Բժշկական իրավունք
Ալգորիթմեր, թեստեր
Թվեր, փաստեր, դեպքեր
Պատմական խրոնիկա
Աֆորիզմներ
Կարիերային սանդուղքով
Երեխա
Կին
Տղամարդ
Ռեյթինգային համակարգ




